The following plate shows *H. influenzae* colonies. Which of the following is responsible for the phenomenon shown? (Recent NEET Pattern 2016-17)

A 50-year-old village agricultural worker got a dental treatment from a quack for painful dental caries. He later developed a cheek swelling with pus discharge from sinus containing yellow specks. The specks were crushed between two slides and stained with gram stain and ZN stain. All are true about the incriminating organism except:

The image given below shows:

All are correct about the organism shown below except:

The component marked X in Salmonella typhi culture is used for determination of:

All are true about the organism shown except:

What is correct about the schematic image of Salmonella typhi?

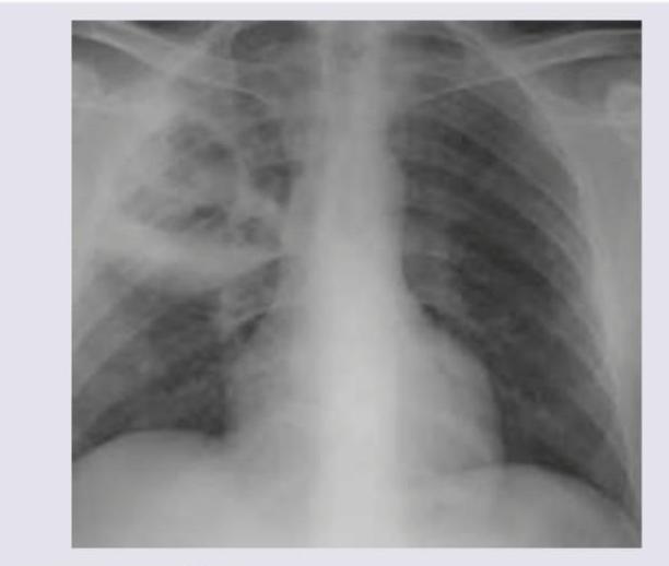
A 45-year-old alcoholic presents with severe respiratory distress and red current jelly sputum. On examination bronchial breathing was heard in right infraclavicular and inframammary areas. The X-ray chest is shown below. All are correct about the organism incriminated except:

Which bacteria marked as $X$ is responsible for the pattern shown here in the culture plate?

The given image shows:

Explanation: ***V factor*** - The phenomenon depicted is **satellitism**, where *Haemophilus influenzae* grows as satellite colonies around a streak of *Staphylococcus aureus* on blood agar. - This occurs because *S. aureus* lyses red blood cells and releases **V factor (NAD - nicotinamide adenine dinucleotide)**, which is an essential growth factor that *H. influenzae* requires but cannot synthesize. - While *H. influenzae* requires both **X factor (hemin)** and **V factor (NAD)**, the satellitism phenomenon specifically demonstrates the role of **V factor** provided by *S. aureus*. - X factor is already available throughout the blood agar from lysed RBCs, so the enhanced growth specifically around *S. aureus* colonies is due to the **V factor** produced by the bacteria. *X factor* - **X factor (hemin)** is present throughout the blood agar medium from lysed red blood cells, so it does not explain the specific satellite growth pattern around *S. aureus* colonies. - Both X and V factors are required for growth, but the satellitism pattern demonstrates V factor dependency specifically. *PRP antigen* - **PRP (polyribosylribitol phosphate)** is the capsular polysaccharide of *Haemophilus influenzae* type b (Hib) and is a virulence factor. - It is not a growth factor and plays no role in the satellitism phenomenon. *All of the above* - Incorrect, as only **V factor** is responsible for the satellitism phenomenon shown in the image. - PRP antigen is not a growth factor, and X factor is already uniformly distributed in blood agar.
Explanation: ***Environmental saprophytes*** - *Actinomyces israelii* is the primary causative agent of **actinomycosis**, and it is part of the **normal flora of the oral cavity**, gastrointestinal tract, and female genital tract. - It is an **endogenous infection**, meaning it originates from the body's own commensal bacteria, and is not acquired from the environment as a saprophyte. *Sun ray appearance* - The **sulfur granules**, characteristic of *Actinomyces* infections, often demonstrate a **"sun ray" or "rosette" appearance** when viewed under a microscope, due to the radiating filaments at the periphery. - These granules are microcolonies of the organism embedded in host material and are a key diagnostic feature of **actinomycosis**. *A. israelii grows as fluffy balls in BHI agar* - When cultured on **Brain Heart Infusion (BHI) agar**, *Actinomyces israelii* typically produces distinct colonial morphologies, often described as fluffy balls or **"mulberry-like" colonies** after extended anaerobic incubation. - This morphology is a characteristic feature aiding in the laboratory identification of the organism. *Spider colonies of A. israelii* - On solid culture media after initial isolation, *Actinomyces israelii* often forms **characteristic "spider-like" colonies** with irregular, filamentous projections. - This colonial morphology is quite distinct and helps in differentiating it from other bacteria during laboratory diagnosis.
Explanation: ***Lowenstein-Jensen media*** - The image displays the characteristic **pale green color** and sloped surface of Lowenstein-Jensen (LJ) medium, commonly used for cultivating *Mycobacterium tuberculosis*. - The bottle on the right shows evidence of **bacterial growth** colonies on the surface, typical for *Mycobacterium* species grown on LJ medium. *Dorset egg media* - Dorset egg media is primarily used for the initial isolation and preservation of **delicate bacteria** like meningococci and gonococci, not mycobacteria. - While it contains egg, its appearance is typically **pale yellow** and translucent, differing from the green opaque medium shown. *Tisdale's media* - Tisdale's medium is a selective and differential medium used for the isolation of **Corynebacterium diphtheriae**. - It contains potassium tellurite, which inhibits most other bacteria and gives **C. diphtheriae colonies a gray or black appearance**, which is not depicted here. *Thayer martin media* - Thayer-Martin media is a selective medium specifically designed for the isolation of pathogenic **Neisseria species**, particularly *Neisseria gonorrhoeae* and *Neisseria meningitidis*. - It contains various antimicrobial agents to suppress the growth of commensal flora and is typically a **chocolate agar base**, appearing chocolate-brown, distinguishing it from the visible medium.
Explanation: ***Phage type A is the commonest worldwide*** - While **phage typing** is used for epidemiologic studies of *Mycobacterium tuberculosis*, **phage type A is not recognized as the most common type worldwide**. - Phage typing for *M. tuberculosis* involves using specific bacteriophages to differentiate strains for epidemiological tracking, but the statement about "phage type A" being the commonest is **incorrect**. - This makes it the correct answer for this EXCEPT question. *Obligate aerobe* - *Mycobacterium tuberculosis* is an **obligate aerobe**, meaning it requires oxygen for growth. - This characteristic explains its predilection for oxygen-rich environments in the body, such as the **lungs**. - This statement is **correct**, so it is not the answer to this EXCEPT question. *Dysgonic growth of colonies* - **Dysgonic growth** refers to colonies that grow slowly with a rough, dry, and crumbly appearance, which is characteristic of *M. tuberculosis*. - This slow growth contributes to the **prolonged incubation period** (3-8 weeks) required for culturing the organism in the laboratory. - This statement is **correct**, so it is not the answer to this EXCEPT question. *Niacin test positive for nicotinic acid* - The **niacin accumulation test** (detecting nicotinic acid) is a key biochemical test used to differentiate *Mycobacterium tuberculosis* from other mycobacteria. - *M. tuberculosis* typically accumulates large amounts of **niacin** (nicotinic acid), making this test positive and serving as a positive identifying feature. - This statement is **correct**, so it is not the answer to this EXCEPT question.
Explanation: ***Motile versus nonmotile bacteria*** - The image depicts **Craigie's tube method**, where component X is the **inner tube open at both ends** placed in a semi-solid medium - **Motile bacteria** can swim through the semi-solid agar in the inner tube and migrate to the outer tube, while **non-motile bacteria** remain confined to the site of inoculation - This method is specifically used to **demonstrate and isolate motile organisms** from non-motile variants - In *Salmonella typhi*, this helps isolate the **H (flagellar) antigen-bearing motile phase** from the non-motile O antigen phase - The technique relies on bacterial **flagellar movement** through the semi-solid medium *Virulent versus nonvirulent bacteria* - While Craigie's tube can help separate different antigenic phases of *Salmonella*, it is **not a virulence determination method** - **Virulence in *S. typhi*** depends on multiple factors including Vi capsular antigen, invasion genes, and toxin production—not simply motility or H antigen presence - This method tests **motility**, which is a characteristic feature but not equivalent to virulence testing *Gas producer versus gas nonproducer bacteria* - Gas production is assessed using **Durham tubes** (small inverted tubes) in carbohydrate-containing media to trap gas bubbles - Craigie's tube uses **semi-solid agar** and is designed for motility demonstration, not gas detection *Plasmid profiling* - **Plasmid profiling** requires molecular techniques involving DNA extraction and **gel electrophoresis** - Craigie's tube is a **culture-based phenotypic method**, not a molecular genetic analysis technique
Explanation: ***Tetanolysin acts on Renshaw cell leading to tetanic spasm*** - **Tetanospasmin**, not tetanolysin, is the neurotoxin produced by *Clostridium tetani* that acts on Renshaw cells to cause muscle spasms. - **Tetanolysin** is a hemolysin that causes tissue damage, which contributes to the anaerobic environment for bacterial growth, but it is not directly responsible for the neurotoxic effects. *Motile bacteria* - *Clostridium tetani* is a **motile** bacterium, possessing peritrichous flagella, which aids in its spread in tissues. - This motility is a characteristic feature of the organism, often observed in laboratory cultures. *Fir tree growth in gelatin stab* - When grown in a gelatin stab culture, *Clostridium tetani* produces a characteristic **"fir tree" or "inverted fir tree" pattern** due to its motility and liquefaction of the gelatin. - This distinctive growth pattern is a classic microbiological identification feature for the organism. *Risus sardonicus* - **Risus sardonicus** (a sustained, involuntary spasm of the facial muscles, causing a characteristic grimace) is a classic clinical manifestation of tetanus caused by **tetanospasmin**. - This symptom is due to the uncontrolled muscle contractions resulting from the neurotoxin's effect on inhibitory neurons.
Explanation: ***A=Vi antigen, B=H antigen, C=O antigen*** - The image correctly identifies A as the **Vi antigen** (capsular polysaccharide), B as the **H antigen** (flagellar protein), and C as the **O antigen** (lipopolysaccharide of the outer bacterial membrane). - These antigens are crucial for the serological classification and pathogenicity of *Salmonella typhi*. *A=H antigen, B=Vi antigen, C=O antigen* - This option incorrectly identifies A as the H antigen and B as the Vi antigen. The **Vi antigen** forms a capsule-like layer, and the **H antigen** is part of the flagella. - The O antigen is correctly identified as part of the outer membrane (C), but the incorrect assignments for A and B make this option wrong. *A=H antigen, B=O antigen, C=Vi antigen* - This option incorrectly identifies A as the H antigen and C as the Vi antigen. The **H antigen** is associated with flagella, not the outermost layer, and the **Vi antigen** is a surface capsule. - The O antigen is also incorrectly assigned to B, which represents the flagella. *A=O antigen, B=Vi antigen, C=H antigen* - This option incorrectly identifies A as the O antigen and C as the H antigen. The **O antigen** is embedded in the outer membrane, not the outermost layer (A). - The **Vi antigen** is incorrectly assigned to B (flagella), and the **H antigen** is incorrectly assigned to C (outer membrane).
Explanation: The clinical presentation of an alcoholic with **severe respiratory distress** and **red currant jelly sputum** is pathognomonic for pneumonia caused by ***Klebsiella pneumoniae***. The chest X-ray showing consolidation in the right upper lobe further supports this diagnosis. The question asks which statement is **INCORRECT** (except) regarding *Klebsiella pneumoniae*. ***Indole positive*** - *Klebsiella pneumoniae* is **indole negative**, not indole positive. This is the incorrect statement. - The indole test detects the production of indole from tryptophan metabolism. *K. pneumoniae* does not produce indole, which differentiates it from *Escherichia coli* (indole positive). - This is a key biochemical differentiator in the Enterobacteriaceae family. *Urease positive* - *Klebsiella pneumoniae* is **urease positive**. This is a correct statement. - Urease production is a characteristic feature used in biochemical identification. - The enzyme hydrolyzes urea to ammonia and carbon dioxide. *Citrate positive* - *Klebsiella pneumoniae* is **citrate positive**. This is a correct statement. - It can utilize citrate as its sole carbon source, demonstrated by the Simmons citrate test. - This is part of the IMViC testing panel. *Voges-Proskauer positive* - *Klebsiella pneumoniae* is **Voges-Proskauer positive**. This is a correct statement. - The VP test detects acetoin production during glucose fermentation. - The standard IMViC profile for *K. pneumoniae* is: Indole (-), Methyl Red (-), Voges-Proskauer (+), Citrate (+). **Key Point:** *Klebsiella pneumoniae* is indole negative, which is the most important biochemical feature distinguishing it from *E. coli* in clinical microbiology.
Explanation: ***Listeria monocytogenes*** - *Listeria monocytogenes* produces a **positive CAMP test** (reverse CAMP test) when streaked perpendicular to ***Staphylococcus aureus*** on blood agar - The CAMP factor from Listeria enhances the **beta-hemolysis** produced by S. aureus, creating a characteristic **arrowhead or shovel-shaped zone** of enhanced hemolysis at the junction - This synergistic hemolytic pattern is diagnostically important for identifying Listeria - Listeria is a **Gram-positive, motile, facultative intracellular bacterium** that causes meningitis, septicemia, and food-borne illness *Clostridium perfringens* - While *C. perfringens* produces **alpha toxin (lecithinase)** causing a **double zone of hemolysis** on blood agar (inner complete hemolysis, outer partial hemolysis), this is NOT the CAMP test pattern - C. perfringens can show a **reverse CAMP reaction** where it inhibits (rather than enhances) hemolysis from Group B streptococci, which is opposite to the enhancement pattern - The double zone appearance is distinct from the butterfly/arrowhead pattern of the CAMP test *S. aureus* - *S. aureus* serves as the **indicator organism** in the CAMP test, not the test organism - It produces **beta-hemolysin (beta-toxin)** which is enhanced by CAMP factor-producing organisms - S. aureus alone produces typical **beta-hemolysis** (complete, clear zone) without the arrowhead pattern *M. pneumoniae* - *Mycoplasma pneumoniae* is an **atypical bacterium** lacking a cell wall - It does not produce hemolytic toxins or participate in CAMP reactions - Requires specialized culture media (Eaton's agar, PPLO medium) and does not grow well on standard blood agar - Not relevant to CAMP test interpretation
Explanation: ***Clostridium perfringens*** - This image depicts the **Nagler reaction** (also known as the lecithinase test), which is characteristic of *Clostridium perfringens* - The opaque zone around the bacterial colonies is due to the breakdown of **lecithin** by the alpha-toxin (lecithinase) produced by *C. perfringens* - *C. perfringens* is the classic organism demonstrating a strong positive Nagler reaction *Clostridium botulinum* - *Clostridium botulinum* does not produce lecithinase and would not show a positive Nagler reaction - It is best known for producing **botulinum toxin**, which causes flaccid paralysis *Clostridium tetani* - *Clostridium tetani* is identified by its **tennis-racket spore morphology** and production of tetanus toxin - It does not produce lecithinase, and thus the Nagler reaction would be negative *Clostridium novyi* - While *Clostridium novyi* can produce alpha-toxin, it is not the primary organism for which the Nagler reaction is used for definitive identification - *C. perfringens* remains the classic and most reliable example for this test
Staphylococci
Practice Questions
Streptococci and Enterococci
Practice Questions
Neisseria and Moraxella
Practice Questions
Corynebacterium and Listeria
Practice Questions
Bacillus and Clostridium
Practice Questions
Enterobacteriaceae
Practice Questions
Vibrio, Aeromonas, and Plesiomonas
Practice Questions
Pseudomonas and Related Bacteria
Practice Questions
Haemophilus and HACEK Group
Practice Questions
Bordetella and Brucella
Practice Questions
Mycobacteria
Practice Questions
Spirochetes
Practice Questions
Get full access to all questions, explanations, and performance tracking.
Start For Free