The EEG of the patient shows which of the following? (Recent NEET Pattern 2016-17)

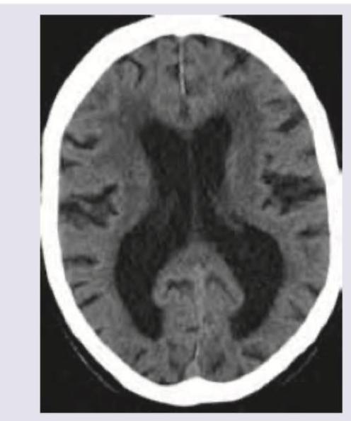
A 65-year-old man with dementia and poor hygiene due to urinary incontinence was evaluated. On examination: Deep tendon reflexes are brisk and gait apraxia with start hesitation is noted. CT scan was performed. What is the diagnosis?

Identify the neurocutaneous disorder.

A patient presents with GCS of 7 with nuchal rigidity and bloody CSF. Which is incorrect regarding this condition? (Recent NEET Pattern 2016-17)

A 50-year-old hypertensive patient develops sudden onset drooping of right face and hemiplegia. What is the diagnosis?

Which is correct for the image shown below?

Which reflex is being elicited in the patient?

All are correct about the reflex being elicited except:

All are true about the reflex being elicited except?

Medial medullary syndrome occurs due to blockage of which of the following blood vessel?

Explanation: ***Burst suppression pattern*** - The EEG shows periods of high amplitude, mixed-frequency **bursts of activity** alternating with periods of **relative electrical silence** (suppression). - This pattern is often seen in conditions like severe **hypoxic-ischemic encephalopathy**, deep **anesthesia**, or severe brain injury. *Rademecker complex* - This refers to periodic trifasic complexes, often associated with subacute sclerosing panencephalitis (SSPE), which is a **slow viral infection** of the brain. - The complexes are typically **bilateral, synchronous, and repetitive**, not characterized by alternating bursts and suppression. *3/sec spike and slow wave pattern* - This pattern is characteristic of **absence seizures (petit mal epilepsy)**, where there are generalized, synchronous 3 Hz spike-and-wave discharges. - The image does not show continuous, rhythmic 3 Hz activity but rather alternating periods of activity and flat-lining. *4-6 Hz Polyspike* - Polyspikes are a series of two or more spikes or sharp waves clustered together, often associated with **myoclonic seizures** or other generalized epilepsies. - While there are some sharp waves in the burst phases, the overall pattern is dominated by the distinct periods of suppression, not continuous polyspike activity.
Explanation: ***Normal pressure hydrocephalus*** - The classic triad of **dementia**, **gait apraxia**, and **urinary incontinence** strongly points to normal pressure hydrocephalus (NPH). The CT scan shows **ventriculomegaly out of proportion to sulcal atrophy**, a key finding in NPH. - The symptoms are often reversible with **ventriculoperitoneal shunting**, making early diagnosis crucial. *Alzheimer's disease* - While it causes **dementia**, it does not typically present with gait apraxia or urinary incontinence as prominent initial features. - CT scans in Alzheimer's usually show **diffuse cerebral atrophy**, not significant ventriculomegaly disproportionate to sulcal changes. *Multi-infarct dementia* - Characterized by a **stepwise decline** in cognitive function and focal neurological deficits related to cerebrovascular events. - CT scans would typically show evidence of **multiple infarcts** or vascular lesions, which are not explicitly described as the primary finding. *Frontal lobe tumor* - Could cause dementia and gait issues, but it would typically present with other focal neurological signs depending on the tumor's location and size, as well as **mass effect or edema** on neuroimaging. - The presented symptoms align more specifically with NPH than a generalized tumor effect without additional details.
Explanation: ***Sturge-Weber syndrome*** - This image displays a typical **leptomeningeal angioma** on CT (often calcified, appearing as brain calcifications over the surface of the brain) and a **port-wine stain** (nevus flammeus) on the face, characteristic features of Sturge-Weber syndrome. - Sturge-Weber syndrome is a **neurocutaneous disorder** characterized by vascular malformations affecting the brain, eyes, and skin, presenting with these specific features. *Von Hippel-Lindau syndrome* - This syndrome is characterized by the development of **hemangioblastomas** in the brain, spinal cord, and retina, and an increased risk of renal cell carcinoma and pheochromocytoma. - It does not typically present with a port-wine stain or the specific leptomeningeal angioma seen in the image. *Tuberous sclerosis* - Tuberous sclerosis features **non-cancerous tumors** in various organs, including the brain (cortical tubers, subependymal nodules), kidneys, heart, and skin (e.g., facial angiofibromas, ash-leaf spots). - While it is a neurocutaneous disorder, the imaging and skin findings in the question do not align with the characteristic features of tuberous sclerosis. *Ataxia telangiectasia* - Ataxia telangiectasia is a rare, inherited disorder that affects multiple body systems, causing **progressive neurological problems** (ataxia), **immunodeficiency**, and an increased risk of cancer. - Its skin manifestations typically include **telangiectasias** (spider veins) on the skin and eyes, particularly noticeable in the eyes, which are not depicted in the image.
Explanation: **IV ceftriaxone** - The clinical presentation of **GCS of 7**, **nuchal rigidity**, and **bloody CSF** is highly suggestive of a **subarachnoid hemorrhage (SAH)**, not a bacterial infection like meningitis. - **Ceftriaxone** is an antibiotic commonly used to treat bacterial meningitis, which is not indicated here as the primary issue is hemorrhage, not infection. *Blood in sylvian fissure* - **Blood in the sylvian fissure** is a common finding in **subarachnoid hemorrhage**, as this area contains major cerebral arteries susceptible to aneurysm rupture. - CT scans often show hyperdense (bright) blood within the sulci and cisterns, including the sylvian fissure. *Seizures* - **Seizures** are a relatively common complication of **subarachnoid hemorrhage**, especially in the acute phase due to blood irritating the cerebral cortex. - They can occur in up to 10-20% of SAH patients and are a significant predictor of poorer outcomes. *Intraventricular extension* - **Intraventricular extension** of blood indicates a more severe hemorrhage and is often associated with a worse prognosis in **subarachnoid hemorrhage**. - The presence of blood within the ventricles can lead to **hydrocephalus** and increased intracranial pressure.
Explanation: ***MCA area hemorrhage*** - The **hyperdense lesion** on CT scan indicates **acute hemorrhage** in the MCA territory, which correlates with the sudden onset right facial droop and hemiplegia. - **Hypertension** is the most common risk factor for primary **intracerebral hemorrhage**, and MCA territory involvement typically causes contralateral face and arm weakness. *MCA area infarction* - **Infarctions** appear as **hypodense (dark) areas** on CT scan, not hyperdense lesions as described in this case. - While MCA infarction can cause similar clinical symptoms, the imaging findings clearly show hemorrhage rather than ischemic changes. *ACA area infarction* - **ACA infarction** typically presents with **leg weakness** more prominent than face/arm weakness, as the ACA supplies the medial motor cortex for lower limbs. - The imaging shows a **hyperdense hemorrhage**, not the **hypodense appearance** characteristic of infarction. *ACA area hemorrhage* - **ACA territory hemorrhage** would affect the **frontal lobe**, causing symptoms like leg weakness, **abulia** (lack of motivation), and urinary incontinence. - The clinical presentation of **facial droop and hemiplegia** involving face and arm is more characteristic of **MCA involvement** rather than ACA territory.
Explanation: ***Jendrassik maneuver*** - The image shows a patient interlocking their fingers and pulling them apart while a patellar reflex is being tested, which is characteristic of the **Jendrassik maneuver**. - This maneuver is used to **distract the patient** and enhance the amplitude of muscle stretch reflexes, making them more perceptible. *Wartenberg sign* - The Wartenberg sign is observed when the **little finger spontaneously abducts** due to weakness of the adductor pollicis muscle, often indicating ulnar nerve neuropathy. - This sign involves observation of a specific hand posture, not an active maneuver by the patient to improve reflex testing. *Hoffman sign* - The Hoffman sign is elicited by flicking the distal phalanx of the patient's middle finger, and a positive response involves **involuntary flexion of other fingers and the thumb**. - It is an indicator of **upper motor neuron dysfunction** and is not depicted in this image. *Gordon sign* - The Gordon sign is a plantar reflex elicited by **squeezing the calf muscle**, resulting in an extensor plantar response (dorsiflexion of the great toe and fanning of other toes). - This sign is a variant of the Babinski reflex and is used to detect **pyramidal tract lesions**, which is not what is shown.
Explanation: ***Hoffmann reflex*** - The image shows the examiner **flicking the middle finger of the patient upward**, which is the technique used to elicit the Hoffmann reflex. - A positive Hoffmann reflex involves **involuntary flexion of the thumb and index finger** in response to this flick, indicating upper motor neuron dysfunction. *Wartenberg reflex* - This reflex is elicited by rapid abduction and adduction of the patient's fingers, which is not depicted in the image. - A positive Wartenberg reflex involves the patient being unable to relax from the abducted position, indicating ulnar nerve entrapment. *Finger flexion reflex* - While the Hoffmann reflex does involve finger flexion, "finger flexion reflex" is not a specific, recognized neurological reflex test with the exact technique shown. - This term is too general and does not precisely describe the specific maneuver being performed. *Supinator jerk* - The supinator jerk (also known as the brachioradialis reflex) is elicited by **tapping the brachioradialis tendon** near the wrist with a reflex hammer. - This technique is distinctly different from the flicking of the middle finger shown in the image.
Explanation: ***Beevor sign is caudal movement of umbilicus on attempt to flex neck and upper trunk*** - The Beevor sign describes the **upward movement of the umbilicus** when the patient attempts to flex their neck and upper trunk, due to weakness of the lower abdominal wall muscles. - The image illustrates the elicitation of the **abdominal reflex**, not the Beevor sign. *Exaggerated abdominal reflexes can be seen in psychoneurosis* - While **exaggerated deep tendon reflexes** can sometimes be found in conditions like psychoneurosis, abdominal reflexes are typically observed to be normal or sometimes absent. - Exaggerated superficial reflexes like the abdominal reflex are **not a typical finding** in psychoneurosis and might suggest other neurological issues. *Repeated pregnancies may lead to absent abdominal reflex* - **Repeated pregnancies** and conditions causing stretching of the abdominal wall, such as obesity, can indeed lead to **absent abdominal reflexes** due to laxity of the abdominal muscles and connective tissue. - The reflex pathway itself is intact, but the muscle response may be diminished or absent due to **mechanical factors**. *Root value of upper abdomen is T7-T9* - The **upper abdominal reflex** is indeed mediated by spinal cord segments **T7-T9**. - The middle abdominal reflex is mediated by T9-T10, and the lower abdominal reflex by T11-T12.
Explanation: ***Afferent nerve is femoral nerve*** - The **cremasteric reflex** has its afferent limb carried by the **ilioinguinal nerve** and the **genitofemoral nerve**. - The femoral nerve is primarily responsible for motor and sensory innervation to the anterior thigh, not the cremasteric reflex. *Efferent nerve is genitofemoral nerve* - This statement is true; the **efferent limb** of the cremasteric reflex is indeed carried by the **genitofemoral nerve**, which innervates the cremaster muscle. - The genitofemoral nerve, through its genital branch, causes the contraction of the cremaster muscle, leading to the elevation of the testis. *The root value is L1,2* - This statement is true; the **cremasteric reflex** arc primarily involves spinal cord segments **L1 and L2**. - This root value signifies the origin of the nerves involved in both the afferent and efferent pathways of the reflex. *The inner part of thigh is stroked in upward and outward directions* - This statement is true regarding the technique for eliciting the **cremasteric reflex**. - Stroking the **inner part of the thigh** (proximally toward the abdomen) stimulates sensory fibers that initiate the reflex, causing the ipsilateral testis to elevate.
Explanation: ***A*** - Label A points to the **anterior spinal artery**, which supplies the medial medulla. Blockage of this artery leads to medial medullary syndrome. - Medial medullary syndrome is characterized by **contralateral hemiparesis**, **contralateral loss of proprioception**, and **ipsilateral hypoglossal nerve palsy**.
Cerebrovascular Diseases
Practice Questions
Seizure Disorders and Epilepsy
Practice Questions
Headache Disorders
Practice Questions
Movement Disorders
Practice Questions
Demyelinating Diseases
Practice Questions
Neurodegenerative Disorders
Practice Questions
Neuromuscular Junction Disorders
Practice Questions
Peripheral Neuropathies
Practice Questions
CNS Infections
Practice Questions
Neuro-oncology
Practice Questions
Dementia and Cognitive Disorders
Practice Questions
Neurological Emergencies
Practice Questions
Get full access to all questions, explanations, and performance tracking.
Start For Free