First Aid Neurology:: Cranial Nerves Pseudotumor Cerebri (aka Idiopathic Intracranial Hypertension) causes a palsy of what oculomotor nerve? _____

CT scan shows a concavo-convex-shaped hematoma is suggestive of a _____ hematoma

The image showing a bleed over the arachnoid layer but under the dura is suggestive of a _____ hemorrhage.

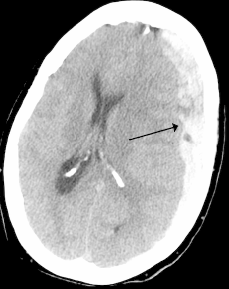
Which type of intracranial hemorrhage is seen in the image below? _____

The cerebral angiogram shows abnormal, dilated, and irregular collateral vessels (_____ appearance) which are characteristic of _____ disease

MRI of a _____ shows a necrotic hemorrhagic mass that usually crosses the corpus callosum

d290f3172dbb4a2890981defc5658fc1-ao-2

Hyperostosis of the wall of the orbit, maybe seen in _____ meningioma, Fibrous dysplasia and Metastasis from Ca. prostate
Hint: location
_____ sign is seen in Joubert syndrome, characterised by cerebellar vermis hypoplasia
_____ is characteristic of the adamantinomatous variety of craniopharyngioma
Hint: Radiological Finding
Neuroanatomy for Radiologists
Flashcards
Cerebrovascular Diseases
Flashcards
Intracranial Tumors
Flashcards
CNS Infections
Flashcards
Demyelinating and Degenerative Diseases
Flashcards
Head Trauma Imaging
Flashcards
Spine Imaging: Trauma and Degenerative Disease
Flashcards
Spine Tumors and Infections
Flashcards
Pediatric Neuroradiology
Flashcards
Congenital CNS Anomalies
Flashcards
Functional Neuroimaging
Flashcards
Neurointerventional Procedures
Flashcards
These Neuroradiology flashcards are designed for NEET-PG Radiology preparation, using active recall to help you retain high-yield concepts, clinical correlations, and commonly tested facts. Each card prompts you to retrieve information from memory rather than passively reviewing notes, which research shows leads to significantly better exam performance.
The 114 cards in this deck cover the most important topics in Neuroradiology, including key mechanisms, diagnostic criteria, treatment protocols, and clinical pearls that frequently appear in NEET-PG examinations. Cards are organised by chapter so you can focus on specific areas or work through the entire topic systematically.
For personalised spaced repetition scheduling that adapts to your performance, unlimited flashcards, and detailed progress analytics, download the Oncourse app.
Get full access to all flashcards, spaced repetition, and progress tracking.
Start For Free