Which of the following is a direct branch of the abdominal aorta?
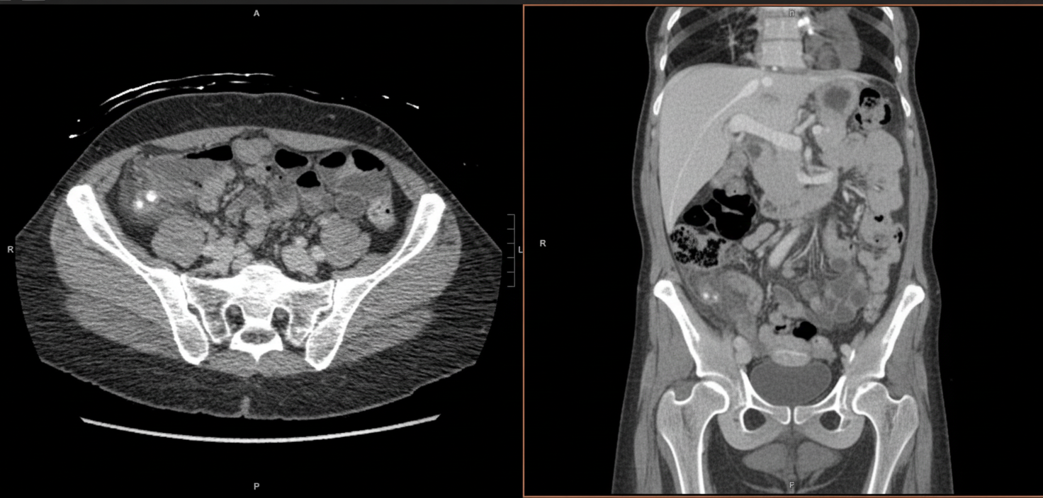
A 27-year-old woman presents with high fever and abdominal pain. Initially, the pain is around the navel but shifts to the right lower quadrant. A CT scan is provided. Which structure is affected?

The transverse mesocolon contains which of the following arteries?
All of the following statements regarding the adrenal gland are true except?
A 32-year-old man presents with a painless mass in his right scrotum of several months' duration. Ultrasonography shows a homogeneous hypoechoic intratesticular mass. Biopsy reveals a seminoma. To which of the following lymph nodes does cancer of the testis first metastasize?
The floor of the inguinal canal is formed by which of the following structures?
Ligation of the coeliac artery mostly affects all of the following organs except:
Porto-caval anastomosis is seen between which of the following anatomical locations?
What is true about splenunculi?
A patient was admitted with symptoms of bowel obstruction. Further examination revealed that the obstruction was caused by the nutcracker-like compression of the bowel between the superior mesenteric artery and the aorta. The compressed bowel is MOST likely to be:
Explanation: The abdominal aorta gives off three types of branches: visceral (paired and unpaired), parietal, and terminal. Understanding the origin of these vessels is a high-yield topic for NEET-PG. ### **Why the Correct Answer is Right** **D. Testicular artery:** This is a **paired visceral branch** of the abdominal aorta. It typically arises from the anterior aspect of the aorta just below the origin of the renal arteries (at the level of **L2**). In females, the equivalent branch is the ovarian artery. Both are collectively known as the gonadal arteries. ### **Why the Other Options are Incorrect** * **A. Superior suprarenal artery:** This is a branch of the **inferior phrenic artery** (which itself is a branch of the aorta). The middle suprarenal artery is a direct branch of the aorta, while the inferior suprarenal arises from the renal artery. * **B & C. External and Internal iliac arteries:** These are the terminal divisions of the **common iliac artery**. The abdominal aorta ends at the level of **L4** by bifurcating into the right and left common iliac arteries [1]; it does not give off the external or internal iliacs directly. ### **High-Yield Clinical Pearls for NEET-PG** 1. **Levels of Origin:** Celiac trunk (T12), Superior Mesenteric (L1), Renal (L2), Inferior Mesenteric (L3), Bifurcation (L4) [1]. 2. **Nutcracker Syndrome:** The left testicular (or ovarian) vein drains into the left renal artery, which can be compressed between the SMA and the aorta, leading to a varicocele. 3. **Unpaired Visceral Branches:** Celiac trunk, SMA, and IMA. 4. **Paired Visceral Branches:** Middle suprarenal, Renal, and Gonadal arteries.
Explanation: ***Appendix*** - Classic presentation of **periumbilical pain** migrating to the **right lower quadrant (McBurney's point)** with fever strongly indicates **acute appendicitis**. - CT findings typically show **appendiceal wall thickening >6mm**, **periappendiceal fat stranding**, and possible **appendicolith** or fluid collection. *Right ovary* - **Ovarian pathology** (torsion, cysts) typically presents with **sudden onset pelvic pain** without the characteristic pain migration pattern. - Usually lacks **systemic signs** like high fever and **Rovsing's sign** (pain in RLQ when palpating LLQ) seen in appendicitis. *Ileocecal junction* - **Ileocecal pathology** (Crohn's disease, intussusception) presents with **crampy abdominal pain** and **diarrhea**, not the classic appendicitis pain pattern. - CT would show **bowel wall thickening** at the junction rather than isolated appendiceal inflammation with fat stranding. *Ascending colon* - **Ascending colon pathology** typically presents with **right-sided abdominal pain** that is more diffuse and associated with **bowel symptoms**. - CT findings would show **colonic wall thickening** or **diverticular changes** rather than the focal appendiceal inflammation seen in appendicitis.
Explanation: Explanation: The **transverse mesocolon** is a broad, fan-shaped fold of peritoneum that connects the transverse colon to the posterior abdominal wall [1]. It serves as a conduit for neurovascular structures supplying the midgut-derived portion of the large intestine. **Why the Middle Colic Artery is Correct:** The **middle colic artery**, a branch of the Superior Mesenteric Artery (SMA), enters the layers of the transverse mesocolon [1]. It divides into right and left branches to supply the transverse colon [1]. It also participates in the formation of the **Marginal Artery of Drummond**, providing critical collateral circulation [1]. **Analysis of Incorrect Options:** * **Left Colic Artery (Option A):** A branch of the Inferior Mesenteric Artery (IMA), it supplies the descending colon and is located retroperitoneally or within the sigmoid mesocolon (distally) [1]. * **Right Colic Artery (Option B):** A branch of the SMA that supplies the ascending colon. Since the ascending colon is a retroperitoneal organ, this artery does not travel within a mesentery. * **Ileocolic Artery (Option D):** The terminal branch of the SMA supplying the cecum, appendix, and terminal ileum. It travels retroperitoneally toward the right iliac fossa. **High-Yield Clinical Pearls for NEET-PG:** * **Root of Transverse Mesocolon:** It crosses the anterior surface of the head and body of the pancreas. This is a common site for the spread of pancreatic inflammatory fluid (pseudocysts) or malignancy into the transverse colon. * **Surgical Landmark:** The transverse mesocolon divides the abdominal cavity into **supracolic** (stomach, liver, spleen) and **infracolic** (small intestine, ascending/descending colon) compartments. * **Arc of Riolan:** This is a direct communication between the SMA (middle colic) and IMA (left colic) found within the mesocolon, vital during mesenteric ischemia [1].
Explanation: The adrenal (suprarenal) glands are vital endocrine organs with a distinct vascular pattern that is a frequent target for NEET-PG questions. [1] ### **Explanation of the Correct Answer (B)** The statement in Option B is **false** because the venous drainage of the adrenal glands is asymmetrical: * **Right Adrenal Gland:** Drains via a short right suprarenal vein directly into the **Inferior Vena Cava (IVC)**. [1], [2] * **Left Adrenal Gland:** Drains via the left suprarenal vein into the **Left Renal Vein** (often joining the left inferior phrenic vein first), which then drains into the IVC. This asymmetry is a crucial anatomical fact, similar to the drainage pattern of the gonadal veins. ### **Analysis of Other Options** * **A (True):** Both glands receive a rich blood supply from **three** sources: the Superior suprarenal (from Inferior Phrenic), Middle suprarenal (from Abdominal Aorta), and Inferior suprarenal (from Renal Artery). [1] * **C (True):** The **Right** gland is **pyramidal/tetrahedral**, while the **Left** gland is **semilunar/crescentic** and slightly larger. [1] * **D (True):** In a healthy adult, each gland weighs approximately **4 to 5 grams**. ### **High-Yield Clinical Pearls for NEET-PG** * **Surgical Landmark:** During a right-sided adrenalectomy, the short right suprarenal vein is a "danger zone" because it can easily be torn from the IVC, leading to profuse hemorrhage. [2] * **Embryology:** The **Cortex** is derived from **Mesoderm** (coelomic epithelium), while the **Medulla** is derived from **Neural Crest Cells** (ectoderm). * **Location:** The right gland is posterior to the IVC and liver; the left gland is posterior to the stomach (separated by the lesser sac) and pancreas. [1]
Explanation: ### Explanation **1. Why the Correct Answer is Right:** The lymphatic drainage of an organ follows its **embryological origin** and its **arterial supply**. The testes develop in the high posterior abdominal wall (at the level of L2) and descend into the scrotum during fetal development, carrying their neurovascular and lymphatic supply with them. The testicular arteries arise directly from the abdominal aorta. Consequently, lymph from the testis drains via the lymphatic vessels in the spermatic cord to the **Lumbar (Para-aortic) lymph nodes**, located at the level of the L1-L2 vertebrae [1]. **2. Why the Other Options are Wrong:** * **Deep Inguinal (A):** These nodes receive drainage from the glans penis and the distal spongy urethra. They do not receive primary drainage from the testis. * **External Iliac (B):** These nodes primarily drain the pelvic viscera (e.g., superior bladder, cervix) and the deep lymphatics of the lower limb. * **Internal Iliac (C):** These nodes drain most of the pelvic organs, including the prostate, seminal vesicles, and the upper part of the vagina/rectum. **3. High-Yield Clinical Pearls for NEET-PG:** * **Scrotum vs. Testis:** This is a classic "trap" question. While the **testis** drains to the **Lumbar (Para-aortic) nodes**, the **scrotum** (skin) drains to the **Superficial Inguinal nodes** [1]. * **Metastasis Pattern:** In testicular cancer, a radical orchidectomy is performed via an inguinal approach (not trans-scrotal) to avoid seeding the cancer into the superficial inguinal nodes. * **Right vs. Left:** Lymph from the right testis drains specifically to the **precaval and aortocaval** nodes, while the left testis drains to the **pre-aortic and para-aortic** nodes. * **Exception:** If a tumor invades the tunica vaginalis or the scrotal skin, it may then spread to the inguinal lymph nodes [1].
Explanation: The **inguinal canal** is a 4 cm long oblique passage in the lower abdominal wall. To master this topic for NEET-PG, remember the mnemonic **MALT** (M-Roof, A-Anterior wall, L-Floor, T-Posterior wall). ### **Explanation of the Correct Answer** The **floor** (inferior boundary) of the inguinal canal is formed by the **inguinal ligament** (the folded-back lower edge of the external oblique aponeurosis) [1] and is reinforced medially by the **lacunar ligament**. The **transversalis fascia** also contributes to the floor as it dips down to meet the inguinal ligament [2]. ### **Analysis of Incorrect Options** * **Option A (Anterior Wall):** The aponeurosis of the **external oblique** muscle forms the entire length of the anterior wall [1]. * **Option B (Posterior Wall):** The posterior wall is formed by the **transversalis fascia** throughout its length, reinforced medially by the **conjoint tendon** (inguinal aponeurosis) and the reflected part of the inguinal ligament. * **Option C (Roof):** The roof is formed by the **arched fibers** of the internal oblique and transversus abdominis muscles [1]. ### **High-Yield Clinical Pearls for NEET-PG** 1. **Deep Inguinal Ring:** An opening in the *transversalis fascia*, located 1.25 cm above the mid-inguinal point [2]. 2. **Superficial Inguinal Ring:** A triangular opening in the *external oblique aponeurosis*. 3. **Hesselbach’s Triangle:** The site of **direct inguinal hernias** [1]. Its boundaries are the Inferior Epigastric Artery (Lateral), Rectus Abdominis (Medial), and Inguinal Ligament (Inferior/Floor). 4. **Indirect Hernia:** Passes through the deep ring, lateral to the inferior epigastric artery [2]. It is the most common type of hernia in both males and females.
Explanation: ### Explanation The **coeliac artery (trunk)** is the artery of the **foregut**. It supplies all derivatives of the embryonic foregut, which extends from the lower esophagus to the second part of the duodenum (at the level of the opening of the common bile duct) [1]. **1. Why Jejunum is the correct answer:** The **jejunum** is a derivative of the **midgut**. The arterial supply to the midgut (extending from the distal half of the second part of the duodenum to the junction of the proximal two-thirds and distal one-third of the transverse colon) is provided by the **Superior Mesenteric Artery (SMA)** [1]. Therefore, ligation of the coeliac trunk does not directly affect the blood supply to the jejunum. **2. Why the other options are incorrect:** * **Stomach (A):** The stomach is a foregut organ supplied by all three branches of the coeliac trunk (Left gastric, Splenic, and Common hepatic arteries). * **Pancreas (B):** The head of the pancreas receives blood from both the coeliac trunk (via the superior pancreaticoduodenal artery) and the SMA [1]. However, the body and tail are supplied exclusively by the splenic artery, a branch of the coeliac trunk. * **Spleen (D):** The spleen is supplied by the splenic artery, the largest branch of the coeliac trunk. **Clinical Pearls for NEET-PG:** * **Coeliac Trunk Level:** Originates from the abdominal aorta at the level of the **T12/L1** disc. * **Three Main Branches:** Left gastric artery (smallest), Splenic artery (largest/tortuous), and Common hepatic artery. * **Watershed Area:** The **duodenum** acts as the transition zone where the blood supply shifts from the coeliac trunk to the SMA via the pancreaticoduodenal anastomoses [1]. * **Clinical Significance:** Sudden occlusion of the coeliac trunk is often compensated by collateral circulation from the SMA, but acute ligation during surgery will primarily ischemia-stress the stomach, liver, and spleen.
Explanation: Portocaval (portosystemic) anastomoses are critical clinical landmarks where the portal venous system communicates with the systemic venous system. These sites become clinically significant in portal hypertension, leading to the development of varices. **1. Why Option A is Correct:** In the anal canal/rectum, a major site of anastomosis exists between: * **Portal System:** Superior rectal vein (a continuation of the inferior mesenteric vein). * **Systemic System:** Middle and inferior rectal veins (tributaries of the internal iliac and internal pudendal veins, respectively). Clinical manifestation of congestion here results in **internal hemorrhoids**. **2. Analysis of Incorrect Options:** * **Option B:** At the umbilicus, the anastomosis is between the **paraumbilical veins** (portal) and the **superficial epigastric veins** (systemic). The accessory hemiazygos vein is a thoracic systemic vein and does not communicate here. * **Option C:** At the lower end of the esophagus, the anastomosis is between the **left gastric vein** (portal) and the **esophageal branches of the azygos vein** (systemic). Paraumbilical veins are associated with the umbilicus, not the esophagus. * **Option D:** There is no "renal azygos vein" involved in a primary portocaval site. A known site involves the **bare area of the liver**, where hepatic portal radicals communicate with the **diaphragmatic (phrenic) veins** (systemic). **High-Yield Clinical Pearls for NEET-PG:** * **Caput Medusae:** Dilated veins around the umbilicus due to portal hypertension. * **Esophageal Varices:** The most life-threatening complication of portal hypertension, occurring at the gastro-esophageal junction. * **Retroperitoneal Site (Retzius):** Communication between colic veins (portal) and lumbar/renal veins (systemic) [1]. * **Rule of Thumb:** Portal veins usually lack valves, allowing retrograde flow when portal pressure exceeds 10–12 mmHg [1].
Explanation: **Splenunculi (Accessory Spleens)** are small nodules of healthy splenic tissue that are anatomically separate from the main body of the spleen. They result from the failure of fusion of separate splenic primordia in the dorsal mesogastrium during embryonic development. ### **Explanation of Options** * **A. It is encapsulated (Correct):** Splenunculi are histologically identical to the parent spleen [1]. They possess a distinct **fibroelastic capsule** and contain both red and white pulp. This structural integrity is a defining feature. * **B. The most common site is the tail of the pancreas (Incorrect):** While the tail of the pancreas is a common location, the **splenic hilum** is the most frequent site (found in ~75% of cases). Other sites include the gastrosplenic ligament and the greater omentum. * **C. It is often single (Incorrect):** While they can be solitary, they are frequently **multiple** (usually 2 or 3). They are found in approximately 10–30% of the general population. * **D. It has more red pulp than the spleen (Incorrect):** Splenunculi are **histologically identical** to the main spleen [1]; the ratio of red pulp to white pulp remains the same. ### **High-Yield Clinical Pearls for NEET-PG** 1. **Clinical Significance in Hematology:** In patients undergoing splenectomy for conditions like **Immune Thrombocytopenic Purpura (ITP)** [2] or Hereditary Spherocytosis [2], failure to remove a splenunculus can lead to a recurrence of the disease (compensatory hypertrophy). 2. **Diagnostic Mimicry:** On CT scans, a splenunculus in the tail of the pancreas can be misdiagnosed as a pancreatic tumor. 3. **Blood Supply:** They usually receive their arterial supply from branches of the **splenic artery**. 4. **Splenosis vs. Splenunculus:** Do not confuse these. *Splenosis* is acquired autotransplantation of splenic tissue following trauma (usually lacks a capsule), whereas a *splenunculus* is a congenital developmental anomaly (has a capsule).
Explanation: ### Explanation The clinical scenario describes **Superior Mesenteric Artery (SMA) Syndrome**, also known as Wilkie’s syndrome. **1. Why the Duodenum is correct:** The **third (horizontal) part of the duodenum** passes transversely between the abdominal aorta (posteriorly) and the superior mesenteric artery (anteriorly) [1]. Normally, a fat pad maintains an angle of approximately 45° between these two vessels. If this angle narrows (usually <25° due to rapid weight loss or loss of mesenteric fat), the duodenum is compressed like a "nutcracker," leading to proximal bowel obstruction [1]. **2. Why the incorrect options are wrong:** * **Jejunum and Ileum:** These parts of the small intestine are located distal to the SMA's origin and are suspended by the mesentery. They do not pass through the narrow vascular space between the aorta and the SMA. * **Ascending Colon:** This is a retroperitoneal structure located in the right paracolic gutter, far lateral to the midline where the SMA and aorta intersect. **3. Clinical Pearls for NEET-PG:** * **Nutcracker Syndrome vs. SMA Syndrome:** While SMA syndrome involves compression of the **duodenum**, "Nutcracker Syndrome" specifically refers to the compression of the **left renal vein** between the SMA and the aorta, leading to hematuria and left-sided varicocele. * **Predisposing Factors:** Rapid weight loss (e.g., malignancy, eating disorders), spinal surgery (correcting scoliosis), or prolonged bed rest in a body cast [1]. * **Relieving Factor:** Symptoms are often relieved by the **left lateral decubitus** or knee-chest position, which increases the SMA-aorta angle. * **Anatomical Landmark:** The SMA arises from the aorta at the level of **L1**.
Anterior Abdominal Wall
Practice Questions
Peritoneum and Peritoneal Cavity
Practice Questions
Stomach and Intestines
Practice Questions
Liver, Gallbladder and Biliary Tract
Practice Questions
Pancreas and Spleen
Practice Questions
Kidneys and Suprarenal Glands
Practice Questions
Abdominal Vasculature
Practice Questions
Posterior Abdominal Wall
Practice Questions
Innervation of Abdominal Viscera
Practice Questions
Applied Anatomy and Clinical Correlations
Practice Questions
Get full access to all questions, explanations, and performance tracking.
Start For Free