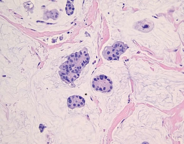
The following image represents the _____ carcinoma subtype of invasive ductal carcinoma (breast): hint: the circled area is lymphatics

In HPV-_____ SCC of the oral cavity, patients generally present with large primary lesions with variable nodal disease.

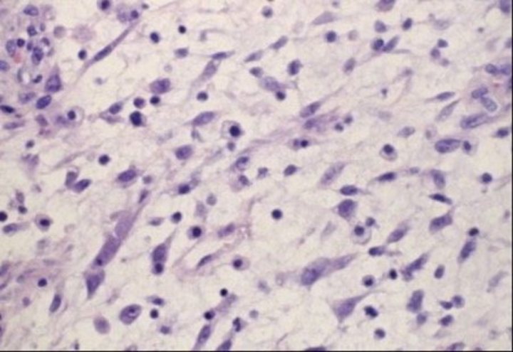
What type of rhabdomyosarcoma is shown in the given image? _____ **most common subtype
TNM classification of laryngeal carcinoma: No answer _____

What viral manifestation is seen below? _____

The following image represents the _____ carcinoma subtype of invasive ductal carcinoma:

The following image represents _____ carcinoma (breast):

Cytokeratin profiles of various primary tumors: No answer _____

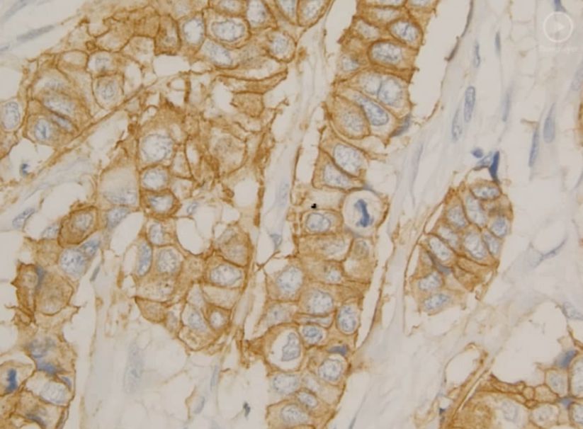
Breast Cancer Assessment: The following is an immunohistochemical stain for the _____ receptor, which is located on the cell membrane

In regards to cervical epithelium, if the tissue sample on the left is normal, is the tissue sample on the right: mildly dysplastic, moderately dysplastic, or severely dysplastic / carcinoma in situ? _____ VS
Hint: Think about nuclear:cytoplasmic ratio, tissue orientation, and pleomorphy

Nomenclature and Classification of Tumors
Flashcards
Characteristics of Benign and Malignant Neoplasms
Flashcards
Molecular Basis of Cancer
Flashcards
Carcinogenesis and Carcinogens
Flashcards
Tumor Progression and Metastasis
Flashcards
Tumor Markers
Flashcards
Paraneoplastic Syndromes
Flashcards
Genetic Basis of Cancer
Flashcards
Tumor Immunity
Flashcards
Cancer Epidemiology and Prevention
Flashcards
These Neoplasia flashcards are designed for NEET-PG Pathology preparation, using active recall to help you retain high-yield concepts, clinical correlations, and commonly tested facts. Each card prompts you to retrieve information from memory rather than passively reviewing notes, which research shows leads to significantly better exam performance.
The 248 cards in this deck cover the most important topics in Neoplasia, including key mechanisms, diagnostic criteria, treatment protocols, and clinical pearls that frequently appear in NEET-PG examinations. Cards are organised by chapter so you can focus on specific areas or work through the entire topic systematically.
For personalised spaced repetition scheduling that adapts to your performance, unlimited flashcards, and detailed progress analytics, download the Oncourse app.
Get full access to all flashcards, spaced repetition, and progress tracking.
Start For Free