What is the causative agent of Favus?
A patient with asymptomatic annular skin lesion as shown presents to OPD. Which investigation should be done?
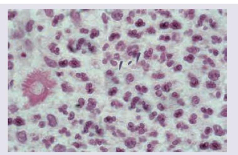
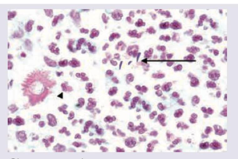
A carpenter presents with a nodule on dorsum of hand which ulcerates after few days and has not healed for last 2 months. Biopsy of lesion was performed and shown below. All are used in management of this condition except:

A carpenter presents with a nodule on dorsum of hand which ulcerates after few days and has not healed for last 2 months. Biopsy of lesion was performed and shown below. Diagnosis is:

A female had a thorn prick 5 years ago. She presents with development of slowly growing $2 \times 2 \mathrm{~cm}$ verrucous lesion which on KOH mount shows the following image. Diagnosis is: (AIIMS Nov 2017)

All of the following statements regarding the image given below are true except:

What is the most likely diagnosis of the image provided below?

All of the following statements regarding this image are true except: (Recent NEET Pattern 2016-17)

A 42-year-old male complains of itching, his clinical presentation is given in the image. Which of the following statement is false?

A 25-year-woman developed scaly, pruritic lesions on her back. She applied topical steroids on the lesion, following the advice of a quack. Subsequently her lesions worsened. What is the diagnosis?
Explanation: **Explanation:** **Favus** (Tinea favosa) is a chronic inflammatory form of Tinea capitis characterized by the presence of **scutula**—yellow, cup-shaped crusts composed of hyphae and keratin debris. 1. **Why Option A is Correct:** **Trichophyton schoenleinii** is the primary causative agent of Favus. It is an anthropophilic fungus that causes a unique pattern of hair infection where hyphae and air bubbles are seen inside the hair shaft (endothrix), but the hair does not always break, leading to long-term infection and permanent **cicatricial (scarring) alopecia**. A characteristic "mousy odor" is often associated with the scalp crusts. 2. **Why the Other Options are Incorrect:** * **B. Trichophyton rubrum:** This is the most common cause of dermatophytosis worldwide (Tinea corporis, pedis, and unguium) but rarely causes Favus or Tinea capitis. * **C. Malassezia furfur:** This is a yeast responsible for **Pityriasis versicolor** and Seborrheic dermatitis, not dermatophyte infections like Favus. * **D. Epidermophyton floccosum:** This dermatophyte commonly causes Tinea cruris and Tinea pedis. Notably, it **never infects hair**, making it an impossible cause for Favus. **NEET-PG High-Yield Pearls:** * **Clinical Triad of Favus:** Scutula, mousy odor, and scarring alopecia. * **Microscopy:** Look for **"Favic chandeliers"** (antler-like hyphae) on culture and air bubbles within the hair shaft on KOH mount. * **Wood’s Lamp:** T. schoenleinii shows a characteristic **dull green fluorescence**. * **Epidermophyton rule:** Remember that *Epidermophyton* species infect skin and nails, but **never hair**.
Explanation: ***KOH mount*** - The image displays a classic **annular (ring-shaped) lesion** with a raised, erythematous, and scaly border with central clearing, which is pathognomonic for **Tinea corporis** (ringworm). - A **KOH mount** is the gold standard, rapid, and cost-effective diagnostic test for dermatophytosis, allowing visualization of **septate hyphae** from skin scrapings. ***HIV testing*** - While widespread or severe fungal infections can be associated with **immunocompromised states** like HIV, it is not the initial diagnostic step for a localized lesion. - This test would be considered only if the infection is unusually persistent, recurrent, or if there are other systemic signs suggesting immunosuppression. ***Biopsy*** - A **skin biopsy** is an invasive procedure and is not the first-line investigation for a typical presentation of tinea corporis. - It is reserved for atypical cases or when the diagnosis is uncertain after non-invasive tests, to rule out other annular dermatoses like **granuloma annulare** or **psoriasis**. ***Chest X-ray*** - A **Chest X-ray** is indicated for evaluating cardiopulmonary conditions and has no diagnostic value for a cutaneous fungal infection. - This investigation is entirely unrelated to the patient's presenting skin lesion.
Explanation: ***Cotrimoxazole*** - Cotrimoxazole (trimethoprim-sulfamethoxazole) is an **antibiotic** and is **not indicated** for the treatment of **sporotrichosis**, which is a fungal infection. - The image shows budding yeasts and cigar-shaped forms typical of **Sporothrix schenckii**, alongside a giant cell, confirming a fungal etiology. - Cotrimoxazole is used for bacterial infections and has **no antifungal activity**. *Saturated solution of potassium iodide (SSKI)* - **SSKI** is a traditional and highly effective treatment for **cutaneous and lymphocutaneous sporotrichosis**. - It works by an unknown mechanism, possibly affecting the fungus directly or enhancing the host's immune response. - Particularly useful in **resource-limited settings** due to low cost and good efficacy. *Itraconazole* - **Itraconazole** is the **first-line drug of choice** for treating **cutaneous, lymphocutaneous, and disseminated sporotrichosis**. - It is a broad-spectrum triazole antifungal that inhibits fungal **cytochrome P450 enzymes**, impairing ergosterol synthesis. - Preferred over SSKI due to better tolerability and predictable dosing. *Terbinafine* - **Terbinafine** is an allylamine antifungal that has been used as an **alternative agent** in sporotrichosis, particularly in cases where itraconazole is contraindicated or not tolerated. - It acts by inhibiting **squalene epoxidase**, disrupting fungal ergosterol biosynthesis. - While primarily used for dermatophyte infections, it has demonstrated activity against Sporothrix species in some studies, though **itraconazole remains preferred**.
Explanation: ***Sporotrichosis*** - The image shows **cigar-shaped yeast cells** (arrow), characteristic of *Sporothrix schenckii*, the causative agent of sporotrichosis. The presence of an **asteroid body** (asterisk) formed by eosinophilic material radiating from the yeast cell is also classic for sporotrichosis in tissue. - The history of a **carpenter** presenting with a nodule that ulcerates after trauma (e.g., from wood splinters) and doesn't heal is highly suggestive of **sporotrichosis**, often referred to as "rose gardener's disease" due to occupational exposure. *Chromomycosis* - Characterized by the presence of **sclerotic bodies** (also known as Medlar bodies or fumagoid bodies) which are darkly pigmented, thick-walled, round cells that divide by septation. - The clinical presentation is typically slow-growing, **verrucous plaques** or nodules, predominantly on the lower extremities, which are distinct from the ulcerating nodule seen here. *Lobomycosis* - Caused by *Lacazia loboi*, it presents with **chains of yeast cells** that are spherical or ovoid, thick-walled, and interconnected by short tubes. - Clinically, it typically manifests as **keloid-like lesions** or chronic nodular plaques, primarily in tropical and subtropical regions, and does not commonly ulcerate in the initial presentation like the case described. *Cutaneous histoplasmosis* - Caused by *Histoplasma capsulatum*, which appears as **small, oval yeast cells** (2-4 µm) within macrophages in tissue sections. - While it can manifest cutaneously, especially in immunocompromised individuals, the yeast cells are much smaller and do not have the distinct cigar-shape or form asteroid bodies seen in the image.
Explanation: ***Chromoblastomycosis*** - The image shows **sclerotic bodies** (also known as **Medlar bodies**, muriform cells, or fumagoid cells) which are characteristic of *Chromoblastomycosis*. These are thick-walled, septate, dematiaceous (darkly pigmented) fungal cells that reproduce by septation in multiple planes. - The history of a **thorn prick** (trauma allowing inoculation of fungal spores from soil/vegetation), the **slowly growing verrucous lesion**, and the presence of sclerotic bodies on KOH mount are all highly specific for chromoblastomycosis. *Sporotrichosis* - **Sporotrichosis** typically presents with subcutaneous nodules that ulcerate, often forming a **lymphocutaneous spread** along lymphatic vessels. - On microscopy (KOH mount or biopsy), *Sporothrix schenckii* appears as **cigar-shaped budding yeasts** in tissue, which are not seen in the provided image. *Blastomycosis* - **Blastomycosis** is caused by *Blastomyces dermatitidis* and can cause pulmonary, cutaneous, and disseminated infections. Cutaneous lesions can be verrucous but are typically granulomatous with microabscesses. - Microscopic examination (KOH mount) reveals **large, broad-based budding yeast cells**, which are distinct from the sclerotic bodies shown. *Phaeohyphomycosis* - **Phaeohyphomycosis** encompasses a diverse group of infections caused by dematiaceous (pigmented) fungi that, in tissue, grow as **septate hyphae**, yeast-like cells, or a combination of both, but **do not form sclerotic bodies**. - While it can manifest as subcutaneous nodules or cysts, the diagnostic feature in tissue is the presence of pigmented hyphal forms, unlike the characteristic sclerotic bodies in the image.
Explanation: ***Inguinal lymphadenopathy*** - This image illustrates **mycetoma**, a chronic **subcutaneous fungal infection** characterized by localized swelling, draining sinuses, and the extrusion of grains. - Mycetoma typically shows **minimal or no regional lymphadenopathy**, distinguishing it from infections with prominent lymphatic involvement. *Subcutaneous fungal infection* - The image depicts multiple **nodules and sinuses** on the foot, consistent with a **subcutaneous fungal infection** like mycetoma. - These infections are acquired through **traumatic implantation** of fungi into the skin. *Commonly occurs in foot* - Mycetoma, whether **eumycetoma (fungal)** or **actinomycetoma (bacterial)**, most frequently affects the **foot** due to its exposure to soil organisms. - The presentation shown in the image is typical for **mycetoma of the foot**. *Presents with discharging sinus* - A hallmark clinical feature of mycetoma is the formation of **multiple discharging sinuses** that extrude characteristic **grains** (macroscopic colonies of the causative organism). - The image shows **lesions suggestive of sinus tracts** on the foot.
Explanation: ***Correct: Tinea versicolor*** - The image shows **hypopigmented patches** with subtle scaling, which are characteristic features of tinea versicolor caused by *Malassezia furfur*. - The condition often presents as lighter patches on darker skin or darker patches on lighter skin, and the **fine scale** is often enhanced by scratching. - KOH mount shows **"spaghetti and meatballs" appearance** (short hyphae and round spores). *Incorrect: Tinea corporis* - This condition typically presents as **annular, erythematous lesions** with raised borders and central clearing, often referred to as "ringworm," which is not seen in the image. - Tinea corporis lesions are usually **pruritic** and can occur anywhere on the body, though their appearance is distinct from the diffuse, scaly patches shown. *Incorrect: Pityriasis alba* - Pityriasis alba presents as **ill-defined, hypopigmented macules or patches** often associated with mild scaling, primarily affecting the face, neck, and upper extremities in children and adolescents. - While it causes hypopigmentation, the texture and slight scaling in the image are more indicative of tinea versicolor, especially in an adult. *Incorrect: Vitiligo* - Vitiligo is characterized by **completely depigmented, white macules and patches** with sharply demarcated borders, due to the destruction of melanocytes. - Unlike the patchy, somewhat scaly hypopigmentation seen here, vitiligo lesions typically have a **chalk-white appearance** and lack any scale.
Explanation: ***Caused by Candida*** - The image displays findings consistent with **tinea cruris** (jock itch), which is caused by dermatophyte fungi, typically species of *Trichophyton* or *Epidermophyton*. - *Candida* typically causes **candidiasis**, which presents with bright red, moist patches often with satellite lesions, differing from the appearance in the image. *Dhobi itch* - This is a common colloquial term, particularly in South Asia, for **tinea cruris**, which is a fungal infection of the groin area. - The image shows clearly demarcated, erythematous, and scaly patches in the inguinal and perianal regions, consistent with this condition. *Jock itch* - **Jock itch** is the common name for **tinea cruris**, a fungal infection affecting the groin, inner thighs, and occasionally the buttocks. - The clinical presentation in the image, with its characteristic rash, is classical for jock itch. *More common in tropics* - **Tinea cruris** thrives in warm and humid environments, making it significantly more prevalent in **tropical and subtropical regions**. - Factors such as increased sweating and skin occlusion contribute to the higher incidence of this fungal infection in these climates.
Explanation: ***Lesion spreads centripetally with peripheral clearing*** - This statement is **false**. In tinea infections, the **lesion spreads centrifugally** (outward) from the center, with **active inflammation and scaling at the periphery** and **central clearing**. - The appearance of an advancing peripheral border with central clearing is characteristic of most dermatophyte infections, including tinea corporis. *Tinea corporis* - The image displays a **ringworm-like lesion** with an erythematous, scaly, and raised border, which is highly characteristic of **tinea corporis**, a fungal infection of the body. - The patient's symptom of **itching** is also a common feature of this superficial fungal infection. *Non-hairy skin involved* - Tinea corporis typically affects the **trunk, limbs, or face**, which are areas of **non-hairy (or lightly hairy)** skin, distinguishing it from tinea capitis (scalp) or tinea pedis (feet). - The lesion in the image appears on such a typical non-hairy body area, supporting its description as tinea corporis. *Classical presentation is ring like arciform lesion* - The term "**ringworm**" itself refers to the classic **annular (ring-shaped)** presentation with an active, red, scaly margin and a relatively clear center, often described as **arciform** when not perfectly circular. - The lesion in the image clearly demonstrates these features, which are pathognomonic for dermatophyte infections like tinea corporis.
Explanation: ***Tinea incognito*** - This condition occurs when a **dermatophyte infection** is masked or altered by the inappropriate application of **topical corticosteroids**, leading to atypical appearance and worsening of the lesion. - The history of applying topical steroids and subsequent worsening of lesions is characteristic of tinea incognito, as steroids suppress the immune response, allowing the fungus to spread more aggressively and alter its typical morphology. *Tinea corporis* - **Tinea corporis** typically presents as a well-demarcated, annular (ring-shaped) lesion with an **active, raised border** and central clearing. - While it is caused by a **dermatophyte infection**, the key differentiating feature here is the worsening after steroid application, which points away from uncomplicated tinea corporis. *Black dot tinea* - **Black dot tinea** is a form of **tinea capitis** (scalp ringworm), characterized by broken hair shafts at the scalp surface, appearing as "black dots." - This diagnosis is incorrect because the lesion is described as being on the patient's **back**, not the scalp, and the morphology does not match. *Dermographism* - **Dermographism** is a type of physical urticaria where firm stroking of the skin causes a linear **itchy wheal** to develop, resembling writing on the skin. - This is a **mechanical urticaria**, an allergic reaction, and does not involve fungal infection or the scaly, pruritic lesions described in the case.
Dermatophytoses
Practice Questions
Tinea Versicolor
Practice Questions
Candidiasis
Practice Questions
Onychomycosis
Practice Questions
Subcutaneous Mycoses
Practice Questions
Systemic Mycoses with Cutaneous Manifestations
Practice Questions
Opportunistic Fungal Infections
Practice Questions
Mycetoma
Practice Questions
Tropical Fungal Infections
Practice Questions
Diagnosis of Fungal Infections
Practice Questions
Antifungal Therapy
Practice Questions
Preventive Strategies
Practice Questions
Get full access to all questions, explanations, and performance tracking.
Start For Free