A patient with HIV is newly diagnosed with multidrug-resistant tuberculosis. Which of the following is the appropriate regimen, and what should the patient be monitored for?
According to WHO, which of the following is the recommended diagnostic test for spinal tuberculosis?
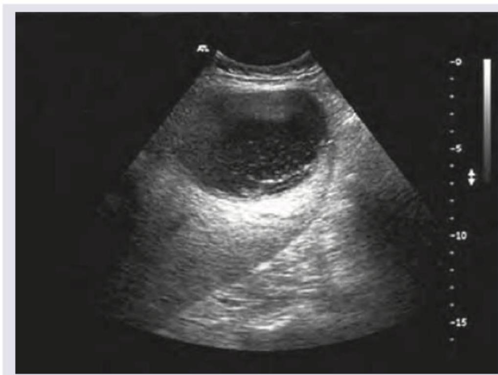
A 28-year-old female patient presents with abdominal pain, fever, night sweats, malaise, and intercostal tenderness. Past history of bloody diarrhea is present. USG liver of the patient is given. Which among the following statements is false?

A patient presents with abdominal pain, diarrhea and weight loss. He gives past history of pulmonary TB. Barium film of the patient indicates which of the following condition?

Which of the following infections in most commonly seen in this transfusion dependant child shown below?

The image shows cigar-shaped soft tissue calcification/rice grain calcification in muscles, which is characteristic of cysticercosis. This finding in a patient with neurocysticercosis is categorized as:

Patients who have undergone S.O.T (Solid organ transplant) are highly susceptible to development of Kaposi sarcoma. The image shows features consistent with Kaposi Sarcoma etiologically linked with which of the following?

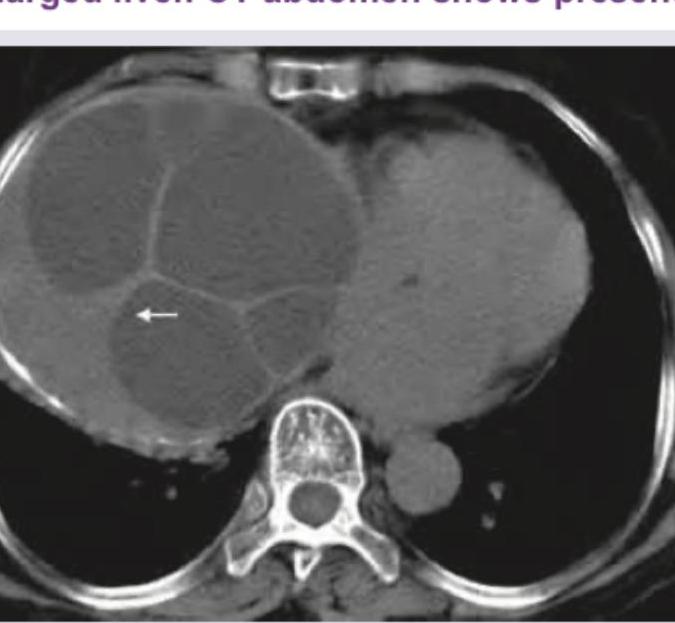
A 35-year-old shepherd presents with painless enlarged liver. CT abdomen shows presence of:

A 48-year-old intravenous drug abuser presents with vomiting, jaundice and right hypochondrium pain. USG abdomen shows presence of:

A patient of swine flu has developed severe respiratory distress. Which of the following findings confirm the diagnosis of ARDS in this patient?
Explanation: ***BPaLM; monitor for immune reconstitution syndrome*** - The **BPaLM** regimen (Bedaquiline, Pretomanid, Linezolid, Moxifloxacin/Levofloxacin) is the recommended all-oral, shorter course (6-9 months) treatment for confirmed drug-resistant or **MDR/RR-TB** (Multidrug/Rifampicin-resistant TB). - HIV co-infected patients are at high risk for **Immune Reconstitution Inflammatory Syndrome (IRIS)**, a paradoxical immune reaction that occurs upon starting effective TB treatment, especially after initiating or optimizing **ART** (Antiretroviral Therapy) [2]. *INH + Levofloxacin + Pyrazinamide + Ethambutol, monitor for hepatotoxicity* - This regimen is inappropriate for **MDR-TB** because it contains **Isoniazid (INH)**, to which the patient's strain is resistant by definition. - While monitoring for **hepatotoxicity** (especially due to Pyrazinamide and INH) is crucial in general TB management, this combination lacks the necessary potent second-line agents. *INH + Levofloxacin + Streptomycin + Ethionamide, monitor for pyridoxine deficiency* - This regimen includes **INH** and older, more toxic second-line drugs like **Streptomycin** (an injectable agent now largely avoided) and **Ethionamide**. - Monitoring for **pyridoxine (Vitamin B6) deficiency** is necessary when using drugs like INH or Ethionamide, but the overall regimen is considered outdated and suboptimal for standard MDR-TB management [1]. *INH + Clarithromycin + Pyrazinamide + Ethambutol, monitor for optic neuritis* - This regimen is incorrect because it contains **INH** (ineffective in MDR-TB) and **Clarithromycin**, which is primarily used for **MAC** (Mycobacterium avium complex) and not a core drug for *M. tuberculosis*. - Although monitoring for **optic neuritis** is specific to **Ethambutol** toxicity, the inclusion of inappropriate drugs makes this an unsuitable MDR-TB treatment combination.
Explanation: Culture and Sensitivity - It is considered the gold standard for definitive diagnosis of tuberculosis (TB) as it allows the isolation and confirmation of viable Mycobacterium tuberculosis organisms [2]. - It is essential for performing comprehensive Drug Susceptibility Testing (DST), which is critical for guiding the management of complex cases like spinal TB and detecting any drug resistance [3]. X-ray - X-rays are primarily useful for initial screening and assessing the extent of bony destruction, such as vertebral collapse (Pott's spine), but are not confirmatory [1]. - They are limited as they cannot provide bacteriological evidence or detect the presence of the M. tuberculosis organism, which is required for definitive diagnosis. CT scan - CT scans offer detailed imaging of bony morphology, disc involvement, and soft tissue pathology (e.g., paraspinal abscesses) superior to X-rays. - It remains an imaging modality and cannot replace the necessity of histopathological or microbiological confirmation and Drug Susceptibility Testing. CB-NAAT - CB-NAAT (e.g., Xpert MTB/RIF) is highly recommended by WHO for rapid diagnosis and detection of Rifampicin resistance from samples [3]. - While highly accurate, it detects nucleic acid and does not enable full Drug Susceptibility Testing against all first and second-line drugs, which Culture and Sensitivity provides.
Explanation: ***Aspiration and culture is the investigation of choice*** - This statement is **FALSE** - while aspiration may be performed, **culture often yields negative results** for *Entamoeba histolytica* as trophozoites are fragile and difficult to culture. - **Serology** (antibody detection), **imaging**, and **response to anti-amoebic therapy** are the preferred diagnostic approaches for amoebic liver abscess. *This condition is caused by an organism that spreads via fecal-oral route* - This statement is **TRUE** - *Entamoeba histolytica* causes amoebic liver abscess and spreads via **fecal-oral route**. - Transmission occurs through ingestion of **contaminated food or water** containing cysts. *Right lobe of the liver is most commonly affected* - This statement is **TRUE** - the **right lobe** is most commonly affected in amoebic liver abscess. - This occurs due to **preferential portal blood flow** and the right lobe's larger size. *Patient may present with pulmonary symptoms* - This statement is **TRUE** - amoebic liver abscesses can cause **pleuropulmonary complications**. - Abscess rupture into the **diaphragm or pleural cavity** can lead to cough, chest pain, and dyspnea.
Explanation: ***Pulled up cecum*** - The barium study shows an **abnormally high position** of the cecum, often caused by **adhesions** or **inflammatory processes** from previous infections like TB. - The **String sign of Kantor** (narrowed bowel segments appearing as thin strings) indicates **inflammatory bowel involvement**, commonly seen in **TB enteritis** or **Crohn's disease**. *Intestinal obstruction* - Would show **dilated bowel loops** proximal to the obstruction with **air-fluid levels** and minimal contrast passage beyond the blockage. - The radiological findings described (pulled up cecum and string sign) do not indicate mechanical obstruction. *Intestinal perforation* - Would demonstrate **extraluminal contrast leak** into the peritoneal cavity on barium study, which is not present here. - Clinical presentation would be **acute peritonitis** with severe pain and signs of sepsis, not chronic symptoms. *Diverticulum formation* - Would show **sac-like outpouchings** (diverticula) from the bowel wall, which are **not visualized** on this barium study. - The described findings of **string sign** and **cecal displacement** are inconsistent with diverticular disease.
Explanation: ***Yersinia enterocolitica*** - Transfusion-dependent patients, especially those with **iron overload** (common in thalassemia), are particularly susceptible to **Yersinia enterocolitica** infections because *Yersinia* thrives in iron-rich environments. - The image shows a child with marked hepatosplenomegaly (outlined on the abdomen), which is characteristic of conditions leading to transfusion dependence and subsequent iron overload, such as **thalassemia major**. *Listeria monocytogenes* - While *Listeria* can cause serious infections, particularly in immunocompromised individuals and neonates, its association with **iron overload** from transfusions is not as prominent as *Yersinia*. - **Listeriosis** typically presents as meningitis, sepsis, or febrile gastroenteritis. *Acinetobacter* - *Acinetobacter* species are often associated with **nosocomial infections**, affecting critically ill or immunocompromised patients in hospital settings, but not specifically linked to iron overload or transfusion dependence as a primary risk factor like *Yersinia*. - Infections commonly include pneumonia, urinary tract infections, and wound infections. *Pneumococcus* - **Pneumococcal infections** are common in children, especially those with asplenia or functional asplenia (which can occur in thalassemia due to splenic sequestration), but a direct link to **transfusion-associated iron overload** as a specific risk factor for severe pneumococcal disease is not the primary association like *Yersinia*. - These infections typically manifest as pneumonia, meningitis, and otitis media.
Explanation: ***Minor criteria*** - **Extraparenchymal cysticercosis** (e.g., subcutaneous, intramuscular, or ocular cysts) is classified as a minor criterion in the diagnostic criteria for neurocysticercosis (NCC). - While supportive, these findings alone are usually insufficient for a definitive NCC diagnosis without other major or epidemiological criteria. *Major criteria* - Major criteria for NCC diagnosis include definitive findings like **histological evidence** of *Taenia solium* cysticerci or **neuroimaging evidence** of intraparenchymal cysts, often showing scolex or characteristic calcifications. - The calcified muscle lesions are not considered major criteria as they are outside the central nervous system. *Absolute criteria* - **Absolute criteria** for NCC are typically histological confirmation of the parasite or unambiguous demonstration of the scolex within a cyst on imaging. - While strongly indicative of *Taenia solium* infection, soft tissue calcifications alone do not meet this level of certainty for a CNS diagnosis. *Confirmatory criteria* - **Confirmatory criteria** often imply a definitive diagnosis based on highly specific findings, such as parasitic identification, or resolution of lesions upon anti-parasitic treatment. - Calcifications in soft tissues, while highly suggestive of cysticercosis, do not directly confirm neurocysticercosis without evidence of CNS involvement.
Explanation: **KSHV** - **Kaposi's Sarcoma-associated Herpesvirus (KSHV)**, also known as **Human Herpesvirus 8 (HHV-8)**, is the definitive etiological agent for Kaposi's sarcoma. - Immunosuppression, such as that experienced by solid organ transplant recipients, reactivates latent KSHV infection, leading to the proliferation of spindle cells and the characteristic vascular lesions of Kaposi's sarcoma. *CMV* - **Cytomegalovirus (CMV)** is a common opportunistic infection in transplant recipients, causing a variety of clinical syndromes, but it is **not directly linked** to the causation of Kaposi's sarcoma. - While CMV can contribute to general immunosuppression in transplant patients, it does not specifically induce Kaposi's sarcoma lesions. *EBV* - **Epstein-Barr Virus (EBV)** is strongly associated with **post-transplant lymphoproliferative disorder (PTLD)** in solid organ transplant recipients, not Kaposi's sarcoma. - EBV infection can lead to lymphoid malignancies due to immunosuppression, a different pathology from the angioproliferative nature of Kaposi's sarcoma. *HHV6* - **Human Herpesvirus 6 (HHV-6)** is known to cause **roseola infantum** in children and can be a significant pathogen in immunocompromised patients, potentially causing encephalitis or pneumonitis in transplant recipients. - HHV-6 is **not associated with Kaposi's sarcoma**; its oncogenic potential is less clear and not linked to this specific malignancy.
Explanation: ***Hydatid cyst*** - The patient's profession as a **shepherd** points towards exposure to dogs, which are primary hosts for *Echinococcus granulosus*, the parasite causing hydatid disease. - The CT scan shows a large, **multiloculated cystic lesion** in the liver, often referred to as "daughter cysts" or "water lily sign" due to undulating membranes within a mother cyst, characteristic of a hydatid cyst. *Amoebic liver abscess* - An amoebic liver abscess is typically a **solitary lesion**, often with a thick, enhancing rim. - It's usually associated with a history of travel to **endemic areas** and symptoms like fever, right upper quadrant pain, and elevated inflammatory markers. *Pyogenic liver abscess* - Pyogenic abscesses often present with **fever, chills, and right upper quadrant pain**, which are absent in this case. - They can be multiloculated but typically appear as **rim-enhancing fluid collections** with gas foci in some instances, not generally organized "daughter cysts." *Cavernous hemangioma* - Cavernous hemangiomas are **benign vascular tumors** that typically appear as well-defined, homogeneous hyperechoic lesions on ultrasound or enhance characteristically on dynamic CT/MRI with **peripheral nodular enhancement** followed by centripetal fill-in. - They are solid or partially cystic, but do not exhibit the **multiloculated appearance with internal septations** or daughter cysts seen in the image.
Explanation: ***Amebic liver abscess*** - The image provided clearly labels "a. Amebic liver abscess" and the clinical presentation of **vomiting**, **jaundice**, **right hypochondrium pain**, and particularly **intravenous drug abuse** (a risk factor for infections, including those that can lead to abscesses) are consistent with a liver abscess. - The ultrasound image (left panel) likely shows a **hypoechoic lesion** within the liver, characteristic of an abscess. The MR image (right panel, likely an MRCP or similar sequence) also shows features consistent with an intrahepatic lesion. *Acute viral hepatitis* - While intravenous drug abuse is a risk factor for **viral hepatitis** (e.g., HBV, HCV), acute viral hepatitis typically presents with diffuse liver inflammation, which would appear as **hepatomegaly** and altered parenchymal echogenicity on ultrasound, rather than a focal lesion like an abscess. - The imaging for acute viral hepatitis usually doesn't show a well-defined **focal lesion** as depicted. *Acute cholecystitis* - **Acute cholecystitis** involves inflammation of the gallbladder, often due to gallstones, presenting with right hypochondrium pain. - The provided images focus on the liver parenchyma and do not specifically show signs like **gallbladder wall thickening**, pericholecystic fluid, or gallstones within the gallbladder, which are characteristic of cholecystitis. *Hepatocellular carcinoma* - **Hepatocellular carcinoma (HCC)** is a primary liver cancer, often seen in patients with chronic liver disease (e.g., from chronic viral hepatitis or alcoholism). - While HCC can present as a focal liver lesion, the clinical context of **acute symptoms** (vomiting, jaundice, pain) and intravenous drug abuse points more towards an infectious process like an abscess rather than a typically more indolent malignant lesion unless there's a specific acute complication.
Explanation: PaO₂/FiO₂ ratio < 300 and PCWP < 18 mm Hg - According to the Berlin definition of ARDS, a PaO₂/FiO₂ ratio less than 300 mmHg indicates impaired gas exchange [1]. - A pulmonary capillary wedge pressure (PCWP) less than 18 mmHg rules out cardiogenic pulmonary edema as the primary cause of respiratory distress, which is essential to diagnose ARDS [1]. PaO₂/FiO₂ ratio < 200 and PCWP > 18 mm Hg - A PaO₂/FiO₂ ratio less than 200 mmHg would indicate severe ARDS, but the elevated PCWP > 18 mm Hg suggests that the primary issue is cardiogenic pulmonary edema, not ARDS. - In ARDS, the problem is non-cardiogenic pulmonary edema secondary to capillary leakage in the lungs, thus a low PCWP is a diagnostic criterion [1]. PaO₂/FiO₂ ratio < 400 and PCWP > 18 mm Hg - A PaO₂/FiO₂ ratio less than 400 mmHg is not a specific criterion for ARDS; the cutoff is 300 mmHg. - An elevated PCWP > 18 mm Hg indicates fluid overload due to cardiac dysfunction, which points away from ARDS. PaO₂/FiO₂ ratio < 100 and PCWP < 18 mm Hg - While a PaO₂/FiO₂ ratio less than 100 mmHg indicates profound hypoxemia consistent with severe ARDS, the diagnosis of ARDS is made at a ratio of < 300 mmHg. - This option describes a very severe form of ARDS but the key diagnostic cutoff for ARDS is < 300 mmHg, not specifically less than 100 mmHg for the confirmation of ARDS per the Berlin definition.
Principles of Antimicrobial Therapy
Practice Questions
Fever of Unknown Origin
Practice Questions
HIV/AIDS and Related Infections
Practice Questions
Tuberculosis and Mycobacterial Diseases
Practice Questions
Tropical and Parasitic Infections
Practice Questions
Viral Infections (Hepatitis, Herpes, etc.)
Practice Questions
Healthcare-Associated Infections
Practice Questions
Fungal Infections
Practice Questions
Sepsis and Septic Shock
Practice Questions
Infection in Immunocompromised Hosts
Practice Questions
Emerging and Re-emerging Infections
Practice Questions
Antimicrobial Resistance
Practice Questions
Vaccination Principles
Practice Questions
Get full access to all questions, explanations, and performance tracking.
Start For Free