Which microorganisms are typically found in a lung abscess?
In a patient presenting with diarrhea and pus cells in stool, which of the following is LEAST likely to be the causative organism?
Primary tuberculosis most commonly involves which organ?
All of the following are true for non-typable strains of Haemophilus influenzae EXCEPT:
Which of the following bacteria shows this test positive?

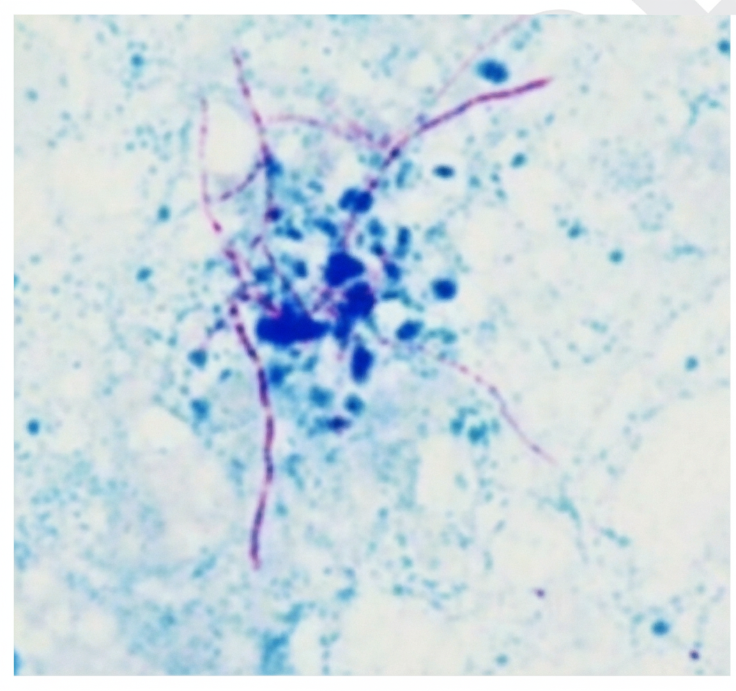
What is the staining technique used here?

A rapid urea breath test is positive in which of the following infections?
Naegler's reaction is given by:
A 20-year-old male presents with abdominal pain and mild fever, followed by gastroenteritis. Stool examination reveals the presence of pus cells and red blood cells on microscopy. What is the most likely etiological agent responsible?
What inclusion bodies are present in lymphogranuloma venereum (LGV)?
Explanation: ### Explanation A lung abscess is a localized area of pulmonary parenchymal necrosis resulting in the formation of a cavity containing debris or fluid. The etiology is typically **polymicrobial**, involving a variety of aerobic and anaerobic organisms, as well as fungi and parasites depending on the clinical context. **Why "All of the above" is correct:** * **Bacteroides (Option C):** Anaerobic bacteria are the most common cause of lung abscesses, typically following the aspiration of oropharyngeal secretions. *Bacteroides fragilis* and *Bacteroides melaninogenicus* are frequently isolated, often alongside *Fusobacterium* and *Peptostreptococcus*. * **Amoeba (Option A):** *Entamoeba histolytica* can cause a "primary" lung abscess via the hematogenous route or, more commonly, a "secondary" abscess due to the direct extension of an amoebic liver abscess through the diaphragm (rupture into the lung). * **Histoplasma (Option B):** Fungal pathogens like *Histoplasma capsulatum* can cause necrotizing granulomas that cavitate, leading to chronic lung abscesses, particularly in immunocompromised patients or those in endemic areas. **Clinical Pearls for NEET-PG:** 1. **Most Common Cause:** Aspiration of oropharyngeal flora (Anaerobes) is the leading cause. 2. **Classic Presentation:** Patients often present with foul-smelling (putrid) sputum, which is a hallmark of anaerobic infection. 3. **Radiology:** On a Chest X-ray, a lung abscess typically appears as a cavity with an **air-fluid level**. 4. **Predisposing Factors:** Poor oral hygiene (periodontal disease), alcoholism, seizure disorders, and esophageal dysmotility. 5. **Treatment:** Clindamycin is historically the drug of choice for anaerobic lung abscesses, though beta-lactam/beta-lactamase inhibitor combinations (e.g., Piperacillin-Tazobactam) are also standard.
Explanation: **Explanation:** The presence of **pus cells (neutrophils)** in stool indicates an **inflammatory/invasive** process where the intestinal mucosa is breached, leading to an exudative response. **1. Why Enterotoxigenic E. coli (ETEC) is the correct answer:** ETEC is the leading cause of traveler’s diarrhea. It acts via **enterotoxins** (Heat-labile LT and Heat-stable ST) which stimulate adenylate/guanylate cyclase. This results in a purely **secretory diarrhea** (watery stool) without mucosal invasion or inflammation. Therefore, pus cells and blood are characteristically absent in ETEC infections. **2. Analysis of other options:** * **Shigella dysenteriae 1:** A classic cause of bacillary dysentery. It invades the colonic epithelium and produces Shiga toxin, leading to intense inflammation, mucosal ulceration, and stools loaded with pus cells and blood. * **Enteroinvasive E. coli (EIEC):** Pathogenetically identical to *Shigella*. It utilizes actin tails to spread cell-to-cell, causing mucosal destruction and inflammatory diarrhea with pus cells. * **Non-O1 Vibrio cholerae:** Unlike *V. cholerae* O1/O139 (which cause watery rice-water stools), non-agglutinable (NAG) vibrios can produce hemolysins and enterotoxins that may cause invasive-like illness or gastroenteritis where inflammatory cells can be seen. **Clinical Pearls for NEET-PG:** * **Pus cells + Blood in stool:** Think *Shigella*, EIEC, *Campylobacter jejuni*, *Salmonella enteritidis*, and *Entamoeba histolytica*. * **Purely Watery Stool (No pus):** Think *Vibrio cholerae*, ETEC, and viral causes (Rotavirus/Norovirus). * **High-Yield Fact:** EIEC does not produce a toxin; its virulence is entirely due to its **invasive plasmid (pInv)**, which is shared with *Shigella*.
Explanation: **Explanation:** **1. Why the Lungs are the Correct Answer:** Primary tuberculosis (TB) is caused by *Mycobacterium tuberculosis*, which is almost exclusively transmitted via **inhalation of infectious droplet nuclei** (1–5 µm in size). These droplets bypass the upper respiratory defenses and settle in the pulmonary alveoli. Because the respiratory route is the most common portal of entry, the **Lungs** are the primary site of infection in over 95% of cases. The hallmark of primary TB is the **Ghon Complex**, which consists of a subpleural parenchymal lesion (Ghon focus) and associated draining hilar lymphadenopathy. **2. Why the Other Options are Incorrect:** * **Liver:** Hepatic involvement usually occurs as part of disseminated or **Miliary TB**, where the bacilli spread hematogenously. It is rarely, if ever, the primary site of infection. * **Brain:** TB of the central nervous system (Tuberculous Meningitis) is a severe form of **extrapulmonary TB** resulting from hematogenous spread or rupture of a Rich focus. It is a secondary complication, not the primary site. * **Intestine:** Primary intestinal TB was historically common due to the ingestion of unpasteurized milk contaminated with *M. bovis*. However, with modern pasteurization and the predominance of *M. tuberculosis*, intestinal TB is now usually secondary to swallowing infected sputum. **3. Clinical Pearls for NEET-PG:** * **Ghon Focus:** Usually located in the lower part of the upper lobe or upper part of the lower lobe (well-ventilated areas). * **Ranke Complex:** A Ghon complex that has undergone progressive fibrosis and calcification (visible on X-ray). * **Fate of Primary TB:** In 90% of individuals, the immune system arrests the infection (Latent TB). Only 5–10% progress to clinical disease. * **Most Common Site of Post-Primary (Reactivation) TB:** The **Apex of the lungs**, due to high oxygen tension which favors the growth of the obligate aerobe *M. tuberculosis*.
Explanation: **Explanation:** The core distinction in *Haemophilus influenzae* classification lies in the presence or absence of a polysaccharide capsule. Strains are divided into **Typable (Encapsulated)** and **Non-typable (Non-encapsulated/NTHi)**. **Why Option C is the correct answer (The Exception):** Meningitis and other invasive diseases (like epiglottitis and septic arthritis) are primarily caused by **encapsulated** strains, specifically **Serotype b (Hib)**. The capsule acts as a potent anti-phagocytic virulence factor, allowing the bacteria to survive in the bloodstream and cross the blood-brain barrier. **Non-typable strains (NTHi)** lack this capsule; they are less invasive and typically cause **localized mucosal infections** rather than systemic diseases like meningitis. **Analysis of other options:** * **Option A (Most commonly affects adults):** This is a true statement. While Hib was historically a pediatric pathogen (pre-vaccination), NTHi is a common cause of community-acquired pneumonia and exacerbations of COPD in adults. * **Option B (Non-encapsulated):** This is the definition of "non-typable." Since they lack the capsular antigens used for the Quellung reaction or agglutination tests, they cannot be "typed" into categories a-f. **NEET-PG High-Yield Pearls:** * **NTHi Clinical Spectrum:** Most common cause of **Otitis Media** (along with *S. pneumoniae*), Sinusitis, and **Acute Exacerbations of Chronic Bronchitis (AECB)**. * **Hib Vaccine:** The PRP (Polyribosylribitol phosphate) conjugate vaccine targets the capsule of Serotype b only; it provides **no protection** against non-typable strains. * **Culture:** Both types require **Factor V (NAD)** and **Factor X (Hemin)** for growth, typically provided by Chocolate Agar. * **Satellitism:** *H. influenzae* grows around *S. aureus* colonies on blood agar because *S. aureus* provides the necessary Factor V.
Explanation: ***E. coli*** - **E. coli** is **indole-positive** due to the presence of **tryptophanase enzyme** that breaks down tryptophan to produce indole, which reacts with **Kovac's reagent** to form a red ring. - Part of the **IMViC pattern** for E. coli: **I**ndole positive, **M**ethyl red positive, **V**oges-Proskauer negative, **C**itrate negative, making it easily identifiable. *Klebsiella* - **Klebsiella pneumoniae** is **indole-negative** as it lacks the **tryptophanase enzyme** needed to convert tryptophan to indole. - Has a different **IMViC pattern**: Indole negative, Methyl red negative, Voges-Proskauer positive, Citrate positive, distinguishing it from E. coli. *Proteus mirabilis* - **Proteus mirabilis** is **indole-negative**, unlike **Proteus vulgaris** which is indole-positive, making it distinguishable within the Proteus genus. - Characterized by **swarming motility** and strong **urease production**, but lacks tryptophanase enzyme for indole production. *Edwardsiella* - **Edwardsiella tarda** is actually **indole-positive**, but it's a less common pathogen compared to E. coli in clinical settings. - Primarily causes **gastroenteritis** and is associated with **aquatic environments**, making E. coli the more likely answer in routine clinical microbiology.
Explanation: ***Acid-fast stain*** - The **pink/red bacilli** against a **blue background** is the distinctive appearance of acid-fast bacteria using **Ziehl-Neelsen stain**. - This stain specifically identifies **mycolic acid-rich cell walls** found in **Mycobacterium** and **Nocardia** species. *Gram stain* - Produces **purple (gram-positive)** or **pink (gram-negative)** bacteria on a **clear background**, not the blue background seen here. - Cannot penetrate the **waxy mycolic acid layer** of acid-fast bacteria, making them appear colorless or faintly stained. *Methylene blue stain* - Creates **uniform blue coloration** of all bacterial cells without differential staining properties. - Does not produce the **contrasting pink-red bacilli** against blue background characteristic of this image. *Albert's stain* - Specifically used for demonstrating **metachromatic granules** in **Corynebacterium diphtheriae**. - Shows **dark blue-green bacilli** with **reddish-purple granules**, not the uniform pink-red rods seen here.
Explanation: **Explanation:** The **Urea Breath Test (UBT)** is a rapid, non-invasive diagnostic gold standard for detecting **_Helicobacter pylori_** infection. **Why Option A is correct:** _H. pylori_ produces a potent **urease enzyme** that is essential for its survival in the acidic gastric environment. In the UBT, the patient ingests urea labeled with a carbon isotope ($^{13}C$ or $^{14}C$). The bacterial urease hydrolyzes this urea into ammonia and **labeled carbon dioxide ($CO_2$)**. The labeled $CO_2$ is absorbed into the bloodstream and exhaled via the lungs, where it is detected by a mass spectrometer or scintillation counter. **Why the other options are incorrect:** * **Options B & C (Klebsiella and Proteus):** While both are urease-positive organisms, they typically cause **Urinary Tract Infections (UTIs)** rather than gastric infections. Proteus uses urease to split urea in urine, leading to the formation of **struvite (triple phosphate) stones**, but they do not reside in the stomach to be detected by a breath test. * **Option D (Ureaplasma):** As the name suggests, _Ureaplasma urealyticum_ produces urease, but it is a genital pathogen associated with urethritis and pregnancy complications, not gastric pathology. **High-Yield Clinical Pearls for NEET-PG:** * **Sensitivity/Specificity:** UBT has >95% sensitivity and specificity; it is the preferred test to **confirm eradication** after treatment. * **False Negatives:** Recent use of **Proton Pump Inhibitors (PPIs)**, antibiotics, or bismuth can cause false negatives. These should be stopped 2 weeks (PPIs) to 4 weeks (antibiotics) before the test. * **Other Urease-Positive Organisms (Mnemonic: PUNCH):** **P**roteus, **U**reaplasma, **N**ocardia, **C**ryptococcus, **H**elicobacter/Haemophilus influenzae.
Explanation: **Explanation:** **Nagler’s Reaction** is a biochemical test used to identify bacteria that produce **Lecithinase (Alpha-toxin)**. The test is performed on Egg Yolk Agar (EYA). When lecithinase-producing bacteria are grown on this medium, the enzyme breaks down lecithin into phosphorylcholine and diglyceride, resulting in a distinct **opalescent (opaque) halo** around the colonies. 1. **Why "All of the above" is correct:** While *Clostridium perfringens* is the most classic and frequently tested organism associated with Nagler’s reaction, it is not the only one. Several species within the genus *Clostridium* produce lecithinase. * **Clostridium perfringens:** The primary cause of gas gangrene; produces Alpha-toxin (a phospholipase C). * **Clostridium bifermentans:** A non-pathogenic or opportunistic species that also produces lecithinase and gives a positive Nagler’s reaction. * **Clostridium sordellii:** Known for causing toxic shock syndrome (often post-partum); it is also lecithinase-positive. 2. **The Mechanism of the Test:** To confirm the reaction is specifically due to alpha-toxin, one half of the agar plate is smeared with **anti-alpha-toxin (antitoxin)**. If the opalescence appears on the untreated side but is inhibited on the antitoxin side, the Nagler’s reaction is considered positive. **High-Yield Clinical Pearls for NEET-PG:** * **Organism of Choice:** If the question asks for the *most common* or *diagnostic* use, the answer is *C. perfringens*. * **Other Lecithinase-Positive Bacteria:** *Bacillus anthracis* and *Bacillus cereus* also produce lecithinase, but the term "Nagler’s Reaction" is historically and specifically associated with the neutralization test for *Clostridia*. * **C. perfringens Morphology:** Look for "Box-car shaped" Gram-positive bacilli and "Double zone of hemolysis" on blood agar.
Explanation: ### Explanation The clinical presentation of abdominal pain, fever, and gastroenteritis with **pus cells (leukocytes) and red blood cells (RBCs)** in the stool indicates **inflammatory diarrhea (dysentery)**. This signifies mucosal invasion and destruction. **1. Why Enteroinvasive *E. coli* (EIEC) is correct:** EIEC is biochemically and pathogenetically closely related to *Shigella*. It invades the colonic epithelium using **invasive plasmid (pINV) antigens**. This invasion leads to cell death, an intense inflammatory response, and ulceration, clinically manifesting as "Bacillary Dysentery." The presence of blood and pus cells is the hallmark of this invasive process. **2. Why the other options are incorrect:** * **Enterotoxigenic *E. coli* (ETEC):** Causes "Traveler’s diarrhea." It produces toxins (LT/ST) that lead to watery diarrhea without mucosal invasion; thus, no blood or pus cells are seen. * **Enteropathogenic *E. coli* (EPEC):** Primarily causes infantile diarrhea. It acts via "attachment and effacement" (A/E) lesions but is non-invasive, resulting in watery stools. * **Enteroaggregative *E. coli* (EAEC):** Associated with persistent watery diarrhea in children and HIV patients. It uses a "stacked-brick" adhesion pattern but does not typically cause dysentery. **High-Yield Clinical Pearls for NEET-PG:** * **EIEC vs. Shigella:** EIEC requires a much higher infectious dose ($10^6$–$10^{10}$ organisms) compared to *Shigella* (10–100 organisms). * **Non-motile & Late Lactose Fermenters:** EIEC strains are often non-motile and are either late lactose fermenters or non-lactose fermenters (resembling *Shigella* on MAC agar). * **Sereny Test:** A laboratory test used to identify the invasiveness of EIEC/Shigella by inoculating the organism into a guinea pig's eye, resulting in keratoconjunctivitis.
Explanation: ### Explanation **Correct Answer: C. Miyagawa's granulocorpuscles** **Understanding the Concept:** Lymphogranuloma venereum (LGV) is a sexually transmitted infection caused by *Chlamydia trachomatis* serotypes L1, L2, and L3. Like all Chlamydiae, these are obligate intracellular bacteria that undergo a unique life cycle involving Elementary Bodies (infectious) and Reticulate Bodies (replicative). In LGV, these intracellular clusters of organisms form distinct basophilic inclusion bodies within the cytoplasm of infected cells, historically termed **Miyagawa's granulocorpuscles**. **Analysis of Incorrect Options:** * **A. Levinthal-Cole-Lillie (LCL) bodies:** These are the characteristic inclusion bodies seen in **Psittacosis** (*Chlamydia psittaci*). * **B. Halberstaedter-Prowazek (HP) bodies:** These are the inclusion bodies found in **Trachoma** (caused by *C. trachomatis* serotypes A, B, Ba, and C). They typically cap the nucleus of conjunctival epithelial cells. * **C. Henderson-Peterson Bodies:** These are large, eosinophilic intracytoplasmic inclusion bodies seen in **Molluscum Contagiosum** (a Poxvirus infection), not bacterial infections. **NEET-PG High-Yield Pearls:** * **LGV Clinical Triad:** Primary lesion (painless papule/ulcer), Lymphadenopathy (painful "Groove sign" due to Poupart's ligament), and Chronic proctocolitis. * **Frei Test:** A historical skin test (delayed hypersensitivity) used for LGV diagnosis, though now replaced by NAAT. * **Staining:** Chlamydial inclusions are best visualized using **Giemsa, Castaneda, or Machiavello stains**. Unlike other Chlamydiae, *C. trachomatis* inclusions contain glycogen and stain with **Iodine**. * **Drug of Choice:** Doxycycline (100 mg BID for 21 days).
Staphylococci
Practice Questions
Streptococci and Enterococci
Practice Questions
Neisseria and Moraxella
Practice Questions
Corynebacterium and Listeria
Practice Questions
Bacillus and Clostridium
Practice Questions
Enterobacteriaceae
Practice Questions
Vibrio, Aeromonas, and Plesiomonas
Practice Questions
Pseudomonas and Related Bacteria
Practice Questions
Haemophilus and HACEK Group
Practice Questions
Bordetella and Brucella
Practice Questions
Mycobacteria
Practice Questions
Spirochetes
Practice Questions
Get full access to all questions, explanations, and performance tracking.
Start For Free