_____ has a characteristic histopathology of "Claw clutching a Ball' appearance
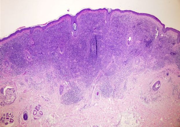
What type of nevus shows lymphocytic infiltration surrounding nevus cells? _____

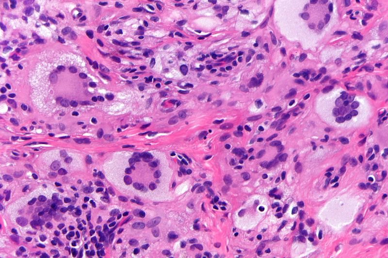
_____ giant cells are lipid-containing macrophages, having a central ring of nuclei while the peripheral cytoplasm is clear due to accumulated lipid
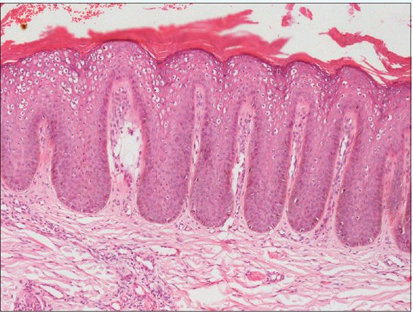
Upward elongation of the dermal papillae, giving an accentuated and sometimes irregular, undulating configuration to the dermal–epidermal junction is known as _____

_____ nevus is a non-nested dermal infiltration of highly dendritic heavily pigmented nevus cells

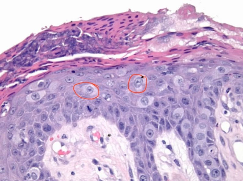
The following image shows malignant epithelial cells in the epidermis of the nipple, which is representative of _____

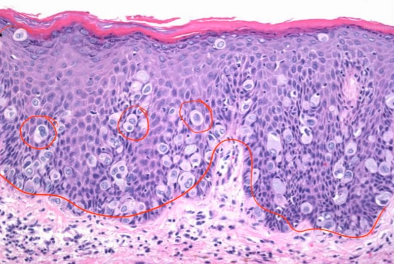
The following image shows large cells in the epidermis with a clear halo, which are characteristic of _____ disease

mitsuda reaction is read at _____ days
Inflammation in _____-myositis is mediated by CD-4+ T cells
In diabetic dermopathy, histology shows hyperpigmentation of _____ layer of epidermis along with deposition of haemosiderin and melanin in the dermis
Structure and Function of Skin
Flashcards
Inflammatory Dermatoses
Flashcards
Blistering Diseases
Flashcards
Infectious Diseases of the Skin
Flashcards
Disorders of Pigmentation
Flashcards
Benign Skin Tumors
Flashcards
Malignant Skin Tumors
Flashcards
Connective Tissue Disorders of the Skin
Flashcards
Cutaneous Manifestations of Systemic Disease
Flashcards
Hair and Nail Disorders
Flashcards
These Dermatopathology flashcards are designed for NEET-PG Pathology preparation, using active recall to help you retain high-yield concepts, clinical correlations, and commonly tested facts. Each card prompts you to retrieve information from memory rather than passively reviewing notes, which research shows leads to significantly better exam performance.
The 80 cards in this deck cover the most important topics in Dermatopathology, including key mechanisms, diagnostic criteria, treatment protocols, and clinical pearls that frequently appear in NEET-PG examinations. Cards are organised by chapter so you can focus on specific areas or work through the entire topic systematically.
For personalised spaced repetition scheduling that adapts to your performance, unlimited flashcards, and detailed progress analytics, download the Oncourse app.
Get full access to all flashcards, spaced repetition, and progress tracking.
Start For Free