All are true about the image shown except:

The cup-shaped yellow crusts shown in the image are called:

A 6-month-old infant presents with a rash in the diaper area. On examination, erythema and erosions are noted on the convex surfaces (labia and buttocks), while the skin folds are relatively spared. The infant has not grown out of diapers yet. Based on the clinical image, what is the most likely diagnosis?

A child has been brought with the following scalp lesion with history of itching in scalp and hair loss for past 2 months. Which of the following is useful for diagnosis of this patient? (AIIMS May 2017)

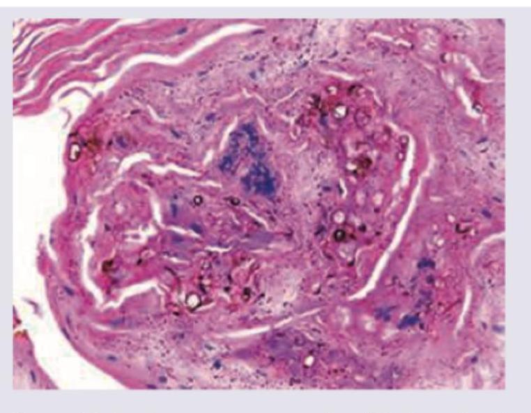
A 35-year-old presented with a single warty lesion on the foot after a thorn prick. No regional lymph nodes are seen. Biopsy shows the following lesion. Diagnosis is:

A 35-year-old presented with a single warty lesion on the foot after a thorn prick. No regional lymph nodes are seen. Biopsy shows the following lesion. Treatment is?

The following appearance under Wood's lamp is seen in:

A 56 year old gardener presents with an ulcerative nodule with purulent discharge on his right index finger. He had a prick with a thorn, at the same site around a month back. Which one of the following infections is most likely?
A child presents with multiple patchy areas of hair loss, scales, and itching. The sister also had similar lesions. What is the most likely diagnosis?
A patient presents with annular, scaly plaques with perifollicular extension on the trunk. What is the most likely diagnosis?
Explanation: ***Correct: KOH mount will show pseudohyphae*** - This is the **EXCEPTION** because dermatophytes (causative agents of tinea capitis) produce **TRUE SEPTATE HYPHAE**, not pseudohyphae - **Pseudohyphae** are characteristic of **Candida species** (yeast infections), not dermatophyte infections - In tinea capitis, KOH mount shows **arthroconidia and septate hyphae** within and surrounding the hair shaft - This is a fundamental distinction in medical mycology that differentiates dermatophyte from yeast infections *Incorrect: Sparse hair* - Tinea capitis characteristically presents with **alopecia and broken hair shafts** - The fungal infection weakens hair, causing it to break at the scalp surface, creating patches of hair loss with "black dots" (broken hair stumps) - This is a hallmark clinical feature seen in the image *Incorrect: Can be associated with cervical lymphadenopathy* - **Inflammatory tinea capitis** (kerion type) frequently causes **regional lymphadenopathy** - Cervical and posterior auricular nodes commonly enlarge due to the immune response to the fungal infection - This is an expected finding in moderate to severe cases *Incorrect: Wood's lamp shows green fluorescence* - Some species causing tinea capitis do show **green fluorescence** under Wood's lamp - **Microsporum canis** and **M. audouinii** exhibit bright green fluorescence - However, **Trichophyton species** (most common in many regions) do NOT fluoresce - While not universally present, this statement is TRUE for ectothrix infections caused by Microsporum species
Explanation: ***Scutula*** - The image shows **cup-shaped, yellow crusts** formed around hair shafts, which are characteristic findings of scutula. - Scutula are pathognomonic for **tinea capitis favosa (favus)**, a severe form of fungal infection of the scalp, most often caused by *Trichophyton schoenleinii*. *Favus* - Favus is the **specific type of tinea capitis** characterized by the formation of scutula, which are visible in the image. - While it's the underlying disease, the question asks for the specific lesion shown, which is the scutula. *Kerion* - **Kerion** is an inflammatory, painful, boggy plaque with pustules and crusting that can lead to scarring alopecia. - It does not present as the distinct **cup-shaped yellow crusts** seen in the image. *Seborrheic dermatitis* - **Seborrheic dermatitis** presents with greasy, yellowish scales on an erythematous base, commonly on the scalp, face, and chest. - It does not typically form the well-demarcated, **cup-shaped scutula** observed in this image.
Explanation: ***Irritant diaper dermatitis*** - The image shows **erythema** and **erosions** in the diaper area, particularly on convex surfaces such as the labia and buttocks, while the folds are relatively spared. This pattern is characteristic of irritant diaper dermatitis resulting from prolonged exposure to urine and feces. - The patient, an infant, has not grown out of diapers yet. *Congenital adrenal hyperplasia* - This condition presents with **ambiguous genitalia** in females due to excess androgens, not primarily skin rashes in the diaper area. - While it can cause other symptoms such as salt-wasting crises, skin manifestations are not typically the primary diagnostic feature. *Candidiasis* - **Candidal diaper rash** typically presents with **beefy red plaques** with **satellite pustules** or papules at the periphery, especially in the skin folds (inguinal creases). - The image does not show these characteristic satellite lesions or involvement of the skin folds. *Acrodermatitis enterohepatica* - This is a rare **zinc deficiency disorder** characterized by **periorificial** and acral dermatitis, often with **psoriasiform plaques** and erosions. - While it can involve the perineal area, the distribution and morphology in the image are more consistent with irritant diaper dermatitis rather than the generalized or periorificial pattern of acrodermatitis enterohepatica.
Explanation: ***KOH mount*** - The image shows a **patch of hair loss** with visible scaling on the scalp, along with a history of itching, which is highly suggestive of **tinea capitis (ringworm of the scalp)**. - A **KOH (potassium hydroxide) mount** is the most common and effective initial diagnostic test for fungal infections of the skin, hair, and nails, as it helps visualize fungal elements (hyphae and spores). *Gram stain* - **Gram stain** is primarily used to identify **bacterial infections** by differentiating bacteria based on their cell wall composition. - It is not useful for diagnosing **fungal infections** like tinea capitis. *Slit skin smear* - A **slit skin smear** is a diagnostic technique mainly used for the detection of **Mycobacterium leprae** in cases of **leprosy**. - It is not relevant for diagnosing common fungal scalp infections. *Tzanck smear* - A **Tzanck smear** is used to identify **multinucleated giant cells** and **acantholytic cells**, characteristic findings in **herpes simplex**, **varicella zoster**, and other blistering viral conditions. - This method is not used for the diagnosis of **fungal infections** of the scalp.
Explanation: ***Chromoblastomycosis*** - The image reveals characteristic **sclerotic bodies** (also known as Medlar bodies or copper pennies), which are thick-walled, septate, dematiaceous (pigmented) fungal cells, pathognomonic for chromoblastomycosis. - The history of a **single warty lesion** on the foot after a **thorn prick** is typical for subcutaneous fungal infections caused by traumatic inoculation of dematiaceous fungi, leading to chromoblastomycosis. *Sporotrichosis* - Characterized by **cigar-shaped budding yeasts** in tissue and a **lymphocutaneous spread** (multiple nodules along lymphatic channels), which is not mentioned or depicted. - While it can follow a thorn prick, the microscopic findings (sclerotic bodies) are not consistent with sporotrichosis. *Madura foot* - Also known as mycetoma, it typically presents with **multiple draining sinuses** discharging pus and grains (microcolonies of the causative organism). - Histologically, it shows **"grains"** composed of fungal hyphae or bacteria, surrounded by a distinct inflammatory reaction, which is different from the sclerotic bodies seen in the image. *Botromycosis* - This is a **bacterial infection** that mimics fungal mycetoma, presenting with tumefaction, draining sinuses, and grains. - The grains in botryomycosis are composed of bacterial colonies, not fungi, and the histological appearance would differ significantly from the pigmented fungal bodies seen.
Explanation: **Itraconazole** - The clinical presentation of a **warty lesion on the foot** after a **thorn prick**, along with the biopsy showing **chromoblastomycosis (dark-staining fungal cells or sclerotic bodies)**, indicates a fungal infection. **Itraconazole** is a first-line systemic antifungal agent for such infections. - **Chromoblastomycosis** is typically treated with systemic antifungals, with itraconazole being effective due to its broad spectrum and good tissue penetration. *Amikacin plus cotrimoxazole* - **Amikacin** is an aminoglycoside antibiotic, and **cotrimoxazole** is a combination antibiotic (sulfamethoxazole and trimethoprim). - These medications are used to treat **bacterial infections** and are ineffective against fungal pathogens. *Ciclopirox* - **Ciclopirox** is a topical antifungal agent primarily used for superficial fungal infections like **tinea corporis** or **onychomycosis**. - Given the deep-seated nature of chromoblastomycosis and its occurrence after a penetrating injury, a topical agent would likely be insufficient. *Amorolfine* - **Amorolfine** is a topical antifungal lacquer primarily used for the treatment of **onychomycosis (nail fungal infections)**. - It is not indicated for deep cutaneous or subcutaneous fungal infections like chromoblastomycosis, which requires systemic treatment.
Explanation: ***Pseudomonas*** - The image depicts a **greenish-yellow fluorescence** under Wood's lamp, which is characteristic of *Pseudomonas aeruginosa* infection, often due to the production of **pyoverdin**. - This is commonly seen in conditions like **green nail syndrome** or in wounds infected with Pseudomonas. *Tinea capitis* - Certain species of *Tinea capitis* (e.g., *Microsporum canis*, *Microsporum audouinii*) can fluoresce, typically emitting a **bright green fluorescence** under Wood's lamp. - However, the appearance in the image is more diffuse and granular, less typical for fungal hyphae seen in tinea capitis. *Pityriasis -Versicolor* - *Pityriasis versicolor* (caused by *Malassezia furfur*) can show a **pale yellow to coppery-orange fluorescence** under Wood's lamp, due to the production of porphyrins. - The fluorescence in the image is distinctly greenish-yellow, not typical for pityriasis versicolor. *Cutaneous amyloidosis* - **Cutaneous amyloidosis** typically does not exhibit any specific fluorescence under Wood's lamp. - Diagnosis usually involves **biopsy with Congo Red staining** to reveal amyloid deposits.
Explanation: ***Sporotrichosis*** - This presentation, an **ulcerative nodule with purulent discharge** on a finger after a **thorn prick** in a gardener, is classic for **sporotrichosis** (rose gardener's disease). - The organism, *Sporothrix schenckii*, is found in soil, plants, and decaying vegetation and typically enters through **skin trauma**. *Chromoblastomycosis* - Characteristically presents with **verrucous (warty) plaques or nodules** that slowly enlarge; it does not typically show the ulcerative nodule with purulent discharge found here. - While it can be acquired through trauma, the **morphology of the lesions** differs from the described case. *Phaeohyphomycosis* - This is a broad term for infections caused by dematiaceous (pigmented) fungi that typically present as **subcutaneous cysts, abscesses, or nodules**, but the specific clinical picture of **lymphocutaneous spread** following trauma is less characteristic than sporotrichosis. - The lesions tend to be more **encapsulated or abscess-like** rather than the ulcerative, purulent nodule described. *Mycetoma* - Mycetoma presents as a **chronic, localized, progressively destructive infection** of the skin, subcutaneous tissue, fascia, and bone, often characterized by **swelling, draining sinuses, and grains** (microcolonies of the causative organism). - While it can be acquired via trauma, the typical presentation is much more **extensive and chronic** than the initial ulcerative nodule described.
Explanation: ***Tinea capitis*** - **Tinea capitis** presents with **patchy hair loss**, **scaling**, and **itching** on the scalp, which are classic signs of a fungal infection. - The fact that the sister also had similar lesions indicates a **contagious** condition, consistent with a **dermatophyte infection**. *Alopecia areata* - Characterized by **sudden, non-scarring hair loss** in circular or oval patches, often with no scaling or inflammation. - It is an **autoimmune condition** and typically not associated with itching or contagiousness amongst siblings. *Pediculosis capitis* - This condition involves an **infestation of head lice**, primarily causing **intense itching** of the scalp. - While it is contagious, it typically presents with **nits** (lice eggs) firmly attached to hair shafts and excoriations from scratching, rather than significant hair loss and scaling. *Pyoderma* - **Pyoderma** is a bacterial skin infection, often presenting as **pustules**, **crusts**, or **blisters** on the scalp. - While it can be contagious and cause discomfort, it is primarily characterized by purulent lesions and not the diffuse patchy hair loss and scaling seen in this case.
Explanation: ***Tinea*** - **Tinea corporis** classically presents with **annular, scaly plaques with central clearing** and an active, raised border. - On hairy areas or with follicular involvement, dermatophyte infections show **perifollicular extension** as the fungus invades hair follicles. - The **annular morphology with scale** is pathognomonic for dermatophyte infection, confirmed by **KOH preparation** showing septate hyphae. - Common sites include trunk, limbs, and any body area with hair follicles. *Psoriasis* - Presents with **well-demarcated, erythematous plaques** with **silvery-white scales**, typically on extensor surfaces (elbows, knees, scalp). - **Follicular psoriasis** is rare and shows **pinpoint follicular papules**, not annular plaques with perifollicular extension. - Auspitz sign (pinpoint bleeding on scale removal) helps differentiate from tinea. *Lichen planus* - Characterized by **pruritic, polygonal, purple, planar papules** (the "6 Ps"). - **Lichen planopilaris** (follicular variant) causes **scarring alopecia** with follicular hyperkeratosis, not annular scaly plaques. - Wickham striae may be visible on mucosal surfaces. *Pityriasis versicolor* - Caused by **Malassezia species**, presents as **hypo- or hyperpigmented macules** with fine scale on trunk and upper arms. - **Follicular variant** (pityriasis folliculorum) shows discrete follicular papules, NOT annular plaques. - "Spaghetti and meatballs" appearance on KOH prep (short hyphae and spores) differentiates from dermatophytes.
Dermatophytoses
Practice Questions
Tinea Versicolor
Practice Questions
Candidiasis
Practice Questions
Onychomycosis
Practice Questions
Subcutaneous Mycoses
Practice Questions
Systemic Mycoses with Cutaneous Manifestations
Practice Questions
Opportunistic Fungal Infections
Practice Questions
Mycetoma
Practice Questions
Tropical Fungal Infections
Practice Questions
Diagnosis of Fungal Infections
Practice Questions
Antifungal Therapy
Practice Questions
Preventive Strategies
Practice Questions
Get full access to all questions, explanations, and performance tracking.
Start For Free