The following image represents the _____ carcinoma subtype of invasive ductal carcinoma:

The H&E stained specimen shows endometrial glands and surrounding stroma in myometrium, suggestive of _____

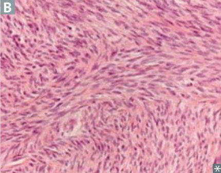
In regards to cervical epithelium, if the tissue sample on the left is normal, is the tissue sample on the right: mildly dysplastic, moderately dysplastic, or severely dysplastic / carcinoma in situ? _____ VS
Hint: Think about nuclear:cytoplasmic ratio, tissue orientation, and pleomorphy

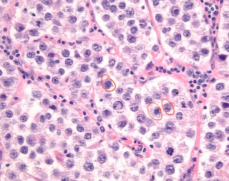
A dysgerminoma is an ovarian germ cell tumor composed of large primitive "oocyte-like" cells with clear cytoplasm and central nuclei; described as "_____" cells

Breast Cancer Assessment: The following is an immunohistochemical stain for the _____ receptor, which is located in nuclei

Ovarian _____ cystadenoma is a large, multiloculated benign tumor lined by mucus-secreting epithelium

The histology image shows a whorled pattern of smooth muscle bundles with well-dermarcated borders, which is characteristic of _____

In regards to cervical epithelium, if the tissue sample on the left is normal, is the tissue sample on the right: mildly dysplastic, moderately dysplastic, or severely dysplastic / carcinoma in situ? _____ VS
Hint: Think about nuclear:cytoplasmic ratio, tissue orientation, and pleomorphy

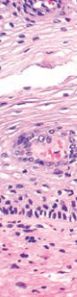
Is this histology of this Cervical Epithelium normal, mildly dysplastic, moderately dysplastic, or severe dysplasia / carcinoma in situ? _____

The histology image below has lymphocytes and plasma cells in the endometrium, which is indicative of _____

Diseases of Male Genital Tract
Flashcards
Testicular Tumors
Flashcards
Prostate Pathology
Flashcards
Diseases of Female Genital Tract
Flashcards
Cervical Pathology and Neoplasia
Flashcards
Endometrial Pathology
Flashcards
Ovarian Diseases and Tumors
Flashcards
Gestational Trophoblastic Disease
Flashcards
Placental Pathology
Flashcards
Sexually Transmitted Infections
Flashcards
These Reproductive Pathology flashcards are designed for NEET-PG Pathology preparation, using active recall to help you retain high-yield concepts, clinical correlations, and commonly tested facts. Each card prompts you to retrieve information from memory rather than passively reviewing notes, which research shows leads to significantly better exam performance.
The 98 cards in this deck cover the most important topics in Reproductive Pathology, including key mechanisms, diagnostic criteria, treatment protocols, and clinical pearls that frequently appear in NEET-PG examinations. Cards are organised by chapter so you can focus on specific areas or work through the entire topic systematically.
For personalised spaced repetition scheduling that adapts to your performance, unlimited flashcards, and detailed progress analytics, download the Oncourse app.
Get full access to all flashcards, spaced repetition, and progress tracking.
Start For Free