In acute pyelonephritis, which of the following is NOT a USG finding:
A 45-year-old Caucasian male with a history of chronic myeloid leukemia for which he is receiving chemotherapy presents to the emergency room with oliguria and colicky left flank pain. His serum creatinine is 3.0 mg/dL and his urine pH is 5.0. You diagnose nephrolithiasis. His kidney stones, however, are not visible on abdominal x-ray. His stone is most likely composed of which of the following?
Most common type of renal carcinoma is:
Which of the following is a gold standard investigation for diagnosis of renal stone?
Renal stones which are laminated and irregular in outline are
What is the investigation of choice in a patient with blunt abdominal trauma with hematuria?
Which of the following statements about CT imaging is the MOST accurate?
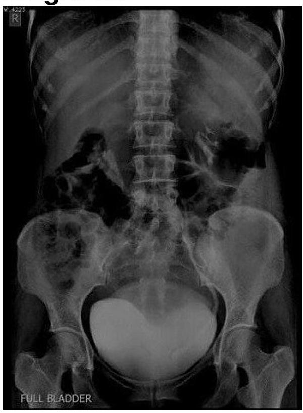
A female patient presented with recurrent urinary tract infections. What is the most probable diagnosis based on the imaging findings?

A 10-year-old child with a history of frequent micturition and fever since 2 years presents to the pediatric OPD. On examination, it was normal. What would be the MOST APPROPRIATE diagnostic modality for this child?
Identify the instrument shown in the image.

Explanation: ***Increased vascularity*** - On **grayscale ultrasound**, vascularity assessment is limited, and acute pyelonephritis typically appears as areas of altered echogenicity without direct visualization of blood flow. - However, on **color Doppler ultrasound**, acute pyelonephritis typically shows **increased vascularity** (hyperemia) due to inflammatory response, NOT decreased vascularity. - The question likely refers to **conventional grayscale USG findings** where direct vascularity assessment is not the primary diagnostic feature, unlike CT or Doppler studies. - This option is considered "NOT a typical finding" in the context of **standard grayscale ultrasound examination** where other findings are more reliably demonstrated. *Renal enlargement* - **Renal enlargement** is a common and characteristic finding in acute pyelonephritis due to **edema and inflammation** of the renal parenchyma. - This enlargement is often diffuse but can be focal (focal pyelonephritis or lobar nephronia). *Increased echogenicity* - **Increased echogenicity** of the renal parenchyma is commonly observed in acute pyelonephritis due to **interstitial edema** and inflammatory cell infiltration. - May appear as focal or diffuse areas of altered echogenicity. *Compression of the renal sinuses* - **Compression of the renal sinuses** occurs in acute pyelonephritis as the **inflamed and swollen parenchyma** expands, compressing the echogenic fatty tissue within the central renal sinus. - This finding indicates significant **parenchymal swelling** and is a characteristic feature on ultrasound.
Explanation: ***Uric acid*** - The patient has **chronic myeloid leukemia (CML)** and is receiving **chemotherapy**, which can cause a rapid turnover of cells, leading to **hyperuricemia** and the formation of uric acid stones. - Uric acid stones are **radiolucent** (not visible on X-ray) and are associated with a **low urine pH** (5.0 in this case). *Cystine* - Cystine stones are caused by a **genetic defect** in amino acid transport, leading to high urinary cystine levels. - While they are also **radiolucent**, there is no clinical information to suggest a genetic predisposition for cystinuria in this patient. *Calcium phosphate* - Calcium phosphate stones are typically **radio-opaque** and usually form in alkaline urine, which contradicts the patient's low urine pH [1]. - They are often associated with conditions like **renal tubular acidosis** or hyperparathyroidism [1]. *Magnesium ammonium phosphate* - These are also known as **struvite stones** and are highly suggestive of **urinary tract infections** with urea-splitting organisms (e.g., *Proteus*) [1]. - They tend to grow large, form **staghorn calculi**, and are **radio-opaque** [1]. *Calcium oxalate* - Calcium oxalate stones are the **most common type** of kidney stone and are **radio-opaque**, making them visible on X-ray. - They are typically associated with conditions causing **hypercalciuria** or hyperoxaluria, which are not explicitly indicated here, and they would be visible on the X-ray.
Explanation: ***Clear cell type*** - The **clear cell type** is the most common subtype of renal carcinoma, constituting about **70-80%** of cases [3]. - It is typically associated with **von Hippel-Lindau syndrome** and presents with clear or "foamy" cells due to lipid accumulation [3]. *Chromophobe type* - This type comprises about **5-10%** of renal cell carcinomas and usually has a better prognosis [1]. - Characterized by **pale cells with distinct cell borders** and lacks the common features of clear cell carcinoma [1]. *Tubular type* - The tubular variant is less common and does not represent a major subtype of renal cell carcinoma. - It is often confused with other variants but lacks the distinct characteristics of the clear cell type. *Papillary type* - The papillary type accounts for about **10-15%** of renal carcinomas and is characterized by papillary structures [2]. - This type generally has a distinct chromosomal mutation profile compared to the clear cell type [2]. **References:** [1] Kumar V, Abbas AK, et al.. Robbins and Cotran Pathologic Basis of Disease. 9th ed. The Kidney, p. 959. [2] Kumar V, Abbas AK, et al.. Robbins and Cotran Pathologic Basis of Disease. 9th ed. The Kidney, pp. 958-959. [3] Kumar V, Abbas AK, et al.. Robbins and Cotran Pathologic Basis of Disease. 9th ed. The Kidney, pp. 959-961.
Explanation: ***Helical CT with Non-contrast*** - **Non-contrast helical CT** (also known as CT KUB) is considered the **gold standard** due to its high sensitivity and specificity for detecting all types of urinary tract calculi, regardless of their composition. - It rapidly identifies stones, their location, size, and associated complications like **hydronephrosis**, without the need for IV contrast. *USG* - **Ultrasound** is a good initial screening tool and can detect larger stones and hydronephrosis, but its sensitivity is lower than CT, especially for smaller stones or those in the ureters. - Its diagnostic accuracy is highly **operator-dependent**, and it may miss stones obscured by bowel gas or bone. *Helical CT with contrast* - While helical CT is excellent, the use of **IV contrast** is generally avoided for routine stone detection as it can obscure the highly dense stones from the contrast-enhanced renal collecting system. - Contrast is primarily useful for evaluating **renal masses**, infection, or vascular abnormalities, not for primary stone diagnosis. *MRI* - **MRI** has limited utility in detecting typical renal stones because most calculi are not well-visualized on standard MRI sequences due to their lack of free water and low signal intensity. - It may be considered in specific populations, such as **pregnant women** or children, to avoid radiation exposure, but it is not the gold standard for stone detection.
Explanation: ***Calcium oxalate*** - **Calcium oxalate stones** are the most common type of kidney stones and characteristically present with a **laminated** (layered) and **irregular, spiculated outline** due to their crystalline structure - They are typically **radio-opaque** on X-rays due to their calcium content - The irregular outline distinguishes them from other stone types *Uric acid* - **Uric acid stones** are often **smooth**, hard, and **yellowish-brown** in appearance - They are **radio-lucent** on standard X-rays and are associated with conditions like gout or acidic urine - Their smooth surface contrasts with the irregular calcium oxalate stones *Struvite* - **Struvite stones** (magnesium ammonium phosphate) are strongly associated with **urinary tract infections** (UTIs) and can form **staghorn calculi**, filling the renal pelvis - They tend to be **friable** and have a **smooth or glistening** surface, often growing quite large - Associated with urease-producing bacteria *Cystine* - **Cystine stones** are caused by a genetic disorder affecting amino acid transport and generally appear **smooth, waxy, and hexagonal crystal-shaped** - They are typically **moderately radio-opaque** but less dense than calcium stones - The smooth, waxy appearance differs from the irregular calcium oxalate stones
Explanation: ***Contrast enhanced computed tomography (CECT)*** - **CECT** is the **investigation of choice** for evaluating solid organ injuries, including renal trauma, in hemodynamically stable patients with blunt abdominal trauma and hematuria. - It provides detailed imaging of the kidneys, urinary tract, and surrounding structures, allowing for the classification of injury severity and identification of associated injuries. *Retrograde urogram* - A retrograde urogram is primarily used to evaluate the **lower urinary tract** (urethra and bladder) for strictures or injuries, specifically when there is a suspicion of urethral injury. - It is not the primary imaging modality for assessing renal parenchymal or collecting system injuries from blunt trauma. *Intravenous urogram (IVU)* - While an IVU can assess the upper urinary tract, it has largely been replaced by **CECT** in the acute trauma setting due to CECT's superior resolution and ability to evaluate renal parenchyma and other abdominal organs. - IVU exposes the patient to radiation and requires contrast administration, and it may not adequately visualize subtle renal injuries or hematomas as effectively as CECT. *Ultrasonography of abdomen* - **Ultrasound** is useful for rapidly detecting free fluid (suggesting hemorrhage) or gross hydronephrosis in trauma, but it has limited sensitivity for diagnosing specific renal parenchymal injuries or urinary extravasation. - Its role in blunt abdominal trauma with hematuria is often as an initial screening tool, but it is not sufficient for definitive diagnosis or grading of renal injuries.
Explanation: ***Water has a Hounsfield unit (HU) of zero.*** - The **Hounsfield unit (HU)** scale is a quantitative scale used to describe radiodensity in CT scans, where **water is defined as 0 HU**. - This establishes a crucial reference point for measuring the attenuation of other tissues, which can range from approximately **-1000 HU for air** to **+1000 HU or more for dense bone**. *CT head dose remains constant regardless of the protocol used.* - The **radiation dose** in CT scans is highly variable and depends significantly on the **protocol used**, including factors like mA, kVp, pitch, and scan length. - **Dose optimization techniques** and protocol adjustments are routinely employed to minimize patient exposure while maintaining diagnostic image quality. *CT cannot detect gallstones under any circumstances.* - While **ultrasound (US)** is the primary modality for detecting gallstones, CT can visualize them, especially if they are **calcified** or of mixed composition. - **Non-calcified gallstones** may be more challenging to detect on CT, but they are not impossible to see, particularly with current generation scanners and appropriate windowing. *CT uses unfiltered x-ray beams.* - CT scanners use **filtered x-ray beams** to provide higher quality images and reduce patient dose. - **Filtration (e.g., aluminum or copper)** removes low-energy x-rays, which would otherwise be absorbed by the patient without contributing to image formation.
Explanation: ***Ureterocele*** - The imaging shows a rounded, radiolucent filling defect within the **contrast-filled bladder**, which is characteristic of a **ureterocele**. This is often associated with recurrent UTIs due to obstruction and stasis. - A ureterocele is a **congenital dilation** of the terminal part of the ureter as it enters the bladder, causing a cystic protrusion into the bladder lumen. *Congenital megaureter* - A congenital megaureter would appear as a **diffusely dilated ureter** throughout its course, often extending from the renal pelvis, rather than a localized cystic structure within the bladder. - While it can cause recurrent UTIs, the specific bladder filling defect seen here is not typical for an isolated megaureter. *Urinary stones* - Urinary stones would typically appear as **radiopaque foci** of varying size, depending on their composition, within the collecting system or bladder. - They do not typically present as a smooth, rounded filling defect within a contrast-filled bladder. *Ureteral duplication* - Ureteral duplication involves two separate ureters draining a single kidney, which often have their own separate openings into the bladder or meet before entering. - While it can be associated with UTIs (especially with reflux or ectopia), the primary finding on imaging would be the presence of **two distinct ureters**, not an intravesical cystic structure.
Explanation: ***3D MCU (Micturating Cystourethrogram)*** - **Gold standard** for diagnosing **vesicoureteral reflux (VUR)**, the most common cause of recurrent UTIs in children - In a child with **2-year history of recurrent UTIs** (fever + frequent micturition), VUR is the primary concern that needs to be ruled out - MCU provides **dynamic imaging** during bladder filling and voiding, allowing direct visualization of **reflux** and assessment of **bladder and urethral anatomy** - **Standard of care** recommended by IAP (Indian Academy of Pediatrics) and major pediatric nephrology guidelines - Though it involves ionizing radiation, the **diagnostic benefit far outweighs risks** in this clinical scenario - Cost-effective and widely available in Indian healthcare settings *MR Urogram* - Provides excellent anatomical detail of the **upper urinary tract** (kidneys, ureters) without radiation - However, it is **NOT the first-line investigation** for recurrent UTI workup in children - Does not adequately assess **dynamic VUR** like MCU does - More expensive, requires sedation in many children, and less accessible - Reserved for specific indications like suspected anatomical anomalies after initial screening *3D CT Urogram* - Excellent for detailed anatomical evaluation but involves **high radiation dose** - Not appropriate as first-line investigation in a **chronic, non-acute pediatric case** - Reserved for complex cases where MR is contraindicated or for acute complications *IVP (Intravenous Pyelogram)* - **Obsolete modality** that has been replaced by ultrasound, MCU, and modern cross-sectional imaging - Provides limited functional and anatomical information - Higher radiation exposure with inferior image quality compared to modern techniques - Not used in current pediatric practice
Explanation: ***Ureteroscope*** - The image distinctly shows a long, thin, flexible scope with a working channel, consistent with a **flexible ureteroscope**. - The presence of a **guidewire** alongside the scope further indicates its use for navigating the narrow and tortuous ureter. *Nephroscope* - A nephroscope is typically a more rigid and wider instrument used for percutaneous access to the **kidney's collecting system**. - Its design is optimized for procedures within the kidney, not for navigating the ureter. *Cystoscope* - A cystoscope is used to visualize the **bladder** and urethra and is generally shorter and thicker than a ureteroscope. - While it can be flexible or rigid, the instrument shown is too long and thin to be a standard cystoscope. *Laparoscope* - A laparoscope is a rigid instrument used for **abdominal surgery**, inserted through the abdominal wall. - Its design and application are entirely different from the instrument shown, which is designed for internal urinary tract procedures.
Get full access to all questions, explanations, and performance tracking.
Start For Free