Treponema is most difficult to isolate from which type of lesion?
Which mycobacteria grow in culture within 1-2 weeks?
A seven-year-old boy presented with high-grade fever, headache, disorientation, and projectile vomiting. Examination revealed neck rigidity and a positive Kernig's sign. Lumbar puncture was performed. Gram staining of the cerebrospinal fluid (CSF) showed Gram-negative cocci. What is the most likely cause of this infection?
Which of the following is a Category A Bioterrorism agent?
Which organisms are involved in pit and fissure caries?
A 40-year-old man presents with a nonproductive cough, malaise, sinusitis, and sore throat. His chest x-ray reveals patchy infiltrates in the upper right lung without consolidation. He denies recent exposure to new pets. Sputum Gram-stain shows poorly staining Gram-negative rods. Laboratory cultures on standard media are unsuccessful, but the organism grows in tissue culture. What bacterium is most likely causing this infection?
The Donath-Landsteiner reaction is used in the diagnosis of:
How can a carrier of Neisseria meningitidis be detected?
Which of the following is NOT a characteristic feature of Hutchinson's triad?
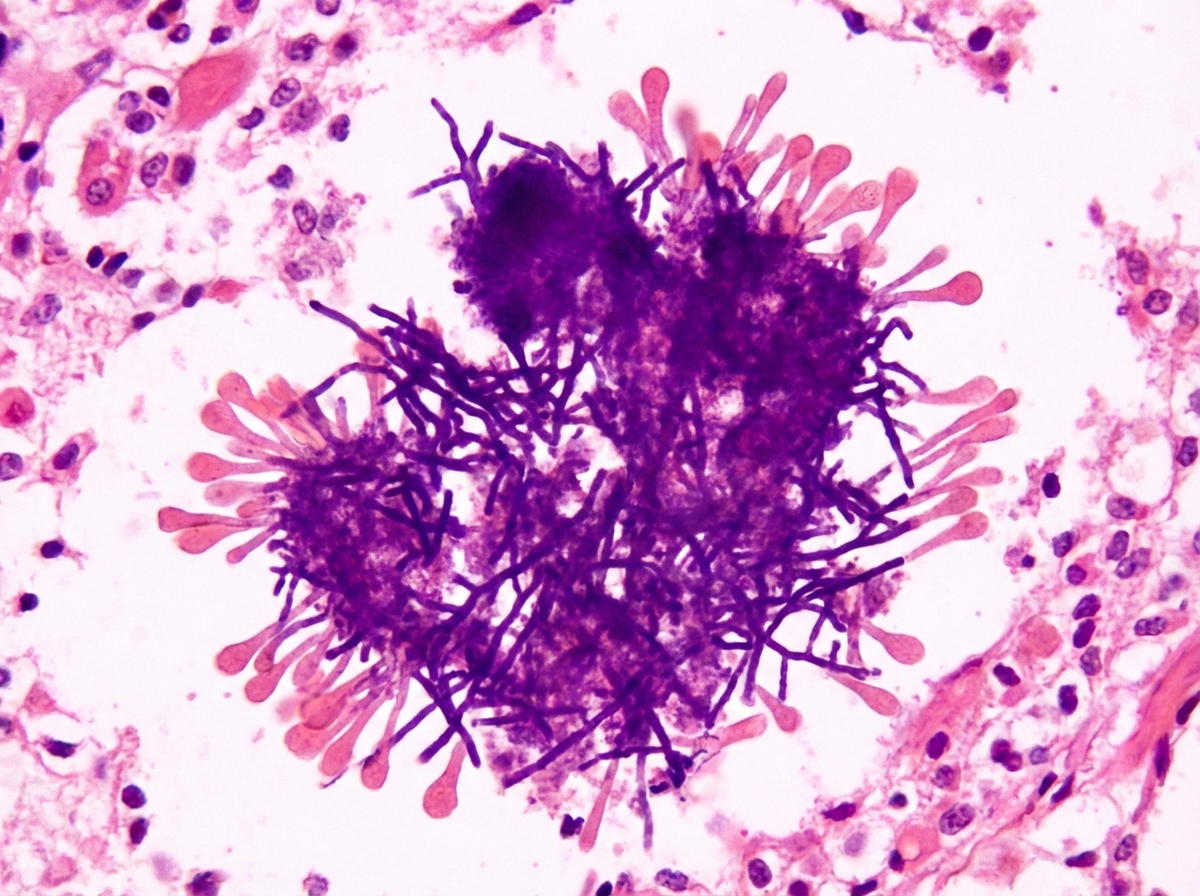
A 50-year-old female patient presented with a painless, exudative swelling of the right jaw, following trauma to the same area. Pus sent for culture revealed a sulfur granule on macroscopic examination. A Gram stain of the exudate is provided. What is the drug of choice for this condition?

Explanation: **Explanation:** The correct answer is **Gumma (Option A)**. This is because syphilis is divided into stages based on the bacterial load and the body's immune response. 1. **Why Gumma is correct:** Gummas are the hallmark of **Tertiary Syphilis**. At this late stage, the clinical manifestations are not due to active bacterial multiplication, but rather a **delayed-type hypersensitivity (Type IV) reaction** to a very small number of surviving spirochetes. Because the bacterial load is extremely low (paucibacillary), *Treponema pallidum* is notoriously difficult to isolate or demonstrate via microscopy in these lesions. 2. **Why other options are incorrect:** * **Chancre (Primary Syphilis):** This is the site of initial inoculation where bacteria multiply rapidly. It is teeming with spirochetes and is the best site for Dark Ground Microscopy (DGM). * **Mucosal lesions & Macular rash (Secondary Syphilis):** Secondary syphilis represents the stage of hematogenous dissemination (bacteremia). Mucous patches and condyloma lata are highly infectious and contain a high concentration of treponemes. **NEET-PG High-Yield Pearls:** * **Infectivity:** Syphilis is most infectious during the Primary and Secondary stages. Tertiary syphilis (Gumma) is generally considered non-infectious. * **Microscopy:** Dark Ground Microscopy (DGM) is the gold standard for symptomatic primary and secondary lesions but is **useless for Gummas**. * **Serology:** While microscopy fails in tertiary syphilis, non-specific (VDRL/RPR) and specific (TPHA/FTA-ABS) serological tests remain positive. * **Cultivability:** Remember that *T. pallidum* cannot be grown on artificial culture media; it is maintained via serial passage in rabbit testes (Nichol’s strain).
Explanation: **Explanation:** The classification of Non-Tuberculous Mycobacteria (NTM) is primarily based on the **Runyon Classification**, which categorizes them into four groups based on growth rate and pigment production. **1. Why M. chelonae is correct:** * **M. chelonae** belongs to **Runyon Group IV (Rapid Growers)**. * Rapid growers are characterized by their ability to form visible colonies on solid media (like Lowenstein-Jensen or Middlebrook agar) in **less than 7 days** (typically 1–2 weeks in clinical practice). * Other members of this group include *M. fortuitum* and *M. abscessus*. **2. Why the other options are incorrect:** * **M. kansasii (Option A):** A member of Runyon Group I (Photochromogens). These are **Slow Growers**, taking 2–4 weeks to grow, and produce pigment only when exposed to light. * **M. leprae (Option B):** This organism is **obligate intracellular** and **cannot be grown** on artificial culture media or cell cultures. It is traditionally grown in the footpads of mice or in nine-banded armadillos. * **M. avium-intracellulare (Option D):** Also known as MAC, these belong to Runyon Group III (Non-photochromogens). They are **Slow Growers** (2–4 weeks) and do not produce pigment. **High-Yield NEET-PG Pearls:** * **Runyon Classification Summary:** * Group I: Photochromogens (*M. kansasii, M. marinum*) * Group II: Scotochromogens (*M. scrofulaceum, M. szulgai*) * Group III: Non-photochromogens (*MAC, M. ulcerans*) * Group IV: Rapid Growers (*M. fortuitum, M. chelonae, M. abscessus*) * **Clinical Association:** *M. chelonae* and *M. fortuitum* are frequently associated with post-injection abscesses and infections following plastic surgery or tattooing. * **M. tuberculosis** is also a slow grower, typically requiring 2–8 weeks for visible growth.
Explanation: ### Explanation **Correct Answer: B. Neisseria meningitidis** The clinical presentation of high-grade fever, projectile vomiting, neck rigidity, and a positive Kernig’s sign is classic for **acute bacterial meningitis**. The definitive clue lies in the CSF Gram stain: **Gram-negative cocci**. *Neisseria meningitidis* (Meningococcus) is the only organism among the options that fits this morphological description (typically appearing as Gram-negative bean-shaped diplococci). It is a leading cause of meningitis in children and young adults, often occurring in outbreaks. **Analysis of Incorrect Options:** * **A. Escherichia coli:** While a common cause of neonatal meningitis (0–3 months), it is a **Gram-negative bacilli** (rod), not a coccus. * **C. Haemophilus influenzae:** This is a **Gram-negative coccobacillus**. While it was a leading cause of childhood meningitis, its incidence has significantly decreased due to the Hib vaccine. * **D. Streptococcus pneumoniae:** This is the most common cause of sporadic meningitis in adults and children. However, it is a **Gram-positive coccus** (typically lancet-shaped diplococci). **High-Yield Clinical Pearls for NEET-PG:** * **Age-wise Etiology:** * *Neonates:* Group B Streptococcus, *E. coli*, *Listeria monocytogenes*. * *Children/Adults:* *S. pneumoniae*, *N. meningitidis*. * **CSF Findings in Bacterial Meningitis:** Increased opening pressure, high protein, low glucose (<40 mg/dL), and marked neutrophilic pleocytosis. * **Waterhouse-Friderichsen Syndrome:** A severe complication of meningococcemia characterized by adrenal hemorrhage and shock. * **Culture:** *N. meningitidis* grows best on **Thayer-Martin medium** or Chocolate agar in a 5–10% $CO_2$ environment.
Explanation: **Explanation:** The Centers for Disease Control and Prevention (CDC) classifies bioterrorism agents into three categories (A, B, and C) based on their risk to national security, ease of dissemination, and potential for public health impact. **Correct Answer: D. Ebola virus** Category A agents are the highest priority because they are easily transmitted from person to person, result in high mortality rates, and have the potential for major public health impact. The "Big Six" Category A agents are: 1. **Anthrax** (*Bacillus anthracis*) 2. **Botulism** (*Clostridium botulinum* toxin) 3. **Plague** (*Yersinia pestis*) 4. **Smallpox** (*Variola major*) 5. **Tularemia** (*Francisella tularensis*) 6. **Viral Hemorrhagic Fevers** (including **Ebola**, Marburg, Lassa, and Machupo). **Analysis of Incorrect Options:** * **A. Brucella:** Classified as a **Category B** agent. These are moderately easy to disseminate, result in moderate morbidity, and low mortality rates. * **B. Melioidosis (*Burkholderia pseudomallei*):** Also a **Category B** agent. (Note: Glanders is also in this category). * **C. Hanta virus:** Classified as a **Category C** agent. These are emerging pathogens that could be engineered for mass dissemination in the future because of availability and ease of production. **High-Yield Clinical Pearls for NEET-PG:** * **Category A Mnemonic:** "**B**-**A**-**P**-**T**-**S**-**V**" (**B**otulism, **A**nthrax, **P**lague, **T**ularemia, **S**mallpox, **V**iral Hemorrhagic Fevers). * **Coxiella burnetii (Q fever)** is a common "trap" option; it is Category B, not A. * **Category C** includes Nipah virus, Yellow fever, and Multidrug-resistant TB.
Explanation: **Explanation:** Dental caries is a multifactorial infectious disease characterized by the demineralization of the tooth structure. The microbial etiology of caries varies depending on the anatomical site of the lesion (pit and fissure vs. smooth surface vs. root caries). 1. **Streptococcus mutans:** These are the primary initiators of dental caries. They are highly acidogenic (produce acid) and aciduric (survive in acidic environments). They produce extracellular polysaccharides (glucans) from sucrose, which allows them to adhere to the tooth enamel, forming the initial dental plaque. 2. **Lactobacillus species:** While poor at adhering to clean tooth surfaces, Lactobacilli are secondary invaders that thrive in the acidic environment created by S. mutans. They are found in high numbers in established carious lesions and are the major contributors to the **progression** of deep dentinal caries. 3. **Actinomyces species:** Specifically *Actinomyces viscosus* and *Actinomyces naeslundii*, these are frequently isolated from dental plaque and are particularly associated with **root surface caries** and the early stages of plaque formation in pits and fissures. **Why "All of the above" is correct:** Pit and fissure caries (found on the occlusal surfaces of molars) involve a complex biofilm. While *S. mutans* initiates the process, *Lactobacillus* ensures the progression into the dentin, and *Actinomyces* is often part of the polymicrobial community within the fissure. **High-Yield Clinical Pearls for NEET-PG:** * **Primary Initiator:** *Streptococcus mutans*. * **Progression of Caries:** *Lactobacillus*. * **Root Caries:** *Actinomyces viscosus*. * **Stephan Curve:** A graph representing the rapid drop in plaque pH following sugar consumption and its gradual recovery; critical for understanding demineralization. * **Substrate:** Sucrose is the most cariogenic sugar because it is the only substrate used to synthesize extracellular glucans.
Explanation: ### Explanation **Correct Answer: C. Chlamydophila pneumoniae** **1. Why it is correct:** The clinical presentation describes **Atypical Pneumonia** (walking pneumonia), characterized by a subacute onset of constitutional symptoms (malaise, sore throat, sinusitis) followed by a nonproductive cough. The chest X-ray finding of **patchy infiltrates** without consolidation is classic for atypical pathogens. The key microbiological clues are: * **Poorly staining Gram-negative rods:** *Chlamydophila* species have a cell wall but lack peptidoglycan, making them stain poorly. * **Obligate Intracellular Nature:** They cannot grow on standard agar (like Blood or Chocolate agar) because they require host ATP; hence, they only grow in **tissue culture** (e.g., HL or HEp-2 cells). * **Epidemiology:** Unlike *C. psittaci*, there is no history of bird exposure, pointing towards the human-to-human transmitted *C. pneumoniae*. **2. Why incorrect options are wrong:** * **A. Chlamydia trachomatis:** Primarily causes urogenital infections, trachoma, and neonatal pneumonia (staccato cough). It does not typically cause community-acquired pneumonia in adults. * **B. Chlamydophila psittaci:** Causes psittacosis. While the symptoms are similar, it is strictly associated with **exposure to birds** (parrots, pigeons). The question specifically denies pet/animal exposure. * **D. Mycoplasma pneumoniae:** The most common cause of atypical pneumonia. However, *Mycoplasma* **completely lacks a cell wall** (not just poorly staining) and can be grown on specialized cell-free media (e.g., PPLO agar/Eaton’s agar) showing "fried-egg" colonies, unlike *Chlamydia* which requires tissue culture. **3. High-Yield Clinical Pearls for NEET-PG:** * **Chlamydophila Life Cycle:** Exists in two forms—**Elementary Body** (Infectious, extracellular) and **Reticulate Body** (Replicative, intracellular). * **Diagnosis:** Serology (Microimmunofluorescence) is the gold standard; PCR is increasingly used. * **Treatment:** Macrolides (Azithromycin) or Tetracyclines (Doxycycline) are first-line as they penetrate intracellularly. * **Association:** *C. pneumoniae* has a controversial but frequently tested association with **Atherosclerosis** and coronary artery disease.
Explanation: **Explanation:** The **Donath-Landsteiner reaction** is the gold standard diagnostic test for **Paroxysmal Cold Hemoglobinuria (PCH)**. **1. Why the Correct Answer is Right:** PCH is a rare form of autoimmune hemolytic anemia characterized by the presence of the **Donath-Landsteiner antibody**. This is a **biphasic IgG antibody** (anti-P specificity) that exhibits a unique temperature-dependent behavior: * **Cold Phase (approx. 4°C):** The antibody binds to the P-antigen on the surface of Red Blood Cells (RBCs) and fixes the early components of the complement system. * **Warm Phase (37°C):** As the blood warms to body temperature, the complement cascade is completed, leading to brisk intravascular hemolysis. The laboratory test mimics this by cooling the patient's serum and RBCs and then warming them to observe hemolysis. **2. Why the Other Options are Incorrect:** * **Malaria:** Diagnosis is primarily via peripheral blood smears (thick/thin) or Rapid Diagnostic Tests (RDTs) for plasmodium antigens. * **Whooping Cough (Bordetella pertussis):** Diagnosed via culture on specialized media (Bordet-Gengou or Regan-Lowe) or PCR. * **Anthrax (Bacillus anthracis):** Diagnosed via Gram stain (Medusa head colonies), McFadyean’s reaction (capsule staining), or the Ascoli precipitin test. **3. NEET-PG High-Yield Pearls:** * **PCH Etiology:** Classically associated with **Late Syphilis**, but currently more common in children following **viral infections** (e.g., Measles, Mumps, CMV). * **Antibody Type:** Remember it is an **IgG** antibody, which is unusual as most "cold" antibodies (like in Cold Agglutinin Disease) are IgM. * **Specificity:** It is almost always directed against the **P-antigen**.
Explanation: **Explanation:** The detection of a **carrier** state differs significantly from the diagnosis of **acute disease**. *Neisseria meningitidis* (Meningococcus) is an exclusive human pathogen that colonizes the **nasopharynx**. While most colonized individuals remain asymptomatic (carriers), they serve as the primary reservoir for transmission via respiratory droplets. **Why Option D is Correct:** To identify a carrier, samples must be taken from the site of commensal colonization. A **nasopharyngeal swab** is the gold standard. The specimen is typically inoculated onto selective media like **Thayer-Martin** or **Modified Lewis-Jensen** medium to suppress normal flora and isolate the Meningococcus. **Why Other Options are Incorrect:** * **Options A & B (CSF PCR/Culture):** These are used to diagnose **Meningococcal Meningitis** (acute disease). In a carrier, the bacteria have not breached the mucosal barrier to enter the subarachnoid space; therefore, CSF will be negative. * **Option C (Blood Culture):** This is the primary investigation for **Meningococcemia** (sepsis). Carriers do not have bacteremia. **Clinical Pearls for NEET-PG:** * **Carrier Rate:** Approximately 5–10% of the healthy adult population are carriers; this can rise to 70–80% in crowded settings like military barracks or dormitories. * **Site of Colonization:** Nasopharynx (specifically the non-ciliated columnar epithelium). * **Drug of Choice for Carrier Eradication:** **Rifampicin** (oral) is the standard for chemoprophylaxis to clear the carrier state. Ciprofloxacin or Ceftriaxone are alternatives. * **Morphology:** Gram-negative, kidney-shaped diplococci. * **Biochemical Key:** It ferments both **Glucose and Maltose** (unlike *N. gonorrhoeae*, which ferments only Glucose).
Explanation: **Explanation:** Hutchinson’s triad is a classic clinical presentation of **Late Congenital Syphilis** (symptoms appearing after 2 years of age). It is caused by the transplacental transmission of *Treponema pallidum*. **Why Cataract is the correct answer:** Cataract is **not** a component of Hutchinson’s triad. While congenital syphilis can cause various ocular issues, the specific ocular component of the triad is **Interstitial Keratitis**, which involves inflammation of the corneal stroma leading to scarring and potential blindness, rather than opacification of the lens (cataract). **Analysis of other options:** * **Interstitial Keratitis (Option A):** A hallmark of the triad, usually appearing between ages 5 and 15. It presents with ground-glass corneal edema. * **Notched Incisors (Option B):** Also known as **Hutchinson’s teeth**. These are permanent upper central incisors that are small, widely spaced, and peg-shaped with a central notch on the biting edge. * **Deafness (Option C):** Specifically, **Sensorineural hearing loss** caused by eighth cranial nerve (vestibulocochlear) involvement. It often develops suddenly around puberty. **High-Yield Clinical Pearls for NEET-PG:** * **Mulberry Molars:** Another dental finding in late congenital syphilis characterized by multiple rudimentary cusps on the first molars. * **Saber Shin:** Anterior bowing of the tibia due to periostitis. * **Clutton’s Joints:** Symmetrical painless swelling of the knees. * **Early Congenital Syphilis signs:** Snuffles (syphilitic rhinitis), palmoplantar rash, and condyloma lata. * **Drug of Choice:** Penicillin G remains the treatment of choice for all stages of syphilis.
Explanation: ***Penicillin*** - **Actinomycosis** caused by **Actinomyces israelii** is highly sensitive to **penicillin**, making it the drug of choice for this anaerobic gram-positive organism. - High-dose **intravenous penicillin** followed by oral therapy is required for complete eradication due to the organism's deep tissue penetration. *Azithromycin* - While **macrolides** have some activity against Actinomyces, they are not first-line therapy and have **lower efficacy** compared to penicillin. - **Azithromycin** is more commonly used for atypical respiratory pathogens like **Mycoplasma** and **Chlamydia**. *Doxycycline* - **Tetracyclines** like doxycycline are second-line alternatives for penicillin-allergic patients but have **inferior clinical outcomes**. - Primary use is for **rickettsial diseases**, **Lyme disease**, and **atypical pneumonia**, not actinomycosis. *Streptomycin* - **Aminoglycosides** like streptomycin have **poor anaerobic coverage** and are ineffective against Actinomyces israelii. - Primarily used for **tuberculosis** and certain gram-negative infections, with significant **ototoxicity** and **nephrotoxicity** risks.
Staphylococci
Practice Questions
Streptococci and Enterococci
Practice Questions
Neisseria and Moraxella
Practice Questions
Corynebacterium and Listeria
Practice Questions
Bacillus and Clostridium
Practice Questions
Enterobacteriaceae
Practice Questions
Vibrio, Aeromonas, and Plesiomonas
Practice Questions
Pseudomonas and Related Bacteria
Practice Questions
Haemophilus and HACEK Group
Practice Questions
Bordetella and Brucella
Practice Questions
Mycobacteria
Practice Questions
Spirochetes
Practice Questions
Get full access to all questions, explanations, and performance tracking.
Start For Free