Best culture medium for isolating Vibrio cholerae?
Which bacteria can be isolated using crystal violet blood agar?
Skirrow's medium is used for?
In nutrient agar the concentration of agar is
Which of the following bacteria is microaerophilic?
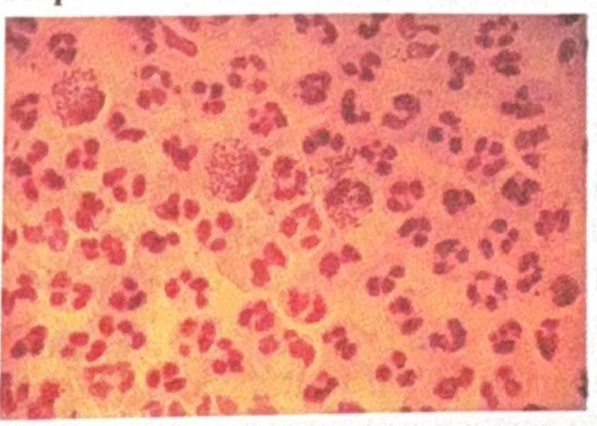
A man presents with dysuria and urethral discharge after a history of unprotected sex. The Gram stain of his discharge is shown. What is the best culture medium for isolating the organism responsible?

A patient presents with suspected diphtheria. What media will be used to diagnose this condition?
Most common type of pathogenic bacteria grow at temperatures of
Which of the following statements about nucleic acid amplification tests (NAATs) for STIs is FALSE?
A frequent traveler presented with 4 days of continuous fever, abdominal pain, and bradycardia. What is the best diagnostic test to confirm the pathogen?
Explanation: ***TCBS agar*** - **Thiosulphate Citrate Bile Salts Sucrose (TCBS) agar** is a highly selective medium specifically designed for the isolation of **Vibrio cholerae** and other Vibrio species. - **Vibrio cholerae** ferments sucrose on TCBS agar, producing yellow colonies, which helps in its identification. *MacConkey agar* - MacConkey agar is a selective and differential medium used for the isolation of **Gram-negative enteric bacteria**, but it is not specific enough for **Vibrio cholerae**. - While some Vibrio species may grow on MacConkey, it does not provide the distinct colonial morphology for easy identification as TCBS does. *Chocolate agar* - Chocolate agar is a non-selective enrichment medium used for the isolation of fastidious bacteria like **Haemophilus influenzae** and **Neisseria gonorrhoeae**. - It is not suitable for isolating **Vibrio cholerae** as it lacks the specific selective agents needed to inhibit other flora and highlight Vibrio growth. *Blood agar* - Blood agar is a general-purpose, non-selective enriched medium used for the isolation of a wide range of bacteria and for determining **hemolytic reactions**. - It is not selective enough for the isolation of **Vibrio cholerae** from polymicrobial samples like stool, as numerous other bacteria would also grow.
Explanation: ***β-hemolytic streptococci*** - **Crystal violet blood agar** is a selective medium that inhibits the growth of most Gram-positive bacteria, except for **beta-hemolytic streptococci**. - The crystal violet dye suppresses the growth of competing flora, allowing for better isolation and identification of these bacteria, which exhibit **complete hemolysis (beta-hemolysis)** on blood agar. *Corynebacterium diphtheriae* - This bacterium requires more specialized media, such as **Tinsdale agar** or **Loeffler's serum agar**, for optimal growth and identification due to specific nutritional requirements and colony morphology. - Crystal violet blood agar is not the primary medium used for its isolation. *Staph aureus* - **Staphylococcus aureus** is a common contaminant that is typically inhibited by the crystal violet in the medium. - It grows well on routine blood agar but is not selectively grown or isolated using crystal violet blood agar. *Meningococcus* - **Neisseria meningitidis** (Meningococcus) requires enriched media like **chocolate agar** or **Thayer-Martin agar** for successful isolation, as it is a fastidious organism. - Crystal violet blood agar is not suitable for its growth due to its inhibitory properties and lack of necessary nutrients.
Explanation: ***Campylobacter jejuni*** - **Skirrow's medium** is a selective enrichment medium specifically formulated for the isolation of **Campylobacter jejuni** from clinical and environmental samples. - It contains antibiotics such as **polymyxin B, vancomycin, trimethoprim**, and **cephalothin** to suppress the growth of many other bacteria while allowing *C. jejuni* to thrive. *Clostridium tetani (anaerobic)* - *Clostridium tetani* is a **strict anaerobe**, and while specialized media are used for its culture, Skirrow's medium is not designed for anaerobic organisms or for the isolation of *C. tetani*. - Typical media for *C. tetani* include **blood agar** or **thioglycollate broth** under anaerobic conditions. *Corynebacterium diphtheriae* - *Corynebacterium diphtheriae* is commonly isolated using selective media such as **Loeffler's serum medium**, **tellurite agar**, or **Tinsdale medium**. - These media contain ingredients that are unsuitable for *Campylobacter* and specific for *C. diphtheriae* identification. *Helicobacter pylori* - **Helicobacter pylori** is typically isolated on specialized media like **Columbia agar with 7% horse blood** or **blood agar with various antimicrobial agents** under microaerophilic conditions. - Skirrow's medium is not the primary medium for *H. pylori* isolation.
Explanation: ***1.5%*** - A concentration of **1.5% agar** is the standard amount used in **nutrient agar** to provide a solid medium for bacterial growth. - This concentration allows for proper solidification, forming a stable gel suitable for culturing microorganisms. *1%* - A 1% agar concentration would likely result in a **softer, less firm medium**, which might not be ideal for handling or for supporting the colonies of some microorganisms. - This concentration is sometimes used for specific purposes, such as preparing **semi-solid agars** for motility studies, but not for general solid media. *3%* - A 3% agar concentration would create a **much firmer, more rigid gel**, which could potentially hinder the diffusion of nutrients to bacterial colonies or make microbial inoculation more difficult. - Such high concentrations are less commonly used for routine bacterial culture and are reserved for specific applications requiring a very stiff medium. *4%* - A 4% agar concentration would produce an **extremely firm and brittle gel**, making it very hard to work with and potentially impeding bacterial growth due to poor nutrient diffusion. - This concentration is significantly higher than what is typically required for standard solid culture media.
Explanation: ***Campylobacter*** - **Campylobacter jejuni** is a classic example of a microaerophilic bacterium, thriving in environments with **reduced oxygen (5-10% O2)** and **increased CO2 (5-10%)**. - This specific atmospheric requirement is crucial for its **growth** and **virulence**, often leading to gastroenteritis. *Vibrio cholerae* - **Vibrio cholerae** is a **facultative anaerobe**, meaning it can grow in both the presence and absence of oxygen. - It does not require low oxygen environments; optimal growth occurs **aerobically**. *Pseudomonas* - **Pseudomonas aeruginosa** is an **obligate aerobe**; it requires oxygen for respiration and growth. - It uses oxygen as the **final electron acceptor** in its electron transport chain. *Salmonella* - **Salmonella enterica** is a **facultative anaerobe**, capable of switching between aerobic and anaerobic respiration. - It can grow in the presence of oxygen, as well as in **anaerobic conditions** by fermenting sugars.
Explanation: ***Thayer-Martin agar*** - The image shows numerous **polymorphonuclear leukocytes (neutrophils)** with intracellular, gram-negative diplococci, which is characteristic of **Neisseria gonorrhoeae**. - **Thayer-Martin agar** is a selective medium specifically formulated for the isolation of *Neisseria gonorrhoeae* from specimens containing flora. *MacConkey agar* - **MacConkey agar** is a selective and differential medium used primarily for the isolation of Gram-negative **enteric bacilli** and differentiation based on lactose fermentation. - It is not suitable for *Neisseria* species, which are fastidious organisms requiring enriched media. *Chocolate agar* - **Chocolate agar** is an enriched, non-selective medium that supports the growth of fastidious organisms like *Neisseria* species and *Haemophilus influenzae*. - While *Neisseria gonorrhoeae* grows on chocolate agar, **Thayer-Martin agar** is preferred for specimens from sites with normal flora as it inhibits contaminants. *TCBS agar* - **Thiosulfate Citrate Bile Salts Sucrose (TCBS) agar** is a selective medium used for the isolation of *Vibrio* species, particularly *Vibrio cholerae*. - This medium is completely unsuitable for the growth of *Neisseria gonorrhoeae*, which has entirely different nutritional and environmental requirements.
Explanation: ***Loffler's serum slope*** - **Löffler's serum slope** is a specific enrichment medium used for the isolation and identification of *Corynebacterium diphtheriae*, the causative agent of diphtheria. - It enhances the characteristic **metachromatic granules** (Babes-Ernst bodies) within the bacteria, aiding in microscopic identification. *Chocolate agar* - **Chocolate agar** is a non-selective enrichment medium often used for fastidious organisms like *Haemophilus influenzae* and *Neisseria* species. - While it supports the growth of many bacteria, it is not specifically optimized for the isolation or enhanced identification of *Corynebacterium diphtheriae*. *Cary-Blair* - **Cary-Blair transport medium** is designed to preserve enteric pathogens like *Salmonella* and *Shigella* in fecal samples during transport. - It is not a primary culture medium for *Corynebacterium diphtheriae* and would not be used for diagnosis of diphtheria. *Lowenstein-Jensen* - **Lowenstein-Jensen (LJ) medium** is a specialized egg-based medium primarily used for the isolation and culture of *Mycobacterium tuberculosis*. - It contains malachite green to inhibit the growth of other bacteria and is not suitable for the growth of *Corynebacterium diphtheriae*.
Explanation: ***25 to 40 degrees centigrade*** - Most **pathogenic bacteria** are **mesophiles**, meaning they thrive in moderate temperatures, typically within the range of **25°C to 40°C**. - This temperature range is optimal for their metabolic activity and rapid reproduction, aligning with the **human body temperature** of 37°C, which is why they cause infections. *0 to 20 degrees* - This temperature range is characteristic of **psychrotrophic** bacteria, which can grow at refrigerator temperatures but are not typically the most common human pathogens. - While some psychrotrophs can cause disease (e.g., *Listeria monocytogenes*), the majority of common human bacterial pathogens prefer warmer temperatures. *-20 degrees* - This extremely low temperature is usually used for **long-term storage** of bacteria to inhibit their growth and preserve them, often for laboratory purposes. - Most bacteria would be **dormant or killed** at this temperature, making it unsuitable for active growth. *Above 50 degrees* - Temperatures above 50°C are characteristic of **thermophilic** bacteria, which are adapted to very hot environments like hot springs. - These bacteria are generally **not pathogenic** to humans, as human body temperature is too low for their optimal growth.
Explanation: ***They are less sensitive than culture for rectal chlamydia*** - This statement is **FALSE**. NAATs are generally **more sensitive** than culture methods for detecting *Chlamydia trachomatis* in all anatomical sites, including the rectum. - The high sensitivity of NAATs allows for the detection of very low bacterial loads, making them the preferred diagnostic method for many STIs. *They can be used for test of cure after 3 weeks* - This statement is generally **true**. While a "test of cure" (TOC) is not routinely recommended for uncomplicated *Chlamydia* or *Gonorrhea* infections due to high treatment efficacy, it can be considered in specific circumstances (e.g., persistent symptoms, pregnancy, or use of alternative regimens). - If a TOC is performed, it should ideally be done **no sooner than 3 weeks post-treatment** to minimize potential false positives from detecting residual nucleic acids from dead organisms. *They can detect dead organisms after treatment* - This statement is **true**. NAATs detect the **nucleic acids (DNA or RNA)** of the target organism. - These nucleic acids can persist in the body for a period even after the organism has been killed by treatment, leading to a positive NAAT result despite successful eradication of the infection. *They can be used for pharyngeal gonorrhea screening* - This statement is **true**. NAATs are the **recommended method** for detecting *Neisseria gonorrhoeae* in extragenital sites, including the pharynx. - Pharyngeal gonorrhea is often **asymptomatic**, making screening of at-risk individuals important for public health.
Explanation: ***Blood culture*** - **Blood culture** is the most sensitive and specific test for confirming **typhoid fever** in the first week of illness. - The presence of **continuous fever** (step-ladder pattern), **abdominal pain**, and **relative bradycardia** in a traveler strongly suggests typhoid fever caused by *Salmonella Typhi*. *Widal test* - The **Widal test** detects antibodies against *Salmonella Typhi* antigens and is often positive later in the disease course. - It has **limited sensitivity and specificity**, especially in endemic areas or with prior vaccination, leading to false positives and negatives. *Urine culture* - **Urine culture** has a low yield for *Salmonella Typhi*, as bacteria are intermittently shed in urine, usually later in the disease. - It's primarily useful for diagnosing **urinary tract infections** or in chronic carriers of typhoid. *Stool culture* - **Stool culture** yield is higher in the later stages of typhoid fever, as *Salmonella Typhi* is shed in feces. - Its sensitivity is lower than blood culture in the early acute phase when bacteremia is most prominent.
Get full access to all questions, explanations, and performance tracking.
Start For Free