The characteristic 'fried egg' colony morphology is observed in the culture of which microorganism?
Which of the following statements is true about tuberculosis?
What type of diarrhea is caused by Vibrio cholerae?
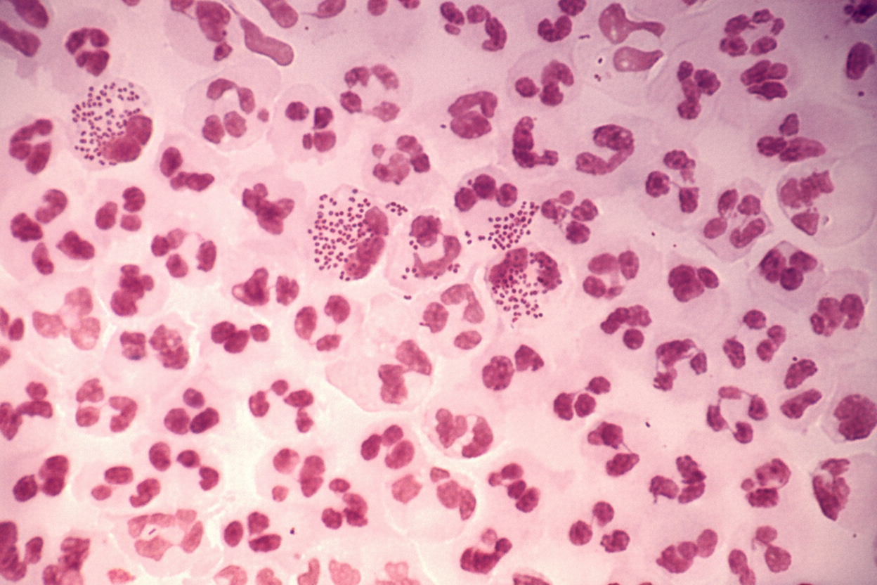
A 25-year-old sexually active unmarried male presents with urethral discharge after unprotected sex with a sexual worker. A Gram stain was provided; what is the most likely causative organism?

Which of the following is a scotochromogen?
Which of the following statements about Corynebacterium diphtheriae is incorrect?
For a bacterium to be seriously considered in the etiology of dental caries, it must:
Which structure is responsible for the adhesion of bacteria to surfaces?
Which of the following organisms is anaerobic?
Which of the following conditions is associated with antibodies against phenolic glycolipid (PGL-1)?
Explanation: **Explanation:** **1. Why Mycoplasma is correct:** *Mycoplasma* species (including *M. pneumoniae* and *M. hominis*) are the smallest free-living organisms. They lack a rigid cell wall, which allows the central part of the colony to grow downward into the agar surface, while the peripheral part grows horizontally on the surface. This differential growth pattern creates a central dark zone and a translucent periphery, resembling a **'fried egg'** appearance. This is best visualized using a hand lens or low-power microscopy on specialized media like **PPLO agar** or **Hayflick’s medium**. **2. Why other options are incorrect:** * **Legionella:** Requires **BCYE (Buffered Charcoal Yeast Extract)** agar for growth. Colonies typically have a "ground glass" appearance, not fried egg. * **Chlamydia trachomatis:** These are obligate intracellular bacteria and **cannot be grown on artificial agar media**. They require cell cultures (e.g., McCoy cells) where they form characteristic iodine-staining inclusion bodies. * **Haemophilus:** Requires Factor V (NAD) and Factor X (Hemin). On chocolate agar, they appear as small, grey, mucoid colonies. *H. influenzae* also exhibits the "satellitism" phenomenon around *S. aureus*. **3. NEET-PG High-Yield Pearls:** * **Cell Wall:** Mycoplasmas are naturally resistant to Beta-lactams (Penicillins/Cephalosporins) because they lack a cell wall. * **Sterols:** They are the only bacteria that require **sterols** (cholesterol) in their culture media for membrane stability. * **Ureaplasma urealyticum:** A related genus that also shows "T-strain" (tiny) fried egg colonies and is urease positive. * **Diagnosis:** *M. pneumoniae* is associated with **Cold Agglutinins** (IgM against I-antigen on RBCs) and "Walking Pneumonia."
Explanation: **Explanation:** **Correct Option (A):** For a sputum smear to be positive using conventional Ziehl-Neelsen (ZN) staining, a high bacterial load is required. Specifically, **10,000 (10⁴) to 100,000 (10⁵) bacilli per ml** of sputum must be present for reliable detection. This explains why smear microscopy has lower sensitivity compared to culture or molecular methods (like CBNAAT), which can detect as few as 10–100 bacilli/ml. **Incorrect Options:** * **Option B:** The Mantoux test (Tuberculin Skin Test) cannot reliably differentiate between a past BCG vaccination and a natural *M. tuberculosis* infection, as both can cause a positive delayed-type hypersensitivity reaction. To differentiate these, an **IGRA (Interferon-Gamma Release Assay)** is used. * **Option C:** *Mycobacterium tuberculosis* is an obligate aerobe and a fastidious organism. It **cannot grow on ordinary media** (like Nutrient Agar). It requires enriched media such as **Lowenstein-Jensen (LJ) medium** (egg-based) or Middlebrook medium (agar/liquid-based). * **Option D:** The **Schick test** is used to determine immunity against *Corynebacterium diphtheriae* (Diphtheria). Drug sensitivity for TB is tested using phenotypic methods (Proportion method, MGIT) or genotypic methods (Line Probe Assay, CBNAAT). **High-Yield Clinical Pearls for NEET-PG:** * **Gold Standard for Diagnosis:** Culture remains the gold standard (LJ medium takes 6–8 weeks; liquid culture like MGIT takes 1–2 weeks). * **Staining:** ZN stain uses **20% Sulphuric acid** as a decolourizer. For *M. leprae*, 5% is used. * **CBNAAT (GeneXpert):** The preferred initial diagnostic test under NTEP; it detects both *M. tuberculosis* and Rifampicin resistance simultaneously.
Explanation: **Explanation:** **Vibrio cholerae** causes diarrhea through a potent enterotoxin known as **Cholera Toxin (Choleragen)**. This toxin works via an A-B subunit mechanism. The 'B' subunit binds to the GM1 ganglioside receptor on enterocytes, allowing the 'A' subunit to enter the cell. The 'A' subunit causes permanent activation of **adenylate cyclase**, leading to increased intracellular **cAMP** levels. This results in the hypersecretion of water and electrolytes (sodium, chloride, potassium, and bicarbonate) into the intestinal lumen, characteristic of **Secretory Diarrhea**. **Analysis of Options:** * **A. Osmotic:** This occurs when non-absorbable solutes (e.g., lactulose or malabsorption syndromes) remain in the gut and pull water in. In cholera, the secretion is active and toxin-mediated, not passive. * **C. Colloidal:** This is not a standard medical classification for diarrhea. * **D. Bloody:** Also known as dysentery, this is caused by invasive organisms (e.g., *Shigella*, *EIEC*, *Entamoeba histolytica*) that cause mucosal destruction. *V. cholerae* is non-invasive and does not cause blood in stools. **High-Yield Clinical Pearls for NEET-PG:** * **Stool Appearance:** Classically described as **"Rice-water stools"** (non-bilious, non-bloody, with a fishy odor). * **Culture Media:** TCBS (Thiosulfate Citrate Bile Salts Sucrose) agar is the selective medium where it forms **yellow colonies**. * **Enrichment Media:** Alkaline Peptone Water (APW) and Monsur’s media. * **Microscopy:** Shows characteristic **"Darting motility"** (inhibited by specific antisera in the Cholera Immobilization Test). * **Treatment:** The cornerstone is aggressive rehydration (ORS/IV fluids). Doxycycline is the drug of choice to reduce the duration of shedding.
Explanation: ***Neisseria*** - **Neisseria gonorrhoeae** appears as **Gram-negative intracellular diplococci** within **polymorphonuclear neutrophils (PMNs)** on Gram stain, making it easily identifiable. - The clinical presentation of **urethral discharge** after unprotected sex with high-risk exposure strongly supports gonococcal urethritis. *Chlamydia* - **Chlamydia trachomatis** is an **obligate intracellular bacterium** that **cannot be visualized** on routine Gram stain. - Requires specialized testing like **nucleic acid amplification tests (NAATs)** or **direct fluorescent antibody (DFA)** for diagnosis. *Trichomonas* - **Trichomonas vaginalis** is a **protozoan parasite**, not a bacterium, so it **does not appear** on Gram stain. - Diagnosis requires **wet mount microscopy** showing motile trichomonads or **culture/molecular testing**. *Ureaplasma* - **Ureaplasma urealyticum** lacks a **cell wall**, making it **invisible** on Gram stain which relies on cell wall components. - Requires **specialized culture media** and **molecular methods** for identification and is less commonly associated with acute purulent urethritis.
Explanation: **Explanation:** The classification of Non-Tuberculous Mycobacteria (NTM) is based on the **Runyon Classification**, which categorizes slow-growing mycobacteria into three groups based on their pigment production in relation to light exposure. **1. Why M. scrofulaceum is correct:** **M. scrofulaceum** belongs to **Runyon Group II (Scotochromogens)**. These organisms produce pigment (usually yellow-orange) regardless of whether they are grown in the dark or the light. Clinically, it is a common cause of cervical lymphadenitis (scrofula) in children. **2. Analysis of Incorrect Options:** * **M. ulcerans:** This is a slow-growing mycobacterium but is **non-chromogenic** (Group III). It is the causative agent of Buruli ulcer and prefers cooler temperatures (30-33°C). * **M. kansasii:** This belongs to **Runyon Group I (Photochromogens)**. These organisms are non-pigmented when grown in the dark but produce a yellow-orange pigment (carotenoid) only after exposure to light. * **M. fortuitum:** This belongs to **Runyon Group IV (Rapid Growers)**. These organisms typically form visible colonies on culture media within 7 days. They are generally non-chromogenic. **High-Yield NEET-PG Pearls:** * **Runyon Group I (Photochromogens):** *M. kansasii, M. marinum* (Mnemonic: **K**ansas **M**arine). * **Runyon Group II (Scotochromogens):** *M. scrofulaceum, M. szulgai* (at 37°C), *M. gordonae* (tap water bacillus). * **Runyon Group III (Non-chromogens):** *M. avium-intracellulare (MAC), M. ulcerans.* * **Runyon Group IV (Rapid Growers):** *M. fortuitum, M. chelonae, M. abscessus.* * **M. marinum** is associated with "Swimming pool granuloma."
Explanation: ### Explanation **Correct Answer: A. Toxin production is mediated by a lysogenic bacteriophage.** Wait—there is a slight discrepancy in the question prompt's marking. Option A is actually a **correct statement** regarding the biology of *C. diphtheriae*. In NEET-PG, if the question asks for the **incorrect** statement, and all options provided are factually true, it is essential to re-evaluate the nuances. However, based on standard microbiology: 1. **Why Option A is a "Correct Statement" (and thus the likely intended answer if the question was "Which is true"):** The virulence of *C. diphtheriae* depends entirely on the production of the diphtheria toxin (DT). This toxin is encoded by the **tox gene**, which is not part of the bacterial chromosome but is introduced by a **lysogenic bacteriophage (Beta-phage)**. This process is known as **lysogenic conversion**. Non-toxigenic strains can become pathogenic if infected by this phage. **Analysis of other options (All are factually correct statements):** * **Option B:** The primary pathogenicity is indeed toxin-mediated. The toxin (an AB toxin) inhibits protein synthesis by inactivating **Elongation Factor-2 (EF-2)** via ADP-ribosylation. * **Option C:** Once the toxin enters the bloodstream (toxemia), it has a high affinity for cardiac and neural tissues, leading to **myocarditis** and **demyelinating peripheral neuropathy** (e.g., palatal paralysis). * **Option D:** Diphtheria is a vaccine-preventable disease (via DPT/Pentavalent vaccine). It remains most prevalent in pediatric populations with incomplete immunization coverage. --- ### High-Yield Clinical Pearls for NEET-PG: * **Morphology:** Gram-positive, club-shaped bacilli arranged in **Chinese-letter patterns** (cuneiform). * **Granules:** Presence of **Volutin/Metachromatic granules** (Babes-Ernst bodies) which stain best with **Albert’s stain**. * **Culture:** Use **Löffler's serum slope** (rapid growth) or **Potassium Tellurite Agar** (black colonies). * **Toxin Detection:** **Elek’s Gel Precipitation Test** is the gold standard for detecting toxigenicity. * **Schick Test:** Used to determine the immune status of an individual (susceptibility).
Explanation: To be considered an etiologic agent of dental caries, a microorganism must fulfill specific ecological and physiological criteria. The primary requirement is its consistent presence within the **dental plaque** (a complex biofilm), as this is the localized environment where tooth demineralization occurs. ### **Explanation of Options** * **A. Exist regularly in the dental plaque (Correct):** For a bacterium to cause caries, it must be able to colonize the tooth surface, adhere to the dental pellicle, and persist within the biofilm. Without regular presence in the plaque, it cannot maintain the sustained acid production necessary to dissolve tooth enamel. * **B. Produce extracellular amylopectins (Incorrect):** While some bacteria produce extracellular polysaccharides, they typically produce **glucans (dextrans)** and **levans** from sucrose. These aid in adhesion and serve as a carbohydrate reserve. Amylopectin is a branched starch typically associated with plant energy storage, not the primary matrix of dental plaque. * **C. Be lethal for gnotobiotic animals (Incorrect):** Gnotobiotic (germ-free) animals are used to study caries by introducing specific bacteria. While the bacteria must *induce caries* in these models, they do not need to be *lethal*. Dental caries is a localized, non-systemic infection. * **D. Produce intracellular dextrans (Incorrect):** Dextrans are **extracellular** polysaccharides (EPS) synthesized by the enzyme glucosyltransferase. They form the sticky matrix of the plaque. Bacteria produce **intracellular** polysaccharides (IPS) like glycogen-type molecules to produce acid during periods of low sugar intake, but dextran itself is extracellular. ### **High-Yield Clinical Pearls for NEET-PG** * **Main Causative Agent:** *Streptococcus mutans* is the most important initiator of enamel caries. * **Key Properties:** Cariogenic bacteria are **acidogenic** (produce acid) and **aciduric** (tolerate low pH). * **Stephan Curve:** Describes the rapid drop in plaque pH followed by a slow recovery after sugar consumption; the "critical pH" for enamel demineralization is **5.5**. * **Lactobacilli:** Associated with the *progression* of deep dentinal caries rather than the initiation of enamel caries.
Explanation: **Explanation:** The correct answer is **D. Fimbriae**. **1. Why Fimbriae is correct:** Fimbriae (also known as common pili) are hair-like surface appendages found primarily on Gram-negative bacteria. Their primary function is **adhesion**. They contain specific proteins called **adhesins** at their tips, which allow bacteria to attach to specific receptors on host epithelial cells. This attachment is the crucial first step in colonization and subsequent infection. **2. Why the other options are incorrect:** * **Capsule (A):** This is a well-organized polysaccharide layer. Its primary role is **anti-phagocytic** (protecting the bacteria from the host immune system) rather than primary adhesion. * **Slime layer (B):** This is an unorganized, loose extracellular material. While it helps in forming biofilms, its main function is protection against desiccation and antibiotics. * **Flagella (C):** These are long, whip-like structures primarily responsible for **motility** (chemotaxis). While they can play a minor role in sensory functions, they are not the specialized organs of adhesion. **3. High-Yield Clinical Pearls for NEET-PG:** * **Sex Pili vs. Common Pili:** Do not confuse fimbriae with sex pili. Sex pili are longer, fewer in number, and responsible for **conjugation** (transfer of genetic material). * **Uropathogenic E. coli (UPEC):** Uses **P-fimbriae** to attach to uroepithelial cells, causing UTIs. * **Neisseria gonorrhoeae:** Its virulence is highly dependent on fimbriae; strains without them are non-pathogenic. * **Mnemonic:** **F**imbriae for **F**astening (Adhesion); **F**lagella for **F**light (Motility).
Explanation: **Explanation:** The classification of bacteria based on oxygen requirements is a high-yield topic for NEET-PG. Bacteria are categorized into obligate aerobes, obligate anaerobes, facultative anaerobes, and microaerophiles. **Correct Answer: B. Bacteroides** *Bacteroides* species (e.g., *B. fragilis*) are **obligate anaerobes**. They lack enzymes like superoxide dismutase and catalase, making them unable to neutralize toxic oxygen free radicals. They are the most common anaerobic inhabitants of the human colon and are frequently implicated in intra-abdominal abscesses and aspiration pneumonia. **Analysis of Incorrect Options:** * **A. E. coli & D. Klebsiella:** Both belong to the family *Enterobacteriaceae*. They are **facultative anaerobes**, meaning they prefer oxygen for aerobic respiration but can switch to fermentation or anaerobic respiration in its absence. Most human pathogens fall into this category. * **C. Pseudomonas:** *Pseudomonas aeruginosa* is an **obligate aerobe**. It requires oxygen as the terminal electron acceptor and cannot grow in anaerobic conditions. **NEET-PG Clinical Pearls:** * **Obligate Anaerobes Mnemonic:** "ABC" – **A**ctinomyces, **B**acteroides, **C**lostridium. * **Obligate Aerobes Mnemonic:** "Nocardia Loves Pure Air" – **N**ocardia, **L**egionella, **P**seudomonas, **A**cid-fast bacilli (Mycobacteria). * **Key Fact:** Anaerobic infections are typically characterized by a foul-smelling odor, gas formation in tissues, and a polymicrobial nature. Aminoglycosides are ineffective against anaerobes because they require oxygen-dependent transport to enter the bacterial cell.
Explanation: **Explanation:** The correct answer is **M. leprae**. **Phenolic Glycolipid-1 (PGL-1)** is a unique, species-specific surface antigen found in the cell wall of *Mycobacterium leprae*. It plays a critical role in the pathogenesis of Leprosy by facilitating the invasion of Schwann cells through binding to the laminin-α2 chain. 1. **Why M. leprae is correct:** PGL-1 is highly immunogenic. Patients with Leprosy, particularly those on the multibacillary (lepromatous) end of the spectrum, develop high titers of IgM antibodies against PGL-1. Serological assays (like ELISA) detecting these antibodies are used as biomarkers for bacterial load and to monitor treatment efficacy. 2. **Why other options are incorrect:** * **M. tuberculosis:** While it shares the *Mycobacterium* genus, its primary cell wall lipids are cord factor and sulfatides; it lacks PGL-1. * **Borrelia:** This spirochete is associated with antibodies against OspC or VlsE (Lyme disease), not phenolic glycolipids. * **Brucella:** Diagnosis relies on antibodies against the lipopolysaccharide (LPS) of the cell wall (Standard Agglutination Test). **NEET-PG High-Yield Pearls:** * **Schwann Cell Tropism:** PGL-1 is the specific molecule that allows *M. leprae* to infect peripheral nerves, leading to the characteristic anesthesia seen in Leprosy. * **Diagnostic Utility:** Anti-PGL-1 titers are highest in **Lepromatous Leprosy (LL)** and lowest/absent in Tuberculoid Leprosy (TT) due to the difference in humoral vs. cell-mediated immunity. * **Other specific components:** Remember that *M. leprae* cannot be cultured in vitro; it is grown in the footpads of mice or the nine-banded armadillo.
Staphylococci
Practice Questions
Streptococci and Enterococci
Practice Questions
Neisseria and Moraxella
Practice Questions
Corynebacterium and Listeria
Practice Questions
Bacillus and Clostridium
Practice Questions
Enterobacteriaceae
Practice Questions
Vibrio, Aeromonas, and Plesiomonas
Practice Questions
Pseudomonas and Related Bacteria
Practice Questions
Haemophilus and HACEK Group
Practice Questions
Bordetella and Brucella
Practice Questions
Mycobacteria
Practice Questions
Spirochetes
Practice Questions
Get full access to all questions, explanations, and performance tracking.
Start For Free