The given immunoflorescence pattern is suggestive of _____:

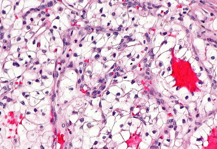
Presence of yellow-colored spherical mass associated with tumor cells invading the renal vein is characteristic of _____ carcinoma
Hint: renal subtype

_____ crystals on urine microscopy appear as spheres with radial or concentric striations and irregular projections or thorns, referred to as thorn apples

Sites of Deposits in Glomerular diseases: No answer _____

_____ stones: Hexagonal
PSGN occurs with nephritogenic strains of group A -hemolytic streptococcus, which carry the _____ virulence factor and is caused by glomerular deposition of nephritogenic antigens such as SpeB
85% of autosomal dominant PKD is due to a _____ mutation on chromosome 16
_____ glomerulonephritis is associated with a 'tram-track' appearance on PAS and H&E stain
_____ is a type of nephritic syndrome that arises after a group A -hemolytic streptococcal infection of the skin (impetigo) or pharynx
15% of autosomal dominant PKD is due to a _____ mutation on chromosome 4
Congenital Anomalies of the Kidney
Flashcards
Glomerular Diseases
Flashcards
Tubular and Interstitial Diseases
Flashcards
Vascular Diseases of the Kidney
Flashcards
Cystic Diseases of the Kidney
Flashcards
Urinary Tract Obstruction and Stones
Flashcards
Renal Tumors
Flashcards
Kidney in Systemic Diseases
Flashcards
Renal Transplantation Pathology
Flashcards
Urinary Tract Infections
Flashcards
These Renal Pathology flashcards are designed for NEET-PG Pathology preparation, using active recall to help you retain high-yield concepts, clinical correlations, and commonly tested facts. Each card prompts you to retrieve information from memory rather than passively reviewing notes, which research shows leads to significantly better exam performance.
The 163 cards in this deck cover the most important topics in Renal Pathology, including key mechanisms, diagnostic criteria, treatment protocols, and clinical pearls that frequently appear in NEET-PG examinations. Cards are organised by chapter so you can focus on specific areas or work through the entire topic systematically.
For personalised spaced repetition scheduling that adapts to your performance, unlimited flashcards, and detailed progress analytics, download the Oncourse app.
Get full access to all flashcards, spaced repetition, and progress tracking.
Start For Free