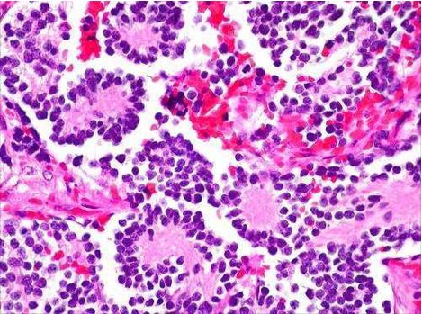
What CNS tumor is seen in the histology slide below? _____

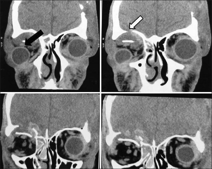
Spheno-orbital encephalocoele, due to dysplasia of the greater wing of the sphenoid is commonly seen in _____
Hint: inherited condition

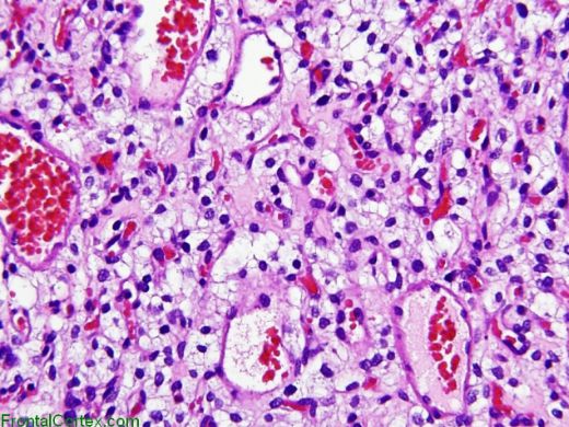
Which feature of von Hippel-Lindau disease is seen in the image below? _____

Which virus/viral family will have cytoplasmic, eosinophilic inclusions within neuronal cells? _____

Which rosettes are seen in Neuroblastoma? _____

The given histology is suggestive of globoid cells in brain parenchyma found in _____ disease.

_____ herniation may result in compression of the anterior cerebral artery, which causes infarction
Vitamin E deficiency may cause _____ and Spinocerebellar tract demyelination
_____ (children) and Papillary (adult) are two variants of craniopharyngioma.
The earliest _____ evidence for Diffuse Axonal Injury appears at? (Bonus Q: And what is it?)12 hours
Cellular Pathology of the Nervous System
Flashcards
Cerebrovascular Diseases
Flashcards
Trauma to the Central Nervous System
Flashcards
Infections of the Nervous System
Flashcards
Demyelinating Diseases
Flashcards
Neurodegenerative Diseases
Flashcards
CNS Tumors
Flashcards
Peripheral Nerve Disorders
Flashcards
Neuromuscular Junction Diseases
Flashcards
Congenital and Developmental Disorders
Flashcards
These Neuropathology flashcards are designed for NEET-PG Pathology preparation, using active recall to help you retain high-yield concepts, clinical correlations, and commonly tested facts. Each card prompts you to retrieve information from memory rather than passively reviewing notes, which research shows leads to significantly better exam performance.
The 166 cards in this deck cover the most important topics in Neuropathology, including key mechanisms, diagnostic criteria, treatment protocols, and clinical pearls that frequently appear in NEET-PG examinations. Cards are organised by chapter so you can focus on specific areas or work through the entire topic systematically.
For personalised spaced repetition scheduling that adapts to your performance, unlimited flashcards, and detailed progress analytics, download the Oncourse app.
Get full access to all flashcards, spaced repetition, and progress tracking.
Start For Free