Anatomy
5 questionsWhich structure is marked with a red arrow in the image shown below? (AIIMS May 2018)

Identify the structure that forms the superior border of the epiploic foramen (marked in red) in the image below.

Which of the following marks the conjoint tendon?

Identify the urogenital diaphragm in the image given below:

In the given slide of cerebellum, the marked cell is inhibitory to?

INI-CET 2018 - Anatomy INI-CET Practice Questions and MCQs
Question 61: Which structure is marked with a red arrow in the image shown below? (AIIMS May 2018)
- A. Mammillary bodies (Correct Answer)
- B. Hippocampus
- C. Habenular
- D. Amygdala
Explanation: ***Mammillary bodies*** - The image shows an **axial view** of the brain, and the red arrow points to a rounded structure anterior to the pons, consistent with the location of the **mammillary bodies**. - These are part of the **limbic system** and play a crucial role in memory formation through their connections with the hippocampus and thalamus. *Hippocampus* - The hippocampus is located in the **medial temporal lobe**, deeper and more posterior than the structure indicated by the arrow on this axial slice. - It has a characteristic elongated, curved shape, quite distinct from the **paired, rounded structures** shown. *Habenular nuclei* - The **habenular nuclei** are located in the **epithalamus**, superior to the midbrain and posterior to the thalamus, not in the anterior brainstem region indicated. - They are much smaller and are involved in modulating various brain circuits, including those related to pain, stress, and reward. *Amygdala* - The amygdala is an **almond-shaped structure** located deep within the temporal lobe, anterior to the hippocampus. - While close to the region shown, its shape and exact position differ from the **mammillary bodies**, particularly in this axial plane where the mammillary bodies are seen as distinct, round structures near the midline.
Question 62: Identify the structure that forms the superior border of the epiploic foramen (marked in red) in the image below.
- A. Lesser omentum
- B. Caudate lobe (Correct Answer)
- C. Duodenum
- D. IVC
Explanation: ***Caudate lobe*** - The **caudate process of the caudate lobe** of the liver forms the **superior boundary** of the epiploic foramen (foramen of Winslow). - This is a consistent anatomical landmark that defines the **upper margin** of this important communication between the greater and lesser sacs of the peritoneal cavity. - The caudate lobe lies superior to the foramen and posterior to the lesser omentum. *Lesser omentum* - The **hepatoduodenal ligament**, which is the free edge of the lesser omentum containing the **portal triad** (portal vein, hepatic artery, and common bile duct), forms the **anterior boundary** of the epiploic foramen, not the superior border. - The lesser omentum extends from the lesser curvature of the stomach to the liver, and its free right edge creates the anterior margin of the foramen. *Duodenum* - The **first part of the duodenum** (superior/horizontal part) forms the **inferior boundary** of the epiploic foramen. - It lies below the foramen and helps define the **lower margin** of this anatomical opening. *IVC* - The **inferior vena cava (IVC)** forms the **posterior boundary** of the epiploic foramen as it ascends toward the diaphragm covered by peritoneum. - The IVC runs behind the foramen and does not contribute to the superior border of the structure.
Question 63: Which of the following marks the conjoint tendon?
- A. A (Correct Answer)
- B. B
- C. C
- D. D
Explanation: ***A*** - Label **A** points to the **conjoint tendon**, which is formed by the conjoined aponeuroses of the **internal oblique** and **transversus abdominis** muscles as they insert onto the pubic crest and pecten pubis. - This structure is clinically important as it forms part of the **posterior wall of the inguinal canal** and helps prevent direct inguinal hernias. *B* - Label **B** points to the **rectus abdominis muscle**, which is one of the anterior abdominal wall muscles. - While it's an important abdominal muscle, it does not constitute the conjoint tendon. *C* - Label **C** points to the **pubic bone**, specifically indicating the general area of the pubic symphysis or body. - This is a bony landmark, not a tendon or muscular structure. *D* - Label **D** points to the **inguinal ligament**, which runs from the anterior superior iliac spine to the pubic tubercle. - The inguinal ligament forms the **inferior boundary of the inguinal canal**, whereas the conjoint tendon contributes to the posterior wall.
Question 64: Identify the urogenital diaphragm in the image given below:
- A. A (Correct Answer)
- B. B
- C. C
- D. D
Explanation: ***A*** - Label **A** points to the **urogenital diaphragm**, which is located inferior to the pelvic diaphragm and supports the structures of the perineum. - It consists primarily of the **deep transverse perineal muscle** and the **sphincter urethrae muscle**, enclosed by superior and inferior fascias. *B* - Label **B** indicates the **ischioanal fossa**, a fat-filled space located lateral to the anal canal, - This fossa is important for the passage of vessels and nerves to the anal region and allows for the **distension of the anal canal** during defecation. *C* - Label **C** points to the **levator ani muscle**, which forms a significant part of the **pelvic diaphragm**. - The **pelvic diaphragm** supports the pelvic organs and helps maintain continence. *D* - Label **D** indicates a collection of neurovascular structures within the **pudendal canal** or Alcock's canal. - This canal contains the **pudendal nerve** and the internal pudendal artery and vein.
Question 65: In the given slide of cerebellum, the marked cell is inhibitory to?
- A. Vestibular nuclei
- B. Deep nuclei of cerebellum (Correct Answer)
- C. Anterior horn of spinal cord
- D. Basal ganglia
Explanation: ***Deep nuclei of cerebellum*** - The image shows a **Purkinje cell** (large, flask-shaped neuron with a prominent nucleolus, indicated by the arrow) located in the cerebellum. - Purkinje cells are the sole output neurons of the cerebellar cortex and exert an **inhibitory (GABAergic)** effect primarily on the **deep cerebellar nuclei.** *Vestibular nuclei* - While Purkinje cells of the **flocculonodular lobe and vermis** project to the vestibular nuclei, the primary and most direct inhibitory target discussed in the general context of Purkinje cell output are the deep cerebellar nuclei. - The Vestibular nuclei receive input from the cerebellum, but are not the sole or primary direct targets of all Purkinje cells. *Anterior horn of spinal cord* - The anterior horn of the spinal cord contains **motor neurons** and interneurons involved in motor control, but it does not receive direct innervation from Purkinje cells. - Cerebellar output influences spinal cord activity indirectly via relays in the brainstem and other motor control centers. *Basal ganglia* - The basal ganglia are subcortical nuclei involved in motor control and learning, forming a distinct neural circuit separate from the cerebellum. - There are **no direct inhibitory projections** from cerebellar Purkinje cells to the basal ganglia.
Orthopaedics
1 questionsThis diagnosis is?

INI-CET 2018 - Orthopaedics INI-CET Practice Questions and MCQs
Question 61: This diagnosis is?
- A. Rheumatoid arthritis
- B. Scapholunate dissociation
- C. Lunate dislocation
- D. Scaphoid fracture (Correct Answer)
Explanation: ***Scaphoid fracture*** - Classic mechanism of **fall on outstretched hand (FOOSH)** with forced **dorsiflexion** of wrist, commonly affecting the **scaphoid waist**. - Clinical presentation includes **anatomical snuffbox tenderness** and pain with **axial loading** of thumb and **scaphoid compression test**. *Rheumatoid arthritis* - Systemic autoimmune condition affecting **multiple joints symmetrically**, not typically presenting as acute wrist trauma. - Characterized by **morning stiffness**, **synovial swelling**, and **positive rheumatoid factor** rather than focal bone fracture. *Scapholunate dissociation* - Results in **widening of scapholunate interval** on X-ray (>3mm) and **Terry Thomas sign** on PA view. - Presents with **dorsal wrist pain** and **Watson's test positivity** but lacks the specific fracture line seen in scaphoid injury. *Lunate dislocation* - Shows characteristic **spilled teacup sign** on lateral X-ray with **lunate tilted volarly** and loss of normal carpal alignment. - Presents as **severe wrist deformity** with **median nerve compression symptoms** rather than localized scaphoid area tenderness.
Physiology
1 questionsIn the image shown below, which of the marked area is involved in relieving pain in response to massage?

INI-CET 2018 - Physiology INI-CET Practice Questions and MCQs
Question 61: In the image shown below, which of the marked area is involved in relieving pain in response to massage?
- A. Area A (Correct Answer)
- B. Area B
- C. Area C
- D. Area D
Explanation: ***A*** - Area A points to the **dorsal columns** (specifically the fasciculus gracilis and cuneatus) of the spinal cord, which carry **mechanoreceptive** and proprioceptive information. - Massage activates large diameter afferent fibers which transmit signals via the dorsal columns, inhibiting pain transmission through the **gate control theory of pain**. *B* - Area B points to the **dorsal horn** (specifically lamina I, II, and V), which is primarily involved in receiving and processing **nociceptive input**. - While integration of pain occurs here, it is not the primary pathway for the **modulatory effects of touch/pressure** from massage for pain relief. *C* - Area C indicates the **ventral horn** of the spinal cord, which contains **motor neurons** that control skeletal muscle activity. - It is involved in motor output, not directly in the sensory processing or modulation of pain signals from massage. *D* - Area D points to the **lateral white matter**, which contains various ascending and descending tracts, including the **spinothalamic tract** (primary pain pathway) and corticospinal tract. - While the spinothalamic tract carries pain signals, the direct pain-relieving effect of massage primarily involves activation of mechanoreceptors whose signals ascend via the dorsal columns.
Surgery
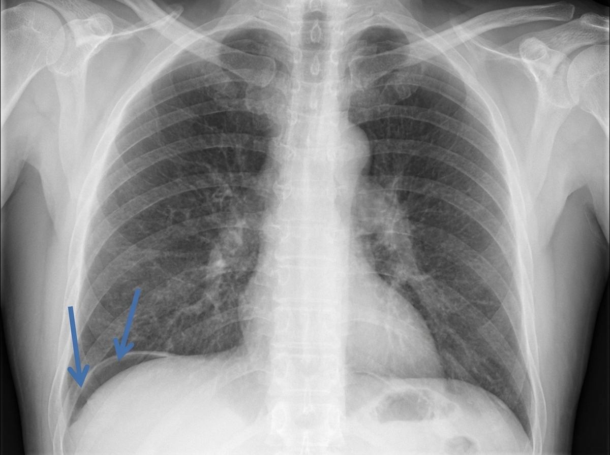
1 questionsA patient presented to the emergency department with severe abdominal pain. An erect radiograph was performed. Based on the findings, what should be the management?

INI-CET 2018 - Surgery INI-CET Practice Questions and MCQs
Question 61: A patient presented to the emergency department with severe abdominal pain. An erect radiograph was performed. Based on the findings, what should be the management?
- A. Gastric lavage
- B. ICD insertion
- C. Laparotomy (Correct Answer)
- D. USG FAST
Explanation: ***Laparotomy*** - **Pneumoperitoneum** (free air under diaphragm) on erect X-ray indicates **perforated viscus**, requiring immediate surgical exploration and repair. - Emergency **laparotomy** allows identification of perforation site, peritoneal lavage, and definitive repair to prevent **sepsis** and **peritonitis**. *Gastric lavage* - Used for **gastric decontamination** in poisoning cases or **upper GI bleeding**, not for perforated viscus. - Does not address the underlying **perforation** and may worsen contamination by increasing intragastric pressure. *ICD insertion* - **Intercostal drainage** is indicated for **pneumothorax** or **pleural effusion**, not abdominal pathology. - **Pneumoperitoneum** requires surgical intervention, not chest tube drainage. *USG FAST* - **Focused Assessment with Sonography in Trauma** is used to detect **free fluid** in trauma patients. - While useful for diagnostic purposes, it does not provide **definitive management** for established perforation requiring immediate surgery.