Which of the following statements is true about medulloblastoma?
All of the following are true about Primary CNS Lymphoma except:
What is the most common central nervous system (CNS) manifestation of HIV infection?
What is the most common site of brain metastasis?
Which of the following is NOT seen in HIV involvement of the CNS?
A 10-year-old boy presents with persistent headaches for 3 months. He has an ataxic gait and dysdiadochokinesia. A CT scan reveals a 4-cm cystic mass in the right cerebellar hemisphere with enlarged lateral ventricles. CSF analysis shows elevated protein and normal glucose. Intraoperative gross examination of the resected mass shows a cyst filled with gelatinous material, a thin wall, and a 1-cm mural nodule. Microscopic examination reveals cells positive for glial fibrillary acidic protein (GFAP) with long, hair-like processes. What is the most likely diagnosis?
What is the most common type of secondary brain tumor?
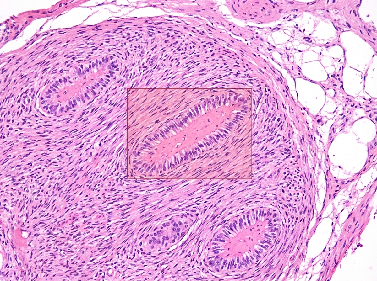
The marked area in the image of a Schwannoma represents which of the following?

Multiple schwannomas are seen with which condition?
A young child presents with a mass in the posterior cranial fossa exhibiting a mural nodule. What is the most likely diagnosis?
Explanation: **Explanation:** **Medulloblastoma** is a highly malignant, Grade 4 embryonal tumor that primarily occurs in the cerebellum [1]. 1. **Why Option B is correct:** Medulloblastoma is characterized by high cellularity and a rapid mitotic rate (small round blue cell tumor). These features make it **highly radiosensitive** [1][3]. While surgery is the primary step for decompression, craniospinal irradiation and chemotherapy are essential to treat the entire neuraxis due to the tumor's tendency to spread via CSF [1]. 2. **Why other options are incorrect:** * **Option A:** It is a **pediatric tumor**, with a peak incidence between 3–7 years of age. It is the most common malignant brain tumor in children [2]. * **Option C:** Surgery alone is insufficient. Because of its high risk of **"drop metastasis"** (seeding through the subarachnoid space), a multimodal approach including surgery, radiotherapy, and chemotherapy is mandatory [1]. * **Option D:** It is located in the **posterior cranial fossa** (specifically the cerebellar vermis in children and cerebellar hemispheres in adults), not the anterior fossa. **High-Yield Clinical Pearls for NEET-PG:** * **Histology:** Look for **Homer-Wright Rosettes** (pseudorosettes) and "small round blue cells." * **Genetics:** Four molecular subgroups exist: **WNT** (best prognosis), **SHH**, Group 3 (worst prognosis/MYC amplification), and Group 4 [1]. * **Imaging:** Classically presents as a midline mass in the 4th ventricle causing obstructive hydrocephalus. * **Spread:** It is notorious for **CSF seeding**, often referred to as "icing" or "zuckerguss" on the surface of the brain/spinal cord [1]. **References:** [1] Kumar V, Abbas AK, et al.. Robbins and Cotran Pathologic Basis of Disease. 9th ed. The Central Nervous System, pp. 1314-1315. [2] Cross SS. Underwood's Pathology: A Clinical Approach. 6th ed. Common Clinical Manifestations Of Central And Peripheral Nervous System Disease, pp. 725-726. [3] Cross SS. Underwood's Pathology: A Clinical Approach. 6th ed. Common Clinical Manifestations Of Central And Peripheral Nervous System Disease, pp. 726-727.
Explanation: **Explanation:** Primary CNS Lymphoma (PCNSL) is a rare but aggressive form of extranodal non-Hodgkin lymphoma. The key to this question lies in the unique sensitivity of lymphoma cells to steroids. **Why Option B is the Correct Answer (False Statement):** Glucocorticoids (like dexamethasone) are highly **lymphocytotoxic**. Administering them before a biopsy can cause rapid tumor shrinkage and "ghosting" of malignant cells, leading to non-diagnostic biopsy results. Therefore, unless there is an immediate threat of life-threatening herniation, **steroids should be withheld** until the tissue diagnosis is confirmed via stereotactic biopsy. **Analysis of Other Options:** * **Option A:** Diffuse Large B-Cell Lymphoma (DLBCL) is indeed the most common histological subtype, accounting for over 90% of PCNSL cases in both immunocompetent and immunocompromised patients [1]. * **Option C:** Stereotactic biopsy is the gold standard for diagnosis. Since these tumors are often deep-seated (periventricular/basal ganglia), surgical resection does not improve survival and carries high morbidity; thus, a needle biopsy is preferred [1]. * **Option D:** PCNSL does not respond well to standard CHOP regimens because many drugs cannot cross the blood-brain barrier. **High-dose Methotrexate (HD-MTX)** is the backbone of induction therapy due to its superior CNS penetration [2]. **NEET-PG High-Yield Pearls:** * **Imaging:** Classically presents as a "solidly enhancing" lesion on MRI. In HIV patients, it may show "ring enhancement" (mimicking Toxoplasmosis). * **EBV Association:** Strongly associated with Epstein-Barr Virus in immunocompromised/HIV patients [1],[3]. * **CSF Finding:** May show "lymphocytic pleocytosis" and positive cytology. * **Histology:** Characterized by a **"perivascular cuffing"** pattern (tumor cells circling blood vessels). **References:** [1] Kumar V, Abbas AK, et al.. Robbins and Cotran Pathologic Basis of Disease. 9th ed. The Central Nervous System, pp. 1315-1316. [2] Kumar V, Abbas AK, et al.. Robbins and Cotran Pathologic Basis of Disease. 9th ed. The Central Nervous System, pp. 1307-1308. [3] Cross SS. Underwood's Pathology: A Clinical Approach. 6th ed. Common Clinical Manifestations Of Central And Peripheral Nervous System Disease, pp. 724-725.
Explanation: **Explanation:** **HIV-Associated Encephalopathy (HAE)**, also known as HIV Encephalitis, is the most common CNS manifestation of HIV infection. It occurs due to the direct infiltration of the brain by the virus, primarily affecting the subcortical white matter and deep gray nuclei [1]. Pathologically, it is characterized by the presence of **microglial nodules** and **multinucleated giant cells**, which are formed by the fusion of HIV-infected macrophages [1]. **Analysis of Options:** * **B. Encephalopathy (Correct):** It is the most frequent neurological complication, often presenting early in the course of AIDS as cognitive slowing and behavioral changes. * **A. Vacuolar Myelopathy:** This is a spinal cord manifestation (resembling Subacute Combined Degeneration) seen in about 10-30% of AIDS patients. While significant, it is less common than encephalopathy. * **C. Acute Meningitis:** Aseptic meningitis can occur during the "seroconversion" phase of primary HIV infection, but it is a transient clinical event rather than the most common chronic CNS manifestation. * **D. Dementia:** HIV-Associated Dementia (HAD) is the severe, end-stage clinical expression of HAE [1]. While related, "Encephalopathy" is the broader pathological term and the more common finding across the spectrum of the disease. **High-Yield Pearls for NEET-PG:** * **Cell of Entry:** HIV enters the CNS via infected monocytes/macrophages (the "Trojan Horse" mechanism). * **Receptor:** The virus binds to **CD4** and co-receptors **CCR5/CXCR4** on microglia. * **Pathognomonic Finding:** Multinucleated giant cells in the brain parenchyma [1]. * **Most Common Opportunistic Infection (CNS):** Cerebral Toxoplasmosis (presents as ring-enhancing lesions) [2]. * **Most Common CNS Neoplasm:** Primary CNS Lymphoma (associated with EBV). **References:** [1] Cross SS. Underwood's Pathology: A Clinical Approach. 6th ed. Common Clinical Manifestations Of Central And Peripheral Nervous System Disease, pp. 711-712. [2] Kumar V, Abbas AK, et al.. Robbins and Cotran Pathologic Basis of Disease. 9th ed. The Central Nervous System, pp. 1281-1282.
Explanation: **Explanation:** Brain metastases are the most common intracranial tumors in adults, occurring much more frequently than primary brain tumors [1]. The distribution of these metastases is primarily determined by **regional cerebral blood flow** [2]. **Why the Cerebral Cortex is Correct:** Metastatic cells travel via the hematogenous route. Therefore, they tend to deposit in areas with the highest blood supply. Approximately **80% of brain metastases** occur in the **cerebral hemispheres**, specifically at the **grey-white matter junction**. This is because the narrowing of blood vessels at this junction acts as a "trap" for circulating tumor emboli [2]. Within the hemispheres, the distribution follows the volume of blood flow: Frontal > Parietal > Temporal > Occipital. **Analysis of Incorrect Options:** * **B. Cerebellum:** This is the second most common site, accounting for approximately **15%** of metastases. It is more common in children or specifically associated with primary tumors from the pelvic organs (e.g., prostate or uterus) via the Batson venous plexus. * **A. Brainstem & D. Thalamus:** These areas account for only about **5%** of metastases. Their smaller vascular territory compared to the massive surface area of the cerebral cortex makes them less frequent sites for embolic deposition [2]. **High-Yield NEET-PG Pearls:** * **Most common primary sources:** Lung (most common overall), Breast, Melanoma, Renal Cell Carcinoma, and Colon [1]. * **Melanoma** has the highest *propensity* to metastasize to the brain, though lung cancer is more common due to its higher overall incidence [1]. * **Imaging:** Metastases typically appear as multiple, well-circumscribed lesions with significant perilesional edema on MRI [1]. * **"Ring-enhancing lesions":** Metastases are a top differential for ring-enhancing lesions on CT/MRI (Mnemonic: **MAGIC DR** – Metastasis, Abscess, Glioblastoma, Infarct, Contusion, Demyelination, Radiation necrosis). **References:** [1] Kumar V, Abbas AK, et al.. Robbins and Cotran Pathologic Basis of Disease. 9th ed. The Central Nervous System, pp. 1317-1318. [2] Kumar V, Abbas AK, et al.. Robbins and Cotran Pathologic Basis of Disease. 9th ed. The Central Nervous System, pp. 1266-1268.
Explanation: In HIV involvement of the CNS (HIV Encephalitis), the virus primarily infects **macrophages and microglia**, rather than neurons [1]. ### **Why "Inclusion Bodies" is the Correct Answer** HIV is a retrovirus that does not produce characteristic intracellular inclusion bodies (like the Negri bodies in Rabies, Cowdry Type A in Herpes, or "Owl’s eye" in CMV) [2]. While HIV-1 particles can be seen under electron microscopy, they are not visible as light-microscopic inclusion bodies. Therefore, their presence suggests a secondary opportunistic infection (e.g., CMV or PML) rather than direct HIV pathology [5]. ### **Explanation of Other Options** * **Perivascular Giant Cells (A):** This is the **pathognomonic** histological feature of HIV encephalitis [1]. These are multinucleated giant cells formed by the fusion of HIV-infected macrophages/microglia. * **Vacuolar Degeneration (B):** Also known as **HIV Vacuolar Myelopathy**, this involves the swelling and loss of myelin in the posterior and lateral columns of the spinal cord, clinically resembling Subacute Combined Degeneration (B12 deficiency). * **Microglial Nodules (C):** These are small clusters of microglia and lymphocytes found around areas of necrosis [3]. While seen in many viral encephalitides, they are a standard feature of HIV CNS involvement. ### **NEET-PG High-Yield Pearls** * **Primary Target:** The **CD4 receptor** and **CCR5/CXCR4 co-receptors** on microglia/macrophages. * **Most Common CNS Presentation:** HIV-Associated Neurocognitive Disorder (HAND), formerly known as AIDS Dementia Complex. * **Most Common Opportunistic Infection (CNS):** Toxoplasmosis (presents as ring-enhancing lesions) [4]. * **Most Common CNS Neoplasm:** Primary CNS Lymphoma (associated with EBV). **References:** [1] Cross SS. Underwood's Pathology: A Clinical Approach. 6th ed. Common Clinical Manifestations Of Central And Peripheral Nervous System Disease, pp. 711-712. [2] Kumar V, Abbas AK, et al.. Robbins and Cotran Pathologic Basis of Disease. 9th ed. The Central Nervous System, p. 1278. [3] Kumar V, Abbas AK, et al.. Robbins and Cotran Pathologic Basis of Disease. 9th ed. Peripheral Nerves and Skeletal Muscles, pp. 1255-1256. [4] Kumar V, Abbas AK, et al.. Robbins and Cotran Pathologic Basis of Disease. 9th ed. The Central Nervous System, pp. 1281-1282. [5] Kumar V, Abbas AK, et al.. Robbins and Cotran Pathologic Basis of Disease. 9th ed. The Central Nervous System, pp. 1280-1281.
Explanation: **Explanation:** The clinical presentation and histopathology point towards a **Pilocytic Astrocytoma** (WHO Grade I), the most common primary brain tumor in children. **1. Why Astrocytoma is correct:** * **Location & Imaging:** It typically arises in the cerebellum. The classic imaging finding is a **cystic lesion with a contrast-enhancing mural nodule**. * **Clinical Signs:** Cerebellar involvement leads to ataxia and dysdiadochokinesia. Obstruction of the 4th ventricle causes obstructive hydrocephalus (enlarged lateral ventricles). * **Microscopy:** The description of cells with **"long, hair-like processes"** refers to **Rosenthal fibers** (thick, eosinophilic, corkscrew-shaped inclusions) and bipolar cells. These cells are **GFAP positive**, confirming their glial (astrocytic) origin. **2. Why other options are incorrect:** * **Ependymoma:** Usually arises from the floor of the 4th ventricle. Histology shows **perivascular pseudorosettes** [3] and ependymal rosettes, not hair-like processes. GFAP expression is found in most ependymomas [3]. * **Hemangioblastoma:** While it also presents as a cyst with a mural nodule in the cerebellum (often associated with Von Hippel-Lindau syndrome) [1], it occurs in **adults** and is characterized by highly vascularized tissue and lipid-laden "foamy cells," not GFAP-positive glial processes. * **Medulloblastoma:** This is a **solid** midline (vermis) tumor in children [2]. Histology shows "small round blue cells" forming **Homer-Wright rosettes**. It is not typically cystic with a mural nodule. **NEET-PG High-Yield Pearls:** * **Pilocytic Astrocytoma** is associated with **NF-1** (especially when involving the optic nerve). * **Rosenthal Fibers** are found in Pilocytic Astrocytoma, Alexander disease, and chronic gliosis. * **Biphasic pattern:** Microscopic examination often shows alternating dense (Rosenthal fibers) and loose (microcysts) areas. * It has an **excellent prognosis** following surgical resection. **References:** [1] Cross SS. Underwood's Pathology: A Clinical Approach. 6th ed. Common Clinical Manifestations Of Central And Peripheral Nervous System Disease, pp. 726-727. [2] Kumar V, Abbas AK, et al.. Robbins and Cotran Pathologic Basis of Disease. 9th ed. The Central Nervous System, pp. 1314-1315. [3] Kumar V, Abbas AK, et al.. Robbins and Cotran Pathologic Basis of Disease. 9th ed. The Central Nervous System, pp. 1312-1313.
Explanation: **Explanation:** **Why Metastasis is the correct answer:** Secondary brain tumors are those that originate from a primary malignancy elsewhere in the body and spread to the brain. **Metastasis** is the most common type of intracranial tumor overall, occurring more frequently than all primary brain tumors combined [1]. The most common primary sites that metastasize to the brain are the **lung (most common)**, breast, skin (melanoma), kidney (renal cell carcinoma), and gastrointestinal tract [1]. These tumors typically present as multiple, well-circumscribed lesions at the grey-white matter junction. **Why the other options are incorrect:** * **Astrocytoma (A):** This is a primary brain tumor arising from glial cells [3]. While Glioblastoma (Grade IV Astrocytoma) is the most common *malignant primary* brain tumor in adults, it is still less common than metastatic disease. * **Meningioma (B):** This is the most common *benign primary* intracranial tumor [1]. It arises from the arachnoid cap cells and is usually slow-growing and extra-axial [4]. * **Oligodendroglioma (D):** This is a rare primary glial tumor characterized histologically by a "fried-egg" appearance and "chicken-wire" vascularity. It is significantly less common than metastases. **High-Yield NEET-PG Pearls:** * **Most common primary source:** Lung cancer (Small cell and Adenocarcinoma) [2]. * **Most likely to bleed:** Melanoma, Choriocarcinoma, and Renal Cell Carcinoma [1]. * **Distribution:** 80% occur in the cerebral hemispheres; 15% in the cerebellum. * **Imaging:** Often show "ring enhancement" with significant perilesional edema on MRI. **References:** [1] Kumar V, Abbas AK, et al.. Robbins and Cotran Pathologic Basis of Disease. 9th ed. The Central Nervous System, pp. 1317-1318. [2] Kumar V, Abbas AK, et al.. Robbins and Cotran Pathologic Basis of Disease. 9th ed. The Lung, pp. 724-725. [3] Cross SS. Underwood's Pathology: A Clinical Approach. 6th ed. Common Clinical Manifestations Of Central And Peripheral Nervous System Disease, pp. 725-726. [4] Cross SS. Underwood's Pathology: A Clinical Approach. 6th ed. Common Clinical Manifestations Of Central And Peripheral Nervous System Disease, pp. 727-728.
Explanation: ***Antoni A pattern with Verocay bodies*** - **Antoni A pattern** is characterized by **densely packed spindle cells** arranged in **parallel fascicles** with elongated nuclei showing **nuclear palisading**. - **Verocay bodies** are pathognomonic structures formed by **parallel rows of nuclei** separated by **anuclear eosinophilic zones** containing cell processes, exclusively found in Antoni A areas. *Myxoid tissue* - Represents **loose connective tissue** with abundant **extracellular matrix** and **mucopolysaccharides**, not a specific pattern in schwannomas. - Would appear as **pale, gelatinous areas** without the organized cellular architecture seen in Antoni patterns. *Antoni B pattern with Verocay bodies* - **Antoni B pattern** consists of **loosely arranged cells** in a **myxoid background** with **microcystic spaces** and lacks organized structure. - **Verocay bodies are never present** in Antoni B areas; they are **exclusive to Antoni A pattern**. *Antoni C pattern* - **Antoni C pattern does not exist** in the classification of schwannoma histological patterns. - Only **Antoni A** (dense, organized) and **Antoni B** (loose, myxoid) patterns are recognized in schwannoma pathology.
Explanation: **Explanation:** The correct answer is **Neurofibromatosis type 2 (NF2)**. NF2 is an autosomal dominant disorder caused by a mutation in the *NF2* gene on chromosome 22, which encodes the protein **merlin** (schwannomin). The hallmark of NF2 is the development of multiple schwannomas, most classically **bilateral vestibular schwannomas** (acoustic neuromas) [1], [2]. Patients are also predisposed to other CNS tumors, often remembered by the mnemonic **MISME**: Multiple Inherited Schwannomas, Meningiomas, and Ependymomas [1]. **Analysis of Incorrect Options:** * **Neurofibromatosis type 1 (NF1):** Characterized by neurofibromas (plexiform and cutaneous), Lisch nodules, and Café-au-lait spots. While both are neurocutaneous syndromes, NF1 is associated with mutations on chromosome 17 and does not typically present with multiple schwannomas [2]. * **Noonan Syndrome:** A genetic disorder characterized by short stature, heart defects (pulmonary stenosis), and distinct facial features. It is associated with RAS-MAPK signaling mutations but not with schwannomas. * **Tuberous Sclerosis:** Characterized by "hamartomas" in multiple organs (e.g., cortical tubers, subependymal giant cell astrocytomas, renal angiomyolipomas, and cardiac rhabdomyomas). It is not associated with schwann cell tumors. **High-Yield Clinical Pearls for NEET-PG:** * **Bilateral Vestibular Schwannomas:** Pathognomonic for NF2 [1]. * **Histology of Schwannoma:** Look for **Antoni A** (dense cells with Verocay bodies) and **Antoni B** (loose, myxoid areas). They are **S100 positive** [3]. * **Schwannomatosis:** A third type of neurofibromatosis characterized by multiple non-vestibular schwannomas without the other features of NF2. * **Chromosome Mnemonic:** NF**1** is on Chromosome **17**; NF**2** is on Chromosome **22**. **References:** [1] Cross SS. Underwood's Pathology: A Clinical Approach. 6th ed. Common Clinical Manifestations Of Central And Peripheral Nervous System Disease, pp. 727-728. [2] Kumar V, Abbas AK, et al.. Robbins and Cotran Pathologic Basis of Disease. 9th ed. Peripheral Nerves and Skeletal Muscles, pp. 1248-1249. [3] Kumar V, Abbas AK, et al.. Robbins and Cotran Pathologic Basis of Disease. 9th ed. Peripheral Nerves and Skeletal Muscles, p. 1250.
Explanation: ### Explanation **1. Why Pilocytic Astrocytoma is Correct:** Pilocytic Astrocytoma (WHO Grade I) is the most common primary brain tumor in children. Its classic presentation is a **cystic mass with a contrast-enhancing mural nodule**, typically located in the **cerebellum** (posterior fossa). * **Pathology:** Characterized by "biphasic" patterns (dense fibrillary areas and loose microcystic areas). * **Key Marker:** Presence of **Rosenthal fibers** (thick, eosinophilic, corkscrew-shaped inclusions) and Eosinophilic Granular Bodies (EGBs). **2. Why the Other Options are Incorrect:** * **Hemangiopericytoma:** Now classified under Solitary Fibrous Tumors, these are typically dural-based, highly vascular tumors seen in adults, not children. * **Ependymoma:** While also common in the pediatric posterior fossa (4th ventricle), these typically present as solid masses that may extend through the foramina of Luschka/Magendie ("plastic ependymoma") [1]. They are characterized by **perivascular pseudorosettes**. * **Glioblastoma Multiforme (GBM):** This is a high-grade (WHO Grade IV) tumor primarily seen in older adults [2]. While it shows "ring enhancement" due to central necrosis, it is rarely found in the posterior fossa of a child [3]. **3. NEET-PG High-Yield Pearls:** * **Location:** Most common site is the Cerebellum. * **Genetics:** Frequently associated with **BRAF gene** alterations (KIAA1549-BRAF fusion) and **Neurofibromatosis Type 1 (NF1)**. * **Imaging Triad:** Child + Posterior Fossa + Cyst with Mural Nodule = Pilocytic Astrocytoma. * **Prognosis:** Excellent; surgical resection is often curative. * **Differential:** If the question mentions a mural nodule in an **adult**, consider **Hemangioblastoma** (often associated with Von Hippel-Lindau syndrome) [1]. **References:** [1] Cross SS. Underwood's Pathology: A Clinical Approach. 6th ed. Common Clinical Manifestations Of Central And Peripheral Nervous System Disease, pp. 726-727. [2] Kumar V, Abbas AK, et al.. Robbins and Cotran Pathologic Basis of Disease. 9th ed. The Central Nervous System, pp. 1310-1311. [3] Kumar V, Abbas AK, et al.. Robbins and Cotran Pathologic Basis of Disease. 9th ed. The Central Nervous System, p. 1310.
Cellular Pathology of the Nervous System
Practice Questions
Cerebrovascular Diseases
Practice Questions
Trauma to the Central Nervous System
Practice Questions
Infections of the Nervous System
Practice Questions
Demyelinating Diseases
Practice Questions
Neurodegenerative Diseases
Practice Questions
CNS Tumors
Practice Questions
Peripheral Nerve Disorders
Practice Questions
Neuromuscular Junction Diseases
Practice Questions
Congenital and Developmental Disorders
Practice Questions
Get full access to all questions, explanations, and performance tracking.
Start For Free