Which of the following statements about the third part of the duodenum is untrue?
What is the approximate length of the large intestine?
The gastrosplenic ligament is a peritoneal reflection surrounding which artery?
Which of the following are the main sources of blood supply to the stomach?
The Meckel's diverticulum is situated within about how many cm from the ileocecal valve?
Which of the following statements about Brunner's glands is FALSE?
The cardiac orifice of the stomach is located at the level of which vertebra?
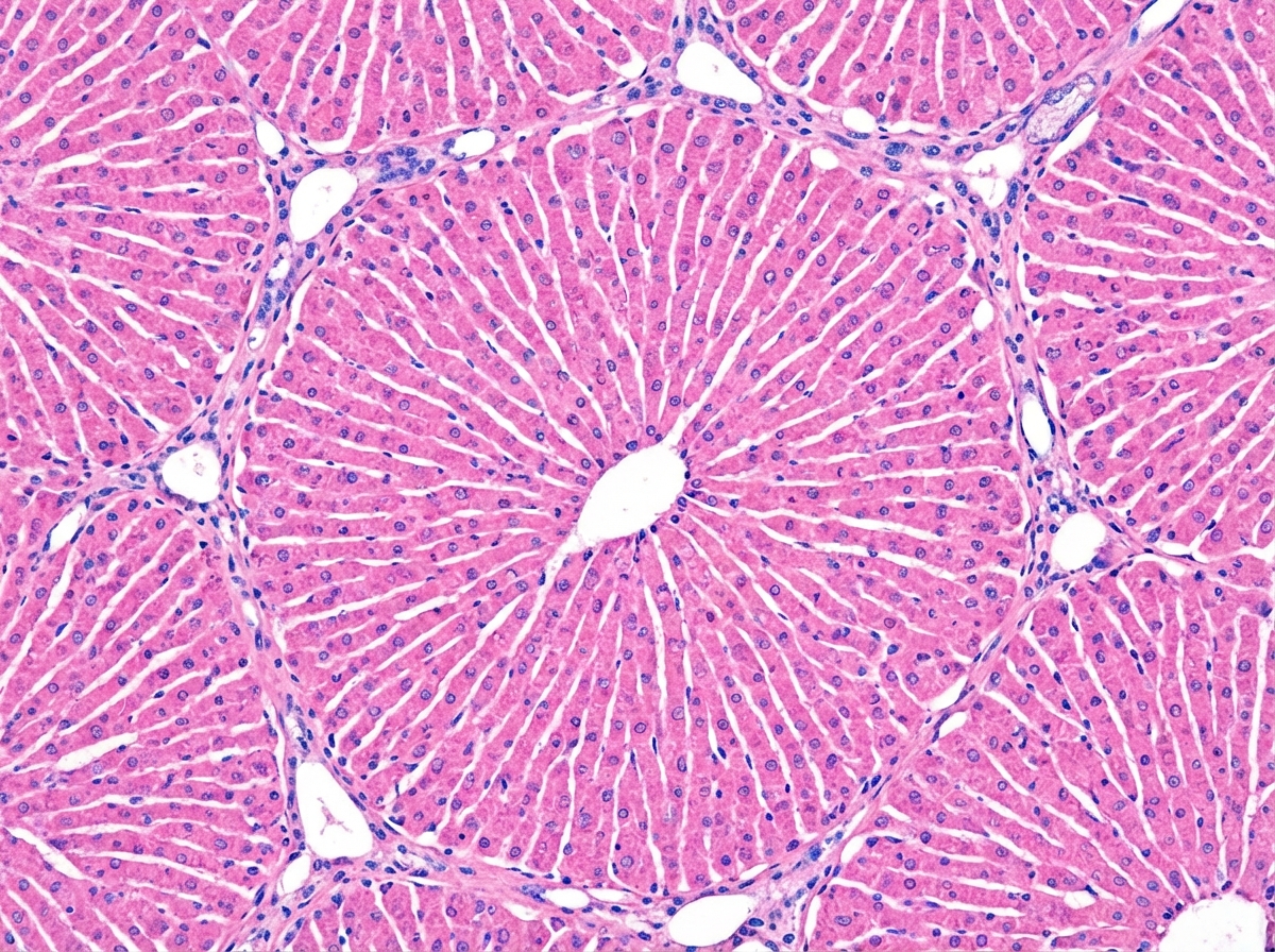
What is the predominant source of blood supply to the organ shown in the histological slide?

Which nerve is known as the criminal nerve of Grassi?
Gall bladder is lined by which type of epithelium?
Explanation: ### Explanation The duodenum is a unique C-shaped organ that marks the transition between the foregut and the midgut. **1. Why Option B is the Correct (Untrue) Statement:** The duodenum is derived from **both** the foregut and the midgut [1]. The point of transition is the **opening of the common bile duct** (at the major duodenal papilla) in the second part. Therefore, the first part and the upper half of the second part are foregut derivatives, while the lower half of the second part, the **third part**, and the fourth part are derived from the **midgut** [1]. **2. Analysis of Other Options:** * **Option A (10 cm length):** This is true. The duodenum follows the "2-3-4-1" rule in inches (5, 7.5, 10, and 2.5 cm respectively). The third (horizontal) part is indeed the longest segment at approximately 10 cm. * **Option C (SMA anterior):** This is true. The superior mesenteric artery and vein, along with the root of the mesentery, cross anteriorly over the third part of the duodenum. * **Option D (IVC/Aorta posterior):** This is true. The third part runs horizontally to the left, crossing over the inferior vena cava, the abdominal aorta, and the right psoas major muscle. **3. Clinical Pearls for NEET-PG:** * **SMA Syndrome (Wilkie’s Syndrome):** Compression of the third part of the duodenum between the SMA (anteriorly) and the Aorta (posteriorly) due to loss of the intervening fat pad, leading to high intestinal obstruction. * **Blood Supply:** Since it spans the foregut and midgut, the duodenum is supplied by both the **Celiac trunk** (via superior pancreaticoduodenal artery) and the **Superior Mesenteric Artery** (via inferior pancreaticoduodenal artery). * **Peritoneal Status:** The first 2 cm of the first part is intraperitoneal; the remainder of the duodenum is **retroperitoneal**.
Explanation: **Explanation:** The large intestine (colon) extends from the ileocecal junction to the anus. In a living adult, its approximate length is **1.5 metres (5 feet)**, which is significantly shorter than the small intestine [1]. Despite its shorter length, it is termed "large" because its luminal diameter is much greater than that of the small intestine. It is divided into the cecum, ascending colon, transverse colon, descending colon, sigmoid colon, rectum, and anal canal [1]. **Analysis of Options:** * **Option A (1.5 m):** This is the standard anatomical length. It accounts for the absorption of water and electrolytes and the storage of undigested residue. * **Option B (3 m):** This is double the actual length and does not correspond to standard human anatomy. * **Option C (4.5 m):** This is an incorrect measurement for any specific segment of the human gut. * **Option D (6 m):** This is the approximate length of the **small intestine** [2]. Students often confuse the two; remember that the small intestine is long and narrow, while the large intestine is short and wide. **High-Yield Clinical Pearls for NEET-PG:** * **Cardinal Features:** The large intestine is identified by three features absent in the small intestine: **Taenia coli** (three longitudinal muscle bands), **Haustrations** (sacculations), and **Appendices epiploicae** (fat-filled peritoneal pouches). * **Exceptions:** The **appendix, rectum, and anal canal** lack taenia coli and haustrations [1]. * **Widest Part:** The **cecum** has the maximum diameter (approx. 7.5 cm), making it the most common site for perforation in distal obstructions (Laplace’s Law). * **Narrowest Part:** The **sigmoid colon** is the narrowest segment and the most common site for diverticula and volvulus [1].
Explanation: **Explanation:** The **gastrosplenic ligament** is a derivative of the dorsal mesogastrium that connects the greater curvature of the stomach to the hilum of the spleen [2]. It forms part of the left lateral border of the lesser sac. It contains the **short gastric arteries** and the **left gastro-omental (gastroepiploic) vessels** [1]. Therefore, Option B is the correct answer. **Analysis of Options:** * **A. Splenic artery:** While the splenic artery is the source of the short gastric vessels, the main trunk of the splenic artery travels retroperitoneally along the superior border of the pancreas and then enters the **lienorenal (splenorenal) ligament**, not the gastrosplenic ligament. * **C. Pancreatic artery:** These are branches of the splenic artery that supply the body and tail of the pancreas, which is a retroperitoneal organ. They do not travel within peritoneal reflections to the stomach. * **D. Common hepatic artery:** This artery arises from the celiac trunk and runs toward the right to enter the hepatoduodenal ligament (part of the lesser omentum). It has no anatomical relationship with the gastrosplenic ligament. **High-Yield Clinical Pearls for NEET-PG:** * **Ligament Contents:** * **Lienorenal ligament:** Contains the splenic artery, splenic vein, and the **tail of the pancreas** (important to avoid injury during splenectomy). * **Gastrosplenic ligament:** Contains short gastric arteries and left gastro-omental vessels [1]. * **Surgical Significance:** During a splenectomy, the gastrosplenic ligament must be divided to mobilize the spleen [2]. Ligation of the short gastric arteries is necessary, but care must be taken not to damage the greater curvature of the stomach [1].
Explanation: ### Explanation The stomach is a highly vascular organ primarily supplied by branches of the **Celiac Trunk** [1]. To identify the "main" sources, we look for the arteries that form the major anastomotic arches along the curvatures. **Why the Correct Answer is D (Inferior Phrenic Artery):** Wait—there appears to be a discrepancy in the provided key. In standard human anatomy, the **Left Gastric Artery** is the largest and most significant source of blood to the stomach. However, if the question asks for a source that is **NOT** a "main" source (a common "except" type question in NEET-PG) or if the context refers to the **posterior surface/fundus** specifically, the Inferior Phrenic artery provides accessory supply. If the option "D" is marked correct in your source, it is likely because it is an **accessory** source rather than a "main" source, or the question was intended to ask "Which of the following is NOT a main source?" *Note: In a standard "identify the main source" question, **Left Gastric Artery** is the gold standard answer.* **Analysis of Options:** * **B. Left Gastric Artery:** The primary and largest supply; it runs along the lesser curvature. * **A. Right Gastric Artery:** Supplies the lower lesser curvature; arises from the Hepatic Artery [2]. * **C. Splenic Artery:** Supplies the stomach via the **Short Gastric arteries** (fundus) and the **Left Gastro-omental artery** (greater curvature) [1]. * **D. Inferior Phrenic Artery:** While it sends small branches to the cardiac end of the stomach, it primarily supplies the diaphragm and suprarenal glands. It is considered an **accessory/minor** source. **NEET-PG High-Yield Pearls:** 1. **Lesser Curvature:** Supplied by Right and Left Gastric arteries. 2. **Greater Curvature:** Supplied by Right and Left Gastro-omental (gastroepiploic) arteries [1]. 3. **Fundus:** Supplied by **Short Gastric arteries** (branches of the Splenic artery). 4. **Clinical Significance:** During a **Gastrectomy**, the extensive collateral circulation allows the stomach to survive even if several major vessels are ligated, provided one major source (like the gastro-omental) remains intact. 5. **Peptic Ulcer Perforation:** An ulcer on the posterior wall of the stomach can erode the **Splenic Artery**, leading to massive hemorrhage.
Explanation: Meckel’s diverticulum is the most common congenital anomaly of the gastrointestinal tract, resulting from the **incomplete obliteration of the vitellointestinal duct** (omphalomesenteric duct) [1]. **Why 60 cm is correct:** In medical literature and clinical practice, Meckel’s diverticulum follows the **"Rule of 2s."** [1][3] One of the key components of this rule is that the diverticulum is typically located **2 feet** proximal to the ileocecal valve [1]. Converting 2 feet into the metric system (1 foot ≈ 30.48 cm) gives approximately **60 cm**. This is the standard anatomical landmark used by surgeons to locate the diverticulum during an exploratory laparotomy for suspected appendicitis or bowel obstruction. **Analysis of Incorrect Options:** * **A (25 cm):** This is too distal. While anatomical variations exist, 25 cm is significantly closer to the valve than the average presentation. * **C (75 cm) & D (100 cm):** These are too proximal. While a diverticulum can occasionally be found further up the ileum, 60 cm (2 feet) remains the high-yield "textbook" distance for examination purposes. **Clinical Pearls for NEET-PG (The Rule of 2s):** * **Prevalence:** Occurs in **2%** of the population [1][3]. * **Gender:** **2 times** more common in males. * **Location:** **2 feet** (60 cm) from the ileocecal valve [1]. * **Size:** Usually **2 inches** long [1]. * **Ectopic Tissue:** Often contains **2 types** of ectopic mucosa (most commonly **Gastric**, followed by Pancreatic) [1][3]. * **Presentation:** Usually symptomatic before age **2**. * **Clinical Significance:** It is a "true" diverticulum (contains all layers of the bowel wall). It can present as painless lower GI bleeding (due to acid from ectopic gastric mucosa) or mimic acute appendicitis (Meckel’s diverticulitis) [2].
Explanation: ### Explanation **1. Why Option B is the Correct (False) Statement:** Brunner’s glands (duodenal glands) are a unique histological hallmark of the **duodenum only**. They are specifically located in the **submucosa**. They are **not** found in the ileum. The ileum is characterized by the presence of Peyer’s patches (lymphoid aggregates) in its submucosa, not Brunner’s glands. Therefore, the statement that they are found in both the duodenum and ileum is anatomically incorrect. **2. Analysis of Other Options:** * **Option A:** Correct. Brunner’s glands are the defining feature of the duodenal submucosa, distinguishing it from the rest of the small intestine. * **Option C & D:** Correct. These glands secrete an alkaline (bicarbonate-rich) mucoid fluid (pH 8.1–9.3). This secretion serves two vital functions: it neutralizes the highly acidic chyme entering from the stomach and provides an optimal alkaline pH for the activation of pancreatic enzymes. **3. NEET-PG High-Yield Clinical Pearls:** * **Location:** They are most numerous in the first part (proximal) of the duodenum and gradually decrease toward the duodenojejunal junction. * **Stimulation:** Their secretion is stimulated by secretin, cholecystokinin (CCK), and vagal stimulation. * **Clinical Correlation (Brunner’s Gland Adenoma):** Also known as Brunneroma, it is a rare benign tumor usually found in the second part of the duodenum. * **Protective Role:** They protect the duodenal wall from digestion by gastric juice and Urogastrone (secreted by these glands) inhibits gastric acid secretion. * **Histology Tip:** If you see glands in the **submucosa** of the GI tract, it is either the **Esophagus** or the **Duodenum**.
Explanation: The **cardiac orifice** is the junction where the esophagus enters the stomach. In a living individual of average build, this orifice is located at the level of the **T11 vertebra**, approximately 2.5 cm to the left of the midline. [1] ### **Why T11 is Correct** The esophagus pierces the muscular part of the diaphragm at the level of **T10** (the esophageal hiatus). After a short abdominal course of about 1.25 cm, it terminates at the cardiac orifice of the stomach at the level of **T11**. This point is marked internally by the Z-line (squamocolumnar junction). [1] ### **Explanation of Incorrect Options** * **T9:** This level is superior to the diaphragm's major openings. The vena caval opening is slightly higher, at the T8 level. * **T10:** This is the level of the **esophageal hiatus** in the diaphragm. While the esophagus passes through here, the actual orifice (junction with the stomach) is slightly lower. * **L1:** This is the level of the **pyloric orifice** (transpyloric plane). The stomach begins at T11 and ends at L1. ### **High-Yield Clinical Pearls for NEET-PG** * **Diaphragmatic Openings (Mnemonic: Voice Of America):** * **V**ena Cava: **T8** * **O**esophagus: **T10** (along with Vagus nerves) * **A**orta: **T12** (along with Azygos vein and Thoracic duct) * **Surface Anatomy:** The cardiac orifice lies behind the left 7th costal cartilage, 2.5 cm from the sternum. * **Clinical Significance:** The physiological lower esophageal sphincter (LES) at this level prevents gastric acid reflux; dysfunction leads to GERD. [1]
Explanation: ***Portal vein*** - Provides **75-80%** of the liver's blood supply, carrying nutrient-rich blood from the **gastrointestinal tract** and **spleen**. - The **portal tracts** visible in liver histology contain branches of the portal vein, making it the predominant vascular supply. *Hepatic artery* - Supplies only **20-25%** of hepatic blood flow, providing **oxygenated blood** but not the predominant source. - Branches are found in **portal tracts** alongside portal vein branches, but contribute less to total hepatic blood supply. *Hepatic vein* - Functions as the **drainage system** for liver blood, carrying deoxygenated blood from liver to the **inferior vena cava**. - **Central veins** seen in liver lobules drain into hepatic veins, making this an outflow rather than supply vessel. *Cystic artery* - Supplies the **gallbladder**, not the liver parenchyma, and is a branch of the **right hepatic artery**. - Has no role in providing blood supply to **hepatocytes** or liver tissue shown in histological sections.
Explanation: **Explanation:** The **Criminal Nerve of Grassi** is the first branch of the **posterior vagus nerve** (specifically the right vagus). It arises high up near the cardia of the stomach and supplies the gastric fundus. **Why it is the correct answer:** In the surgical treatment of peptic ulcer disease, a **Highly Selective Vagotomy (HSV)** is performed to denervate the acid-secreting parietal cells while preserving the motor supply to the antrum [1]. The nerve of Grassi is termed "criminal" because it is frequently missed during this surgery. If this nerve is not identified and divided, it continues to stimulate acid secretion in the fundus, leading to **recurrent peptic ulcers**. **Why the other options are incorrect:** * **Trigeminal nerve (CN V):** The largest cranial nerve, responsible for facial sensation and motor supply to the muscles of mastication. It has no role in gastric acid secretion. * **Hypoglossal nerve (CN XII):** A purely motor nerve that supplies the muscles of the tongue. * **Abducent nerve (CN VI):** A motor nerve that supplies the lateral rectus muscle of the eye. **Clinical Pearls for NEET-PG:** * **Origin:** Posterior vagus nerve (Right vagus). * **Significance:** Most common cause of surgical failure/recurrence in Highly Selective Vagotomy. * **Nerves of Latarjet:** These are the terminal branches of the vagus nerves (anterior and posterior) that supply the lesser curvature; they are preserved in HSV to maintain gastric emptying [1]. * **Crow’s Foot:** The terminal branches of the nerves of Latarjet near the antrum, used as a landmark to stop dissection during HSV [1].
Explanation: The gallbladder is primarily a storage and concentration organ for bile [1]. To achieve this, its mucosa is lined by a **single layer of tall columnar cells** characterized by numerous apical **microvilli**. These microvilli form a **brush border**, which significantly increases the surface area for the absorption of water and electrolytes, concentrating bile up to 10-fold. **Analysis of Options:** * **Option B (Correct):** The presence of microvilli (brush border) is the histological hallmark of the gallbladder, facilitating its primary physiological role of bile concentration. * **Option A:** Ciliated columnar cells are found in the respiratory tract (bronchioles) or the female reproductive tract (fallopian tubes) to move mucus or ova; they are not present in the biliary system. * **Option C:** Striated columnar epithelium refers specifically to the "striated border" seen in the small intestine (enterocytes) or the "basal striations" in renal tubules. While similar to a brush border, the term "brush border" is the preferred histological description for the gallbladder. * **Option D:** Pseudostratified columnar epithelium is characteristic of the trachea (respiratory epithelium) and parts of the male reproductive tract (epididymis). **High-Yield Clinical Pearls for NEET-PG:** * **Absence of Muscularis Mucosa:** Unlike the rest of the GI tract, the gallbladder wall lacks a muscularis mucosa and a true submucosa. * **Rokitansky-Aschoff Sinuses:** These are mucosal invaginations into the muscular layer, often seen in chronic cholecystitis. * **Luschka’s Ducts:** Small bile ducts found in the connective tissue between the liver and gallbladder; they can cause bile leaks after cholecystectomy [1]. * **Hartmann’s Pouch:** A mucosal fold at the neck of the gallbladder where gallstones commonly impact [2].
Anterior Abdominal Wall
Practice Questions
Peritoneum and Peritoneal Cavity
Practice Questions
Stomach and Intestines
Practice Questions
Liver, Gallbladder and Biliary Tract
Practice Questions
Pancreas and Spleen
Practice Questions
Kidneys and Suprarenal Glands
Practice Questions
Abdominal Vasculature
Practice Questions
Posterior Abdominal Wall
Practice Questions
Innervation of Abdominal Viscera
Practice Questions
Applied Anatomy and Clinical Correlations
Practice Questions
Get full access to all questions, explanations, and performance tracking.
Start For Free