INI-CET 2018 — Orthopaedics
6 Previous Year Questions with Answers & Explanations
A 10-year-old child presents with fever and wound with discharging pus from right thigh for 4 months. Given below is the X -ray of the patient. Identify the marked area:

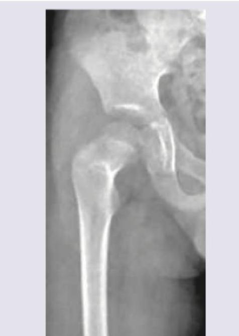
Given is the X-ray of a 7-year-old child. Identify the deformity:

Identify the lesion in the X-ray shown below:

Comment on the test being performed in the patient.

Identify the fracture given in the image given below:

This diagnosis is?

INI-CET 2018 - Orthopaedics INI-CET Practice Questions and MCQs
Question 1: A 10-year-old child presents with fever and wound with discharging pus from right thigh for 4 months. Given below is the X -ray of the patient. Identify the marked area:
- A. Sequestrum (Correct Answer)
- B. Cloacae
- C. Involucrum
- D. Woven bone
Explanation: ***Sequestrum*** - The arrow points to a dense, isolated fragment of **necrotic bone** within the bone shaft, which is a classic radiographic finding of a **sequestrum** in chronic osteomyelitis. - In chronic osteomyelitis, the host immune system attempts to wall off the infection, leading to bone necrosis and the formation of this devitalized bone fragment. *Cloacae* - A cloaca is an opening or channel in the **involucrum** (new bone formation) through which pus and necrotic debris (sequestrum) can drain from the infected bone. - The image does not clearly show an opening for drainage; rather, it highlights an internal bone fragment. *Involucrum* - The involucrum is a sheath of **new bone formation** that encapsulates the infected, necrotic bone (sequestrum) in chronic osteomyelitis. - While new bone formation is likely present, the arrow specifically indicates the denser, dead bone fragment rather than the surrounding reactive new bone. *Woven bone* - **Woven bone** is immature, rapidly formed bone, often seen during bone development, fracture healing, or in certain pathological conditions like fibrous dysplasia or Paget's disease. - The marked area is a distinct fragment of necrotic cortical bone, not indicative of diffuse woven bone formation.
Question 2: Given is the X-ray of a 7-year-old child. Identify the deformity:
- A. Coxa vara
- B. Coxa valga
- C. Perthe's disease (Correct Answer)
- D. Brodie's abscess
Explanation: ***Perthe's disease*** - The X-ray shows changes consistent with **Perthe's disease**, characterized by **avascular necrosis of the femoral head**. Findings include **flattening of the femoral head**, **sclerosis**, and potential **fragmentation**. - This condition typically affects *children between 4 and 10 years old*, matching the age of the child in the question (7 years old). *Coxa vara* - **Coxa vara** is defined by a **decreased femoral neck-shaft angle** (less than 120 degrees), leading to a more horizontal orientation of the femoral neck. - While *Perthe's disease can lead to coxa vara* as a complication, the primary pathological changes (sclerosis, flattening, fragmentation of the femoral head) are distinctive of Perthe's. *Coxa valga* - **Coxa valga** is characterized by an **increased femoral neck-shaft angle** (greater than 135-140 degrees), causing the femoral neck to be more vertical. - This is the opposite of coxa vara and is not typically associated with the radiographic findings observed in the image. *Brodie's abscess* - A **Brodie's abscess** is a **subacute or chronic osteomyelitis**, often appearing as a **well-circumscribed luncency** with a sclerotic rim, commonly found in the metaphysis of long bones. - The X-ray does not show a focal lytic lesion suggestive of an abscess; instead, it presents diffuse changes to the femoral epiphysis.
Question 3: Identify the lesion in the X-ray shown below:
- A. Giant cell tumour
- B. Aneurysmal bone cyst (Correct Answer)
- C. Osteoma
- D. Osteosarcoma
Explanation: ***Aneurysmal bone cyst*** - The image shows a **lytic, expansile lesion** in the distal radius with a **"soap bubble" appearance**, characteristic of an aneurysmal bone cyst. - These are typically **benign, blood-filled lesions** that cause bone remodeling and expansion. *Giant cell tumour* - While also a **lytic lesion**, giant cell tumors are usually more aggressive and often show **cortical destruction** and less distinct margins without the typical septations seen here. - They tend to occur in the **epiphysis** of long bones after epiphyseal closure. *Osteoma* - An osteoma is a **benign, dense, sclerotic bone growth**, appearing as a very bright, compact lesion on X-ray, which is clearly not depicted in the image. - These are typically **asymptomatic** and found incidentally. *Osteosarcoma* - This is a **highly malignant primary bone tumor** that typically presents with a **blastic or mixed lytic-blastic appearance**, often with a **"sunburst" pattern** or **Codman's triangle**, characteristics not seen in this image. - It usually causes significant **cortical destruction** and a more aggressive soft tissue mass.
Question 4: Comment on the test being performed in the patient.
- A. McMurray
- B. Apley's grinding test
- C. Hoover sign (Correct Answer)
- D. Gordon sign
Explanation: ***Hoover sign*** - The image depicts the Hoover sign, which tests for **non-organic weakness** in a lower limb. - The examiner asks the patient to lift one leg while feeling for contralateral heel pressure; absence of pressure indicates an inconsistent effort. *McMurray* - The McMurray test evaluates for a **meniscal tear** in the knee. - It involves flexing and rotating the knee while extending it to elicit a click or pain. *Apley's grinding test* - Apley's grinding test is used to assess for **meniscal or ligamentous injury** in the knee. - The patient lies prone, and the examiner applies downward pressure with rotation to the flexed knee. *Gordon sign* - The Gordon sign is a pathological reflex used to identify **upper motor neuron lesions**. - It involves squeezing the calf muscle, which results in **dorsiflexion of the great toe** and fanning of the other toes, similar to a Babinski sign.
Question 5: Identify the fracture given in the image given below:
- A. Pond
- B. Gutter (Correct Answer)
- C. Hinge
- D. Comminuted
Explanation: ***Gutter*** - A **gutter fracture** involves a linear fracture with depression of the adjacent bone fragment, often forming a "gutter" or trough-like deformity, as indicated by the arrow in the image. - This type of fracture is typically caused by a **blunt impact** to the skull that causes focal indentation. *Pond* - A **pond fracture** is a type of depressed skull fracture seen in infants, characterized by a smooth, bowl-like depression without sharp edges or fragmentation, resembling an indentation from a thumb. - It results from **low velocity impact** and the skull's plasticity in infants, which is not what is seen here. *Hinge* - A **hinge fracture** is a type of basilar skull fracture that involves the skull base, often extending bilaterally through structures like the sphenoid bone, creating a "hinge" effect. - This fracture pattern usually results from **severe trauma** and is not depicted in this image, which shows a localized depression. *Comminuted* - A **comminuted fracture** is characterized by the bone breaking into three or more fragments at the site of injury. - While there is bone fragmentation in the image, the primary descriptive feature highlighted by the arrow is the **depressed trough** rather than multiple distinct pieces.
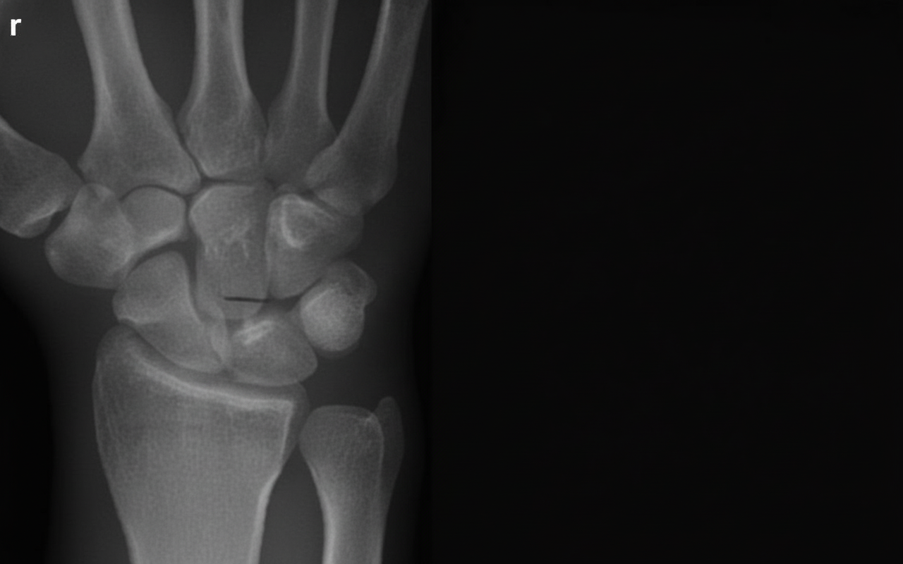
Question 6: This diagnosis is?
- A. Rheumatoid arthritis
- B. Scapholunate dissociation
- C. Lunate dislocation
- D. Scaphoid fracture (Correct Answer)
Explanation: ***Scaphoid fracture*** - Classic mechanism of **fall on outstretched hand (FOOSH)** with forced **dorsiflexion** of wrist, commonly affecting the **scaphoid waist**. - Clinical presentation includes **anatomical snuffbox tenderness** and pain with **axial loading** of thumb and **scaphoid compression test**. *Rheumatoid arthritis* - Systemic autoimmune condition affecting **multiple joints symmetrically**, not typically presenting as acute wrist trauma. - Characterized by **morning stiffness**, **synovial swelling**, and **positive rheumatoid factor** rather than focal bone fracture. *Scapholunate dissociation* - Results in **widening of scapholunate interval** on X-ray (>3mm) and **Terry Thomas sign** on PA view. - Presents with **dorsal wrist pain** and **Watson's test positivity** but lacks the specific fracture line seen in scaphoid injury. *Lunate dislocation* - Shows characteristic **spilled teacup sign** on lateral X-ray with **lunate tilted volarly** and loss of normal carpal alignment. - Presents as **severe wrist deformity** with **median nerve compression symptoms** rather than localized scaphoid area tenderness.