The EEG shows presence of:

A 14-year-old boy presents with bilateral foot contractures. On examination, thickened peripheral nerves are noted. On biopsy of the nerve, a typical onion bulb appearance is noted. What is the probable diagnosis? (Recent NEET Pattern 2016-17)

An 18-year-old patient presents with port wine stain, mental retardation and recurrent focal seizures. All are true about the condition except:

A 35-year-old woman presents with thunderclap headache. NCCT was done. All are true about the condition except:

A 60-year-old man presents with history of memory loss and fatigue. On examination, he has bradykinesia with axial rigidity. Resting tremor is absent and patient has broad-based gait with tendency to fall. MRI was done. All are true about the condition except:

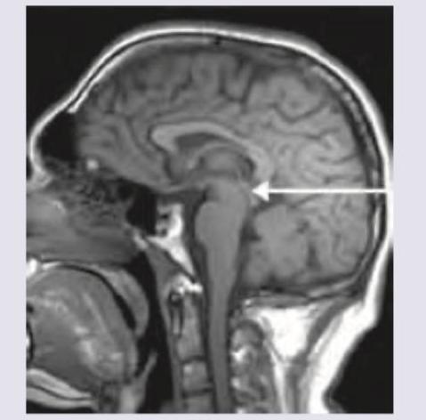
MRI was performed on a 35-year-old man with progressive myoclonus and apathy. What is the diagnosis? (Recent NEET Pattern 2016-17)

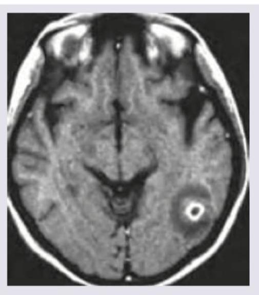
A 30-year-old patient has suffered from multiple episodes of GTCS for the last one week. MRI was performed. All are true about the condition except:

A middle-aged patient presents with history of left sided weakness for 2 days. Currently the patient is extremely drowsy and underwent a NCCT brain. Which of the following is the best treatment for this patient? (AIIMS Nov 2017)

All are true about the mid brain stroke syndrome shown except:

The CSF electrophoresis of patient shows oligoclonal bands. Which of the following is associated.

Explanation: ***Artifacts*** - The image displays inconsistent, **high-amplitude, irregular waveforms** across multiple channels without a clear, organized pattern suggestive of brain activity. - These patterns are typical of **muscle artifacts** or environmental interference, which are often observed in EEG recordings when there is movement, sweating, or electrical noise. *Normal EEG* - A normal EEG typically shows organized and rhythmic brainwave patterns, such as **alpha and beta rhythms**, with appropriate amplitude and frequency for the patient's state. - The chaotic and non-physiologic signals seen here do not resemble normal brain activity. *Absence seizures* - Absence seizures are characterized by **generalized 3 Hz spike-and-wave discharges** that are sudden in onset and offset and typically bilateral and synchronous. - The EEG image does not show this specific, highly characteristic epileptic pattern; instead, it shows widespread disorganized activity. *Myoclonic epilepsy* - Myoclonic epilepsy often presents with **generalized polyspike-and-wave discharges** or irregular spike-and-wave patterns, usually faster than 3 Hz, associated with sudden muscle jerks. - While there is some high-frequency activity, it lacks the clear, consistent morphology and rhythm of epileptic discharges and is more consistent with movement-related artifact.
Explanation: ***Charcot-Marie-Tooth disease*** - The combination of **bilateral foot contractures** (often presenting as pes cavus or hammer toes, as hinted by the image), **thickened peripheral nerves**, and the pathological finding of an **onion bulb appearance** on nerve biopsy are classic diagnostic features of Charcot-Marie-Tooth (CMT) disease, particularly demyelinating forms. - CMT is a progressive **hereditary peripheral neuropathy** characterized by muscle weakness and sensory loss, primarily in the distal limbs, often leading to foot deformities. *Friedreich's ataxia* - This is a **spinocerebellar ataxia** primarily affecting the central nervous system, leading to gait ataxia, dysarthria, and scoliosis. - While it can cause foot deformities like pes cavus, it does not typically involve **thickened peripheral nerves** or the **onion bulb appearance** on nerve biopsy. *Ataxia telangiectasia* - This is a rare, **autosomal recessive disorder** characterized by progressive cerebellar ataxia, oculocutaneous telangiectasias, immunodeficiency, and an increased risk of malignancy. - It does not present with **thickened peripheral nerves** or the characteristic **onion bulb formation** on nerve biopsy. *Leprosy* - Leprosy, caused by *Mycobacterium leprae*, is an infectious disease that can affect peripheral nerves, leading to nerve thickening, sensory loss, and muscle weakness. - However, the characteristic finding on nerve biopsy in leprosy is **granulomatous inflammation** and **acid-fast bacilli**, not the **onion bulb formation** seen in hereditary demyelinating neuropathies.
Explanation: ***Confetti lesions*** - **Confetti lesions** (hypopigmented macules) are characteristic dermatological features of **tuberous sclerosis complex**, not Sturge-Weber syndrome. - The clinical presentation of a **port-wine stain**, mental retardation, and recurrent focal seizures is highly indicative of **Sturge-Weber syndrome**. *Optic nerve cupping* - **Glaucoma** is a common ocular complication of Sturge-Weber syndrome, often ipsilateral to the facial port-wine stain. - **Optic nerve cupping** is a finding associated with elevated intraocular pressure due to glaucoma. *Tram track appearance on X-ray skull* - The **tram track appearance** on skull X-ray or CT scan refers to **leptomeningeal angiomatosis** with underlying cortical calcifications, a hallmark of Sturge-Weber syndrome. - These calcifications follow the gyri of the brain, creating a curvilinear, double-lined pattern. *Vagal nerve stimulation* - **Vagal nerve stimulation (VNS)** is a recognized treatment option for **refractory seizures** in patients with Sturge-Weber syndrome when antiepileptic medications are insufficient. - It helps in reducing seizure frequency and severity in selected cases.
Explanation: The image provided appears to be a **Non-Contrast CT (NCCT) scan of the brain**, showing a **hyperdense area** in the right hemisphere, consistent with **subarachnoid hemorrhage (SAH)** given the context of a "thunderclap headache." Thunderclap headache is a classic symptom of SAH. ***Most common cause of death is rebleeding*** - While rebleeding is a **serious complication** and contributes significantly to morbidity and mortality in SAH patients, the most common cause of death following SAH, particularly in the acute phase, is often related to the **initial hemorrhage** itself, such as **brain herniation**, or **early hydrocephalus** and **vasospasm-induced cerebral ischemia**. - **Vasospasm**, leading to **delayed cerebral ischemia (DCI)**, is a major cause of death and disability in SAH survivors, but the question asks about the "most common cause of death," which in many cases is the immediate devastating effect of the initial bleed or its early complications rather than rebleeding alone. *Hyponatremia* - **Hyponatremia** is a common electrolyte imbalance seen in patients with SAH, often due to **Syndrome of Inappropriate Antidiuretic Hormone (SIADH)** or **Cerebral Salt Wasting (CSW)**. - Therefore, the statement that hyponatremia occurs is **true** for this condition. *Prolonged QT interval* - **Cardiac abnormalities**, including **ECG changes** such as **QT prolongation**, T-wave inversion, and ST depression, are frequently observed after SAH due to **autonomic nervous system dysfunction** and catecholamine release. - Therefore, the presence of a prolonged QT interval is **true** for this condition. *Nimodipine is drug of choice* - **Nimodipine** is a **calcium channel blocker** widely used in SAH patients to **prevent or reduce the severity of cerebral vasospasm** and associated delayed cerebral ischemia. - It is currently the **drug of choice** for this indication in SAH, making this statement **true**.
Explanation: ***Intracranial hypotension*** - Progressive Supranuclear Palsy (PSP) is characterized by **brain atrophy**, not intracranial hypotension, and specifically shows atrophy of the **midbrain** and superior cerebellar peduncle. - Intracranial hypotension typically presents with **postural headaches**, which were not mentioned in the patient's presentation. *Poor response to levodopa* - Patients with PSP often show a **poor or transient response to levodopa**, which distinguishes it from Parkinson's disease. - This is due to the widespread neurodegeneration affecting areas beyond the dopaminergic pathways. *Gaze palsy* - **Vertical supranuclear gaze palsy**, particularly affecting downward gaze, is a **hallmark symptom** of PSP. - This manifests as difficulty moving the eyes voluntarily, especially downwards, while reflex eye movements (e.g., vestibulo-ocular reflex) may be preserved initially. *Humming Bird appearance* - The **Hummingbird sign (or Penguin sign)** is a characteristic MRI finding in PSP, referring to the **midbrain atrophy** with relative preservation of the pons, resembling a hummingbird. - The image provided shows significant midbrain atrophy, consistent with this sign.
Explanation: ***Prion disease*** - The MRI shows **cortical ribboning** (hyperintensity in the cortex) and possible signal changes in the basal ganglia, which are characteristic findings in prion diseases such as **Creutzfeldt-Jakob disease (CJD)**. - The clinical presentation of **progressive myoclonus** (sudden, involuntary muscle jerks) and **apathy** (lack of emotion or motivation), especially in a relatively young individual (35 years old), is highly suggestive of CJD or another prion disease. *Herpes simplex encephalitis* - This typically presents with **fever, headache, and focal neurological deficits**, often affecting the **temporal lobes**. - While it can cause FLAIR hyperintensities, it usually begins acutely with more prominent edema and may have hemorrhagic components, and myoclonus is not a primary defining symptom. *SSPE* - **Subacute sclerosing panencephalitis (SSPE)** is a rare, fatal, progressive brain disorder caused by the **measles virus**, primarily affecting children and young adults. - While it can cause progressive neurological deterioration and cognitive decline, myoclonus is often a late feature, and MRI findings often show **white matter demyelination** in later stages, which is not the predominant finding here. *Mesial temporal sclerosis* - This condition is characterized by **atrophy and signal changes in the hippocampus and amygdala** on MRI, typically associated with **temporal lobe epilepsy**. - While it can cause cognitive issues, it usually does not account for widespread cortical ribboning or prominent myoclonus in this age group, and the image does not specifically highlight mesial temporal lobe changes.
Explanation: ***Steroids must be given in the racemose form*** - The **racemose form** of neurocysticercosis (NCC) specifically refers to cysticerci growing in clusters within the subarachnoid space, often **without a scolex, and can be difficult to treat due to their inflammatory nature and location. Systemic steroids** would likely be indicated for significant cerebral edema and inflammation, but they are not *mandatory* and their efficacy in directly improving the racemose form itself is limited or unproven, nor are they a specific treatment for the racemose form, but rather used to manage inflammation. - The image provided shows a solitary, enhancing lesion, more consistent with a parenchymal cyst at the **colloidal vesicular stage**, not the racemose form. *MRI shows colloidal stage of NCC* - The MRI image displays a **ring-enhancing lesion with perifocal edema**, which is characteristic of the **colloidal vesicular stage** of neurocysticercosis. In this stage, the larva starts to degenerate, triggering a significant inflammatory response. - The central high signal intensity represents the degenerating scolex or colloidal fluid, and the surrounding low signal is indicative of extensive vasogenic edema, which can lead to seizures like the GTCS described. *CSF eosinophilia* - **CSF eosinophilia** (presence of eosinophils in cerebrospinal fluid) is a common finding in neurocysticercosis, especially when the cysts are located in the subarachnoid space or ventricles, or when there is significant inflammation. - The immune response against the parasite often involves eosinophils, making their presence in the CSF a supportive diagnostic indicator. *Enzyme-linked immune-electrotransfer blot assay is more sensitive than CSF ELISA* - The **Enzyme-linked immune-electrotransfer blot (EITB) assay** (Western blot) is considered the **gold standard** for serodiagnosis of neurocysticercosis due to its high **sensitivity (nearly 100%) and specificity (nearly 100%)**, particularly for patients with active lesions and viable cysts. - While **CSF ELISA** can detect antibodies, it generally has **lower sensitivity** compared to EITB, especially when only a single brain lesion is present, or in the very early or late calcified stages of the disease.
Explanation: ***Decompressive surgery*** - The NCCT image shows a **large, well-demarcated hypodensity in the right cerebral hemisphere**, characteristic of a **subacute to chronic ischemic infarct with significant edema and mass effect**. This is evidenced by the effaced sulci, compressed ventricles on the right, and likely midline shift, causing the patient's **drowsiness** and **left-sided weakness**. - Given the patient's **drowsiness** (indicating rising intracranial pressure) and significant mass effect from the large infarct, **decompressive craniectomy** is often a life-saving measure to reduce intractable intracranial pressure and prevent further herniation in cases of malignant middle cerebral artery (MCA) infarction. *Aspirin/Clopidogrel* - These are **antiplatelet medications used for secondary stroke prevention** after an acute ischemic event. - They are not the primary treatment for an **existing large infarct with mass effect and neurological deterioration** (drowsiness), as they do not address the acute intracranial pressure. *Mechanical thrombectomy* - This procedure is indicated for **acute ischemic stroke due to large vessel occlusion**, typically performed within a very narrow time window (usually up to 6-24 hours) from symptom onset. - The patient presents two days after symptom onset, and the CT findings suggest a **subacute to chronic infarct that has completed evolution**, making thrombectomy ineffective and potentially harmful. *Mannitol* - Mannitol is an **osmotic diuretic used to acutely reduce intracranial pressure (ICP)** in situations like cerebral edema. - While it can provide temporary relief, it is often insufficient for profound edema and mass effect from a **large, evolving infarct** that is causing significant neurological decline (drowsiness), and it does not treat the underlying structural issue.
Explanation: ***Anterior cerebral peduncle is involved*** - The **anterior cerebral peduncle (crus cerebri)** is located in the **ventral midbrain** and contains descending motor tracts, but the lesion shown affects the **dorsal midbrain structures**. - This statement is **false** because the lesion does not extend to involve the anterior cerebral peduncle, making this the correct answer for the "except" question. *Dorsal midbrain lesion* - The image clearly shows a lesion in the **dorsal aspect of the midbrain**, affecting structures such as the **red nucleus** and surrounding areas. - This statement is **true** as it accurately describes the anatomical location of the stroke shown in the image. *Ipsilateral 3rd nerve palsy* - **Weber's syndrome** (ventral midbrain stroke) commonly presents with ipsilateral 3rd nerve palsy, and some dorsal midbrain lesions can extend to affect **oculomotor nerve fascicles**. - This statement is **true** as 3rd nerve palsy can occur with midbrain strokes, particularly when the lesion affects nerve pathways in the midbrain. *Contralateral hemiplegia* - Midbrain strokes can cause **contralateral weakness** through involvement of **corticospinal tract fibers** that pass through or near the affected area. - This statement is **true** as motor deficits are commonly seen in midbrain stroke syndromes, even with dorsal lesions that may affect descending motor connections.
Explanation: ***Multiple sclerosis*** - The presence of **oligoclonal bands** in the CSF, but not in the plasma, indicates intrathecal IgG production, which is a hallmark of **multiple sclerosis**. - These bands represent a restricted number of **B cell clones** producing immunoglobulins within the central nervous system, consistent with the immune-mediated demyelination seen in MS. *CNS leukemia* - While CNS leukemia can involve the CSF, it typically presents with **malignant cells** in the CSF and not specifically with oligoclonal bands. - The primary diagnostic finding would be abnormal cell morphology or flow cytometry detecting leukemic cells. *Monoclonal gammopathy of unknown significance* - This condition involves the presence of a **monoclonal protein (M-protein)** in the blood (plasma), but it does not typically involve intrathecal synthesis of oligoclonal bands in the CSF. - The M-protein is usually detected in serum protein electrophoresis, not CSF. *Multiple myeloma* - Multiple myeloma is a plasma cell malignancy characterized by a **monoclonal protein** in the serum and/or urine, and sometimes in the CSF if there is CNS involvement. - However, the CSF findings in multiple myeloma would typically show the presence of the same monoclonal protein found in the serum, rather than distinct oligoclonal bands specific to the CNS.
Cerebrovascular Diseases
Practice Questions
Seizure Disorders and Epilepsy
Practice Questions
Headache Disorders
Practice Questions
Movement Disorders
Practice Questions
Demyelinating Diseases
Practice Questions
Neurodegenerative Disorders
Practice Questions
Neuromuscular Junction Disorders
Practice Questions
Peripheral Neuropathies
Practice Questions
CNS Infections
Practice Questions
Neuro-oncology
Practice Questions
Dementia and Cognitive Disorders
Practice Questions
Neurological Emergencies
Practice Questions
Get full access to all questions, explanations, and performance tracking.
Start For Free