Waterhouse-Friderichsen syndrome is caused by which organism?
A 19-year-old male presents with a 1-week history of malaise and anorexia followed by fever and sore throat. On physical examination, the throat is inflamed without exudate, and there are a few palatal petechiae. Cervical adenopathy is present. The liver is percussed at 12 cm and the spleen is palpable. Throat cultures are negative for group A streptococci, and peripheral blood smears show atypical lymphocytosis. Laboratory findings include: Hb: 12 g/dL, Reticulocytes: 4%, WBC: 14,000/uL with 60% Lymphocytes, Total Bilirubin: 2.0 mg/dL, LDH: 260 IU/L, AST: 40 U/L, and ALT: 35 U/L. What is the next best investigation?
Which of the following is NOT a characteristic feature of Kala-azar?
Occurrence of diplopia, dysphagia, dysarthria, blurring of vision, and muscle weakness could be due to which of the following?
A 35-year-old woman presents with a 2-day history of burning on urination. Urinalysis shows marked positivity for leukocyte esterase but no reactivity for nitrite. Urine culture grows a large number of organisms. Which of the following bacteria is most likely responsible for this patient's infection?
Pulmonary tuberculosis is more common in the following associated diseases, except:
A 20-year-old woman presents with a 2-week history of fever, malaise, and brown-colored urine. She recently visited Mexico. Physical examination reveals jaundice, mild hepatomegaly, and tenderness in the right upper quadrant. The serum bilirubin is 7.8 mg/dL, with 60% in the conjugated form. Serum levels of AST and ALT are markedly elevated (400 and 392 U/L, respectively). Serum albumin and immunoglobulin levels are normal. Serum IgM anti-hepatitis A virus (anti-HAV) is positive. IgG anti-hepatitis B surface antigen (anti-HBsAg) antibodies are positive. Anti-hepatitis C virus antibodies are negative. What is the most likely diagnosis?
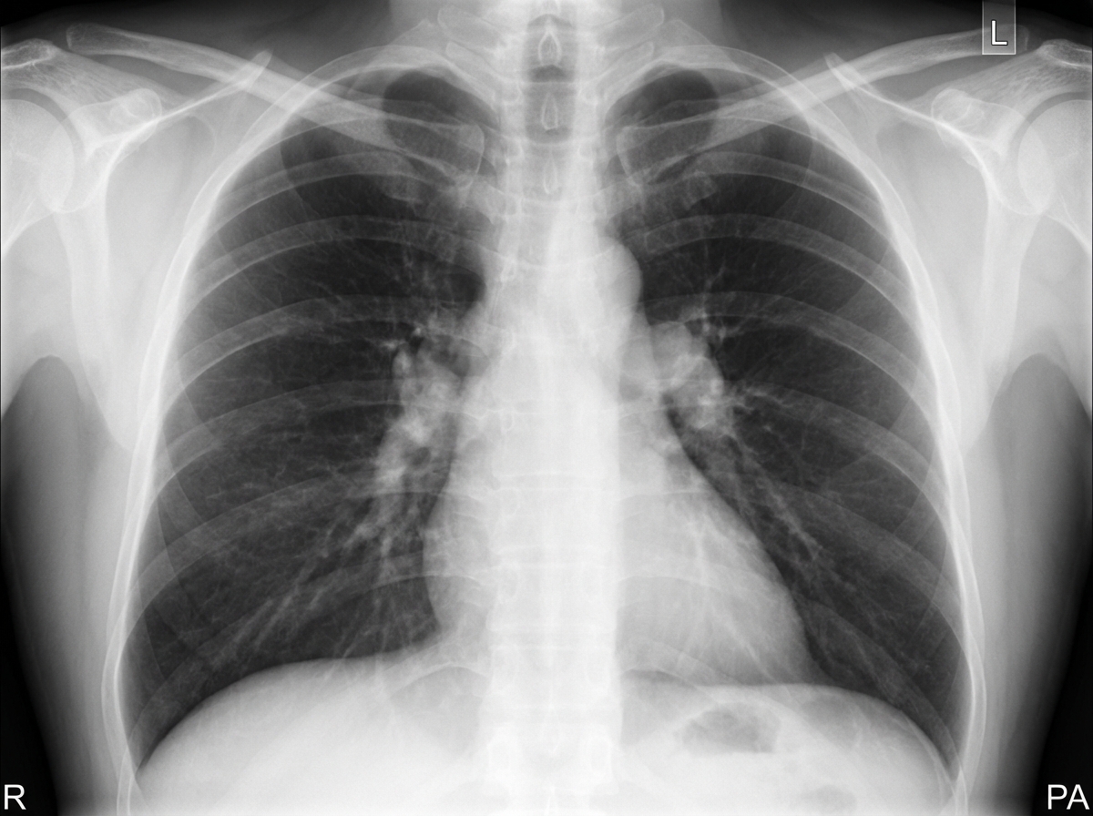
What is the most likely diagnosis in this patient with cough?

What is the treatment of choice for a patient with meningococcal meningitis who is allergic to penicillin?
The definition of FUO (fever of unknown origin) requires fever lasting for more than how many weeks?
Explanation: **Explanation:** **Waterhouse-Friderichsen Syndrome (WFS)** is a catastrophic complication of severe sepsis characterized by **bilateral adrenal hemorrhage**, leading to acute primary adrenal insufficiency. **Why Neisseria meningitidis is correct:** While various pathogens can cause WFS, **Neisseria meningitidis** (Meningococcus) is the most common causative organism. The pathogenesis involves severe meningococcemia leading to **Disseminated Intravascular Coagulation (DIC)**. This triggers widespread petechiae, purpura fulminans, and hemorrhagic necrosis of the adrenal glands. The resulting adrenal crisis causes profound hypotension and refractory shock. **Why the other options are incorrect:** * **Neisseria gonorrhoeae:** Primarily causes localized urogenital infections, pelvic inflammatory disease, or disseminated gonococcal infection (arthritis-dermatitis syndrome), but not adrenal hemorrhage. * **Chlamydia trachomatis:** An obligate intracellular bacterium causing trachoma and urogenital infections; it does not cause fulminant sepsis or WFS. * **Lymphogranuloma venereum (LGV):** This is a clinical condition caused by specific serovars (L1, L2, L3) of *C. trachomatis*, characterized by lymphadenopathy and proctitis, unrelated to adrenal failure. **Clinical Pearls for NEET-PG:** * **Triad of WFS:** Shock, widespread purpura, and acute adrenal insufficiency. * **Diagnosis:** Primarily clinical; CT scan may show bilateral adrenal enlargement/hemorrhage. * **Treatment:** Immediate IV antibiotics (Ceftriaxone) and **stress-dose glucocorticoids** (Hydrocortisone) to manage the adrenal crisis. * **Other causes:** Though rare, *S. pneumoniae*, *H. influenzae*, and *Staphylococcus aureus* can also cause WFS.
Explanation: The clinical presentation of a young adult with the triad of **fever, sore throat (pharyngitis), and lymphadenopathy**, accompanied by **splenomegaly** and **atypical lymphocytosis** on peripheral smear, is classic for **Infectious Mononucleosis (IM)**, most commonly caused by Epstein-Barr Virus (EBV) [1]. 1. **Why the Heterophile Antibody Test is correct:** The Heterophile antibody test (e.g., Monospot test) is the initial screening test of choice for IM. It detects IgM antibodies that agglutinate sheep or horse red blood cells. In this patient, the presence of palatal petechiae and splenomegaly strongly points toward EBV. The laboratory findings of mild indirect hyperbilirubinemia and reticulocytosis (4%) suggest a mild hemolytic anemia, which is a known complication of IM [1]. 2. **Why other options are incorrect:** * **Hepatitis B IgM:** While the patient has mild jaundice, the liver enzymes (AST/ALT) are near normal, making acute viral hepatitis unlikely. * **CMV IgG:** CMV can cause a mononucleosis-like syndrome, but it typically presents without significant pharyngitis or cervical lymphadenopathy ("typhoidal" presentation). Furthermore, IgG indicates past infection; IgM or PCR would be needed for acute diagnosis. * **ASLO titer:** Used to diagnose recent Group A Streptococcal infection [2]. However, the throat culture is already negative, and the presence of splenomegaly and atypical lymphocytes is not characteristic of streptococcal pharyngitis [2]. **NEET-PG High-Yield Pearls:** * **Atypical Lymphocytes:** These are actually T-cells (CD8+) reacting against EBV-infected B-cells (Downey cells) [1]. * **Ampicillin Rash:** If a patient with IM is mistakenly treated with Ampicillin or Amoxicillin, a characteristic maculopapular rash often develops. * **Splenic Rupture:** The most serious acute complication; patients must avoid contact sports for 3–4 weeks. * **Diagnosis:** If the Heterophile test is negative but IM is still suspected, the next step is **EBV-specific serology** (Viral Capsid Antigen - VCA IgM).
Explanation: **Explanation:** Kala-azar (Visceral Leishmaniasis), caused by *Leishmania donovani*, is characterized by the parasite's invasion of the Reticuloendothelial System (RES), primarily affecting the spleen, liver, and bone marrow [1]. **Why Leukocytosis is the correct answer:** In Kala-azar, the hallmark hematological finding is **Pancytopenia** (reduction in all three blood cell lines). Instead of leukocytosis, patients typically present with **Leukopenia** (specifically neutropenia). This occurs due to bone marrow suppression and hypersplenism. Therefore, leukocytosis is NOT a feature of the disease. **Analysis of incorrect options:** * **Splenomegaly:** This is the most characteristic clinical sign [1]. The spleen undergoes massive enlargement (often crossing the midline) due to the proliferation of infected macrophages. * **Anemia:** This is a consistent feature resulting from bone marrow infiltration by amastigotes, splenic sequestration, and chronic inflammation. * **Hypoalbuminemia:** Chronic infection leads to a reversal of the Albumin-Globulin (A:G) ratio. While there is **Hypergammaglobulinemia** (polyclonal), albumin levels drop due to decreased hepatic synthesis and chronic illness. **High-Yield Clinical Pearls for NEET-PG:** * **Vector:** Female Phlebotomus argentipes (Sandfly) [1]. * **Gold Standard Diagnosis:** Splenic aspirate (highest sensitivity) showing **LD bodies** (Amastigotes) [1]. * **Serology:** rK39 immunochromatographic test is the rapid test of choice [1]. * **Drug of Choice:** Liposomal Amphotericin B (single dose 10mg/kg is the current WHO recommendation for India). * **PKDL:** Post-Kala-azar Dermal Leishmaniasis occurs in 5-10% of cases after "apparent" cure, acting as a reservoir for the parasite.
Explanation: ### Explanation The clinical presentation of **diplopia, dysphagia, dysarthria, blurring of vision**, and **descending muscle weakness** is the classic "4 D’s" hallmark of **Botulism** [1]. #### Why Botulism is Correct Botulism is caused by the neurotoxin produced by *Clostridium botulinum*. The toxin irreversibly binds to the presynaptic nerve terminals, preventing the release of **Acetylcholine (ACh)** at the neuromuscular junction [2]. This leads to a symmetric, **descending flaccid paralysis** [1]. It typically begins with cranial nerve involvement (blurred vision/diplopia due to pupillary involvement and extraocular muscle weakness), followed by bulbar symptoms (dysphagia, dysarthria), and eventually progresses to the limbs and respiratory muscles [2]. #### Why Other Options are Incorrect * **Diphtheria:** While it can cause palatal paralysis and myocarditis, it typically presents with a characteristic greyish pseudomembrane in the pharynx and significant lymphadenopathy ("bull neck"). * **Infantile Beriberi:** Caused by Thiamine (B1) deficiency, it usually presents with cardiac failure (wet beriberi) or aphonia (the "silent cry") rather than acute descending paralysis. * **Myasthenia Gravis:** This is an autoimmune disorder involving post-synaptic ACh receptors. While it causes diplopia and ptosis, the weakness is typically **fluctuating** (worsens with use, improves with rest) and does not follow a rapid, acute descending pattern like botulism. #### NEET-PG High-Yield Pearls * **Key Triad of Botulism:** 1. Afebrile status, 2. Symmetrical descending flaccid paralysis with prominent bulbar palsies, 3. Intact sensorium (clear mentation) [1]. * **Pupils:** Unlike Myasthenia Gravis, Botulism often involves the autonomic nervous system, leading to **fixed or dilated pupils**. * **Diagnosis:** Confirmed by detecting the toxin in serum, stool, or suspected food (mouse bioassay). * **Treatment:** Immediate administration of Equine Antitoxin (Heptavalent) and supportive ventilation [2].
Explanation: ### Explanation The key to solving this question lies in understanding the **Nitrite Test** on a urine dipstick. [1] **1. Why Enterococcus faecalis is correct:** The nitrite test depends on the ability of certain bacteria to reduce dietary nitrates into nitrites using the enzyme **nitrate reductase**. Most Gram-negative bacteria (Enterobacteriaceae) possess this enzyme. However, **Gram-positive organisms** like *Enterococcus faecalis* and *Staphylococcus saprophyticus* (and some Gram-negatives like *Acinetobacter* or *Pseudomonas*) lack nitrate reductase. Therefore, in a patient with symptomatic UTI and significant bacteriuria, a **negative nitrite test** strongly suggests a Gram-positive organism like *Enterococcus*. **2. Why the other options are incorrect:** * **Escherichia coli (Option C):** This is the most common cause of UTI. It is a member of the Enterobacteriaceae family and is a potent producer of nitrate reductase, typically resulting in a **positive** nitrite test. * **Klebsiella pneumoniae (Option D) and Enterobacter sp (Option A):** Both are Gram-negative bacilli belonging to the Enterobacteriaceae family. Like *E. coli*, they produce nitrate reductase and would typically result in a positive nitrite test. **3. NEET-PG High-Yield Pearls:** * **Leukocyte Esterase (LE):** Indicates the presence of pyuria (neutrophils). It is highly sensitive for UTI [1] but not specific for the causative organism. * **Nitrite Test False Negatives:** Can occur due to: 1. Organisms lacking nitrate reductase (*Enterococcus*, *S. saprophyticus*, *Pseudomonas*). 2. Insufficient time for conversion (urine must stay in the bladder for >4 hours). 3. Low dietary nitrate intake or highly acidic urine (pH < 6.0). * **Enterococcus** is a common cause of healthcare-associated UTIs and is inherently resistant to cephalosporins.
Explanation: **Explanation:** The correct answer is **Mitral Stenosis (D)**. This question tests the understanding of conditions that predispose individuals to *Mycobacterium tuberculosis* infection versus those that may offer a protective effect. **1. Why Mitral Stenosis is the correct answer:** Mitral stenosis leads to chronic pulmonary venous congestion and increased pulmonary capillary pressure. This physiological state results in higher carbon dioxide ($CO_2$) levels and lower oxygen ($O_2$) tension in the lung parenchyma. Since *M. tuberculosis* is an **obligate aerobe** that thrives in high-oxygen environments (which is why it typically affects the lung apices), the relatively hypoxic environment created by pulmonary congestion in mitral stenosis is inhibitory to the growth of the bacilli. Historically, this was known as the "protection by congestion" theory. **2. Why the other options are incorrect:** * **AIDS (A):** HIV is the most potent risk factor for the progression of latent TB to active disease due to the profound depletion of CD4+ T-lymphocytes, which are essential for granuloma formation and containment of the bacteria. * **Diabetes Mellitus (B):** Hyperglycemia impairs neutrophil chemotaxis, phagocytosis, and cytokine production, making diabetics 3 times more likely to develop TB. * **Chronic Renal Failure (C):** Uremia causes systemic immunosuppression (impaired T-cell mediated immunity), significantly increasing the risk of both pulmonary and extrapulmonary TB. **High-Yield Clinical Pearls for NEET-PG:** * **Obligate Aerobe:** TB prefers the **Apex** of the lung because it has the highest Ventilation/Perfusion (V/Q) ratio and highest $O_2$ tension. * **Protective Factors:** Mitral stenosis and Left-to-Right shunts (like ASD/VSD) that increase pulmonary blood flow/pressure are generally considered "protective" against TB. * **Risk Factors:** Silicosis (most potent occupational risk), Gastrectomy, and TNF-alpha inhibitors (e.g., Infliximab) are other high-yield associations for increased TB risk.
Explanation: ### Explanation **1. Why Option A is Correct:** The patient presents with a classic clinical picture of **Acute Viral Hepatitis**: prodromal symptoms (fever, malaise), followed by icteric phase (jaundice, dark urine, RUQ tenderness), and significant transaminase elevation (>10x upper limit of normal) [1]. The definitive diagnosis is established by the presence of **IgM anti-HAV antibodies**, which are the gold standard for diagnosing acute Hepatitis A infection [3]. Her recent travel to Mexico (an endemic area) further supports fecal-oral transmission. The conjugated hyperbilirubinemia confirms a hepatocellular/cholestatic process [2] rather than hemolysis. **2. Why Other Options are Incorrect:** * **Option B (Acute Hepatitis B):** While the symptoms are similar, the patient has **IgG anti-HBsAg antibodies**. This indicates immunity (either from past infection or vaccination) rather than active infection. For acute HBV, we would expect HBsAg and IgM anti-HBc to be positive. * **Option C (Acute Hepatitis C):** Anti-HCV antibodies are negative. Furthermore, acute HCV is usually asymptomatic and rarely presents with such a robust icteric phase or marked transaminase elevation. * **Option D (Autoimmune Hepatitis):** This typically presents in young women but is characterized by **hypergammaglobulinemia** (elevated IgG levels) and positive autoantibodies (ANA/ASMA). This patient’s immunoglobulin levels are normal. **3. NEET-PG High-Yield Pearls:** * **Hepatitis A:** Most common cause of acute viral hepatitis worldwide [1]. It **never** progresses to chronic hepatitis or a carrier state. * **Transmission:** Fecal-oral route (contaminated water/food) [3]. * **Serology:** IgM anti-HAV = Acute infection; IgG anti-HAV = Past infection/Immunity [3]. * **Morphology:** Look for "Councilman bodies" (acidophilic bodies) on liver biopsy, representing apoptotic hepatocytes. * **Prognosis:** Excellent; treatment is supportive. Fulminant hepatic failure is rare (<1%) [1].
Explanation: ***Sarcoidosis*** - **Bilateral hilar lymphadenopathy** on chest X-ray is a classic finding in sarcoidosis, especially in young adults with respiratory symptoms. - Presents with **dry cough**, dyspnea, and systemic symptoms; often has **non-caseating granulomas** on biopsy. *Aspergillosis* - Typically causes **cavitary lesions** or **aspergilloma** formation on chest imaging, not bilateral hilar lymphadenopathy. - More common in **immunocompromised patients** or those with pre-existing lung disease like asthma or COPD. *Coccidioidomycosis* - Endemic to **southwestern United States** and presents with **unilateral hilar adenopathy** or pulmonary nodules. - Often associated with **travel history** to endemic areas and may cause **erythema nodosum** as extrapulmonary manifestation. *Granuloma annulare* - A **dermatologic condition** characterized by ring-shaped skin lesions, not a pulmonary disease. - Does not cause respiratory symptoms or **chest X-ray abnormalities**.
Explanation: **Explanation:** The treatment of choice for meningococcal meningitis (*Neisseria meningitidis*) is typically a third-generation cephalosporin (e.g., Ceftriaxone) [1] or Penicillin G. However, in patients with a **severe penicillin allergy** (especially those with a history of anaphylaxis), **Chloramphenicol** remains the classic, high-yield alternative [2]. **Why Chloramphenicol is correct:** Chloramphenicol is highly lipophilic, allowing it to achieve excellent penetration across the blood-brain barrier into the cerebrospinal fluid (CSF). It is bacteriostatic against many organisms but specifically **bactericidal** against the three primary causes of bacterial meningitis: *N. meningitidis*, *S. pneumoniae*, and *H. influenzae*. **Analysis of Incorrect Options:** * **Meropenem (B):** While carbapenems are used for multi-drug resistant infections, they carry a small risk of cross-reactivity in patients with IgE-mediated penicillin allergies and are not the first-line alternative in standard guidelines for this scenario [2]. * **Linezolid (C):** This oxazolidinone is effective against Gram-positive organisms (like MRSA and VRE) but lacks significant activity against Gram-negative diplococci like *N. meningitidis* [3]. * **Teicoplanin (D):** This is a glycopeptide (similar to Vancomycin) used exclusively for Gram-positive infections [3]. It has no activity against *Neisseria* species. **High-Yield Clinical Pearls for NEET-PG:** * **Drug of Choice (DOC):** Ceftriaxone is the overall DOC for meningococcal meningitis due to its superior safety profile [1]. * **Chemoprophylaxis:** For close contacts, **Rifampicin** is the drug of choice (Ciprofloxacin or Ceftriaxone are alternatives) [1]. * **Side Effect:** Remember that Chloramphenicol is associated with **Gray Baby Syndrome** (in neonates) and **Aplastic Anemia** (idiosyncratic reaction). * **Waterhouse-Friderichsen Syndrome:** A dreaded complication of meningococcemia characterized by adrenal hemorrhage and shock [1].
Explanation: ### Explanation The classic definition of **Fever of Unknown Origin (FUO)** was established by Petersdorf and Beeson in 1961. To meet the criteria for FUO, a patient must satisfy three specific requirements: 1. **Temperature:** Fever > 38.3°C (101°F) on several occasions (modern definitions often use a threshold of 38.0°C) [1]. 2. **Duration:** Fever lasting for **more than 3 weeks** [1]. 3. **Uncertain Diagnosis:** Failure to reach a diagnosis after 1 week of inpatient investigation (modern definitions now include 3 days of hospital investigation or 3 outpatient visits) [1]. **Why 3 weeks?** The 3-week threshold is designed to exclude self-limiting viral illnesses (which typically resolve within 7–14 days) and allow sufficient time for standard diagnostic workups to be completed. #### Analysis of Options: * **A (1 week):** This is too short; most acute febrile illnesses (like the common cold or influenza) last about a week and do not require the extensive workup associated with FUO. * **B (2 weeks):** While many infections persist into the second week, the 3-week mark is the standardized academic and clinical cutoff to differentiate "prolonged fever" from true FUO. * **D (4 weeks):** While a fever lasting 4 weeks certainly qualifies as FUO, the *minimum* requirement defined in medical literature is 3 weeks. #### NEET-PG High-Yield Pearls: * **Most Common Cause:** In developing countries like India, **Infections** (specifically Tuberculosis) remain the leading cause of FUO. In developed nations, non-infectious inflammatory diseases (connective tissue disorders) and malignancies are equally prevalent. * **Categories of FUO:** Modern medicine classifies FUO into four types: **Classic, Nosocomial, Neutropenic, and HIV-associated.** [1] * **Factitious Fever:** Always consider this in patients (often healthcare workers) with prolonged fever, no tachycardia during spikes, and rapid defervescence without sweating [2].
Principles of Antimicrobial Therapy
Practice Questions
Fever of Unknown Origin
Practice Questions
HIV/AIDS and Related Infections
Practice Questions
Tuberculosis and Mycobacterial Diseases
Practice Questions
Tropical and Parasitic Infections
Practice Questions
Viral Infections (Hepatitis, Herpes, etc.)
Practice Questions
Healthcare-Associated Infections
Practice Questions
Fungal Infections
Practice Questions
Sepsis and Septic Shock
Practice Questions
Infection in Immunocompromised Hosts
Practice Questions
Emerging and Re-emerging Infections
Practice Questions
Antimicrobial Resistance
Practice Questions
Vaccination Principles
Practice Questions
Get full access to all questions, explanations, and performance tracking.
Start For Free