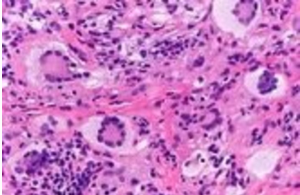
The histopathological section has giant cells with a central ring of nuclei suggestive of _____

What type of cells are the following examples? _____ ,smooth muscle cells
Hint: Labile, Stable, or Permanent?

Acute inflammation typically results in resolution and healing, which is mediated by _____ and TGF-B
Vitamin D excess is seen in _____ diseases due to increased activation of vitamin D by epithelioid macrophages
Keloid scars are characterized by very increased type _____ and III collagen synthesis
Silica may impair _____ and disrupt phagolysosome formation, increasing susceptibility to TB
Chronic disease results in _____ hepcidin release from the liver
Lymph node biopsy in _____ disease reveals stellate granulomas resembling those seen in sarcoidosis
_____ and VCAM-1 are cellular adhesion molecules that are upregulated on endothelium during leukocyte adhesion
_____ -selectin expression is induced by IL-1 and TNF
Acute Inflammation: Vascular Events
Flashcards
Acute Inflammation: Cellular Events
Flashcards
Chemical Mediators of Inflammation
Flashcards
Chronic Inflammation
Flashcards
Granulomatous Inflammation
Flashcards
Systemic Effects of Inflammation
Flashcards
Wound Healing
Flashcards
Tissue Regeneration
Flashcards
Fibrosis and Repair
Flashcards
Resolution of Inflammation
Flashcards
These Inflammation and Repair flashcards are designed for NEET-PG Pathology preparation, using active recall to help you retain high-yield concepts, clinical correlations, and commonly tested facts. Each card prompts you to retrieve information from memory rather than passively reviewing notes, which research shows leads to significantly better exam performance.
The 67 cards in this deck cover the most important topics in Inflammation and Repair, including key mechanisms, diagnostic criteria, treatment protocols, and clinical pearls that frequently appear in NEET-PG examinations. Cards are organised by chapter so you can focus on specific areas or work through the entire topic systematically.
For personalised spaced repetition scheduling that adapts to your performance, unlimited flashcards, and detailed progress analytics, download the Oncourse app.
Get full access to all flashcards, spaced repetition, and progress tracking.
Start For Free