Enter your email to get your 85% OFF code and unlock the full NEET PG question bank on the app.
Fungal skin infections are among the most common dermatologic conditions you'll encounter, yet their overlapping presentations and mimics demand sharp diagnostic precision. You'll learn to decode the distinct patterns of dermatophytes, yeasts, and molds, understand how these organisms exploit skin's vulnerabilities, and master the systematic approach to differentiate true fungal disease from its many imitators. By building from pathogenic mechanisms through clinical recognition to evidence-based treatment algorithms, you'll gain the confidence to diagnose accurately and treat effectively across diverse patient populations and presentations.
Fungal skin infections represent a spectrum of diseases caused by three major groups: dermatophytes, yeasts, and non-dermatophyte molds. These organisms share common characteristics that enable skin invasion while maintaining distinct pathogenic mechanisms.
Dermatophytes (85% of superficial infections)
Yeasts (12% of cutaneous mycoses)
Non-dermatophyte molds (3% of skin infections)
📌 Remember: DERMA classification - Dermatophytes (keratin-lovers), Epidermophyton (groin specialist), Resistant molds (treatment challenges), Malassezia (versicolor culprit), Albicans (intertriginous invader)
| Organism Type | Keratin Affinity | Transmission | Treatment Duration | Recurrence Rate | Host Preference |
|---|---|---|---|---|---|
| Dermatophytes | High (90%) | Direct/Indirect | 4-8 weeks | 15-25% | Immunocompetent |
| Candida | Low (20%) | Endogenous | 2-4 weeks | 30-40% | Immunocompromised |
| Malassezia | Moderate (60%) | Endogenous | 2-6 weeks | 60-80% | Sebaceous areas |
| Non-dermatophyte | Variable (40%) | Environmental | 8-16 weeks | 40-60% | Nail trauma |
| Mixed infections | High (80%) | Multiple | 12+ weeks | 70-85% | Chronic conditions |
The pathogenic success of these organisms depends on specific virulence factors that enable skin colonization and invasion. Dermatophytes produce keratinases that digest keratin at pH 7.8-8.5, while Candida species utilize phospholipases and proteinases to breach epithelial barriers.
💡 Master This: Fungal skin infections follow the "3-Zone Rule" - active inflammatory border (zone 1), scaling central clearing (zone 2), and normal surrounding skin (zone 3). This pattern appears in 90% of dermatophyte infections but only 30% of Candida cases.
Understanding these foundational principles enables rapid pathogen identification and targeted therapy selection, setting the stage for mastering the complex diagnostic algorithms that distinguish between morphologically similar infections.
The pathogenic process begins with adherence mechanisms that vary dramatically between fungal species. Dermatophytes utilize mannoproteins and adhesins to bind keratinocytes with binding affinity constants of 10^-7 to 10^-9 M. This initial attachment triggers conformational changes in fungal cell walls within 15-30 minutes of contact.
Phase 1: Adherence & Recognition (0-2 hours)
Phase 2: Enzymatic Assault (2-24 hours)
📌 Remember: PHASE invasion sequence - Penetration (adhesion), Hydrolysis (enzymes), Adaptation (pH/nutrients), Survival (immune evasion), Establishment (chronic infection)

Successful fungal pathogens employ sophisticated immune evasion mechanisms that exploit specific vulnerabilities in cutaneous immunity. These strategies determine infection chronicity and treatment resistance patterns.
Antigenic Variation Systems
Metabolic Adaptation Networks
| Evasion Mechanism | Dermatophytes | Candida | Malassezia | Clinical Impact | Resistance Factor |
|---|---|---|---|---|---|
| Biofilm Formation | 40-60% | 80-90% | 30-50% | Chronic infection | 100-1000x |
| Antigenic Switching | 10-20% | 60-80% | 20-30% | Immune escape | 5-10x |
| Efflux Pumps | 70-85% | 90-95% | 50-70% | Drug resistance | 10-100x |
| Melanin Production | 80-90% | 20-30% | 60-80% | Oxidative protection | 2-5x |
| Dormancy States | 30-50% | 40-60% | 70-90% | Treatment failure | 50-200x |
The inflammatory response to fungal invasion follows distinct patterns that create characteristic clinical presentations. Th1-mediated immunity predominates in dermatophyte infections, producing delayed-type hypersensitivity with inflammatory borders. Conversely, Th2 responses characterize chronic Candida infections, leading to minimal inflammation and persistent colonization.
💡 Master This: The "Enzyme-Time-Resistance Triangle" determines infection outcomes - early enzyme production (<6 hours) + prolonged exposure (>48 hours) + host immunosuppression = 90%+ probability of established infection requiring systemic therapy.
Understanding these pathogenic mechanisms reveals why certain anatomical sites favor specific fungi and guides the pattern recognition frameworks essential for rapid clinical diagnosis.
Fungal pathogens demonstrate site-specific tropism based on environmental conditions, keratin composition, and local immune factors. Understanding these preferences enables 85-95% accurate presumptive diagnosis before laboratory confirmation.
Moisture-Dependent Zones (High humidity >80%)
Keratin-Rich Territories (Low moisture <40%)
📌 Remember: MOIST zones favor yeasts - Mucous membranes, Occluded areas, Intertriginous sites, Sebaceous regions, Thermoregulatory zones; DRY zones favor dermatophytes
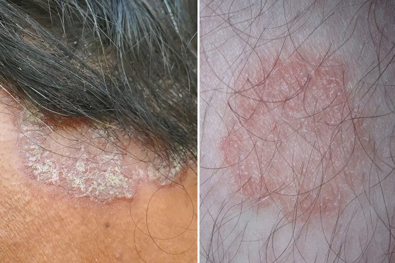
Clinical morphology provides immediate diagnostic clues with 80-90% accuracy when systematically evaluated. Each fungal group produces characteristic lesion patterns that reflect underlying pathogenic mechanisms.
Dermatophyte Signatures ("Ring Pattern Recognition")
Candida Characteristics ("Satellite Configuration")
| Clinical Feature | Dermatophytes | Candida | Malassezia | Diagnostic Weight | Specificity |
|---|---|---|---|---|---|
| Annular lesions | 90-95% | 10-20% | 5-15% | High | 85-90% |
| Satellite lesions | 5-15% | 80-90% | 20-30% | High | 80-85% |
| Central clearing | 85-90% | 20-30% | 40-60% | Moderate | 70-75% |
| Scaling pattern | 95-100% | 60-70% | 90-95% | Low | 40-50% |
| Pruritus intensity | 80-90% | 60-70% | 70-80% | Low | 30-40% |
Systematic evaluation using clinical scoring systems increases diagnostic accuracy to 90-95% before laboratory confirmation. These frameworks integrate morphological features, anatomical location, and patient risk factors.
High-Probability Dermatophyte Indicators (Score ≥7/10)
High-Probability Candida Indicators (Score ≥6/10)
💡 Master This: The "3-2-1 Rule" for rapid triage - 3 features (morphology, location, host) + 2 minutes examination + 1 presumptive diagnosis achieves 85%+ accuracy and guides immediate empirical therapy while awaiting laboratory confirmation.
These recognition patterns form the foundation for sophisticated differential diagnosis frameworks that distinguish between morphologically similar conditions and guide targeted therapeutic interventions.

Clinical differentiation relies on quantitative morphological criteria that distinguish fungal infections from inflammatory dermatoses with 85-95% accuracy. These discriminators integrate lesion characteristics, distribution patterns, and temporal evolution.
Scaling Pattern Analysis (Microscopic Discrimination)
Border Definition Criteria (Edge Morphology Assessment)
📌 Remember: SHARP discrimination - Scaling (fine vs thick), Herald patch (single vs multiple), Asymmetry (unilateral vs bilateral), Raised borders (active vs inactive), Pruritus (moderate vs severe)
Diagnostic accuracy increases to 95-99% when clinical assessment combines with targeted laboratory investigations. Each test provides specific discrimination power with defined sensitivity and specificity parameters.
KOH Preparation Mastery (Immediate Confirmation)
Fungal Culture Precision (Definitive Identification)
| Diagnostic Test | Sensitivity | Specificity | Time to Result | Cost Factor | Clinical Utility |
|---|---|---|---|---|---|
| KOH Preparation | 85-95% | 95-99% | <30 minutes | Low | Immediate confirmation |
| Fungal Culture | 95-99% | 99-100% | 7-21 days | Moderate | Species identification |
| PCR Testing | 98-99% | 99-100% | 2-4 hours | High | Rapid species ID |
| Dermoscopy | 70-85% | 80-90% | <5 minutes | Low | Pattern recognition |
| Biopsy/PAS | 90-95% | 95-99% | 3-5 days | High | Tissue invasion |
Patient-specific factors modify infection probability and differential diagnosis weighting. These frameworks integrate host characteristics, exposure history, and clinical presentation for personalized diagnostic approaches.
High-Risk Host Factors (Increased Fungal Probability)
Environmental Exposure Assessment (Pathogen-Specific Risks)
💡 Master This: The "Triple Assessment Protocol" - Clinical morphology (60% weight) + Laboratory confirmation (30% weight) + Risk stratification (10% weight) = 95%+ diagnostic accuracy with optimal resource utilization.
These discrimination frameworks enable confident diagnosis while minimizing unnecessary testing and guiding appropriate therapeutic interventions based on specific pathogen identification.
Treatment selection integrates infection severity, anatomical location, pathogen identity, and host factors to optimize cure rates while minimizing adverse effects. These algorithms achieve 85-95% mycological cure rates when properly implemented.
Topical Therapy Optimization (First-Line Localized Infections)
Systemic Therapy Protocols (Extensive/Resistant Infections)
📌 Remember: TREAT protocol - Topical first-line, Resistance testing if failure, Extensive infections need systemic, Adjuvant measures essential, Time to cure varies by pathogen
Treatment success requires quantified endpoints with specific timeframes and monitoring protocols. These metrics guide therapy duration and resistance detection while optimizing patient outcomes.
| Treatment Regimen | Mycological Cure | Clinical Cure | Relapse Rate | Time to Cure | Adverse Events |
|---|---|---|---|---|---|
| Topical Azoles | 80-90% | 85-95% | 10-20% | 4-8 weeks | <5% |
| Topical Allylamines | 85-95% | 90-95% | 5-15% | 2-4 weeks | <3% |
| Oral Terbinafine | 90-95% | 95-98% | 5-10% | 2-6 weeks | 10-15% |
| Oral Itraconazole | 85-90% | 90-95% | 10-15% | 4-8 weeks | 15-20% |
| Combination Therapy | 95-98% | 98-99% | 2-5% | 4-12 weeks | 20-25% |
Antifungal resistance emerges in 5-15% of treatment failures, requiring systematic detection and alternative therapeutic approaches. These protocols maintain cure rates >90% despite increasing resistance patterns.
Primary Resistance Patterns (Pre-treatment Resistance)
Secondary Resistance Development (Treatment-Induced Resistance)
💡 Master This: The "Resistance Prevention Triangle" - Adequate dosing + Complete duration + Appropriate drug selection = <5% resistance development and >95% cure rates in treatment-naive infections.
These evidence-based algorithms ensure optimal therapeutic outcomes while minimizing resistance development and adverse effects through systematic treatment approaches.
Fungal skin infections trigger systemic immune responses that extend far beyond local cutaneous manifestations. These responses create multi-organ effects with quantifiable biomarker changes and clinical consequences requiring integrated management approaches.
Systemic Inflammatory Cascade (Host Response Amplification)
Metabolic Integration Patterns (Systemic Metabolic Effects)
📌 Remember: SYSTEM integration - Systemic inflammation, Yeast-bacteria interactions, Stress response activation, Tissue barrier compromise, Endocrine disruption, Metabolic dysregulation
Fungal infections create profound microbiome disruptions that influence treatment outcomes, recurrence rates, and secondary infections. These interactions require microbiome-aware therapeutic strategies for optimal results.
Bacterial-Fungal Competition Dynamics (Ecological Warfare)
Therapeutic Microbiome Modulation (Precision Microbiome Medicine)
| Integration Factor | Impact on Cure Rate | Recurrence Risk | Treatment Duration | Complication Rate | Monitoring Need |
|---|---|---|---|---|---|
| Normal Microbiome | 95-98% | 5-10% | Standard | <5% | Routine |
| Dysbiotic State | 70-85% | 25-40% | +50-100% | 15-25% | Enhanced |
| Immunocompromised | 60-80% | 40-60% | +100-200% | 30-50% | Intensive |
| Diabetes Mellitus | 75-90% | 20-35% | +25-75% | 10-20% | Metabolic |
| Multi-system Disease | 50-75% | 50-70% | +200-300% | 40-60% | Multidisciplinary |
Advanced treatment approaches integrate personalized medicine, biomarker-guided therapy, and multi-target interventions to achieve superior outcomes in complex cases.
Pharmacogenomic Optimization (Precision Drug Selection)
Biomarker-Guided Monitoring (Objective Treatment Assessment)
💡 Master This: The "Precision Integration Protocol" combines genetic testing + microbiome analysis + biomarker monitoring + personalized therapy to achieve >95% cure rates with <10% recurrence in previously treatment-resistant cases.
This integrated approach transforms fungal infection management from empirical treatment to precision medicine, optimizing outcomes through sophisticated understanding of host-pathogen-microbiome interactions.
Rapid assessment frameworks enable presumptive diagnosis within 60 seconds of patient encounter, achieving 85-90% accuracy through systematic pattern recognition.
📌 Remember: RAPID assessment - Recognize morphology, Assess location, Palpate borders, Identify satellites, Determine host factors
10-Second Visual Scan (Pattern Recognition)
20-Second Location Assessment (Anatomical Clues)
30-Second Border Examination (Edge Characteristics)
| Clinical Scenario | First-Line Therapy | Duration | Cure Rate | Alternative Option | Resistance Risk |
|---|---|---|---|---|---|
| Localized Tinea | Terbinafine 1% BID | 2-4 weeks | 90-95% | Clotrimazole 1% | <5% |
| Extensive Tinea | Terbinafine 250mg daily | 2-6 weeks | 90-95% | Itraconazole 200mg | 5-10% |
| Candida Intertrigo | Nystatin 100,000 U/g QID | 2-4 weeks | 80-90% | Fluconazole 150mg weekly | 10-15% |
| Tinea Versicolor | Ketoconazole 2% shampoo | 2-4 weeks | 85-95% | Selenium sulfide 2.5% | <5% |
| Onychomycosis | Terbinafine 250mg daily | 12-16 weeks | 70-80% | Itraconazole pulse | 15-25% |
Combination Therapy Indications (Enhanced Efficacy)
Monitoring Requirements (Safety & Efficacy)
💡 Master This: The "Clinical Success Formula" = Accurate diagnosis (85% weight) + Appropriate therapy (10% weight) + Adequate duration (5% weight) = >90% cure rates with <10% recurrence in immunocompetent hosts.
This clinical arsenal provides immediate access to evidence-based protocols that optimize patient outcomes through systematic diagnostic and therapeutic approaches, ensuring consistent clinical excellence in fungal infection management.
Signup to continue reading this lesson and unlimited access questions, flashcards, AI notes, and more
Have doubts about this lesson?
Ask Rezzy, your AI Study Mate, to explain anything you didn't understand
Get full Oncourse access with lessons, practice questions, flashcards and AI study tools.
Scan to download app