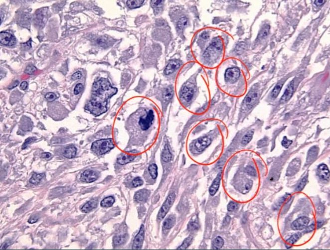
What type of thyroid carcinoma is illustrated in this histology slide? _____

What type of thyroid carcinoma is illustrated in this histology slide? _____

_____ colloid is a characteristic histological finding associated with Graves disease
Hurthle cell carcinoma is a variant of _____ thyroid carcinoma consisting of oxyphil (Hurthle, Askanazy) cells containing abundant mitochondria
In Riedel thyroiditis, fibrosis may extend to _____, thus mimicking anaplastic carcinoma
_____ calcification in the form of psammoma bodies is seen in Papillary thyroid carcinoma.
Thyroid _____ carcinoma is a malignant proliferation of parafollicular "C" cells
Thyroid _____ carcinoma may be lined by cells with clear, 'Orphan Annie eye' nuclei
Which two antibodies are associated with Hashimoto thyroiditis? _____ and anti-thyroid peroxidase (anti-microsomal)
Crooke hyaline change is a characteristic feature of _____ and adrenal glands, seen in Cushing syndrome
Pituitary Gland Disorders
Flashcards
Thyroid Gland Diseases
Flashcards
Parathyroid Gland Pathology
Flashcards
Adrenal Cortical Disorders
Flashcards
Adrenal Medullary Disorders
Flashcards
Pancreatic Endocrine Disorders
Flashcards
Multiple Endocrine Neoplasia Syndromes
Flashcards
Diffuse Neuroendocrine System
Flashcards
Pineal Gland Pathology
Flashcards
Laboratory Diagnosis of Endocrine Diseases
Flashcards
These Endocrine Pathology flashcards are designed for NEET-PG Pathology preparation, using active recall to help you retain high-yield concepts, clinical correlations, and commonly tested facts. Each card prompts you to retrieve information from memory rather than passively reviewing notes, which research shows leads to significantly better exam performance.
The 49 cards in this deck cover the most important topics in Endocrine Pathology, including key mechanisms, diagnostic criteria, treatment protocols, and clinical pearls that frequently appear in NEET-PG examinations. Cards are organised by chapter so you can focus on specific areas or work through the entire topic systematically.
For personalised spaced repetition scheduling that adapts to your performance, unlimited flashcards, and detailed progress analytics, download the Oncourse app.
Get full access to all flashcards, spaced repetition, and progress tracking.
Start For Free