Which of the following statements regarding foreign bodies in the oropharynx is FALSE?
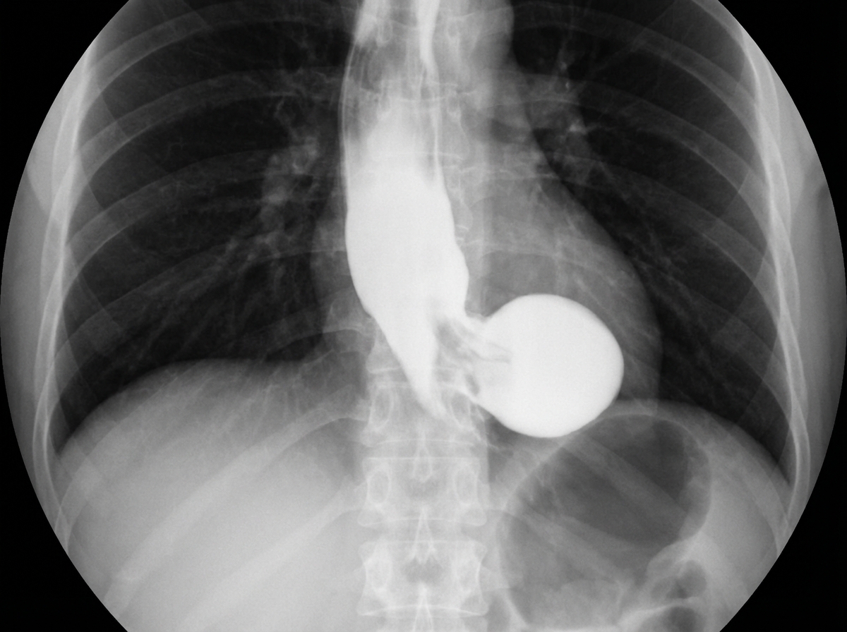
A 65-year-old patient presents with dysphagia and regurgitation. Barium swallow imaging is provided. What is the diagnosis?

Which anatomical region is NOT considered part of the hypopharynx?
Which of the following is NOT a contraindication to tonsillectomy?
Which of the following is NOT a contraindication for routine tonsillectomy?
Thornwaldt's abscess is seen in which condition?
What is the initial imaging of choice for angiofibroma?
According to the WHO classification, to which category does undifferentiated carcinoma of the nasopharynx belong?
What is the location of Killian dehiscence?
X-ray showing an air column between a soft tissue mass and the posterior wall of the nasopharynx is suggestive of which condition?
Explanation: ### Explanation **1. Why Option B is the Correct (False) Statement:** In the pediatric population, the most common oropharyngeal foreign bodies are **inorganic objects**, specifically **coins**. While food bolus impaction is common in adults (often associated with underlying esophageal pathology), children are more likely to ingest small toys, beads, or coins. Therefore, the statement that food particles are the most common in children is clinically incorrect. **2. Analysis of Other Options:** * **Option A (True):** The oropharynx contains lymphoid tissue and irregular surfaces. Foreign bodies, particularly sharp ones like fish bones, frequently lodge in the **base of the tongue**, the **palatine tonsils**, or the **vallecula**. * **Option C (True):** Many foreign bodies in the oropharynx and the upper part of the hypopharynx can be visualized during a thorough clinical examination using a tongue depressor, indirect laryngoscopy, or flexible fiberoptic laryngoscopy. * **Option D (True):** While many cases are diagnosed clinically, **Rigid Endoscopy** remains the gold standard for both diagnosis and removal. **MDCT (Multidetector Computed Tomography)** is highly sensitive for detecting radiolucent foreign bodies (like plastic or thin bones) and assessing complications like perforation or abscess. **Clinical Pearls for NEET-PG:** * **Most common site** for a foreign body to lodge in the upper food passage: **Cricopharynx** (the narrowest point). * **Most common foreign body in adults:** Bone pieces (fish/chicken bones). * **Imaging:** A lateral view X-ray of the soft tissue neck is the initial screening tool. Look for "pre-vertebral shadowing" or "air streaks" which may indicate perforation. * **Management:** If a foreign body is suspected but not seen on examination, the patient must undergo endoscopy to rule out impaction in the "hidden areas" (e.g., pyriform fossa).
Explanation: ***Epiphrenic diverticulum*** - Located in the **distal esophagus** just above the **diaphragm**, which would be clearly visible on barium swallow imaging as a pouch-like outpouching in the lower third of the esophagus. - Commonly presents with **dysphagia** and **regurgitation** in elderly patients due to impaired esophageal motility and increased intraluminal pressure. *Paraesophageal hernia* - Involves herniation of the **gastric fundus** through the **diaphragmatic hiatus** alongside the esophagus, appearing as stomach contents above the diaphragm on barium swallow. - Typically presents with **chest pain** and **early satiety** rather than primarily dysphagia and regurgitation. *Zenker's diverticulum* - Located in the **hypopharynx** at the **pharyngoesophageal junction** (upper esophageal sphincter level), appearing much higher on barium swallow imaging. - Presents with **halitosis**, **nocturnal coughing**, and regurgitation of **undigested food**, often with a palpable neck mass. *Diaphragmatic hernia* - Shows **abdominal organs** (stomach, bowel) displaced into the **thoracic cavity** through a diaphragmatic defect on imaging. - More commonly presents with **respiratory symptoms** and **chest pain** rather than isolated dysphagia and regurgitation.
Explanation: The **hypopharynx** (laryngopharynx) is the lowermost portion of the pharynx, extending from the level of the hyoid bone above to the lower border of the cricoid cartilage (C6 level) below. ### **Why "Aryepiglottic folds" is the correct answer:** Anatomically, the **aryepiglottic (AE) folds** are considered part of the **Larynx** (specifically the supraglottis), not the hypopharynx. While they form the medial boundary of the pyriform fossa, they are embryologically and functionally categorized as laryngeal structures. *Note: In some clinical staging systems (AJCC), the "marginal zone" of the AE folds is sometimes discussed in the context of hypopharyngeal spread, but for standard anatomical classification in NEET-PG, they belong to the Larynx.* ### **Analysis of Incorrect Options (Subsites of Hypopharynx):** The hypopharynx is divided into three distinct subsites: 1. **Pyriform Fossa (Sinus):** The largest subsite; these are two pear-shaped recesses on either side of the larynx. 2. **Post-cricoid Region:** Located behind the larynx, extending from the level of the arytenoid cartilages to the inferior border of the cricoid. 3. **Posterior Pharyngeal Wall:** Extends from the level of the hyoid bone to the inferior border of the cricoid cartilage. ### **High-Yield Clinical Pearls for NEET-PG:** * **Most common site of Hypopharyngeal Cancer:** Pyriform Fossa (approx. 70%). * **Least common site:** Post-cricoid region (except in females with Plummer-Vinson Syndrome, where it is the most common). * **Killian’s Dehiscence:** A weak area between the thyropharyngeus and cricopharyngeus muscles (parts of the inferior constrictor) where Zenker’s diverticulum originates. * **Nerve Supply:** The sensory supply to the hypopharynx is via the **Internal Laryngeal Nerve** (branch of CN X). Irritation here often causes referred otalgia via Arnold’s nerve.
Explanation: **Explanation:** Tonsillectomy is a common surgical procedure, but it requires strict adherence to contraindications to prevent life-threatening complications. **Why Submucous Fibrosis (SMF) is the correct answer:** Submucous fibrosis is **not** a contraindication to tonsillectomy. While SMF causes restricted mouth opening (trismus), which may make the surgical access technically difficult for the surgeon, it does not pose a systemic or physiological risk to the patient’s recovery or safety. In fact, if a patient with SMF develops chronic tonsillitis, the surgery can still be performed once adequate exposure is achieved. **Why the other options are contraindications:** * **Bleeding Disorders (B):** Conditions like Hemophilia, Leukemia, or Purpura are **absolute contraindications** unless the deficiency (e.g., Factor VIII) is corrected. Tonsillectomy is a vascular surgery, and uncontrolled primary or reactionary hemorrhage can be fatal. * **Epidemic of Poliomyelitis (C):** This is a **traditional contraindication**. It was observed that the trauma of surgery and the raw nerve endings in the tonsillar fossa provide a portal for the polio virus to enter the bulbar nerves, increasing the risk of the more fatal **Bulbar Poliomyelitis**. * **Acute Tonsillitis (D):** Surgery is contraindicated during an acute infection because the tissues are highly friable and hyperemic (increased blood supply), significantly increasing the risk of **excessive intraoperative bleeding** and the spread of infection (septicemia). Surgery is usually deferred for 4–6 weeks after the acute episode. **High-Yield NEET-PG Pearls:** * **Age Factor:** Tonsillectomy is generally avoided in children below **3 years** of age due to the risk of blood loss and potential impact on the developing immune system. * **Cleft Palate:** An overt or submucous cleft palate is a contraindication because the tonsils help in velopharyngeal closure; removing them can lead to **velopharyngeal insufficiency** and hypernasal speech. * **Menstruation:** Elective surgery is often avoided during menses due to increased fibrinolytic activity and potential for increased bleeding.
Explanation: **Explanation:** The correct answer is **C. Diphtheria carriers**. In clinical practice, being a diphtheria carrier is actually an **indication** for tonsillectomy, not a contraindication. If the carrier state persists despite adequate antibiotic therapy (Penicillin or Erythromycin), the tonsils act as a reservoir for *Corynebacterium diphtheriae*, and their surgical removal is necessary to eliminate the carrier state. **Analysis of Options:** * **Bleeding Disorders (Option B):** This is a **major contraindication**. Conditions like hemophilia, leukemia, or purpura pose a life-threatening risk of primary or reactionary hemorrhage during or after surgery. * **Cleft Palate (Option D):** This is a **relative contraindication**. The tonsils and adenoids help in velopharyngeal closure. Removing them in a patient with a cleft palate can lead to or worsen velopharyngeal insufficiency, resulting in hypernasal speech (rhinolalia aperta). * **Recurrent Upper Respiratory Tract Infections (Option A):** While chronic tonsillitis is an indication, surgery should **not** be performed during an **acute** infection. Tonsillectomy is contraindicated during an active URI or acute tonsillitis phase because the increased vascularity of the tissues significantly raises the risk of excessive intraoperative bleeding. **NEET-PG High-Yield Pearls:** * **Absolute Indications:** Sleep apnea (OSAS), suspicion of malignancy (asymmetric tonsil), and recurrent peritonsillar abscess (Quinsy). * **Paradise Criteria:** Used to justify tonsillectomy for recurrent tonsillitis (7 episodes in 1 year, 5 per year for 2 years, or 3 per year for 3 years). * **Age Factor:** Usually avoided below 3 years of age due to the risk of blood loss and metabolic upset.
Explanation: **Explanation:** **Thornwaldt’s abscess** (also known as Thornwaldt’s cyst) is a clinical manifestation of **Pharyngeal bursitis**. It occurs due to the infection or inflammation of the **Thornwaldt’s bursa**, which is a persistent median embryological remnant of the notochord. This bursa is located in the midline of the nasopharynx, deep to the superior constrictor muscle and just above the adenoid tissue. When the opening of this bursa becomes occluded, it leads to cyst formation; if this cyst becomes infected, it results in an abscess. **Analysis of Options:** * **B. Pharyngeal bursitis (Correct):** As explained, the abscess is a direct complication of an infected nasopharyngeal bursa. * **A. Ludwig’s Angina:** This is a rapidly spreading cellulitis of the submandibular, sublingual, and submental spaces, usually arising from dental infections. It does not involve the nasopharyngeal bursa. * **C. Lateral Sinus Thrombosis:** This is a complication of chronic suppurative otitis media (CSOM) involving a blood clot in the sigmoid sinus. * **D. Hydrocephalus:** This refers to the accumulation of cerebrospinal fluid in the brain ventricles and is unrelated to pharyngeal pathology. **High-Yield Clinical Pearls for NEET-PG:** * **Location:** Always in the **midline** of the posterior wall of the nasopharynx. * **Clinical Presentation:** Often asymptomatic, but if infected, it presents with persistent post-nasal discharge, dull occipital headache, halitosis, and a foul taste. * **Diagnosis:** Nasopharyngoscopy shows a smooth, midline fluctuant mass. **MRI** is the imaging modality of choice. * **Treatment:** Surgical excision or marsupialization (usually via endoscopic approach).
Explanation: **Explanation:** **Juvenile Nasopharyngeal Angiofibroma (JNA)** is a benign but locally aggressive, highly vascular tumor typically seen in adolescent males. **1. Why CT Scan is the Correct Answer:** Contrast-enhanced CT (CECT) is the **initial imaging of choice** because it provides excellent detail of the bony anatomy. It characteristically shows the **Holman-Miller sign** (or Antral sign), which is the anterior bowing of the posterior wall of the maxillary sinus. CT is superior for assessing bone erosion at the skull base and the widening of the pterygopalatine fossa, which are critical for staging and surgical planning. **2. Why Other Options are Incorrect:** * **Plain X-ray:** Lacks the resolution to define the extent of the tumor or subtle bony changes; it is obsolete for this diagnosis. * **MRI:** While MRI is the best modality for evaluating soft tissue extension (e.g., intracranial or intraorbital spread), it is usually performed *after* the initial CT scan. * **Angiography:** This is the **gold standard** for confirming the diagnosis and identifying the feeding vessel (most commonly the Internal Maxillary Artery). However, it is an invasive procedure reserved for preoperative **embolization** to reduce intraoperative bleeding, not for initial screening. **Clinical Pearls for NEET-PG:** * **Classic Triad:** Adolescent male + Profuse recurrent epistaxis + Nasal obstruction. * **Site of Origin:** Sphenopalatine foramen. * **Holman-Miller Sign:** Pathognomonic radiological finding on CT. * **Biopsy is Contraindicated:** Due to the risk of torrential hemorrhage; diagnosis is based on clinical and radiological findings. * **Treatment:** Surgical excision (Preceded by embolization).
Explanation: ### Explanation The World Health Organization (WHO) classifies Nasopharyngeal Carcinoma (NPC) into three distinct histopathological types based on the degree of differentiation and keratinization. This classification is crucial for NEET-PG as it correlates with etiology (EBV association) and prognosis. **Why Type 3 is Correct:** **Type 3 (Undifferentiated Carcinoma)** is characterized by cells that show no evidence of keratinization under light microscopy. It often presents with a prominent lymphocytic infiltrate, historically referred to as **Schmincke’s tumor** or **lymphoepithelioma**. This type has the strongest association with **Epstein-Barr Virus (EBV)**, is highly radiosensitive, and has a better prognosis compared to Type 1. **Analysis of Incorrect Options:** * **Type 1 (Squamous Cell Carcinoma):** This is the **keratinizing** variety. It is least associated with EBV and is more commonly linked to smoking and alcohol. It has the worst prognosis because it is less sensitive to radiotherapy. * **Type 2 (Non-keratinizing Squamous Cell Carcinoma):** This type shows cellular differentiation but lacks overt keratinization (no keratin pearls). It occupies an intermediate position between Type 1 and Type 3. * **Type 4:** There is no "Type 4" in the standard WHO classification for nasopharyngeal carcinoma. **High-Yield Clinical Pearls for NEET-PG:** * **Most Common Site:** Fossa of Rosenmüller. * **Triad of Trotter:** Conductive hearing loss (due to ET blockage), Ipsilateral palatal palsy, and Trigeminal neuralgia (V2 involvement). * **EBV Markers:** Elevated titers of **IgA antibodies against Viral Capsid Antigen (VCA)** are used for screening and monitoring recurrence. * **Treatment of Choice:** Radiotherapy (NPC is highly radiosensitive). Surgery is reserved for salvage (neck nodes).
Explanation: **Explanation:** **Killian’s Dehiscence** is a weak triangular area in the posterior wall of the pharynx. It is located **between the two components of the inferior constrictor muscle**: 1. **Thyropharyngeus:** The upper oblique fibers. 2. **Cricopharyngeus:** The lower horizontal fibers (which act as the upper esophageal sphincter). The correct answer is **B** because this dehiscence represents a potential gap where the pharyngeal mucosa can herniate due to increased intrapharyngeal pressure, leading to the formation of a **Zenker’s Diverticulum** (Pulsion diverticulum). **Analysis of Incorrect Options:** * **Option A:** The area below the superior constrictor (Sinus of Morgagni) is where the Eustachian tube and levator veli palatini enter; it is not the site of Killian’s dehiscence. * **Option C:** The area below the cricopharyngeus is known as **Killian-Jamieson area**. Herniation here results in a Killian-Jamieson diverticulum, which is lateral, not posterior. * **Option D:** The upper one-third of the esophagus consists of skeletal muscle, not smooth muscle. This anatomical landmark is unrelated to pharyngeal pouches. **High-Yield Clinical Pearls for NEET-PG:** * **Zenker’s Diverticulum:** Always emerges through Killian’s dehiscence. It is a **false diverticulum** (contains only mucosa and submucosa). * **Symptoms:** Dysphagia, regurgitation of undigested food, halitosis (foul breath), and a "gurgling" sound in the neck. * **Boyce’s Sign:** Swelling in the neck (usually left side) that gurgles on compression. * **Investigation of Choice:** Barium Swallow (shows a pouch behind the esophagus). * **Treatment:** Endoscopic Dohlman’s procedure (stapling) or open diverticulectomy with cricopharyngeal myotomy.
Explanation: **Explanation:** The correct answer is **Antrochoanal polyp (B)**. An Antrochoanal polyp (ACP) originates from the maxillary sinus mucosa, exits through the accessory ostium, and extends posteriorly through the choana into the nasopharynx. On a lateral view X-ray of the soft tissue neck/nasopharynx, the polyp appears as a well-defined, smooth, globular soft tissue mass. The characteristic radiological sign is a **distinct air column** visible between the posterior border of the polyp and the posterior pharyngeal wall. This occurs because the polyp hangs freely in the nasopharyngeal space and does not invade or arise from the pharyngeal wall itself. **Analysis of Incorrect Options:** * **Ethmoidal polyp (A):** These are usually multiple, bilateral, and grape-like clusters that rarely grow large enough to present as a single massive nasopharyngeal lesion with a clear posterior air column. * **Nasal myiasis (C):** This is a parasitic infestation by maggots (usually *Chrysomya bezziana*). It presents with foul-smelling discharge, crusting, and tissue destruction, rather than a discrete soft tissue mass on X-ray. **High-Yield Clinical Pearls for NEET-PG:** * **Origin:** ACP most commonly arises from the **maxillary sinus** (specifically the lateral wall or floor). * **Clinical Presentation:** Typically seen in children and young adults; presents with **unilateral** nasal obstruction. * **Radiology:** On CT scan, it shows the "dumbbell" shape or opacification of the maxillary sinus with extension into the choana. * **Treatment of Choice:** Functional Endoscopic Sinus Surgery (FESS) to remove the polyp and its antral attachment to prevent recurrence. (Historical treatment: Caldwell-Luc surgery).
Pharyngitis
Practice Questions
Tonsillitis
Practice Questions
Peritonsillar Abscess
Practice Questions
Retropharyngeal Abscess
Practice Questions
Adenoid Hypertrophy
Practice Questions
Sleep-Disordered Breathing
Practice Questions
Obstructive Sleep Apnea
Practice Questions
Nasopharyngeal Carcinoma
Practice Questions
Oropharyngeal Carcinoma
Practice Questions
Hypopharyngeal Carcinoma
Practice Questions
Dysphagia
Practice Questions
Globus Pharyngeus
Practice Questions
Get full access to all questions, explanations, and performance tracking.
Start For Free