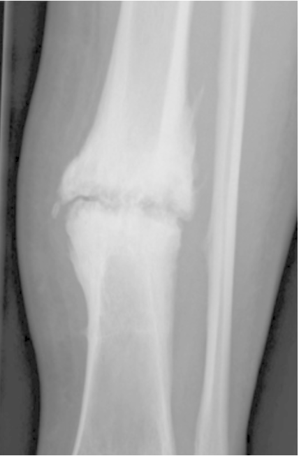
The given x-ray shows hypertrophic nonunion caused by inadequate _____

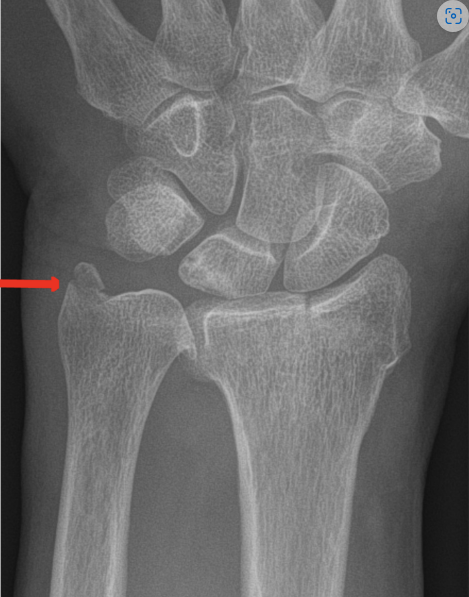
The given image shows a fracture of the styloid process of radius which is called a _____ fracture. (Ignore the red arrow)

_____ sign is seen in bicolumnar T-shaped or transverse fracture of acetabulum

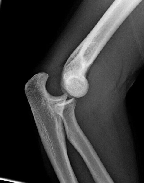
The most common nerve affected by posterior elbow dislocation is _____ nerve

Name the following method to reduce a dislocated shoulder: _____

The most common complication associated with elbow dislocation is _____ at the elbow.

The above radiograph shows an extramedullary implant called a _____.

In Colles # the distal segment is displaced _____ whereas in Smith # it is displaced volarly (dorsal/volar)
Non-union is defined as arrest in the healing process of a fracture lasting more than _____ months and for which there has been no signs of healing for 3 months
According to the position assumed by the femoral head, anterior dislocation of the hip can further be classified as _____ and inferior
Principles of Fracture Management
Flashcards
Upper Limb Fractures
Flashcards
Lower Limb Fractures
Flashcards
Spinal Trauma
Flashcards
Pelvic and Acetabular Fractures
Flashcards
Open Fractures
Flashcards
Fractures in Children
Flashcards
Fracture Complications
Flashcards
Nonunion and Malunion
Flashcards
Polytrauma Management
Flashcards
Joint Dislocations
Flashcards
Soft Tissue Injuries
Flashcards
These Trauma flashcards are designed for NEET-PG Orthopaedics preparation, using active recall to help you retain high-yield concepts, clinical correlations, and commonly tested facts. Each card prompts you to retrieve information from memory rather than passively reviewing notes, which research shows leads to significantly better exam performance.
The 129 cards in this deck cover the most important topics in Trauma, including key mechanisms, diagnostic criteria, treatment protocols, and clinical pearls that frequently appear in NEET-PG examinations. Cards are organised by chapter so you can focus on specific areas or work through the entire topic systematically.
For personalised spaced repetition scheduling that adapts to your performance, unlimited flashcards, and detailed progress analytics, download the Oncourse app.
Get full access to all flashcards, spaced repetition, and progress tracking.
Start For Free