An otherwise healthy athlete complains of chest pain and dyspnea during routine training, has a double impulse at the apex on examination, and undergoes sudden death. What is the likely diagnosis?
An elderly man with known ischemic heart disease develops syncope. Peripheral pulses are absent, blood pressure is not recordable, and ECG reveals wide complex tachycardia. What is the immediate management?
Rapid high-frequency fluttering of anterior mitral valve leaflets during systole on 2D ECHO is characteristically seen with which condition?
In the treatment of severe bradycardia, which of the following is NOT a primary treatment modality?
The 'a' wave in JVP is seen in which of the following conditions?
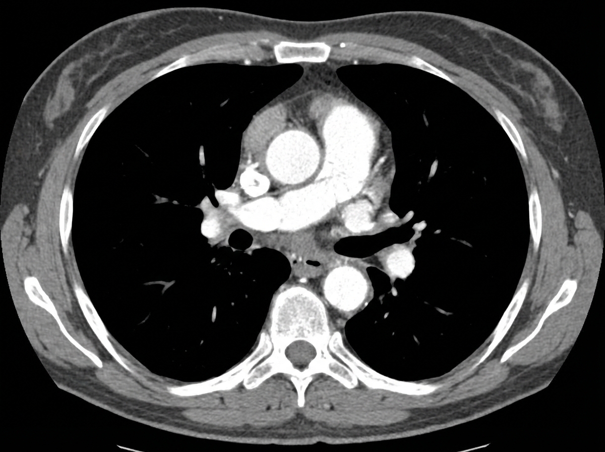
A 50-year-old male presented to the emergency department with a blood pressure of 160/100 mmHg and a heart rate of 120 bpm. A CECT scan was performed, and the image is provided. What is the management of the condition shown?

A patient presents with palpitations. He has no past history of similar episodes but reports consuming a large amount of coffee at work. What is the most appropriate first-line treatment for this patient?
A 26-year-old asymptomatic woman is found to have arrhythmias and a systolic murmur associated with midsystolic clicks. Which investigation would you use?
An 84-year-old man with a history of smoking and a myocardial infarction 2 years ago presents with chest and leg pain during exercise. His vital signs are temperature, 37.1°C; pulse, 81/min; respirations, 15/min; and blood pressure, 165/100 mm Hg. Peripheral pulses are diminished in the lower extremities. A 7-cm pulsating mass is palpable in the midline of the lower abdomen. Laboratory studies show fasting serum glucose levels of 170 mg/dL and 200 mg/dL. Which of the following vascular lesions is most likely to be present in this patient?
Cannon 'a' waves in the venous waveform are suggestive of what condition?
Explanation: ### **Explanation** The clinical presentation of a young, healthy athlete experiencing exertional chest pain and dyspnea, followed by sudden cardiac death (SCD), is a classic hallmark of **Hypertrophic Obstructive Cardiomyopathy (HOCM)** [1]. **Why HOCM is the Correct Answer:** 1. **Sudden Cardiac Death in Athletes:** HOCM is the most common cause of SCD in young athletes, usually due to ventricular arrhythmias [1], [2]. 2. **Double Impulse at Apex:** This is a pathognomonic finding. The first impulse is a forceful atrial contraction (S4) against a non-compliant ventricle, and the second is the actual ventricular apex beat. 3. **Pathophysiology:** Asymmetrical septal hypertrophy leads to Left Ventricular Outflow Tract (LVOT) obstruction, which worsens during exertion, causing symptoms like angina and syncope [1]. **Analysis of Incorrect Options:** * **Marfan Syndrome:** While associated with SCD, it usually occurs due to **aortic dissection or rupture**. It does not typically present with a double apical impulse. * **Myocardial Infarction (MI):** Rare in young, "otherwise healthy" athletes without significant risk factors or congenital coronary anomalies [2]. * **Valvular Heart Disease:** While Aortic Stenosis can cause exertional symptoms and SCD, it presents with a slow-rising pulse (*pulsus parvus et tardus*) and a single, heaving apex beat, not a double impulse [1]. **High-Yield Clinical Pearls for NEET-PG:** * **Murmur Dynamics:** HOCM features a harsh systolic ejection murmur that **increases** with Valsalva and standing (decreased preload) and **decreases** with squatting or handgrip (increased preload/afterload). * **ECG Findings:** Look for "dagger-like" Q waves in lateral leads (I, aVL, V5-V6). * **Management:** Beta-blockers are the first-line medical therapy; ICD is the definitive treatment for those at high risk of SCD.
Explanation: ### Explanation **Correct Answer: C. DC cardioversion** **Why it is correct:** The patient is presenting with **unstable Ventricular Tachycardia (VT)**. The key clinical findings are "absent peripheral pulses" and "unrecordable blood pressure," which signify **hemodynamic instability** (obstructive/cardiogenic shock) [1]. According to ACLS (Advanced Cardiovascular Life Support) guidelines, any tachyarrhythmia (wide or narrow complex) associated with signs of instability—such as hypotension, altered mental status, chest pain, or heart failure—requires immediate **Synchronized DC Cardioversion** [3]. If the patient is pulseless (as suggested here), the management follows the **Defibrillation** protocol [1]. In either case, immediate electrical therapy is the priority over pharmacological intervention. **Why incorrect options are wrong:** * **A. Thrombolysis:** While the patient has ischemic heart disease, thrombolysis is indicated for ST-elevation MI or massive PE, not as the primary treatment for an acute life-threatening arrhythmia [2]. * **B. Lidocaine:** This is an anti-arrhythmic drug used for stable VT or as an adjunct. In an unstable patient, "electricity is the drug of choice." Drugs should not delay cardioversion. * **D. IV Phenylephrine and Carotid Sinus Pressure:** Carotid sinus massage is a vagal maneuver used for stable Narrow Complex Tachycardia (SVT), not for wide complex tachycardia in an unstable patient. Phenylephrine (a vasopressor) will not terminate the underlying rhythm. **High-Yield Clinical Pearls for NEET-PG:** 1. **The "Unstable" Rule:** If a patient with tachycardia has any of the **4 H's** (Hypotension, Heart Failure, Hurt [Chest pain], Head [Altered mentation]), the answer is always **DC Cardioversion**. 2. **Synchronized vs. Unsynchronized:** Use synchronized cardioversion for unstable VT with a pulse; use unsynchronized shocks (defibrillation) for pulseless VT or Ventricular Fibrillation. 3. **Drug of Choice for Stable VT:** Amiodarone is currently the preferred first-line agent for hemodynamically stable VT.
Explanation: **Explanation:** The characteristic finding of **diastolic fluttering of the anterior mitral valve leaflet (AMVL)** is a hallmark echocardiographic sign of **Aortic Regurgitation (AR)** [1]. **Why Aortic Regurgitation is correct:** In AR, blood leaks back from the aorta into the left ventricle during diastole. This regurgitant jet is directed toward the ventricular cavity and often strikes the anterior leaflet of the mitral valve. The turbulence created by the collision of the AR jet with the AMVL (which is open during diastole) causes high-frequency vibrations or "fluttering" [1]. *Note: While the question mentions "systole," clinical literature and standard NEET-PG patterns clarify that this fluttering occurs during **diastole** when the mitral valve is open. If fluttering occurs in systole, it is usually associated with flail leaflets, but the classic "high-frequency fluttering" described in exams refers to the AR jet effect.* **Why other options are incorrect:** * **Mitral Regurgitation (MR):** MR involves flow from the LV to the LA during systole. It does not cause fluttering of the AMVL; instead, it may show systolic prolapse or eccentric jets. * **Tricuspid Regurgitation (TR):** This affects the right side of the heart. It does not impact the mitral valve leaflets. * **Pulmonary Regurgitation (PR):** This involves the pulmonary valve and right ventricle; it has no direct hemodynamic effect on the mitral valve. **High-Yield Clinical Pearls for NEET-PG:** 1. **Austin Flint Murmur:** A mid-diastolic murmur heard in severe AR, caused by the AR jet displacing the AMVL, creating a functional mitral stenosis [1]. 2. **M-Mode ECHO:** Fluttering of the AMVL is best visualized on M-mode. 3. **Reverse Doming:** In AR, the AMVL may show "reverse doming" due to the pressure of the regurgitant jet. 4. **Pulse Pressure:** AR is associated with a wide pulse pressure and numerous peripheral signs (e.g., Corrigan’s pulse, Quincke’s sign) [2].
Explanation: The management of symptomatic bradycardia focuses on increasing the heart rate and improving cardiac output. **Why Diltiazem is the Correct Answer:** **Diltiazem** is a non-dihydropyridine Calcium Channel Blocker (CCB). Its primary mechanism involves blocking L-type calcium channels in the SA and AV nodes, which leads to **negative chronotropy** (decreased heart rate) and **negative dromotropy** (slowed conduction). Therefore, Diltiazem is used to treat tachyarrhythmias (like Atrial Fibrillation with RVR) and is strictly **contraindicated** in bradycardia as it would further exacerbate the condition [1]. **Analysis of Other Options:** * **A. Atropine:** The first-line pharmacological treatment for symptomatic bradycardia. It is an anticholinergic that inhibits the vagus nerve, thereby increasing the firing rate of the SA node. * **B. Pacing:** This is the definitive treatment for severe or unstable bradycardia (especially high-grade AV blocks) [2]. It can be Transcutaneous (temporary) or Permanent (pacemaker). * **C. Isoproterenol:** A potent beta-1 and beta-2 adrenergic agonist. It increases heart rate and contractility, serving as a chemical bridge when pacing is unavailable. **High-Yield Clinical Pearls for NEET-PG:** * **Drug of Choice:** Atropine (0.5 mg to 1 mg IV, repeated every 3–5 mins; Max dose: 3 mg). * **Atropine Caution:** It is often ineffective in Mobitz Type II and 3rd-degree AV blocks with wide QRS complexes; in these cases, go straight to pacing [2]. * **Alternative Infusions:** If Atropine fails, consider Dopamine or Epinephrine infusions. * **Paradoxical Effect:** Low doses of Atropine (<0.5 mg) can cause paradoxical bradycardia due to central vagal stimulation.
Explanation: The Jugular Venous Pulse (JVP) reflects pressure changes in the right atrium [1]. Understanding its waveforms is crucial for NEET-PG. ### **Explanation of the Correct Option** **Option A** is correct because the **'a' wave** represents **atrial contraction** [3]. When the right atrium contracts against increased resistance (e.g., Tricuspid Stenosis or Right Ventricular Hypertrophy/Pulmonary Hypertension), the pressure generated is higher, resulting in a **Giant 'a' wave**. If the atrium contracts against a closed tricuspid valve (as in complete heart block), it produces **Cannon 'a' waves**. ### **Analysis of Incorrect Options** * **Option B:** The 'a' wave represents atrial systole, not ventricular filling [3]. Ventricular filling occurs during the 'y' descent (passive) and the 'a' wave (active) [2]. * **Option C:** The 'a' wave is followed by the **'c' wave** (tricuspid bulging during ventricular contraction) and the **'x' descent** (atrial relaxation), not immediately by the 'v' wave [1]. * **Option D:** In normal physiology, the JVP (including the 'a' wave) **increases** or remains stable during inspiration due to increased venous return to the right heart. A paradoxical rise in JVP during inspiration is known as **Kussmaul’s sign**. ### **High-Yield Clinical Pearls for NEET-PG** * **Absent 'a' wave:** Pathognomonic for **Atrial Fibrillation** (no coordinated atrial contraction). * **Giant 'a' waves:** Seen in Tricuspid Stenosis, Pulmonary Stenosis, and Pulmonary Hypertension. * **Cannon 'a' waves:** * *Regular:* Nodal rhythm, SVT. * *Irregular:* Complete Heart Block (AV dissociation). * **Prominent 'v' wave:** Characteristic of **Tricuspid Regurgitation** (ventricular blood regurgitates into the atrium during systole).
Explanation: ***Surgical repair*** - **Type A aortic dissection** (involving ascending aorta) requires **emergency surgical repair** to prevent fatal complications like **cardiac tamponade** or **aortic rupture**. - The elevated blood pressure (160/100 mmHg) and tachycardia (120 bpm) are consistent with **acute aortic dissection**, making immediate surgical intervention life-saving. *Low molecular weight heparin* - **Anticoagulation is contraindicated** in aortic dissection as it increases the risk of **extension of dissection** and **hemorrhage**. - LMWH would worsen the **intramural bleeding** and potentially lead to **fatal rupture** of the aortic wall. *Beta blocker medication* - While **beta blockers** are used in **Type B aortic dissection** (descending aorta only) for **blood pressure control**, they are insufficient for Type A dissection. - **Type A dissection** requires surgical intervention regardless of medical management due to high mortality risk without surgery. *Vitamin K inhibitors* - **Warfarin and other vitamin K antagonists** are absolutely contraindicated in acute aortic dissection due to **bleeding risk**. - These medications would promote **hemorrhage into the dissection plane** and increase the likelihood of **aortic rupture** and death.
Explanation: **Explanation:** The clinical presentation of palpitations following excessive caffeine intake is highly suggestive of **Paroxysmal Supraventricular Tachycardia (PSVT)**, most commonly AV Nodal Reentrant Tachycardia (AVNRT) [1]. Caffeine acts as a sympathomimetic trigger that can initiate these reentrant circuits [1]. **1. Why Vagal Maneuvers are Correct:** According to the ACLS guidelines for stable narrow-complex tachycardia, **vagal maneuvers** (e.g., Valsalva maneuver or carotid sinus massage) are the **first-line intervention**. These maneuvers increase parasympathetic tone and slow conduction through the AV node, which can terminate the reentrant circuit in approximately 20-25% of cases. They are non-invasive, require no equipment, and carry minimal risk in a stable patient. **2. Why Other Options are Incorrect:** * **B. Intravenous Adenosine:** This is the drug of choice and the **second step** if vagal maneuvers fail [1]. It causes a transient AV block to break the circuit. * **C. Catheter Ablation:** This is the definitive/long-term treatment for recurrent PSVT but is never the first-line management for an acute episode. * **D. Cardioversion:** Synchronized DC cardioversion is indicated only if the patient is **hemodynamically unstable** (e.g., hypotension, altered mental status, chest pain, or heart failure). **Clinical Pearls for NEET-PG:** * **Modified Valsalva:** The "Leg-up" Valsalva (blowing into a syringe while supine, followed by passive leg elevation) has a much higher success rate (~43%) than the standard maneuver. * **Adenosine Contraindication:** Avoid adenosine in patients with **Asthma** (can cause bronchospasm) or WPW syndrome with Atrial Fibrillation [1]. * **Drug of Choice for Prevention:** Beta-blockers or Calcium Channel Blockers (Verapamil/Diltiazem) are used for long-term prophylaxis if ablation is not performed.
Explanation: ### Explanation **Diagnosis: Mitral Valve Prolapse (MVP)** The clinical triad of an **asymptomatic young woman**, **arrhythmias**, and the classic auscultatory finding of a **midsystolic click** followed by a systolic murmur is pathognomonic for **Mitral Valve Prolapse (MVP)**, also known as Barlow’s Syndrome. **1. Why Echocardiography is the Correct Answer:** Echocardiography is the **gold standard** and investigation of choice for diagnosing MVP. It allows for the visualization of the displacement of one or both mitral valve leaflets (usually >2 mm) into the left atrium during systole. It also assesses the degree of mitral regurgitation and identifies any associated myxomatous degeneration. **2. Why Other Options are Incorrect:** * **A. Electrophysiological testing:** While MVP can cause arrhythmias (commonly PVCs or PACs), EP studies are not the primary diagnostic tool for the underlying structural valve disease. They are reserved for complex, life-threatening arrhythmias. * **B. Thyroid scan:** Though hyperthyroidism can cause palpitations and arrhythmias, it does not explain the specific mechanical heart sound (midsystolic click). * **D. Angiography:** This is an invasive procedure used primarily to visualize coronary anatomy or quantify valvular regurgitation when non-invasive tests are inconclusive. It is not the first-line investigation for MVP. **Clinical Pearls for NEET-PG:** * **Auscultation:** The click is due to the sudden tensing of chordae tendineae. * **Dynamic Auscultation:** Maneuvers that **decrease LV volume** (Standing, Valsalva) make the click/murmur occur **earlier** and louder. Maneuvers that increase LV volume (Squatting, Handgrip) delay the click. * **Association:** MVP is frequently associated with connective tissue disorders like **Marfan Syndrome** and Ehlers-Danlos Syndrome. * **Management:** Most patients are asymptomatic and require only reassurance. Beta-blockers are the first-line treatment for symptomatic palpitations.
Explanation: ### Explanation **1. Why the Correct Answer is Right:** The patient presents with a classic triad of risk factors and clinical findings for an **Abdominal Aortic Aneurysm (AAA)**. The key features are: * **Risk Factors:** Advanced age (84 years), male gender, history of smoking, and evidence of systemic atherosclerosis (prior MI, hypertension, and likely Diabetes Mellitus given the high fasting glucose) [2]. * **Clinical Presentation:** A **7-cm pulsating midline abdominal mass** is pathognomonic for AAA [2]. The leg pain during exercise (claudication) and diminished peripheral pulses further confirm underlying peripheral arterial disease (PAD), which is almost always **atherosclerotic** in origin [3]. * **Pathophysiology:** Atherosclerosis leads to thinning and weakening of the aortic media, resulting in permanent dilation of the vessel wall [1]. **2. Why the Other Options are Wrong:** * **Aortic Dissection:** Typically presents with sudden, "tearing" chest or back pain and asymmetric blood pressures. While hypertension is a risk factor, it does not typically present as a palpable, pulsatile abdominal mass unless associated with a pre-existing aneurysm. * **Arteriovenous (AV) Fistula:** This is an abnormal communication between an artery and a vein. While it can cause a thrill or bruit, it does not present as a large, midline pulsatile mass in the abdomen unless it is a rare complication of a ruptured aneurysm into the vena cava. * **Polyarteritis Nodosa (PAN):** A systemic necrotizing vasculitis of medium-sized arteries. While it can cause microaneurysms (e.g., in renal or mesenteric arteries), it does not cause a 7-cm palpable abdominal mass and typically presents with systemic symptoms like fever, weight loss, and "rosary sign" on angiography. **3. Clinical Pearls for NEET-PG:** * **Screening:** The USPSTF recommends a one-time screening for AAA via **ultrasonography** in men aged 65–75 who have ever smoked [2]. * **Surgical Threshold:** Elective repair is generally indicated if the AAA diameter is **>5.5 cm** in men or **>5.0 cm** in women, or if it is rapidly expanding (>0.5 cm in 6 months). * **Most Common Site:** The most common site for an atherosclerotic aneurysm is the **infrarenal** abdominal aorta [1], [2].
Explanation: ### Explanation **1. Why AV Dissociation is Correct:** Cannon 'a' waves occur when the right atrium contracts against a **closed tricuspid valve**. In **AV dissociation** (seen in Complete Heart Block or Ventricular Tachycardia), the atria and ventricles beat independently. Occasionally, the right atrium contracts while the right ventricle is in systole (tricuspid valve closed), forcing blood backward into the jugular vein and creating a giant, intermittent 'a' wave. **2. Why the Other Options are Incorrect:** * **Atrial Fibrillation:** In AF, there is no coordinated atrial contraction. Therefore, the **'a' wave is completely absent** in the JVP waveform. * **Tricuspid Regurgitation:** This condition is characterized by a **giant 'v' wave** (or 'cv' wave). As the ventricle contracts, blood leaks back into the atrium, obliterating the 'x' descent and creating a prominent systolic wave. **3. Clinical Pearls for NEET-PG:** * **Regular vs. Irregular Cannon 'a' waves:** * **Regular:** Nodal rhythm (Junctional rhythm), SVT (specifically AVNRT). * **Irregular:** Complete Heart Block (3rd-degree AV block), Ventricular Tachycardia (VT). * **Giant (Prominent) 'a' waves:** These are different from Cannon waves; they occur when the atrium contracts against a *stenosed* valve or *non-compliant* ventricle (e.g., Tricuspid Stenosis, Pulmonary Stenosis, or Right Ventricular Hypertrophy). * **Absent 'y' descent:** Seen in Cardiac Tamponade (distinguish from Constrictive Pericarditis where 'y' is rapid and deep—Friedreich’s sign).
Coronary Artery Disease and Angina
Practice Questions
Acute Coronary Syndromes
Practice Questions
Heart Failure
Practice Questions
Cardiac Arrhythmias
Practice Questions
Valvular Heart Diseases
Practice Questions
Cardiomyopathies
Practice Questions
Pericardial Diseases
Practice Questions
Congenital Heart Disease in Adults
Practice Questions
Hypertension and Hypertensive Emergencies
Practice Questions
Pulmonary Hypertension
Practice Questions
Non-invasive Cardiac Diagnostics
Practice Questions
Preventive Cardiology
Practice Questions
Get full access to all questions, explanations, and performance tracking.
Start For Free