What is incorrect about the media shown below?

The gram stain given below shows which organism most likely? (AIIMS May 2016)

The following two phase culture system is used for diagnosis of: (Recent NEET Pattern 2016-17)

Which of the bacteria is shown in this culture plate of nutrient agar? (Recent NEET Pattern 2016-17)

All are correct about the organism shown except:

All are true about the organism shown except:

Identify the tube marked as X in culture of Salmonella typhi.

What is the drug of choice for organism producing the following colonies?

Identify the organism shown below. (AIIMS May 2017)

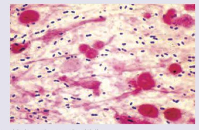
Identify the organism seen in the slide shown below.

Explanation: ***Glycerol inhibits M. Tuberculosis*** - This statement is **INCORRECT**, making it the correct answer to this negation question - Glycerol is a component of Lowenstein-Jensen medium and acts as a **carbon source and growth enhancer** for *M. tuberculosis*, particularly human strains - Absence of glycerol can **inhibit the growth** of *M. tuberculosis* - This is what makes the statement false *Lowenstein Jensen media* - This statement is **correct** about the image - The image shows typical **Lowenstein-Jensen (LJ) medium slants** in McCartney bottles, characterized by their green color from malachite green - LJ medium is a widely used **egg-based solid medium** for primary isolation and cultivation of mycobacteria *Malachite green inhibits bacteria* - This statement is **correct** - **Malachite green** is a selective agent in LJ medium that **inhibits contaminating bacteria** (especially gram-positive bacteria) - This selective property allows for isolation of **slow-growing mycobacteria** which would otherwise be overgrown by faster-growing contaminants *McCartney bottle* - This statement is **correct** - The media is contained in **McCartney bottles**, which are screw-capped glass bottles commonly used for **culturing mycobacteria** - These bottles are kept in a **slanted position** during medium solidification to increase surface area for bacterial growth
Explanation: ***Neisseria meningitidis*** - The image shows **Gram-negative diplococci** (pink/red, paired cocci) both extracellularly and **intracellularly within neutrophils** (large pink cells). This morphology is classic for *Neisseria meningitidis* in cerebrospinal fluid. - *N. meningitidis* is a common cause of **bacterial meningitis**, and its presence as intracellular Gram-negative diplococci in CSF is diagnostic. *Staphylococcus aureus* - *Staphylococcus aureus* are **Gram-positive cocci** (purple/blue), typically appearing in **clusters** like grapes. The organisms in the image are Gram-negative and often in pairs. - While *S. aureus* can cause meningitis, its characteristic Gram stain appearance is distinctly different from what is shown. *Streptococcus pneumoniae* - *Streptococcus pneumoniae* are **Gram-positive cocci** (purple/blue) typically arranged in **pairs (diplococci)** or short chains. The organisms in the image are Gram-negative. - Although *S. pneumoniae* is a common cause of bacterial meningitis, its Gram stain morphology is different (Gram-positive). *Streptococcus pyogenes* - *Streptococcus pyogenes* are **Gram-positive cocci** (purple/blue) arranged in **chains**. The organisms in the image are Gram-negative and appear as diplococci. - *S. pyogenes* is more commonly associated with pharyngitis and skin infections, and rarely causes meningitis, but its Gram stain morphology is not consistent with the image.
Explanation: ***Undulant fever*** - The image depicts a **two-phase culture system** (specifically, a Castaneda bottle or similar), which is characteristic for the isolation of *Brucella* species. - *Brucella* causes **brucellosis**, also known as **undulant fever**, due to its characteristic waxing and waning fever pattern. *Relapsing fever* - Relapsing fever is caused by **spirochetes** (*Borrelia* species), which are typically diagnosed by **blood smear microscopy** during febrile episodes. - These organisms are **difficult to culture** using standard laboratory media, and a two-phase system is not routinely employed for their diagnosis. *Pontiac fever* - Pontiac fever is a mild, self-limiting form of **legionellosis**, caused by *Legionella pneumophila*. - Diagnosis typically involves detecting *Legionella* **antigen in urine** or culturing from respiratory secretions on specialized media like **buffered charcoal yeast extract (BCYE) agar**, not a two-phase system. *Pel-Ebstein fever* - Pel-Ebstein fever is a rare, periodic fever pattern associated with **Hodgkin lymphoma**. - It is a **symptom of a malignancy**, not an infectious disease, and therefore does not involve culture systems for diagnosis.
Explanation: ***Pseudomonas*** - The image displays colonies with a **metallic sheen** and a characteristic **greenish-blue pigment**, consistent with *Pseudomonas aeruginosa* growth on nutrient agar. - This pigmentation is due to the production of **pyocyanin** and **pyoverdin**, which are distinctive for *Pseudomonas aeruginosa*. *Plesiomonas* - *Plesiomonas shigelloides* typically does not produce the intense metallic sheen or the characteristic greenish-blue pigment seen in the image. - It is more commonly associated with aquatic environments and gastrointestinal infections, and its colonies usually appear opaque or translucent. *Burkholderia* - *Burkholderia* species can produce a variety of colony morphologies, but they generally do not exhibit the striking **metallic sheen** or the specific greenish-blue pigmentation caused by pigments like pyocyanin. - Certain *Burkholderia* species, such as *B. cepacia*, might produce yellow or green pigments, but the overall appearance in the image is more typical of *Pseudomonas*. *Pasteurella* - *Pasteurella* species typically produce smaller, gray, translucent, and non-hemolytic colonies without the distinctive **metallic sheen** or pigment seen in the culture image. - They are also facultatively anaerobic and are often associated with respiratory infections in animals and humans after animal bites.
Explanation: ***Inaba serotype has A and B antigens*** - This statement is **INCORRECT** and is the right answer to this "EXCEPT" question. - The **Inaba serotype** of *Vibrio cholerae* has only **antigens A and C**, NOT A and B. - The three serotypes of *V. cholerae* O1 are: - **Ogawa:** A, B, C antigens - **Inaba:** A, C antigens (lacks B antigen) - **Hikojima:** A, B, C antigens (rare) *Fish in stream appearance* - This is a **CORRECT** characteristic of *Vibrio cholerae*. - Refers to the microscopic appearance in **hanging drop preparation** where bacteria show rapid darting motility in parallel streams. - This characteristic movement is due to the **single polar flagellum**. *Funnel shaped liquefaction in gelatin stab* - This is a **CORRECT** characteristic of *Vibrio cholerae*. - *V. cholerae* produces the enzyme **gelatinase**, which liquefies gelatin. - In gelatin stab culture, this creates a characteristic **funnel-shaped (infundibuliform) liquefaction** starting from the top. *Red reaction* - This is a **CORRECT** characteristic of *Vibrio cholerae*. - The "red reaction" refers to a **positive oxidase test**. - Indicates the presence of **cytochrome c oxidase** enzyme. - The test uses tetramethyl-p-phenylenediamine dihydrochloride reagent, which turns red/purple when positive.
Explanation: ***At least 10,000 AFB should be present per ml of sputum for direct demonstration*** - For direct microscopic demonstration of **acid-fast bacilli (AFB)** in sputum, the detection threshold is typically around **5,000-10,000 AFB per ml** (10^4 organisms/mL). - While 10,000 AFB/mL is commonly cited as the detection limit, direct microscopy can sometimes detect AFB at concentrations as low as **5,000-10,000/mL**, making the absolute statement "at least 10,000" slightly imprecise. - The statement is considered the **exception** among the options because it represents the upper end of the detection range rather than acknowledging the lower threshold where detection becomes possible. *Cold staining is done with Kinyoun stain* - The **Kinyoun method** is a "cold method" for acid-fast staining that does **not require heating** during the staining process, unlike the traditional Ziehl-Neelsen method. - This method uses a higher concentration of basic fuchsin and phenol to allow the stain to penetrate the **mycolic acid-rich cell wall** of acid-fast bacteria at room temperature. *1-9 bacilli per oil immersion field is reported as 1+* - The semi-quantitative reporting for AFB smears grades positivity based on the average number of bacilli per **oil immersion field (OIF)**. - A count of **1-9 bacilli per OIF** is commonly reported as **1+ or scanty**, indicating a low but detectable presence of AFB. *At least 300 oil immersion fields should be examined before calling smear negative* - To confidently rule out the presence of AFB, it is recommended to examine **100-300 oil immersion fields** to ensure no bacilli are missed in sparsely populated smears. - Examining a large number of fields increases the sensitivity of the microscopic examination, especially when the bacterial load is low.
Explanation: ***Craigie tube*** - The **Craigie tube** is used to demonstrate the **motility** of bacteria. *Salmonella typhi* is **motile**, so it will migrate OUT of the inner tube (X) and spread into the surrounding medium. - **Non-motile** bacterial strains will remain confined to the inner tube (X), while **motile strains** like *S. typhi* will migrate through the medium to reach the outer areas. *Durham tube* - A **Durham tube** is an inverted small test tube placed in a larger test tube containing liquid culture medium to detect **gas production** by microorganisms. - It works by trapping any gas produced during **fermentation**, which is not the function shown in this motility testing apparatus. *U tube* - A **U-tube** is a type of glassware typically used in **chemistry experiments** for gas collection or as a pressure gauge. - It is not routinely used in **bacteriology** for motility testing in the manner depicted in this culture setup. *Benson tube* - The term "**Benson tube**" is not a standard piece of equipment used in microbiology for bacterial culture or motility testing. - This option is a **distracter** and does not correspond to any known microbiological apparatus used in clinical laboratories.
Explanation: ***Ciprofloxacin*** - The image displays characteristic **"Medusa head" colonies**, which are pathognomonic for *Bacillus anthracis* (anthrax). - **Ciprofloxacin** is a fluoroquinolone and is the **first-line drug of choice** for *Bacillus anthracis* infections (treatment and prophylaxis). - Other first-line options include **doxycycline**, and combination therapy is often used for systemic/inhalational anthrax. - Early antibiotic therapy significantly reduces mortality, though delayed treatment in inhalational anthrax carries high mortality risk. *Erythromycin* - Erythromycin is a **macrolide antibiotic** that is **not recommended** for *Bacillus anthracis* infections. - It has lower efficacy and is not considered effective against anthrax, especially in severe systemic forms. *Ceftriaxone* - Ceftriaxone is a **third-generation cephalosporin** that is **not recommended** for anthrax. - *Bacillus anthracis* produces **beta-lactamase enzymes** that confer resistance to many beta-lactam antibiotics. - Therefore, ceftriaxone would be ineffective as monotherapy. *No treatment with approx. 100% mortality* - This is **incorrect** as a treatment option since effective antibiotics are available. - While untreated inhalational anthrax has very high mortality (approaching 90-100%), **treatment exists and is effective**, especially when initiated early. - The drug of choice for anthrax is ciprofloxacin (or doxycycline), not "no treatment."
Explanation: ***Nocardia*** - The image displays **branching, filamentous, gram-positive rods** that exhibit a **beaded appearance**, which is characteristic of *Nocardia* species. - *Nocardia* are **partially acid-fast** and can cause opportunistic infections, particularly in immunocompromised individuals. *Mycobacterium tuberculosis* - *Mycobacterium tuberculosis* appears as **rod-shaped bacilli** that are **strongly acid-fast** due to their high mycolic acid content, but they do not typically form the long, branching filaments seen in the image. - While they can form cords, these are not the extensive mycelial-like structures shown. *Mycobacterium leprae* - *Mycobacterium leprae* are **acid-fast bacilli** that typically appear in compact bundles ("globi") within host cells, not as branching filamentous structures. - This organism primarily causes leprosy and is difficult to culture in vitro. *Actinomyces* - *Actinomyces* species are also **branching, filamentous gram-positive bacteria**, but they are **not acid-fast**. - While they form characteristic "sulfur granules" in tissue, the image is a stain showing individual organisms, and the acid-fast appearance rules out *Actinomyces*.
Explanation: ***Nocardia asteroides*** - The image exhibits **branching, beaded, filamentous rods** that stain **acid-fast**, key characteristics of *Nocardia*. - These morphological features, especially the irregular acid-fast staining and branching, differentiate it from other bacteria. *Streptococcus pyogenes* - *Streptococcus pyogenes* are Gram-positive cocci typically arranged in **chains**, showing none of the filamentous or branching forms seen in the image. - They are **not acid-fast** and would not appear as pink/red rods on an acid-fast stain. *M. tuberculosis* - While *M. tuberculosis* is **acid-fast** and appears as red rods, it typically presents as **straight or slightly curved rods**, not the extensively branching, beaded filaments observed. - It does not form the complex filamentous structures characteristic of *Nocardia*. *Corynebacterium diphtheriae* - *Corynebacterium diphtheriae* are Gram-positive, **club-shaped rods** that often assume V or L forms (palisades), and are not acid-fast. - This bacterium does not exhibit the extensive branching or beaded appearance characteristic of the organism in the image.
Specimen Collection and Transport
Practice Questions
Microscopy in Microbiology
Practice Questions
Culture Methods and Media
Practice Questions
Bacterial Identification Techniques
Practice Questions
Antimicrobial Susceptibility Testing
Practice Questions
Serological Diagnosis
Practice Questions
Molecular Diagnostic Methods
Practice Questions
Rapid Diagnostic Tests
Practice Questions
Point-of-Care Testing
Practice Questions
Automation in Microbiology Laboratory
Practice Questions
Quality Control in Diagnostic Microbiology
Practice Questions
Interpretation of Microbiological Reports
Practice Questions
Get full access to all questions, explanations, and performance tracking.
Start For Free