Cerebellar hemangioblastoma and retinal tumors are seen in which of the following conditions?
Which is the most common type of brain tumor?
Which tumor has the best prognosis?
Which of the following structures is most prone to hypoxic injury?
Elongated filaments in Pick's disease consist of?
Which of the following will manifest as pachymeningitis haemorrhagica interna?
Onion bulb appearance on nerve biopsy is seen in which of the following conditions?
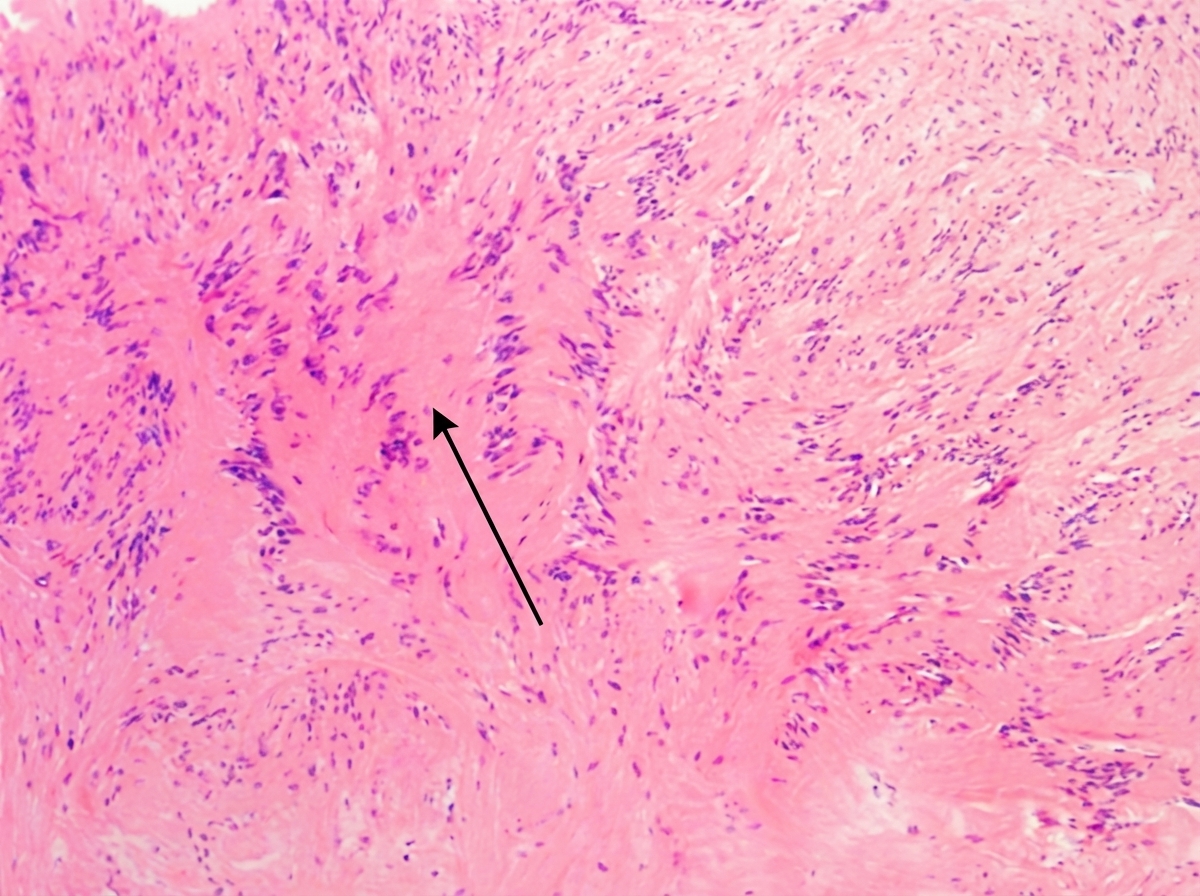
In the provided histopathology image of a schwannoma, what does the arrow-marked lesion represent?

Which is the most malignant primary brain tumor?
An 80-year-old female presents with progressive loss of memory, difficulty in recalling names, dysphasia, and irritability. Along with neurofibrillary tangles, what other pathological finding will be found in the brain?
Explanation: **Explanation:** The correct answer is **Von Hippel-Lindau (VHL) syndrome**. This is an autosomal dominant multisystem disorder [1] caused by a mutation in the **VHL gene** located on **chromosome 3p25** [2]. The VHL protein normally degrades hypoxia-inducible factor (HIF); its absence leads to increased levels of angiogenic growth factors (like VEGF), resulting in highly vascular tumors. * **Why A is correct:** The classic triad of VHL includes **Cerebellar Hemangioblastomas** (often cystic with a mural nodule) [2], **Retinal Hemangioblastomas** (angiomatosis retinae), and **Renal Cell Carcinoma** (clear cell type). **Analysis of Incorrect Options:** * **B. Neurofibromatosis type 1 (NF1):** Characterized by Lisch nodules, café-au-lait spots, neurofibromas, and optic nerve gliomas (not hemangioblastomas). * **C. Tuberous Sclerosis:** Associated with cortical tubers, subependymal giant cell astrocytomas (SEGA), facial angiofibromas, and renal angiomyolipomas [3]. * **D. Neurofibromatosis type 2 (NF2):** Characterized by the mnemonic **MISME** (Multiple Inherited Schwannomas—classically bilateral acoustic neuromas, Meningiomas, and Ependymomas). **High-Yield Clinical Pearls for NEET-PG:** * **VHL Gene:** Chromosome **3** [2]. * **Tumor marker:** Increased Erythropoietin (EPO) production by hemangioblastomas can lead to **secondary polycythemia**. * **Other VHL associations:** Pheochromocytoma, Pancreatic cysts, and Endolymphatic sac tumors. * **Imaging:** Hemangioblastoma appears as a "cyst with a contrast-enhancing mural nodule" on MRI [2]. **References:** [1] Cross SS. Underwood's Pathology: A Clinical Approach. 6th ed. Common Clinical Manifestations Of Central And Peripheral Nervous System Disease, pp. 724-725. [2] Cross SS. Underwood's Pathology: A Clinical Approach. 6th ed. Common Clinical Manifestations Of Central And Peripheral Nervous System Disease, pp. 726-727. [3] Kumar V, Abbas AK, et al.. Robbins and Cotran Pathologic Basis of Disease. 9th ed. The Central Nervous System, pp. 1318-1319.
Explanation: **Explanation:** The most common type of brain tumor overall is **Metastatic tumors (secondaries)** [1]. In clinical practice, secondary tumors outnumber primary brain tumors by a ratio of approximately 10:1. These tumors typically reach the brain via hematogenous spread, most commonly originating from the lung, breast, melanoma, renal cell carcinoma, and colon [1]. **Analysis of Options:** * **A. Metastatic tumors (Correct):** These are the most frequent intracranial neoplasms in adults [1]. They often present as multiple, well-circumscribed lesions at the grey-white matter junction. * **B. Medulloblastoma:** This is a highly malignant Grade IV tumor [2]. While it is the most common malignant brain tumor in **children**, it is rare in adults [3]. * **C. Glioblastoma (GBM):** This is the most common **primary** malignant brain tumor in adults [3]. However, when considering all brain tumors (primary + secondary), metastases are more frequent. * **D. Craniopharyngioma:** This is a benign tumor (WHO Grade I) derived from Rathke’s pouch remnants. It is the most common suprasellar tumor in children but is not the most common overall. **High-Yield Pearls for NEET-PG:** * **Most common primary brain tumor (Adults):** Glioblastoma Multiforme (Malignant) or Meningioma (Benign). * **Most common brain tumor (Children):** Pilocytic Astrocytoma (Benign) or Medulloblastoma (Malignant) [3]. * **Most common source of brain metastasis:** Lung cancer (Small cell and Adenocarcinoma) [1]. * **Radiological hallmark of metastasis:** Multiple lesions with significant perilesional edema. **References:** [1] Kumar V, Abbas AK, et al.. Robbins and Cotran Pathologic Basis of Disease. 9th ed. The Central Nervous System, pp. 1317-1318. [2] Kumar V, Abbas AK, et al.. Robbins and Cotran Pathologic Basis of Disease. 9th ed. The Central Nervous System, pp. 1314-1315. [3] Kumar V, Abbas AK, et al.. Robbins and Cotran Pathologic Basis of Disease. 9th ed. The Central Nervous System, pp. 1319-1320.
Explanation: **Explanation:** The prognosis of CNS tumors is primarily determined by the **WHO Grading system**, which assesses the biological aggressiveness of the tumor. [2] **Why Cerebellar Astrocytoma is the correct answer:** Cerebellar astrocytomas in children are most commonly **Pilocytic Astrocytomas (WHO Grade I)**. [2] These are slow-growing, well-circumscribed tumors often associated with a cystic component and a mural nodule. Because they are Grade I, they are often curable by surgical resection alone, giving them the **best prognosis** among all primary pediatric and adult brain tumors. **Analysis of Incorrect Options:** * **Ependymoma (WHO Grade II/III):** While slower-growing than high-grade gliomas, their location (often the floor of the 4th ventricle) makes complete surgical resection difficult, leading to a higher risk of recurrence compared to pilocytic astrocytomas. [4] * **Medulloblastoma (WHO Grade IV):** This is a highly malignant embryonal tumor. Although it is radiosensitive and survival rates have improved with multimodal therapy, it remains a high-grade malignancy with a risk of "drop metastasis" via CSF. [3], [4] * **Glioblastoma Multiforme (WHO Grade IV):** This is the most common and most lethal primary malignancy in adults. Despite aggressive treatment, the prognosis is dismal, with a median survival of only 12–15 months. [1] **High-Yield Clinical Pearls for NEET-PG:** * **Pilocytic Astrocytoma Hallmark:** Presence of **Rosenthal fibers** (thick, eosinophilic, corkscrew-shaped structures) and eosinophilic granular bodies. * **Imaging:** Classically presents as a **cystic lesion with an enhancing mural nodule** in the cerebellum. * **Genetic Association:** Often associated with **NF-1** (especially when involving the optic nerve). * **Medulloblastoma Hallmark:** Homer-Wright rosettes and small round blue cells. **References:** [1] Kumar V, Abbas AK, et al.. Robbins and Cotran Pathologic Basis of Disease. 9th ed. The Central Nervous System, pp. 1310-1311. [2] Cross SS. Underwood's Pathology: A Clinical Approach. 6th ed. Common Clinical Manifestations Of Central And Peripheral Nervous System Disease, pp. 725-726. [3] Kumar V, Abbas AK, et al.. Robbins and Cotran Pathologic Basis of Disease. 9th ed. The Central Nervous System, pp. 1314-1315. [4] Cross SS. Underwood's Pathology: A Clinical Approach. 6th ed. Common Clinical Manifestations Of Central And Peripheral Nervous System Disease, pp. 726-727.
Explanation: **Explanation:** The susceptibility of the brain to hypoxia is not uniform; certain areas exhibit **selective vulnerability** due to high metabolic demands and a high density of excitatory neurotransmitter receptors (like NMDA receptors) [1]. **Why Hippocampus is Correct:** The **Hippocampus**, specifically the **CA1 pyramidal cell layer (Sommer sector)**, is the most sensitive structure in the entire brain to hypoxic-ischemic encephalopathy. These neurons are the first to undergo necrosis (red neurons) during episodes of global ischemia or severe hypotension [2]. **Analysis of Other Options:** * **Cerebellum (Option D):** This is the second most sensitive area. Specifically, the **Purkinje cell layer** is highly vulnerable, but it is generally considered slightly more resistant than the CA1 neurons of the hippocampus. * **Caudate Nucleus & Thalamus (Options C & A):** While the deep gray matter (basal ganglia and thalamus) can be affected in prolonged or severe hypoxia, they are relatively more resistant compared to the hippocampus and cerebellar Purkinje cells. **NEET-PG High-Yield Pearls:** 1. **Hierarchy of Vulnerability:** Hippocampus (CA1) > Cerebellum (Purkinje cells) > Cerebral Cortex (Layers III, V, and VI). 2. **Watershed Areas:** These are regions at the distal borders of arterial territories (e.g., between ACA and MCA). The most common site for a watershed infarct is the **border zone between the ACA and MCA** [2]. 3. **Histological Sign:** The earliest light microscopic change of irreversible hypoxic injury (seen at 12–24 hours) is the appearance of **"Red Neurons"** (pyknotic nuclei, loss of Nissl substance, and eosinophilic cytoplasm). **References:** [1] Kumar V, Abbas AK, et al.. Robbins and Cotran Pathologic Basis of Disease. 9th ed. The Central Nervous System, pp. 1265-1266. [2] Cross SS. Underwood's Pathology: A Clinical Approach. 6th ed. (Basic Pathology) introduces the student to key general principles of pathology, both as a medical science and as a clinical activity with a vital role in patient care. Part 2 (Disease Mechanisms) provides fundamental knowledge about the cellular and molecular processes involved in diseases, providing the rationale for their treatment. Part 3 (Systematic Pathology) deals in detail with specific diseases, with emphasis on the clinically important aspects., pp. 150-151.
Explanation: **Explanation:** **Pick’s Disease** is a subtype of Frontotemporal Lobar Degeneration (FTLD-tau) characterized by circumscribed atrophy of the frontal and temporal lobes ("knife-edge" atrophy) [1]. 1. **Why Option A is Correct:** The hallmark histological feature of Pick’s disease is the **Pick body**. These are spherical, intracytoplasmic inclusions found in neurons. Ultrastructurally, Pick bodies are composed of **elongated filaments** made of **hyperphosphorylated tau protein**. Specifically, in Pick’s disease, there is a predominant accumulation of **3R tau** (tau isoforms with three microtubule-binding repeats), unlike Alzheimer’s, which contains both 3R and 4R tau [1]. 2. **Why Other Options are Incorrect:** * **Option B (Ubiquitin):** While Pick bodies can be ubiquitinated (tagged for degradation), the primary structural component of the filaments is tau. Ubiquitin is more classically associated with FTLD-TDP43 or protein degradation pathways in various dementias. * **Option C (Alpha-synuclein):** This protein forms Lewy bodies, which are characteristic of Parkinson’s disease and Dementia with Lewy Bodies (DLB), not Pick’s disease. * **Option D (Beta-synuclein):** This is a presynaptic protein involved in neuroplasticity but is not a primary component of pathological inclusions in major neurodegenerative diseases. **High-Yield Clinical Pearls for NEET-PG:** * **Clinical Presentation:** Early onset (50s-60s) with prominent **personality changes**, social disinhibition, and language impairment, rather than early memory loss. * **Gross Pathology:** "Knife-edge" atrophy of frontal and temporal lobes; the posterior two-thirds of the superior temporal gyrus are often spared [1]. * **Microscopy:** Look for **Pick bodies** (silver stain positive/Bielschowsky positive) and **Pick cells** (swollen, achromatic neurons). * **Key Distinction:** Unlike Alzheimer’s tangles, Pick bodies **do not** survive after the host neuron dies (they are not "ghost tangles"). **References:** [1] Kumar V, Abbas AK, et al.. Robbins and Cotran Pathologic Basis of Disease. 9th ed. The Central Nervous System, pp. 1294-1295.
Explanation: **Explanation:** **Subdural Haematoma (SDH)** is the correct answer. The term **Pachymeningitis haemorrhagica interna** refers to a chronic subdural haematoma characterized by the formation of a vascularized "pseudomembrane." In SDH, bleeding occurs between the dura mater (pachymeninx) and the arachnoid mater due to the rupture of **bridging veins** [1]. Over time, the extravasated blood organizes; granulation tissue grows from the dural surface into the clot, creating thin-walled, fragile capillaries [2]. These vessels frequently re-bleed, leading to a repetitive cycle of hemorrhage and membrane thickening, hence the name "haemorrhagica interna." **Analysis of Incorrect Options:** * **A. Epidural Haematoma:** This involves bleeding between the skull and the dura (usually due to Middle Meningeal Artery rupture) [1]. It is typically acute and does not form the organized internal dural membranes seen in chronic SDH. * **C. Subarachnoid Haemorrhage:** This is bleeding into the subarachnoid space (between the arachnoid and pia mater), usually due to a Berry aneurysm rupture. It involves the "leptomeninges," not the "pachymeninx." * **D. Brain Infarction:** This is an ischemic or hemorrhagic necrosis of the brain parenchyma itself, not a primary pathology of the dural membranes. **NEET-PG High-Yield Pearls:** * **Source of Bleed:** SDH is venous (Bridging veins); EDH is arterial (Middle Meningeal Artery) [1]. * **Radiology:** SDH appears as a **crescent-shaped** (concave) lesion; EDH appears **biconvex/lens-shaped**. * **Risk Factors for SDH:** Elderly patients and alcoholics (due to brain atrophy stretching the bridging veins) and infants ("Shaken Baby Syndrome"). * **Terminology:** *Pachymeninx* = Dura mater; *Leptomeninges* = Arachnoid + Pia mater [1]. **References:** [1] Kumar V, Abbas AK, et al.. Robbins and Cotran Pathologic Basis of Disease. 9th ed. The Central Nervous System, p. 1264. [2] Kumar V, Abbas AK, et al.. Robbins and Cotran Pathologic Basis of Disease. 9th ed. The Central Nervous System, pp. 1264-1265.
Explanation: **Explanation:** The **"Onion Bulb" appearance** is a classic histopathological hallmark of **repetitive cycles of demyelination and remyelination** [1]. When a peripheral nerve undergoes chronic injury, Schwann cells proliferate and wrap circumferentially around the axon in concentric layers (resembling the layers of an onion). This process eventually leads to palpable nerve enlargement (hypertrophic neuropathy) [1], [2]. **Why Option C is Correct:** **Chronic Inflammatory Demyelinating Polyneuropathy (CIDP)** is an acquired, immune-mediated disorder characterized by chronic, relapsing, or progressive demyelination. The persistent cycle of damage and repair over time results in the formation of these characteristic onion bulbs. **Analysis of Incorrect Options:** * **A. Amyloid Neuropathy:** Characterized by the extracellular deposition of amorphous, eosinophilic **amyloid fibrils** (Congo Red positive with apple-green birefringence) which compress the nerve fibers. * **B. Diabetic Neuropathy:** Primarily shows **axonal degeneration**, thickening of endoneurial capillary basement membranes, and "sugar-coated" appearance of vessels (microangiopathy), rather than prominent onion bulbs [3]. * **D. Leprous Neuritis:** Characterized by **granulomatous inflammation**. In Tuberculoid leprosy, you see well-formed granulomas; in Lepromatous leprosy, there is a massive invasion of Mycobacteria within Schwann cells and macrophages (Virchow cells). **NEET-PG High-Yield Pearls:** * **Other conditions with Onion Bulbs:** Charcot-Marie-Tooth (CMT) Disease Type 1 (hereditary), Dejerine-Sottas Disease, and Refsum Disease [1], [2]. * **CIDP vs. GBS:** While Guillain-Barré Syndrome (GBS) is acute and monophasic, CIDP is chronic (symptoms >8 weeks) and shows onion bulbs due to the chronicity of the repair process. * **Clinical Sign:** In severe cases of hypertrophic neuropathy, nerves like the Greater Auricular or Ulnar nerve may be **palpably thickened** [2]. **References:** [1] Cross SS. Underwood's Pathology: A Clinical Approach. 6th ed. Common Clinical Manifestations Of Central And Peripheral Nervous System Disease, pp. 729-730. [2] Kumar V, Abbas AK, et al.. Robbins and Cotran Pathologic Basis of Disease. 9th ed. Peripheral Nerves and Skeletal Muscles, pp. 1236-1237. [3] Kumar V, Abbas AK, et al.. Robbins and Cotran Pathologic Basis of Disease. 9th ed. Peripheral Nerves and Skeletal Muscles, pp. 1234-1235.
Explanation: ***Antoni A tissue with Verocay body*** - **Antoni A tissue** is the densely cellular component of schwannoma with **spindle-shaped Schwann cells** arranged in compact fascicles. - **Verocay bodies** are pathognomonic features consisting of **nuclear palisading** around **acellular eosinophilic zones**, exclusively found in Antoni A areas. *Rosettes* - **Rosettes** are circular arrangements of cells around a central lumen, typically seen in **ependymomas** and other CNS tumors. - They are **not characteristic** of schwannomas and represent a different histological pattern entirely. *Antoni B tissue with Verocay body* - **Antoni B tissue** consists of **loose, myxoid, hypocellular areas** with scattered Schwann cells in a mucoid matrix. - **Verocay bodies are never found** in Antoni B tissue - they are **exclusive to Antoni A areas** only. *Palisading* - **Palisading** refers to the general arrangement of nuclei in parallel rows, seen in various tumors including **glioblastoma** and **fibrous histiocytoma**. - While palisading occurs in Verocay bodies, the **complete structure** (palisading nuclei + acellular eosinophilic center) defines the **Verocay body**, not just palisading alone.
Explanation: **Explanation:** **Glioblastoma Multiforme (GBM)** is the correct answer because it is classified as a **WHO Grade IV** astrocytoma, representing the most aggressive and malignant primary brain tumor in adults [1]. The hallmark pathological features that define its malignancy include **pseudopalisading necrosis** and **microvascular (endothelial) proliferation** [1]. It is characterized by rapid growth, high mitotic activity, and a dismal prognosis, often spreading across the corpus callosum to create a "butterfly glioma" appearance on imaging. **Analysis of Incorrect Options:** * **Ependymoma:** These are typically WHO Grade II tumors (though anaplastic variants exist). They commonly arise in the fourth ventricle in children and the spinal cord in adults [3]. Characteristic histology shows **perivascular pseudorosettes** [3]. * **Medulloblastoma:** While this is a highly malignant **WHO Grade IV** tumor, it is primarily a pediatric tumor arising in the cerebellum. In the context of "most malignant primary brain tumor" across all ages, GBM is the classic answer due to its sheer invasiveness and poor response to therapy in adults. * **Oligodendroglioma:** These are generally slow-growing, WHO Grade II or III tumors. They are characterized by a **"fried-egg" appearance** on histology and "chicken-wire" calcifications. They have a significantly better prognosis than GBM, especially when the **1p/19q co-deletion** is present. **High-Yield Clinical Pearls for NEET-PG:** * **Most common primary CNS tumor in adults:** Glioblastoma Multiforme [2]. * **Most common benign CNS tumor in adults:** Meningioma (Psammoma bodies). * **Most common primary CNS tumor in children:** Pilocytic Astrocytoma (WHO Grade I; Rosenthal fibers). * **IDH Mutation:** A key prognostic marker; IDH-wildtype GBM has a worse prognosis than IDH-mutant glioblastoma [2]. **References:** [1] Kumar V, Abbas AK, et al.. Robbins and Cotran Pathologic Basis of Disease. 9th ed. The Central Nervous System, pp. 1310-1311. [2] Kumar V, Abbas AK, et al.. Robbins and Cotran Pathologic Basis of Disease. 9th ed. The Central Nervous System, pp. 1308-1310. [3] Kumar V, Abbas AK, et al.. Robbins and Cotran Pathologic Basis of Disease. 9th ed. The Central Nervous System, pp. 1312-1313.
Explanation: ### Explanation The clinical presentation of progressive memory loss, dysphasia (language difficulty), and irritability in an 80-year-old patient is classic for **Alzheimer’s Disease (AD)**, the most common cause of dementia in the elderly [1]. **Why Beta-amyloid plaques are correct:** Alzheimer’s Disease is characterized by two hallmark pathological findings: 1. **Extracellular Neuritic (Senile) Plaques:** Composed of **Beta-amyloid (Aβ)** peptides derived from the amyloid precursor protein (APP) [3]. 2. **Intracellular Neurofibrillary Tangles (NFTs):** Composed of hyperphosphorylated **Tau protein** [2]. Since the question mentions NFTs, the co-existing finding must be Beta-amyloid plaques [1]. **Why the other options are incorrect:** * **Ceramidase:** This is an enzyme involved in sphingolipid metabolism. Its deficiency is associated with Farber disease, not neurodegenerative dementia. * **Lewy bodies:** These are intracellular inclusions of **alpha-synuclein** found in Parkinson’s Disease and Lewy Body Dementia (LBD) [3]. While LBD causes dementia, it typically presents with visual hallucinations and parkinsonism early on. * **Pick’s bodies:** These are round, silver-staining inclusions of Tau protein found in **Frontotemporal Dementia (Pick’s Disease)** [4]. This typically presents with early personality changes and behavioral disinhibition rather than isolated memory loss in an 80-year-old. **High-Yield Clinical Pearls for NEET-PG:** * **Hirano Bodies:** Eosinophilic, actin-rich inclusions found in the hippocampus of AD patients. * **Amyloid Angiopathy:** Deposition of Aβ in cerebral vessel walls, increasing the risk of lobar hemorrhage [1]. * **Genetics:** Early-onset AD is linked to mutations in **APP (Chr 21)**, **Presenilin 1 (Chr 14)**, and **Presenilin 2 (Chr 1)**. Late-onset is associated with the **ApoE-ε4** allele. * **Brain Gross Findings:** Symmetrical cortical atrophy, narrowed gyri, and widened sulci (Hydrocephalus ex-vacuo). **References:** [1] Kumar V, Abbas AK, et al.. Robbins and Cotran Pathologic Basis of Disease. 9th ed. The Central Nervous System, pp. 1292-1294. [2] Kumar V, Abbas AK, et al.. Robbins and Cotran Pathologic Basis of Disease. 9th ed. The Central Nervous System, pp. 1292-1293. [3] Cross SS. Underwood's Pathology: A Clinical Approach. 6th ed. Common Clinical Manifestations Of Central And Peripheral Nervous System Disease, pp. 721-722. [4] Kumar V, Abbas AK, et al.. Robbins and Cotran Pathologic Basis of Disease. 9th ed. The Central Nervous System, pp. 1294-1295.
Cellular Pathology of the Nervous System
Practice Questions
Cerebrovascular Diseases
Practice Questions
Trauma to the Central Nervous System
Practice Questions
Infections of the Nervous System
Practice Questions
Demyelinating Diseases
Practice Questions
Neurodegenerative Diseases
Practice Questions
CNS Tumors
Practice Questions
Peripheral Nerve Disorders
Practice Questions
Neuromuscular Junction Diseases
Practice Questions
Congenital and Developmental Disorders
Practice Questions
Get full access to all questions, explanations, and performance tracking.
Start For Free