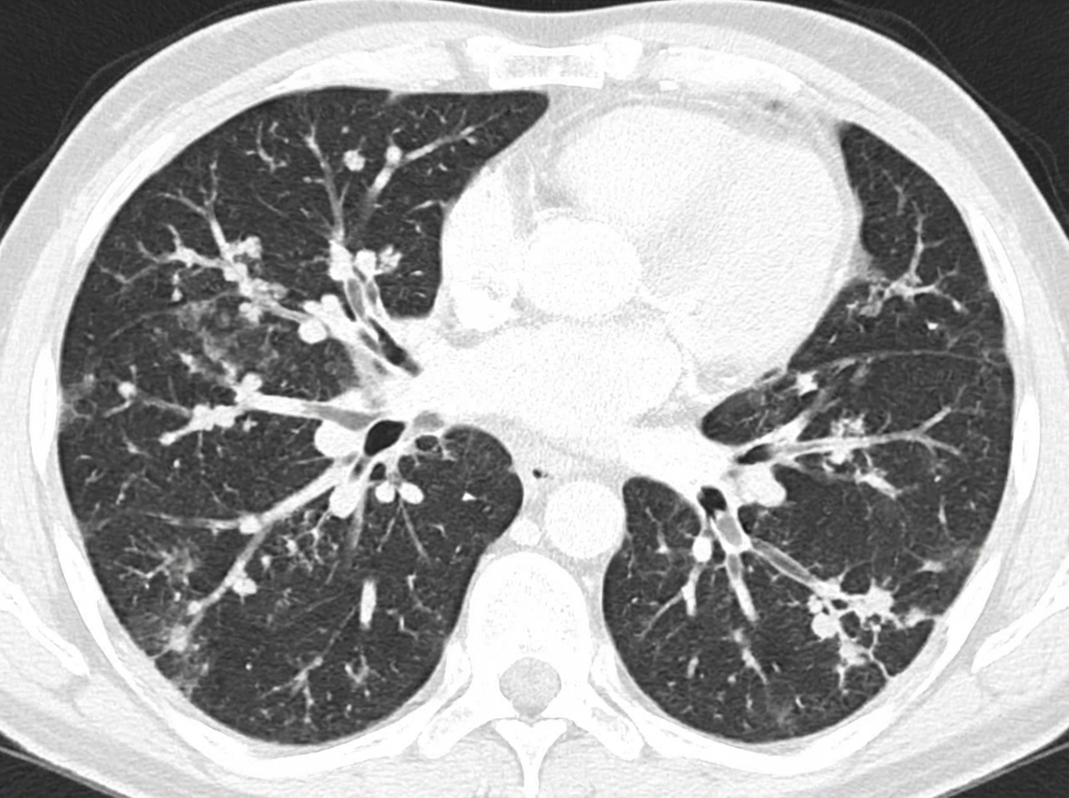
An axial HRCT of the chest is shown. The image demonstrates small peripheral branching opacities due to mucoid impaction of contiguous branching bronchioles. What is the most likely diagnosis?

All are correct about this patient except:

Which of the following will not be the feature of this patient shown below who has urine nitroprusside test positive? (Recent NEET Pattern 2016-17)

Consider the following statements regarding oculocutaneous albinism : I. The disease results from genetic abnormalities leading to destruction of melanocytes II. Type 1 albinism is due to a defect in the tyrosinase gene III. Patients may present with poor vision, rotator nystagmus and alternating strabismus IV. Patients are at an increased risk of sunburn or developing skin cancer Which of the statements given above are correct?
Wilson's disease has which of the following inheritance?
Match List-I with List-II and select the correct answer using the code given below the Lists:
Which one of the following is an autosomal recessive disease?
The clinical features of Turner Syndrome in girls include the following except:
Genetic disorder predisposing patients to develop Berry aneurysm includes all EXCEPT:
A patient presents with headache, confusion, and a diagnosis of a brain tumor. The family history reveals brain and kidney tumors. What is the most likely diagnosis?
Explanation: ***Endobronchial tuberculosis*** - The HRCT shows **bronchiolar dilatation, wall thickening, and mucoid impaction** of contiguous branching bronchioles — the hallmarks of **endobronchial TB** - This produces the classic **"tree-in-bud" appearance**: small, branching peripheral opacities on CT resembling a budding tree - Endobronchial TB results from direct spread of mycobacteria to the bronchial mucosa, causing caseous necrosis, ulceration, and luminal narrowing *Allergic bronchopulmonary aspergillosis (ABPA)* - ABPA can also cause mucoid impaction but typically involves **central (proximal) bronchi** with **high-attenuation mucus plugs**; associated with asthma and eosinophilia - Does not classically produce the peripheral tree-in-bud pattern *Pulmonary alveolar proteinosis* - PAP characteristically shows the **"crazy paving" pattern** on CT — geographic ground-glass opacities with superimposed interlobular septal thickening - Tree-in-bud is not a feature of PAP *Sarcoidosis* - Sarcoidosis typically produces **perilymphatic nodules**, bilateral hilar lymphadenopathy, and may show the "galaxy sign" or beaded fissure sign - Tree-in-bud pattern is not characteristic of sarcoidosis
Explanation: ***Eye globe rupture*** - Eye globe rupture is **not typically a feature** of Marfan syndrome or Ehlers-Danlos syndrome. - While ocular issues like **ectopia lentis** are common, the globe itself is generally not prone to spontaneous rupture. *Rubber person* - The image shows a person with **hyperextensible skin** and **hyperlax joints**, classical features of **Ehlers-Danlos syndrome**, sometimes referred to colloquially as "rubber person" due to extreme flexibility. - This term describes the characteristic **skin elasticity and joint hypermobility** seen in certain collagen disorders. *Ectopia lentis* - Ectopia lentis, or **dislocation of the lens**, is a common and characteristic ocular manifestation of **Marfan syndrome**. - It results from defective **fibrillin-1**, which is a key component of the suspensory ligaments of the lens. *Aortic rupture* - **Aortic dilation** and **aneurysm** leading to rupture or dissection are serious and potentially fatal complications of **Marfan syndrome**. - This is due to weakened connective tissue in the aortic wall, caused by the **fibrillin-1 defect**.
Explanation: ***Normal IQ*** - Homocystinuria, characterized by a positive urine nitroprusside test and Marfanoid features, typically presents with **intellectual disability** (low IQ), ranging from mild to severe. - Therefore, a normal IQ would not be a feature of this patient. *Marfanoid habitus* - The patient's tall, slender build with long limbs and **scoliosis** (evident in the image by the stooped posture and uneven shoulders) is consistent with a **Marfanoid habitus**, a common feature of homocystinuria. - This is due to disturbances in connective tissue metabolism, affecting skeletal development. *Prothrombotic state* - Homocystinuria leads to elevated levels of homocysteine, which is highly **toxic to endothelial cells** and promotes abnormal blood clot formation. - This results in a **prothrombotic state**, increasing the risk of both venous and arterial thromboses. *Arachnodactyly* - The patient exhibits features of **arachnodactyly**, characterized by **long, slender fingers and toes**, which is a classic skeletal manifestation of homocystinuria. - This finding is consistent with the connective tissue abnormalities seen in the condition.
Explanation: ***II, III and IV*** - **Type 1 oculocutaneous albinism (OCA1)** is caused by mutations in the **tyrosinase gene (TYR)**, which encodes the enzyme tyrosinase essential for melanin synthesis [1]. - Patients commonly exhibit **poor vision**, **rotatory nystagmus**, and **alternating strabismus** due to abnormal foveal development and misrouting of optic nerve fibers [1]. - Due to the **lack of melanin**, which protects against UV radiation, these patients are at a significantly increased risk of **sunburn** and developing **skin cancers** like basal cell carcinoma and squamous cell carcinoma [1]. *I, II and IV* - The first statement is incorrect; albinism is characterized by a **defect in melanin production**, not the destruction of melanocytes. Melanocytes are present but are unable to produce or distribute melanin effectively [1]. - Statements II and IV are correct, but the inclusion of the incorrect statement I makes this option incorrect overall. *I, III and IV* - The first statement is incorrect because oculocutaneous albinism is due to **impaired melanin synthesis**, not the destruction of melanocytes. Melanocytes are typically present [1]. - Statements III and IV are correct, but the inaccuracy of statement I makes this choice incorrect. *I, II and III* - Statement I is factually incorrect; albinism stems from a **defect in melanin production or transport**, not the destruction of melanocytes [1]. - Statements II and III are correct, but the inclusion of the incorrect statement I renders this option invalid.
Explanation: ***Autosomal recessive*** - Wilson's disease is caused by mutations in the **ATP7B gene**, which codes for a copper-transporting ATPase. - For an individual to develop the disease, they must inherit **two copies of the mutated gene**, one from each parent. *It is an acquired disease* - Wilson's disease is a **genetic disorder**, meaning it is inherited, not acquired through environmental factors or lifestyle [1]. - While symptoms may manifest later in life, the underlying cause is a **predisposing genetic mutation** [1]. *X-linked recessive* - X-linked recessive disorders primarily affect males as they have only one X chromosome; however, Wilson's disease **affects both sexes equally**. - The gene responsible for Wilson's disease, **ATP7B**, is located on **chromosome 13**, an autosome, not on the X chromosome. *Autosomal dominant* - In autosomal dominant inheritance, only **one copy of the mutated gene** is sufficient to cause the disease, and it is usually seen in every generation. - Wilson's disease requires **two mutated copies** of the gene to manifest, and carriers (heterozygotes) are typically asymptomatic.
Explanation: **A→4 B→1 C→3 D→2** - This option correctly matches each endocrine gland with its primary hormone: the **pineal gland** produces **melatonin**, the **testis** produces **testosterone**, the **adrenal gland** produces **cortisol**, and the **ovary** produces **estrogen**. - These pairings are fundamental to understanding the basic functions of the endocrine system. *A→4 B→3 C→1 D→2* - This option incorrectly matches the **testis** with **cortisol** (should be testosterone) and the **adrenal gland** with **melatonin** (should be cortisol). - Cortisol is a steroid hormone produced by the adrenal cortex, while melatonin from the pineal gland regulates sleep-wake cycles. *A→4 B→2 C→3 D→1* - This option incorrectly matches the **testis** with **estrogen** (should be testosterone) and the **ovary** with **melatonin** (should be estrogen). - Estrogen is the primary female sex hormone, while testosterone is the primary male sex hormone. *A→3 B→4 C→1 D→2* - This option incorrectly matches the **pineal gland** with **cortisol** (should be melatonin) and the **testis** with **estrogen** (should be testosterone). - The pineal gland is known for its role in circadian rhythms through melatonin production, not stress response hormones like cortisol.
Explanation: ***Cystic fibrosis*** - **Cystic fibrosis** is caused by mutations in the **CFTR gene**, leading to defective chloride transport and thick, sticky mucus. - It is inherited in an **autosomal recessive pattern**, meaning an individual must inherit two copies of the mutated gene (one from each parent) to develop the disease. *Retinitis pigmentosa* - **Retinitis pigmentosa** is a group of inherited eye disorders, and while some forms are X-linked or autosomal dominant, a significant portion are also inherited in an **autosomal recessive pattern**. - However, it's not exclusively autosomal recessive, making cystic fibrosis a more definitive answer in this context. *Vitamin D resistant rickets* - **Vitamin D resistant rickets**, also known as **X-linked hypophosphatemic rickets**, is primarily inherited in an **X-linked dominant pattern**. - It is characterized by impaired renal phosphate reabsorption and skeletal abnormalities despite normal vitamin D levels. *Neurofibromatosis* - **Neurofibromatosis type 1 (NF1)** and **Neurofibromatosis type 2 (NF2)** are both inherited in an **autosomal dominant pattern**. - NF1 is characterized by **café-au-lait spots**, **neurofibromas**, and optical gliomas, while NF2 involves **bilateral vestibular schwannomas**.
Explanation: ***Severe mental retardation*** - **Severe mental retardation** is not a typical feature of Turner Syndrome; individuals with Turner Syndrome usually have normal intelligence, though some may experience **visuospatial processing difficulties**. - Intellectual disabilities are not a defining characteristic of this chromosomal disorder. *Webbing of the neck* - **Webbed neck** (pterygium colli) is a characteristic physical finding in many girls with Turner Syndrome, resulting from lymphatic abnormalities during fetal development. - This feature is often present at birth and contributes to the distinct appearance associated with the syndrome. *Short stature* - **Short stature** is a nearly universal and defining feature of Turner Syndrome [1], stemming from the absence of the **short stature homeobox-containing gene (SHOX gene)** located on the missing X chromosome. - Growth hormone therapy is often used to improve adult height in affected individuals. *Delayed puberty* - **Delayed puberty** and primary amenorrhea are common in Turner Syndrome due to **gonadal dysgenesis** [1], [2], where the ovaries fail to develop or function normally. - Consequently, affected individuals have a deficiency in estrogen production, leading to absent or incomplete pubertal development.
Explanation: ***Neurofibrofomatosis Type II*** - This condition is primarily associated with **central nervous system tumors** like **vestibular schwannomas** and **meningiomas**, not Berry aneurysms [2]. - While it affects the nervous system, its vascular manifestations are typically different from those predisposing to aneurysms. *Marfan’s syndrome* - Patients with Marfan's syndrome have **fragile connective tissue** due to a defect in **fibrillin-1**, which can weaken arterial walls. - This weakness increases the risk of **aortic aneurysms** and dissections, and can also predispose to intracranial aneurysms like Berry aneurysms. *Adult polycystic kidney* - This **autosomal dominant** disorder is characterized by the formation of **cysts in the kidneys**, but also has systemic manifestations [1]. - There is a well-established association between **autosomal dominant polycystic kidney disease (ADPKD)** and an increased incidence of **Berry aneurysms**. *Fibromuscular dysplasia* - This condition involves **abnormal cellular development** in the **arterial walls**, leading to areas of narrowing and enlargement. - It commonly affects the **renal arteries** and **carotid arteries**, and is also a known risk factor for the development of **intracranial aneurysms**, including Berry aneurysms.
Explanation: ***VHL syndrome*** - **Von Hippel-Lindau (VHL) syndrome** is an inherited disorder characterized by the growth of tumors and cysts in various parts of the body, including the **brain (hemangioblastomas)** and **kidneys (renal cell carcinoma)**. - The presentation of a brain tumor, kidney tumors, and a positive family history for both organs strongly points to VHL syndrome. *Neurofibromatosis* - **Neurofibromatosis (NF)** typically presents with **cafe-au-lait spots**, neurofibromas, optic gliomas, and Lisch nodules. - While it involves brain tumors, kidney tumors are not a primary feature of NF. *Li-Fraumeni syndrome* - **Li-Fraumeni syndrome** is associated with an increased risk of various cancers, including **sarcomas**, **breast cancer**, **adrenocortical carcinomas**, and **leukemia**. - While brain tumors can occur, the specific combination of brain and kidney tumors with a clear family history is less characteristic of Li-Fraumeni than VHL syndrome. *Churg-Strauss syndrome* - **Churg-Strauss syndrome (Eosinophilic Granulomatosis with Polyangiitis)** is a systemic vasculitis characterized by **asthma**, **eosinophilia**, and **granulomatous inflammation**. - It does not involve the development of brain or kidney tumors.
Principles of Medical Genetics
Practice Questions
Genetic Testing and Counseling
Practice Questions
Single Gene Disorders
Practice Questions
Chromosomal Disorders
Practice Questions
Mitochondrial Diseases
Practice Questions
Pharmacogenomics
Practice Questions
Cancer Genetics
Practice Questions
Genetics of Common Diseases
Practice Questions
Epigenetics and Disease
Practice Questions
Genetic Basis of Developmental Disorders
Practice Questions
Ethical Issues in Medical Genetics
Practice Questions
Gene Therapy and Precision Medicine
Practice Questions
Get full access to all questions, explanations, and performance tracking.
Start For Free