The image shows presence of:

The following image shows presence of:

Which of the following worms is shown in the specimen?

Which of the following eggs is seen in stool microscope examination?

The image shown below shows egg of? (AIIMS May 2017)

Which of the following fits into the life cycle of the picture given below? (AIIMS May 2017)

Which of the following parasite's life cycle is shown below?

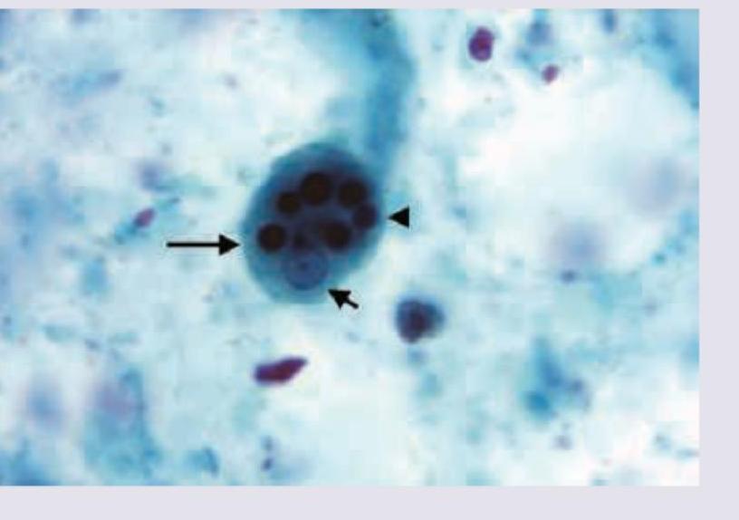
A 25-year-old man undergoes routine stool examination as part of a pre-employment health check. He is asymptomatic with no history of diarrhea or abdominal pain. Microscopy of the wet mount preparation (saline) shows the cyst form depicted in the image. Identify the most likely organism.

Which of the following Schistosoma egg is shown below?

The life cycle shown in the image below is characteristic of which organism?

Explanation: ***Giardia lamblia*** - The image clearly displays a **pyriform (pear-shaped)** organism with **two nuclei** and a "smiley face" appearance due to the location of the nuclei, characteristic of *Giardia lamblia* trophozoites. - The presence of **flagella** (typically 4 pairs) and the **ventral sucking disc** are distinguishing features of *Giardia lamblia* trophozoites. - *Giardia* is commonly found in duodenal aspirates and stool samples, causing giardiasis with symptoms of malabsorption and diarrhea. *Entamoeba histolytica* - *Entamoeba histolytica* trophozoites are typically **amoeboid** in shape with unidirectional movement, not pear-shaped. - They usually contain a **single nucleus** with central karyosome and peripheral chromatin. - They may show **ingested red blood cells** within their cytoplasm, which is not seen here. *Balantidium coli* - *Balantidium coli* trophozoites are very large (50-100 μm), **oval-shaped ciliates** with a prominent **macronucleus** (kidney-shaped) and a smaller micronucleus. - The entire surface is **covered with cilia** giving a characteristic appearance, which is not seen in this image. *Trichomonas vaginalis* - *Trichomonas vaginalis* trophozoites are also **pear-shaped with flagella** (typically 4 anterior flagella), but have only **one nucleus** located anteriorly. - They possess an **undulating membrane** and a posterior axostyle that extends beyond the cell body. - The presence of **two nuclei** and the bilateral symmetry seen in this image are characteristic of *Giardia*, not *Trichomonas*.
Explanation: ***Entamoeba histolytica*** - The image shows a **cyst with multiple nuclei** (typically 1-4, but can be more in stained preparations) and a **central karyosome** within each nucleus, which are characteristic features of *Entamoeba histolytica* cysts. - The presence of **refractile chromatoid bodies** with rounded ends can also be seen in *Entamoeba histolytica* cysts (though not distinctly visible in this specific stain, the overall morphology with multiple nuclei is key). *Giardia lamblia* - *Giardia lamblia* cysts are **oval or pear-shaped** and typically have **four nuclei** clustered at one end, along with visible **flagella remnants** and a median body, which are not present in the image. - The overall shape and nuclear arrangement do not match the morphology of *Giardia lamblia* cysts. *Balantidium coli* - *Balantidium coli* are significantly **larger** than *Entamoeba* cysts and possess a distinct **macronucleus** (kidney-shaped) and a smaller **micronucleus**, often with easily visible **cilia** on their surface in the trophozoite stage. - The size and nuclear structure in the image are inconsistent with *Balantidium coli*. *Entamoeba coli* - *Entamoeba coli* is a **non-pathogenic commensal amoeba** that can be confused with *E. histolytica*. However, *E. coli* cysts typically have **more than 4 nuclei** (often 8 or more in mature cysts) with **eccentric karyosomes** (not central). - The cysts also have **chromatoid bodies with splintered or irregular ends** (unlike the smooth, rounded ends in *E. histolytica*). - The nuclear morphology and count in the image are more consistent with *E. histolytica* than *E. coli*.
Explanation: ***Ascaris lumbricoides*** - The image displays a collection of **large, creamy-white to yellowish-brown, roundworms** that are characteristic of *Ascaris lumbricoides*. These worms are often referred to as **giant roundworms** due to their size. - They are typically found in the **intestines** and can grow up to 35 cm in length, which is consistent with the appearance of the worms in the specimen jar. *Trichinella* - *Trichinella* species are **much smaller** and are typically not visible as macroscopic worms in a specimen jar in this manner. - They are primarily known for causing **trichinellosis**, where larvae encyst in muscle tissue, rather than forming large masses in the intestines. *Wuchereria bancrofti* - *Wuchereria bancrofti* causes **lymphatic filariasis** and its adult worms reside in the lymphatic system. - These worms are **thin and thread-like** and are generally much smaller and more delicate than the worms shown in the specimen, which appear robust. *Trichuris trichiura* - *Trichuris trichiura*, also known as **whipworm**, has a characteristic **whip-like appearance** with a thin anterior portion and a thicker posterior end. - While they are intestinal nematodes, they are generally **smaller** and have a distinct morphology not seen in the specimen.
Explanation: ***Trichuris trichiura (whipworm) egg*** - The image displays a **barrel-shaped egg** with prominent, translucent **polar plugs (mucous plugs)** at each end, which is characteristic of *Trichuris trichiura* (whipworm) - These eggs measure approximately **50-54 × 22-23 μm** and have a thick, smooth shell with characteristic bipolar plugs - Found in **stool samples** during microscopic examination, indicating whipworm infection *Ascaris lumbricoides* - Eggs are **oval/round** (45-75 × 35-50 μm), not barrel-shaped - Have a thick, mammillated (bumpy) outer coat when unfertilized, or smooth when fertilized - **No polar plugs** - this is the key differentiating feature *Enterobius vermicularis* - Eggs are **asymmetrically oval** and flattened on one side (50-60 × 20-30 μm) - **No polar plugs** present - Rarely seen in stool; best detected by **perianal scotch tape test** *Taenia species* - Eggs are **spherical** (30-40 μm diameter) with radial striations - Contain a **six-hooked embryo (hexacanth)** inside - **No polar plugs** and completely different morphology
Explanation: ***A. lumbricoides*** - The image displays a **mammillated outer layer** and an **oval shape**, characteristic features of a fertilized *Ascaris lumbricoides* egg. - The internal content shows a **developing embryo** (morula stage), which is typical for newly passed *Ascaris* eggs. *A. duodenale* - The eggs of *Ancylostoma duodenale* (hookworm) are typically **oval or ellipsoidal**, have a **thin, transparent shell**, and contain a **segmented ovum** (usually 2-8 cells) when passed in stool. - They lack the distinctive **thick, mammillated outer layer** seen in the image. *E. vermicularis* - *Enterobius vermicularis* (pinworm) eggs are **D-shaped** or **asymmetrically ovoid**, with one side flattened. - They possess a **thin, smooth shell** and contain a **larva**, which distinguishes them from the egg shown. *Strongyloides stercoralis* - *Strongyloides stercoralis* eggs are rarely seen in stool samples because they usually **hatch within the intestine**, releasing **rhabditiform larvae**. - When present, they are **oval, thin-shelled**, and contain a **partially developed larva**.
Explanation: ***Entamoeba histolytica*** - The diagram illustrates the characteristic life cycle of *Entamoeba histolytica*, showing the **trophozoite** stage with pseudopodia, **binary fission**, **encystment** forming a protective cyst wall, and **excystation** producing metacystic amoebae. - Key identifying features include the **4-nucleate mature cyst** and the presence of **chromatoid bars** with rounded ends, which are pathognomonic for this parasite's life cycle. *Giardia lamblia* - This is a **flagellated protozoan** with a distinctive **pear-shaped trophozoite** containing two nuclei and eight flagella, completely different from the amoeboid forms shown. - The life cycle involves **binucleate cysts** and does not include pseudopodial movement or the amoeboid stages depicted in the diagram. *Balantidium coli* - This is a **ciliated protozoan** (the largest intestinal parasite) with a characteristic **kidney-shaped macronucleus** and numerous cilia for motility. - The trophozoite is **oval-shaped** with cilia covering the surface, lacking the pseudopodial extensions and amoeboid characteristics shown in the life cycle. *Entamoeba coli* - While also an amoeba, *E. coli* forms **8-nucleate mature cysts** (compared to 4-nucleate in *E. histolytica*) and has **chromatoid bars with splinter-like pointed ends**. - This non-pathogenic amoeba has a similar but distinct life cycle with different cyst morphology and nuclear characteristics than those depicted.
Explanation: ***Fasciola hepatica (Liver Fluke)*** - The diagram clearly illustrates the key stages of the Fasciola hepatica life cycle, including **encystation in the duodenum**, migration to the **liver**, and the presence of adult worms in the **bile duct** of humans and animals - The presence of **sheep and cattle** as definitive hosts, and the involvement of **freshwater snails** (Lymnaea species) as intermediate hosts, are characteristic features of *Fasciola hepatica* - **Eggs escaping in feces** into water where miracidia develop and infect snails, followed by cercaria forming **metacercaria on aquatic vegetation** (eaten by herbivores), is pathognomonic of this fluke *Clonorchis sinensis* - This is the **Chinese liver fluke** that also inhabits bile ducts, but uses **freshwater fish** (not vegetation) as the second intermediate host - Humans acquire infection by eating **raw or undercooked fish**, not vegetation *Paragonimus westermani* - This is the **lung fluke** found in the lungs (not liver/bile ducts) - Uses **freshwater crabs or crayfish** as second intermediate hosts - Life cycle does not involve grazing animals or vegetation *Schistosoma japonicum* - This is a **blood fluke** (not a liver fluke) causing schistosomiasis - Cercaria penetrate through **intact skin** (not ingested) - Adult worms live in **mesenteric veins**, not bile ducts - No metacercarial encysted stage on vegetation
Explanation: ***Entamoeba dispar*** - The image shows a **cyst form** consistent with *Entamoeba* species, characterized by its **oval shape**, size (10-20 µm), and visible internal structures (nuclei). - *Entamoeba histolytica* and *Entamoeba dispar* are **morphologically indistinguishable** under light microscopy; both have cysts with up to 4 nuclei. - However, in an **asymptomatic patient** with no clinical features of invasive amebiasis (no dysentery, no extraintestinal manifestations), *Entamoeba dispar* is the **most likely diagnosis** as it is a **non-pathogenic commensal** that is far more prevalent (90% of *Entamoeba* infections). - *E. histolytica* typically causes symptomatic disease (amoebic colitis, liver abscess), while *E. dispar* remains asymptomatic. - Definitive differentiation requires **PCR or antigen detection**, but clinical context strongly suggests *E. dispar*. *Giardia intestinalis* - *Giardia* cysts are **pear-shaped** or oval with distinct internal structures resembling a **"smiley face"** pattern (flagella, median bodies, nuclei in characteristic arrangement). - These cysts are typically smaller (8-12 µm) than the depicted *Entamoeba* cyst. - The morphology shown does not match *Giardia*. *Cryptosporidium hominis* - *Cryptosporidium* oocysts are much **smaller** (4-6 µm) and **spherical**. - They require **modified acid-fast staining** for identification and appear as tiny bright red spheres. - The size and morphology in the image do not match *Cryptosporidium*. *Balantidium coli* - *Balantidium coli* cysts are significantly **larger** (40-60 µm) with a characteristic **bean-shaped macronucleus** and micronucleus. - The cyst in the image is too small and lacks these distinctive features.
Explanation: ***Schistosoma hematobium*** - The image clearly displays an **elongated, oval-shaped egg** with a characteristic **terminal spine**. - This morphology is pathognomonic for **Schistosoma hematobium**, distinguishing it from other Schistosoma species. *Schistosoma mansoni* - Eggs of *Schistosoma mansoni* are typically **oval-shaped** with a distinct **lateral spine**. - The spine is located on the side of the egg, not at one of its poles as seen in the image. *Schistosoma japonicum* - *Schistosoma japonicum* eggs are more **rounded or oval** and possess a very small, **rudimentary spine** that is often difficult to visualize or absent. - The clearly visible, prominent terminal spine in the image rules out *S. japonicum*. *Cannot be differentiated on wet mount* - The distinct morphological features (shape and spine location) of Schistosoma eggs allow for reliable differentiation on a **wet mount** microscopic examination. - These features are crucial for accurate species identification in laboratory diagnostics.
Explanation: ***Schistosomiasis*** - The image clearly depicts the characteristic **cercariae** penetrating human skin, with subsequent migration to the portal blood and maturation into adult worms in specific venous plexuses (e.g., rectum, liver, bladder). - The presence of **miracidia** hatching from eggs and infecting snails, followed by the release of cercariae from snails, is the hallmark life cycle of *Schistosoma* species. The eggs are shown in feces and urine, indicating different species of Schistosoma. *Paragonimus* - The life cycle of *Paragonimus* (lung flukes) involves ingestion of **undercooked crustaceans** (crabs or crayfish) containing metacercariae, not skin penetration by cercariae. - Adult worms typically reside in the **lungs**, and eggs are coughed up and swallowed or passed in feces, which is different from the venous system involvement shown. *Fasciolopsis buski* - *Fasciolopsis buski* (intestinal fluke) infection occurs through ingestion of **aquatic plants** contaminated with metacercariae. - The adult worms reside in the **small intestine**, and while eggs are passed in feces, the characteristic skin penetration by cercariae is absent in its life cycle. *Fasciola hepatica* - *Fasciola hepatica* (liver fluke) is acquired by ingesting **metacercariae** on aquatic vegetation, similar to *Fasciolopsis buski*. - Adult worms inhabit the **bile ducts** of the liver, and the life cycle does not involve skin penetration by cercariae as the mode of human infection.
Classification of Parasites
Practice Questions
Intestinal Protozoa
Practice Questions
Blood and Tissue Protozoa
Practice Questions
Malaria Parasites
Practice Questions
Leishmaniasis
Practice Questions
Intestinal Helminths: Nematodes
Practice Questions
Tissue Nematodes
Practice Questions
Trematodes
Practice Questions
Cestodes
Practice Questions
Ectoparasites
Practice Questions
Antiparasitic Drugs
Practice Questions
Laboratory Diagnosis of Parasitic Infections
Practice Questions
Get full access to all questions, explanations, and performance tracking.
Start For Free