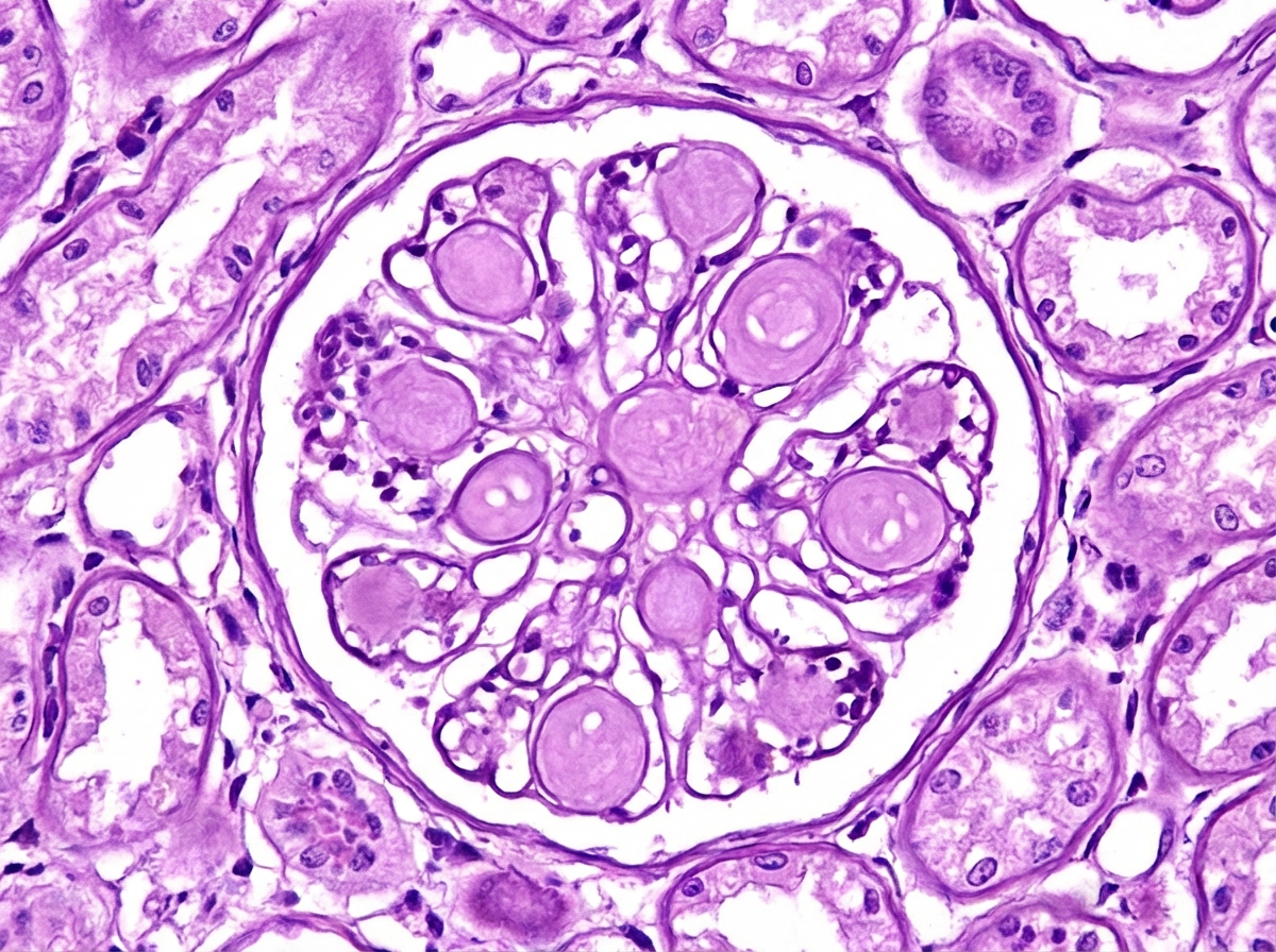
A 50-year-old male presented with blurring of vision. Urine examination showed proteinuria. Fundus examination showed dot-and-blot hemorrhages, microaneurysms, and cotton wool spots. What is the most probable diagnosis based on the provided histopathology?

Which of the following conditions can cause Rapidly Progressive Glomerulonephritis (RPGN)?
Anti-GBM antibodies are characteristically seen in which of the following conditions?
Hemolytic uremic syndrome is characterized by which of the following?
Necrotizing papillitis is seen in all of the following conditions except?
An elderly male patient presented with blurring of vision. Fundus examination revealed cotton wool spots on retina and systemic examination showed decreased peripheral sensations and increased urine output. What finding is shown on renal biopsy?
Which of the following shows crescent-shaped deposits under light microscopy?
Renal pathology in SLE includes all EXCEPT?
What is the most common gene associated with renal cell carcinoma?
Which of the following is NOT a characteristic of acute humoral renal transplant rejection?
Explanation: ***Kimmelstiel-Wilson lesions*** - These are **nodular glomerulosclerosis** lesions pathognomonic of **diabetic nephropathy**, correlating with the clinical picture of **diabetic retinopathy** (dot-and-blot hemorrhages, microaneurysms) and **proteinuria**. - The combination of **retinal changes** and **renal involvement** strongly indicates **diabetes mellitus** with end-organ damage, making Kimmelstiel-Wilson lesions the characteristic histopathological finding. *Crescents* - These are found in **rapidly progressive glomerulonephritis (RPGN)** and represent **epithelial cell proliferation** in Bowman's capsule. - Associated with **acute renal failure** and **hematuria**, not the chronic diabetic complications seen in this case. *Amyloid* - **Amyloid deposits** appear as **Congo red-positive** material with **apple-green birefringence** under polarized light. - Typically associated with **systemic amyloidosis** or **multiple myeloma**, not the diabetic retinopathy pattern described. *Segmental sclerosis* - This refers to **focal segmental glomerulosclerosis (FSGS)**, characterized by **sclerosis of glomerular segments**. - Commonly presents with **nephrotic syndrome** in younger patients without the characteristic **diabetic retinopathy** findings.
Explanation: **Explanation:** **Rapidly Progressive Glomerulonephritis (RPGN)**, also known as **Crescentic Glomerulonephritis**, is a clinical syndrome characterized by a rapid decline in renal function (usually a 50% decline in GFR within weeks to months) and the histological presence of **crescents** in more than 50% of glomeruli [2]. The correct answer is **D (All of the above)** because RPGN is classified into three distinct immunopathologic types, all of which are represented in the options: 1. **Type I (Anti-GBM Disease):** Characterized by linear IgG deposits. **Goodpasture Syndrome** (Option B) is the classic example, involving both pulmonary hemorrhage and glomerulonephritis [1]. 2. **Type II (Immune Complex-Mediated):** Characterized by a "granular" pattern on immunofluorescence [4]. Examples include SLE, Post-streptococcal GN, and IgA nephropathy [5]. 3. **Type III (Pauci-immune):** Characterized by a lack of significant immune deposits and the presence of **ANCA** (Antineutrophil Cytoplasmic Antibodies). This includes [3]: * **Wegener’s Granulomatosis** (Granulomatosis with polyangiitis) - associated with **c-ANCA** (Option A). * **Microscopic Polyangiitis** - associated with **p-ANCA** (Option C). **High-Yield Clinical Pearls for NEET-PG:** * **The Crescent:** Formed by the proliferation of **parietal epithelial cells** and the migration of monocytes/macrophages into Bowman’s space. * **Fibrin:** The presence of fibrin within the crescents is a key histological marker. * **Treatment:** Most types require aggressive therapy with corticosteroids and cyclophosphamide; Type I often requires **plasmapheresis** to remove circulating anti-GBM antibodies [1]. * **Goodpasture Antigen:** The target is the non-collagenous domain of the **̣α3 chain of Type IV collagen**. **References:** [1] Cross SS. Underwood's Pathology: A Clinical Approach. 6th ed. Common Clinical Problems From Diseases Of The Urinary And Male Genital Tracts, pp. 537-538. [2] Kumar V, Abbas AK, et al.. Robbins and Cotran Pathologic Basis of Disease. 9th ed. The Kidney, pp. 931-933. [3] Kumar V, Abbas AK, et al.. Robbins and Cotran Pathologic Basis of Disease. 9th ed. The Kidney, pp. 917-918. [4] Cross SS. Underwood's Pathology: A Clinical Approach. 6th ed. Common Clinical Problems From Diseases Of The Urinary And Male Genital Tracts, pp. 536-537. [5] Kumar V, Abbas AK, et al.. Robbins and Cotran Pathologic Basis of Disease. 9th ed. The Kidney, pp. 916-917.
Explanation: **Explanation:** **Correct Option: A. Goodpasture Syndrome** Goodpasture syndrome is characterized by the presence of circulating **Anti-GBM (Glomerular Basement Membrane) antibodies** [1]. These antibodies are directed against the **non-collagenous (NC1) domain of the alpha-3 chain of Type IV collagen** [2]. On Immunofluorescence (IF), this manifests as **linear IgG deposition** along the glomerular basement membrane [2],[3]. When these antibodies cross-react with the alveolar basement membrane in the lungs, it results in the clinical triad of glomerulonephritis and pulmonary hemorrhage (Goodpasture syndrome) [1]. **Analysis of Incorrect Options:** * **B. Rapidly Progressive Glomerulonephritis (RPGN):** While Anti-GBM disease is a *cause* of Type I RPGN, RPGN is a clinical-pathological syndrome (characterized by crescents) that can also be caused by immune-complex deposition (Type II) or be Pauci-immune/ANCA-associated (Type III) [1]. Anti-GBM antibodies are specific to Type I, not all RPGN. * **C. Membranous Glomerulonephritis (MGN):** This is characterized by subepithelial deposits and a "spike and dome" appearance. The most common antibody involved is the **Anti-PLA2R** (Phospholipase A2 receptor) antibody. * **D. Minimal Change Disease:** This is a podocytopathy characterized by the effacement of foot processes. It does not involve Anti-GBM antibodies and typically shows negative immunofluorescence. **NEET-PG High-Yield Pearls:** * **IF Pattern:** Anti-GBM disease = **Linear** pattern [3]; Post-Streptococcal GN = **Granular** (Lumpy-bumpy) pattern [3]. * **Target Antigen:** Alpha-3 chain of Type IV collagen (Remember: "3" for the 3rd letter 'C' in Collagen). * **Clinical Presentation:** Hematuria + Hemoptysis [1]. * **Treatment:** Plasmapheresis is essential to remove the circulating antibodies [1]. **References:** [1] Cross SS. Underwood's Pathology: A Clinical Approach. 6th ed. Common Clinical Problems From Diseases Of The Urinary And Male Genital Tracts, pp. 537-538. [2] Cross SS. Underwood's Pathology: A Clinical Approach. 6th ed. Common Clinical Problems From Diseases Of The Urinary And Male Genital Tracts, pp. 526-527. [3] Kumar V, Abbas AK, et al.. Robbins and Cotran Pathologic Basis of Disease. 9th ed. The Kidney, p. 909.
Explanation: **Explanation:** Hemolytic Uremic Syndrome (HUS) is a clinical triad characterized by **Microangiopathic Hemolytic Anemia (MAHA)**, **Thrombocytopenia**, and **Acute Kidney Injury (AKI)** [2], [3]. **1. Why Option A is Correct:** The hallmark of HUS is endothelial injury, typically triggered by Shiga toxin (from *E. coli* O157:H7) [1]. This damage leads to the formation of microthrombi in small vessels (microangiopathy) [1]. As Red Blood Cells (RBCs) pass through these narrowed, fibrin-clotted vessels, they are mechanically shredded, resulting in **Microangiopathic Hemolytic Anemia (MAHA)** [3]. This is evidenced by the presence of **schistocytes** (fragmented RBCs) on a peripheral blood smear. **2. Analysis of Incorrect Options:** * **Option B (Decreased LDH):** This is incorrect. Hemolysis is an active process of cell rupture; since LDH is an intracellular enzyme, its levels **increase** significantly during hemolysis. * **Option C & D:** While Thrombocytopenia and Renal Failure are indeed components of the HUS triad, the question asks for the defining characteristic [3]. In many NEET-PG patterns, when multiple components of a syndrome are listed, the "most characteristic" pathological process—the microangiopathic hemolysis—is prioritized as the primary identifier of the disease mechanism. **NEET-PG High-Yield Pearls:** * **The Triad:** MAHA + Thrombocytopenia + Acute Renal Failure [3]. * **Peripheral Smear:** Look for **Schistocytes** (Helmet cells) [3]. * **Classic Presentation:** A child with a history of bloody diarrhea (prodromal illness) followed by oliguria and pallor. * **Key Lab Findings:** Increased LDH, increased indirect bilirubin, decreased haptoglobin, and a **Negative Coombs Test** (ruling out autoimmune causes). * **Atypical HUS:** Caused by mutations in complement regulatory proteins (e.g., Factor H) rather than Shiga toxin [1]. **References:** [1] Kumar V, Abbas AK, et al.. Robbins and Cotran Pathologic Basis of Disease. 9th ed. The Kidney, pp. 946-947. [2] Kumar V, Abbas AK, et al.. Robbins and Cotran Pathologic Basis of Disease. 9th ed. Red Blood Cell and Bleeding Disorders, pp. 667-668. [3] Cross SS. Underwood's Pathology: A Clinical Approach. 6th ed. Common Clinical Problems From Diseases Of The Urinary And Male Genital Tracts, pp. 540-541.
Explanation: **Explanation:** **Necrotizing Papillitis** (Renal Papillary Necrosis) is a form of nephropathy involving ischemic necrosis of the renal papillae [1]. The renal papillae are physiologically vulnerable to ischemia because they are supplied by long, thin vasa recta and exist in a relatively hypoxic environment. **Why PNH is the correct answer:** In **Paroxysmal Nocturnal Hemoglobinuria (PNH)**, the primary renal pathology is **hemosiderosis** (iron deposition in tubular cells) due to chronic intravascular hemolysis. While PNH is associated with venous thrombosis (e.g., Budd-Chiari syndrome), it is **not** a recognized cause of renal papillary necrosis. **Analysis of incorrect options (Causes of Papillary Necrosis):** The classic mnemonic for causes of Papillary Necrosis is **POSTCARDS**: * **Salicylate poisoning (Analgesic Nephropathy):** Chronic use of NSAIDs/Salicylates inhibits vasodilatory prostaglandins, leading to medullary ischemia and direct toxic injury. * **Renal vascular thrombosis:** Conditions like sickle cell trait/disease or severe vasculitis cause microvascular occlusion, leading to infarction of the papillae [2]. * **Diabetes mellitus:** This is the most common cause. It involves a combination of diabetic microangiopathy (ischemia) and increased susceptibility to severe pyelonephritis [1]. **High-Yield Clinical Pearls for NEET-PG:** * **Mnemonic (POSTCARDS):** **P**yelonephritis, **O**bstruction of urinary tract, **S**ickle cell disease, **T**uberculosis, **C**irrhosis, **A**nalgesics, **R**enal vein thrombosis, **D**iabetes mellitus, **S**ystemic vasculitis. * **Clinical Presentation:** Often presents with gross hematuria and "ring-shadow" defects on intravenous pyelogram (IVP) as the necrotic papillae slough off [1]. * **Pathology:** Grossly, the papillae appear gray-white to yellow-necrosed. Microscopically, coagulative necrosis is seen. **References:** [1] Cross SS. Underwood's Pathology: A Clinical Approach. 6th ed. Common Clinical Problems From Diseases Of The Urinary And Male Genital Tracts, pp. 542-544. [2] Kumar V, Abbas AK, et al.. Robbins and Cotran Pathologic Basis of Disease. 9th ed. The Kidney, pp. 948-949.
Explanation: ### Explanation **Correct Option: A. Kimmelstiel-Wilson (KW) lesion** The clinical triad of **cotton wool spots** (Diabetic Retinopathy), **decreased peripheral sensation** (Diabetic Neuropathy), and **polyuria** (Diabetic Nephropathy) strongly points toward **Diabetes Mellitus**. [2] The Kimmelstiel-Wilson lesion, also known as **nodular glomerulosclerosis**, is the pathognomonic histological hallmark of diabetic nephropathy. [1] These are PAS-positive, ovoid, laminated hyaline nodules located in the periphery of the glomerular tuft within the mesangial matrix. [1] **Why other options are incorrect:** * **B. Amyloid deposits:** While amyloidosis causes nephrotic syndrome, it is characterized by "apple-green birefringence" under polarized light with Congo Red stain. It does not typically correlate with diabetic retinopathy. * **C. Crescents:** These are the hallmark of Rapidly Progressive Glomerulonephritis (RPGN), characterized by acute renal failure and hematuria, not chronic diabetic complications. * **D. Hyaline arteriolosclerosis:** While seen in diabetes and hypertension, it affects the **arterioles** (afferent and efferent), not the glomeruli themselves. KW lesions are specific glomerular findings. **High-Yield Clinical Pearls for NEET-PG:** * **Earliest sign of Diabetic Nephropathy:** Microalbuminuria (30–300 mg/day). * **Most common histological finding:** Diffuse mesangial sclerosis (though KW lesions are more specific). * **Stain:** KW nodules are **PAS-positive**. [1] * **Armanni-Ebstein lesions:** Vacuolated tubular epithelial cells due to glycogen deposits, also seen in diabetes. * **Capsular Drop & Fibrin Cap:** Other specific (but less famous) exudative lesions in diabetic nephropathy. **References:** [1] Kumar V, Abbas AK, et al.. Robbins and Cotran Pathologic Basis of Disease. 9th ed. The Endocrine System, pp. 1121-1122. [2] Kumar V, Abbas AK, et al.. Robbins and Cotran Pathologic Basis of Disease. 9th ed. The Endocrine System, p. 1121.
Explanation: **Explanation:** **1. Why Option A is Correct:** Rapidly Progressive Glomerulonephritis (RPGN), also known as **Crescentic Glomerulonephritis**, is characterized by the presence of **crescents** in the majority of glomeruli [1]. These crescents are formed by the **proliferation of parietal epithelial cells** and the migration of **monocytes/macrophages** into Bowman’s space [1]. This process is triggered by the leakage of plasma proteins (specifically **Fibrin**) through ruptured glomerular basement membranes [1]. Under light microscopy, these cellular masses compress the glomerular tuft, leading to a rapid decline in renal function. **2. Why Other Options are Incorrect:** * **B. Acute Glomerulonephritis (PSGN):** Characterized by hypercellularity due to endothelial and mesangial cell proliferation and neutrophil infiltration ("starry sky" on IF), but typically lacks crescent formation unless it is a severe, progressing case [3]. * **C. Membranous Glomerulonephritis:** Defined by diffuse thickening of the glomerular capillary wall due to subepithelial deposits. It shows a **"Spike and Dome"** pattern on silver stains, not crescents. * **D. Membranoproliferative Glomerulonephritis (MPGN):** Characterized by a **"Tram-track"** appearance (splitting of the basement membrane) due to mesangial cell interposition [4]. **Clinical Pearls for NEET-PG:** * **Hallmark of RPGN:** Presence of **Fibrin** within the crescents is a classic pathology finding [1]. * **Classification:** RPGN is divided into three types: * **Type I:** Anti-GBM (e.g., Goodpasture Syndrome) – Linear IF. * **Type II:** Immune Complex mediated (e.g., SLE, PSGN) – Granular IF. * **Type III:** Pauci-immune (e.g., Wegener’s/GPA) – ANCA associated; negative IF [2]. * **Prognosis:** The presence of crescents in >50% of glomeruli indicates a poor prognosis and requires urgent immunosuppression. **References:** [1] Cross SS. Underwood's Pathology: A Clinical Approach. 6th ed. Common Clinical Problems From Diseases Of The Urinary And Male Genital Tracts, pp. 528-529. [2] Kumar V, Abbas AK, et al.. Robbins and Cotran Pathologic Basis of Disease. 9th ed. The Kidney, pp. 917-918. [3] Cross SS. Underwood's Pathology: A Clinical Approach. 6th ed. Common Clinical Problems From Diseases Of The Urinary And Male Genital Tracts, pp. 536-537. [4] Kumar V, Abbas AK, et al.. Robbins and Cotran Pathologic Basis of Disease. 9th ed. The Kidney, pp. 925-926.
Explanation: The renal involvement in Systemic Lupus Erythematosus (SLE) is categorized by the **ISN/RPS classification** into six distinct classes [2], [3]. The correct answer is **Lipoid nephrosis** (also known as Minimal Change Disease), as it is a primary podocytopathy typically seen in children and is not a recognized manifestation of Lupus Nephritis [4]. **Why Lipoid Nephrosis is the correct answer:** While SLE can occasionally present with "Lupus Podocytopathy," it is not part of the standard WHO/ISN/RPS classification of Lupus Nephritis. Lipoid nephrosis is characterized by the absence of immune complex deposits [4], whereas Lupus Nephritis is fundamentally an **immune-complex-mediated Type III hypersensitivity** disorder [1]. **Analysis of other options:** * **A. Focal glomerulonephritis:** Corresponds to **Class III** Lupus Nephritis. It involves <50% of glomeruli and typically presents with hematuria and proteinuria [2]. * **B. Diffuse glomerulonephritis:** Corresponds to **Class IV**. This is the **most common and most severe** form of Lupus Nephritis, characterized by "wire-loop" lesions and subendothelial deposits [3]. * **C. Membranous glomerulonephritis:** Corresponds to **Class V**. It presents with nephrotic syndrome due to subepithelial deposits, similar to idiopathic membranous nephropathy [1]. **High-Yield Clinical Pearls for NEET-PG:** * **Most Common Class:** Class IV (Diffuse Proliferative) [3]. * **Most Common Cause of Death in SLE:** Renal failure [1]. * **Pathognomonic Finding:** Hematoxylin bodies (bodies of Gross) are the only pathognomonic feature, though rarely seen. * **Wire-loop lesions:** Represent extensive subendothelial deposits (Class IV) [3]. * **Full House Pattern:** Immunofluorescence showing IgG, IgA, IgM, C3, and C1q positivity [1]. **References:** [1] Cross SS. Underwood's Pathology: A Clinical Approach. 6th ed. Common Clinical Problems From Diseases Of The Urinary And Male Genital Tracts, pp. 532-533. [2] Kumar V, Abbas AK, et al.. Robbins and Cotran Pathologic Basis of Disease. 9th ed. Diseases of the Immune System, pp. 230-232. [3] Kumar V, Abbas AK, et al.. Robbins and Cotran Pathologic Basis of Disease. 9th ed. Diseases of the Immune System, p. 232. [4] Kumar V, Abbas AK, et al.. Robbins and Cotran Pathologic Basis of Disease. 9th ed. The Kidney, pp. 927-928.
Explanation: **Explanation:** The **VHL (Von Hippel-Lindau)** gene, located on **chromosome 3p25**, is the most significant tumor suppressor gene associated with Renal Cell Carcinoma (RCC). It is implicated in over 90% of sporadic Clear Cell RCC cases (via somatic mutation or hypermethylation) and is the hallmark of hereditary VHL syndrome. **Mechanism:** Under normal conditions, the VHL protein targets **HIF-1α (Hypoxia-Inducible Factor)** for degradation. Loss of VHL leads to stabilized HIF-1α, which translocates to the nucleus and upregulates growth factors like **VEGF** and **PDGF**, driving angiogenesis and tumor cell proliferation. **Analysis of Incorrect Options:** * **WT1 (Wilms Tumor 1):** Located on chromosome 11p13, this gene is associated with **Wilms tumor (Nephroblastoma)**, the most common primary renal tumor in children, not adult RCC. * **BRCA1:** Primarily associated with hereditary **breast and ovarian cancer** syndromes. While it increases the risk of certain epithelial cancers, it is not a primary driver of RCC. * **PATCH (PTCH1):** Mutations in the PTCH gene are associated with **Gorlin syndrome** (Basal Cell Nevus Syndrome) and medulloblastoma, rather than renal malignancies. **High-Yield Clinical Pearls for NEET-PG:** * **Clear Cell RCC:** Most common histological subtype; associated with **3p deletion**. * **Papillary RCC:** Associated with **MET proto-oncogene** mutations [1]. * **Chromophobe RCC:** Associated with multiple chromosome losses and better prognosis. * **Paraneoplastic Syndromes:** RCC is the "Great Mimicker," often presenting with polycythemia (EPO), hypercalcemia (PTHrP), or Cushing’s syndrome (ACTH). **References:** [1] Kumar V, Abbas AK, et al.. Robbins and Cotran Pathologic Basis of Disease. 9th ed. The Kidney, pp. 958-959.
Explanation: **Explanation:** Renal transplant rejection is classified into **Cellular** and **Humoral** (Antibody-Mediated) types. Understanding the distinction between these is crucial for NEET-PG. **Why Option B is the correct answer:** Interstitial and tubular mononuclear cell (lymphocytes, plasma cells) infiltration is the hallmark of **Acute Cellular Rejection (ACR)**, specifically Type I [2]. In ACR, T-cells attack the graft, leading to **tubulitis** and interstitial inflammation [2]. Because the question asks for what is *NOT* a characteristic of humoral rejection, this cellular-mediated feature is the right choice. **Analysis of Incorrect Options (Characteristics of Humoral Rejection):** * **Option A (Anti-donor antibodies):** Acute Humoral Rejection (AHR) is caused by B-cell activation leading to the production of donor-specific antibodies (DSAs) against HLA antigens on the graft endothelium [1]. * **Option C (Necrotizing vasculitis):** In AHR, antibodies trigger the complement cascade and recruitment of neutrophils, leading to severe vascular damage, fibrinoid necrosis of vessel walls (vasculitis), and thrombosis [3]. * **Option D (Acute cortical necrosis):** Severe AHR can lead to widespread vascular thrombosis and infarction, resulting in catastrophic acute cortical necrosis of the graft [3]. **High-Yield Clinical Pearls for NEET-PG:** 1. **C4d Deposition:** This is the "diagnostic footprint" of humoral rejection. It is a degradation product of the classical complement pathway and is detected via immunofluorescence on peritubular capillaries [1]. 2. **Hyperacute Rejection:** Occurs within minutes due to *pre-formed* antibodies (Type II Hypersensitivity) [3]. 3. **Chronic Rejection:** Characterized by "Graft Arteriosclerosis" (intimal thickening) and interstitial fibrosis [1]. 4. **Banff Criteria:** The international standard used by pathologists to grade renal transplant rejection. **References:** [1] Cross SS. Underwood's Pathology: A Clinical Approach. 6th ed. Common Clinical Problems From Diseases Of The Urinary And Male Genital Tracts, pp. 546-549. [2] Kumar V, Abbas AK, et al.. Robbins and Cotran Pathologic Basis of Disease. 9th ed. Diseases of the Immune System, p. 242. [3] Kumar V, Abbas AK, et al.. Robbins and Cotran Pathologic Basis of Disease. 9th ed. Diseases of the Immune System, pp. 241-242.
Congenital Anomalies of the Kidney
Practice Questions
Glomerular Diseases
Practice Questions
Tubular and Interstitial Diseases
Practice Questions
Vascular Diseases of the Kidney
Practice Questions
Cystic Diseases of the Kidney
Practice Questions
Urinary Tract Obstruction and Stones
Practice Questions
Renal Tumors
Practice Questions
Kidney in Systemic Diseases
Practice Questions
Renal Transplantation Pathology
Practice Questions
Urinary Tract Infections
Practice Questions
Get full access to all questions, explanations, and performance tracking.
Start For Free