What is the highest relative risk of developing active tuberculosis in patients already infected with Mycobacterium tuberculosis?
Which cells does the Human Immunodeficiency Virus (HIV) primarily infect?
In a patient with tuberculosis and AIDS, what is the typical appearance on a chest X-ray?
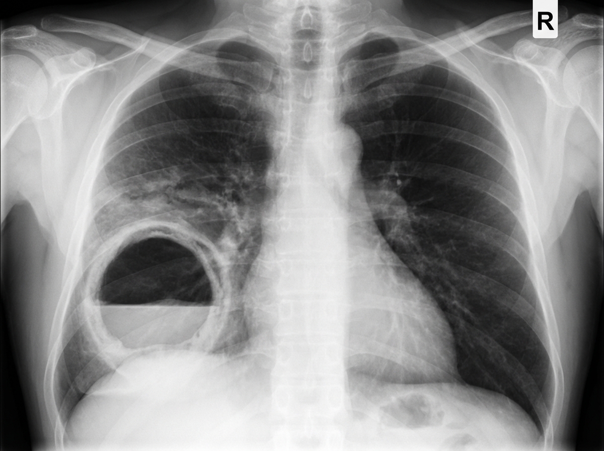
A 40-year-old man with a history of substance abuse and HIV infection presents with fever, weight loss, production of foul-smelling sputum, and shortness of breath for 2 weeks. Physical examination reveals tachypnea and clubbing of his digits. Lung auscultation demonstrates diffuse rhonchi and an area of egophony with whispering pectoriloquy in the right posterior chest. Arterial blood gases show a PaO2 of 59 mm Hg on room air. A chest X-ray is available. What is the most likely diagnosis?

A 36-year-old woman recently treated for leukemia is admitted to the hospital with malaise, chills, and high fever. Gram stain of blood reveals the presence of gram-negative bacilli. The initial diagnosis is bacteremia, and parenteral antibiotics are indicated. The patient's record reveals a severe urticarial rash, hypotension, and respiratory difficulty after oral penicillin V about 6 months ago. What is the most appropriate antibiotic to administer?
Kaposi sarcoma associated with the gut may be seen in which of the following conditions?
A 30-year-old male presents with a cough and fever of six weeks' duration. Sputum smears are negative, and chest X-ray shows no significant findings. Given a high clinical suspicion for tuberculosis, what is the next appropriate management step?
Which of the following is NOT part of the standard treatment for human brucellosis?
What is the most characteristic clinical finding in a patient with tetanus?
Which of the following is true about tuberculosis?
Explanation: **Explanation:** The risk of progression from latent tuberculosis infection (LTBI) to active disease depends on the degree of host immune suppression. **1. Why Post-Organ Transplantation is Correct:** Patients undergoing solid organ transplantation (SOT) represent the highest risk group [2]. This is due to the use of potent **T-cell suppressive induction and maintenance therapy** (e.g., calcineurin inhibitors, corticosteroids, and anti-thymocyte globulin). Since the control of *M. tuberculosis* is primarily mediated by **Th1-cell-mediated immunity**, profound iatrogenic suppression increases the relative risk (RR) of reactivation to approximately **20–74 times** that of the general population. **2. Analysis of Incorrect Options:** * **Diabetes Mellitus (A):** While DM impairs neutrophil function and cytokine production, the RR is relatively low (approx. **2–4**) [2]. * **Recent Infection (B):** The risk is highest in the first 2 years after primary infection (approx. 5% risk in the first 2 years) [2], but this does not exceed the risk posed by severe pharmacological immunosuppression. * **Malnutrition (D):** Protein-energy malnutrition impairs cell-mediated immunity, but the RR (approx. **2–3**) is significantly lower than that of transplant recipients [2]. **3. High-Yield Clinical Pearls for NEET-PG:** * **Highest Overall Risk:** HIV infection (especially with low CD4 counts) and Organ Transplantation are the top two risk factors for progression [1]. * **TNF-α Inhibitors:** Patients on Infliximab or Etanercept also have a very high RR (approx. 1.8–12) and must be screened for LTBI before starting therapy. * **Silicosis:** This is a classic occupational risk factor with a high RR (approx. 30) due to impaired macrophage function [2]. * **The "Rule of 10":** In an immunocompetent individual, the lifetime risk of reactivation is 10%; in an HIV-positive individual, the risk is 10% **per year** [1].
Explanation: ### Explanation **Core Concept: Viral Tropism and CD4 Receptors** The Human Immunodeficiency Virus (HIV) exhibits specific tropism for cells expressing the **CD4 molecule** on their surface. The viral envelope glycoprotein **gp120** binds with high affinity to the CD4 receptor. While several immune cells express CD4, the **Helper T cells (CD4+ T lymphocytes)** are the primary targets and the main reservoir for viral replication [1]. This binding, facilitated by co-receptors (CCR5 or CXCR4), leads to viral entry, replication, and the eventual progressive depletion of these cells, resulting in profound immunosuppression (AIDS) [1]. **Analysis of Incorrect Options:** * **A. B cells:** These are responsible for humoral immunity (antibody production). They do not express the CD4 receptor and are not directly infected by HIV, though their function is impaired due to the lack of "help" from T cells. * **C. Killer T cells (CD8+ T cells):** These cells lack the CD4 receptor. In early HIV infection, CD8+ cell counts actually increase as the body attempts to destroy HIV-infected cells. * **D. Regulatory T cells (Tregs):** While some Tregs express CD4 and can be infected, they represent a small subset of the total T cell population. The hallmark of HIV pathogenesis is the systemic depletion of the broader **Helper T cell** population. **High-Yield NEET-PG Pearls:** * **Co-receptors:** **CCR5** is essential for initial "Macrophage-tropic" (M-tropic) infection (R5 strains), while **CXCR4** is associated with later "T-tropic" infection (X4 strains). * **Genetic Resistance:** Individuals with a **CCR5-Δ32 mutation** (homozygous) are resistant to HIV infection. * **Diagnosis:** A CD4+ T cell count **<200 cells/mm³** is the clinical threshold for defining AIDS [1]. * **Other Targets:** HIV also infects other CD4-expressing cells like **Macrophages, Monocytes, and Microglial cells** (the latter being the primary target in the CNS).
Explanation: **Explanation:** The presentation of Tuberculosis (TB) in patients with HIV/AIDS is heavily dependent on the degree of immunosuppression, measured by the **CD4+ T-cell count**. **1. Why Miliary Shadow is Correct:** In advanced AIDS (typically CD4 < 200 cells/mm³), the body lacks the cell-mediated immunity required to form organized granulomas [1]. Without effective granuloma formation, the *Mycobacterium tuberculosis* bacilli cannot be contained, leading to hematogenous dissemination [2]. This results in a **miliary pattern** (diffuse 1–3 mm millet-sized nodules) rather than localized apical disease [2]. Additionally, these patients often show intrathoracic lymphadenopathy and lower lobe involvement. **2. Why the Other Options are Incorrect:** * **B. Cavity:** Cavitation is a hallmark of "reactivation TB" in immunocompetent hosts. It requires a robust delayed-type hypersensitivity (DTH) response to cause tissue necrosis. In AIDS, the immune response is too weak to create cavities; thus, "non-cavitary" disease is the rule [1]. * **C & D. Consolidation and Collapse:** While these can occur due to primary pneumonia or endobronchial obstruction by lymph nodes, they are less "typical" or pathognomonic for the TB-AIDS synergy compared to the disseminated miliary pattern. **High-Yield Clinical Pearls for NEET-PG:** * **CD4 > 350:** TB presents like a normal adult (Post-primary TB): Apical infiltrates and **cavitation**. * **CD4 < 200:** TB presents like Primary TB: **Miliary shadows**, lymphadenopathy, and pleural effusions [1]. * **Sputum Status:** Patients with AIDS are more likely to be **sputum smear-negative** due to the lack of cavitation (less bacterial load entering the airways). * **Paradoxical IRIS:** Starting ART in a TB-HIV patient can cause a temporary worsening of symptoms as the immune system recovers and begins attacking the bacilli.
Explanation: ***Correct: Lung abscess*** - The clinical hallmark here is **foul-smelling (putrid) sputum**, which strongly indicates **anaerobic bacterial infection** — the pathognomonic feature of a lung abscess - **Substance abuse** predisposes to **aspiration** (during intoxication/altered consciousness), seeding dependent lung segments (right lower lobe, posterior segments) with oral anaerobes (e.g., *Bacteroides*, *Peptostreptococcus*, *Fusobacterium*) - **Digital clubbing** indicates a chronic suppurative pulmonary process - **Egophony and whispering pectoriloquy** in the right posterior chest reflect surrounding consolidation/inflammation adjacent to the cavity - The chest X-ray characteristically shows a **thick-walled cavitary lesion with an air-fluid level**, most commonly in the right lower lobe or posterior segment *Incorrect: Pneumococcal pneumonia* - *Streptococcus pneumoniae* is an aerobe — it does **not** produce foul-smelling (putrid) sputum - Presents as lobar consolidation without cavitation or air-fluid levels on chest X-ray - Does not cause digital clubbing in an acute 2-week course *Incorrect: Pneumocystis pneumonia (PCP)* - Common opportunistic infection in HIV-positive patients, but classically presents with **dry, non-productive cough** and bilateral perihilar **ground-glass opacities** (interstitial pattern) on imaging - PCP does **not** produce foul-smelling sputum and does not form cavities or air-fluid levels - LDH is typically elevated; induced sputum/BAL is needed for diagnosis *Incorrect: Squamous cell carcinoma* - While squamous cell carcinoma can cavitate, it typically presents over **months to years** — not an acute 2-week febrile illness - Does not produce foul-smelling sputum acutely - Less likely in the clinical context of aspiration risk with acute infectious symptoms
Explanation: The patient presents with **Gram-negative bacteremia** and a history of **Type I hypersensitivity (anaphylaxis)** to penicillin, characterized by urticaria, hypotension, and respiratory distress. In such cases, cross-reactivity between beta-lactam antibiotics is a major clinical concern [1]. **Why Aztreonam is correct:** Aztreonam is a **Monobactam**. Its unique monocyclic beta-lactam ring structure prevents cross-reactivity with other beta-lactams (penicillins, cephalosporins, and carbapenems), making it the drug of choice for Gram-negative infections in penicillin-allergic patients [1]. It specifically binds to PBP-3 of aerobic Gram-negative bacteria (including *Pseudomonas*) and has no activity against Gram-positives or anaerobes [3]. **Why other options are incorrect:** * **Ampicillin/Sulbactam:** This is an aminopenicillin combination. It is strictly contraindicated due to the patient’s history of anaphylaxis to Penicillin V [1][3]. * **Cefazolin:** As a first-generation cephalosporin, it carries a significant risk of cross-reactivity (approx. 1-10%) in patients with IgE-mediated penicillin allergy [1]. * **Imipenem/Cilastatin:** Carbapenems share a common bicyclic nucleus with penicillins. While the cross-reactivity rate is lower than previously thought (~1%), it is still avoided in patients with documented history of anaphylaxis if safer alternatives like Aztreonam are available [1]. **NEET-PG High-Yield Pearls:** 1. **The Exception Rule:** Aztreonam does **not** cross-react with penicillins **EXCEPT** with **Ceftazidime**, because they share an identical side chain. 2. **Spectrum:** Aztreonam is often referred to as the "Gram-negative specialist" (similar spectrum to aminoglycosides but without nephrotoxicity) [2]. 3. **Anaphylaxis History:** If a question mentions "hypotension," "wheezing," or "laryngeal edema" after penicillin, avoid all beta-lactams except Monobactams [1].
Explanation: **Explanation:** **Kaposi Sarcoma (KS)** is a multicentric angioproliferative tumor caused by **Human Herpesvirus 8 (HHV-8)**. While it is classically known for cutaneous lesions, it frequently involves extracutaneous sites, particularly in the context of **HIV/AIDS (Epidemic KS)** [1]. 1. **Why HIV infection is correct:** In patients with HIV, Kaposi Sarcoma is an **AIDS-defining illness**. It typically occurs when CD4 counts drop below 200 cells/mm³. The gastrointestinal (GI) tract is the most common site of extracutaneous involvement, seen in approximately 40% of patients at the time of diagnosis [1]. It can affect any part of the gut, from the mouth to the anus, often presenting as hemorrhagic nodules or polyps. 2. **Why other options are incorrect:** * **Non-Hodgkin's Lymphoma (NHL):** While NHL is also an AIDS-defining illness, it is a malignancy of lymphoid tissue, not a vascular tumor caused by HHV-8 [1]. * **Fungal infection:** These are opportunistic infections (e.g., Candidiasis, Cryptococcosis) but do not cause neoplastic transformations like KS [1]. * **Keratoacanthoma:** This is a low-grade skin tumor (often considered a variant of squamous cell carcinoma) originating from hair follicles; it has no association with HHV-8 or systemic gut involvement. **High-Yield Clinical Pearls for NEET-PG:** * **HHV-8** is the definitive etiological agent for all four types of KS (Classic, Endemic/African, Iatrogenic, and Epidemic/AIDS-related). * **GI Involvement:** Often asymptomatic but can cause occult bleeding, protein-losing enteropathy, or obstruction [1]. * **Endoscopy:** Lesions appear as characteristic "red, maculopapular" or "violaceous" submucosal nodules [1]. * **Biopsy:** Histology shows **spindle-shaped cells**, slit-like vascular spaces, and extravasated RBCs. * **Treatment:** Highly Active Antiretroviral Therapy (HAART) is the first-line management for HIV-associated KS.
Explanation: ### Explanation The clinical presentation of a cough and fever lasting more than two weeks is highly suggestive of pulmonary tuberculosis (PTB) [1]. In the current diagnostic algorithm (NTEP guidelines), **CBNAAT (Cartridge Based Nucleic Acid Amplification Test)**, such as GeneXpert, is the preferred initial diagnostic tool, especially when initial smears are negative or in high-suspicion cases. **Why CBNAAT is the correct choice:** CBNAAT has a much higher sensitivity than sputum smear microscopy. It can detect *Mycobacterium tuberculosis* even in paucibacillary samples (low bacterial load) and simultaneously provides information on **Rifampicin resistance**, which is crucial for determining the treatment regimen. In a patient with negative smears and a normal X-ray but high clinical suspicion, a molecular test is mandatory to confirm the diagnosis. **Why other options are incorrect:** * **A. Repeat chest X-ray:** A repeat X-ray is unlikely to show new changes in a short interval and does not provide a microbiological diagnosis. * **C. Start ATT:** Empirical treatment is discouraged. Under modern guidelines, every effort must be made to achieve a microbiological or molecular diagnosis before starting ATT to prevent drug resistance and misdiagnosis [2]. * **D. Repeat sputum examination:** Sputum microscopy has low sensitivity. If the first smear is negative, repeating the same low-sensitivity test is less efficient than moving to a molecular method like CBNAAT [1]. **High-Yield Clinical Pearls for NEET-PG:** * **CBNAAT** is now the first-line investigation for TB diagnosis in India under the National Tuberculosis Elimination Program (NTEP). * **Sensitivity:** CBNAAT > Sputum Culture > Sputum Smear. * **Gold Standard:** Culture (Liquid culture like MGIT) remains the gold standard for diagnosis and comprehensive drug susceptibility testing, but CBNAAT is the "initial" test of choice due to its speed (results in <2 hours). * For **extra-pulmonary TB**, CBNAAT is also the preferred initial test for samples like lymph node aspirates and CSF.
Explanation: Explanation: Brucellosis is a zoonotic infection caused by intracellular gram-negative coccobacilli. The primary goal of treatment is to use drugs with high intracellular penetration to prevent relapse and chronic complications like osteomyelitis or endocarditis. Why Azithromycin is the correct answer: Azithromycin (a macrolide) is **not** part of the standard WHO-recommended regimen for brucellosis [1]. While it has some *in vitro* activity, clinical studies have shown it to be inferior to standard regimens, leading to unacceptably high failure and relapse rates. Analysis of other options: * **Doxycycline:** This is the **backbone** of brucellosis therapy. Due to high relapse rates with monotherapy, it must always be used in combination with another agent. * **Rifampicin:** Often combined with Doxycycline (the "Doxy-Rifa" regimen) for 6 weeks. It is the preferred oral combination for uncomplicated cases. * **Streptomycin/Gentamicin:** Aminoglycosides are highly effective against *Brucella*. The "Doxy-Strep" regimen (Doxycycline for 45 days + Streptomycin for 14 days) is considered the "Gold Standard" with the lowest relapse rates [1]. High-Yield Clinical Pearls for NEET-PG: * **Standard Regimen (WHO):** Doxycycline (100 mg BD for 6 weeks) + Rifampicin (600–900 mg OD for 6 weeks) [1]. * **Alternative (Gold Standard):** Doxycycline (6 weeks) + Streptomycin (1g IM daily for 2 weeks) [1]. * **Neurobrucellosis/Endocarditis:** Requires triple therapy (Doxycycline + Rifampicin + Trimethoprim-Sulfamethoxazole/Ceftriaxone) for several months [1]. * **Pregnancy/Children (<8 years):** Rifampicin + Trimethoprim-Sulfamethoxazole (TMP-SMX) is the preferred combination to avoid tetracycline-induced tooth staining [1].
Explanation: **Explanation:** **Tetanus** is caused by the neurotoxin **tetanospasmin** produced by *Clostridium tetani* [1]. The toxin blocks the release of inhibitory neurotransmitters (GABA and glycine) from Renshaw cells in the spinal cord, leading to unopposed muscle contraction and spasms. **Why Masseter Spasm is correct:** **Trismus**, or "lockjaw" due to **masseter spasm**, is the most characteristic and often the earliest presenting sign of generalized tetanus. The masseter muscles are highly sensitive to the toxin, leading to the classic facial expression known as **risus sardonicus** (a fixed, sardonic grin). **Analysis of Incorrect Options:** * **Option A:** The incubation period for tetanus typically ranges from **3 to 21 days** (average 8 days). A shorter incubation period is generally associated with more severe disease and a poorer prognosis. * **Option C:** Isolation of *C. tetani* from a wound is **not required** for diagnosis. The organism is recovered in only about 33% of cases, and its presence does not prove tetanus (as it can be present without toxin production). The diagnosis is strictly **clinical**. * **Option D:** CSF examination in tetanus is typically **normal**. Elevated protein is more characteristic of conditions like Guillain-Barré Syndrome, which is a common differential for acute weakness, not spasticity. **NEET-PG High-Yield Pearls:** * **Spatula Test:** Touching the oropharynx with a spatula triggers a reflex contraction of the jaw (positive result) instead of a gag reflex; it has high specificity for tetanus. * **Autonomic Instability:** This is the leading cause of death in modern intensive care settings (labile BP, tachycardia, hyperpyrexia). * **Management:** Neutralize unbound toxin with **Human Tetanus Immune Globulin (HTIG)** and use **Metronidazole** as the preferred antibiotic.
Explanation: **Explanation:** **1. Why Option B is Correct:** A **Rasmussen aneurysm** is a rare but life-threatening complication of pulmonary tuberculosis. It occurs when a tuberculous cavity erodes into an adjacent pulmonary artery branch, leading to weakening of the vessel wall and subsequent aneurysmal dilatation. If this aneurysm ruptures, it results in massive, often fatal, hemoptysis. **2. Why the Other Options are Incorrect:** * **Option A:** Cavitary lesions are a hallmark of **active, secondary (post-primary) tuberculosis** [3]. They represent areas of intense caseous necrosis and high bacterial load, making the patient highly infectious. * **Option C:** Tuberculosis typically presents with a **low-grade evening rise of temperature** [2]. High-grade fever is uncommon unless there is associated miliary spread or secondary bacterial pneumonia. * **Option D:** Tubercular bronchiectasis (traction bronchiectasis) typically occurs in the **upper lobes**, following the distribution of secondary TB. Lower lobe involvement is more characteristic of cystic fibrosis or idiopathic bronchiectasis. **Clinical Pearls for NEET-PG:** * **Ghon Complex:** Consists of a parenchymal lesion (usually subpleural) + draining lymphangitis + hilar lymphadenopathy [4]. * **Ranke Complex:** A healed, calcified Ghon complex [4]. * **Simon’s Focus:** Secondary TB seeding at the lung apices. * **Most common site for TB spine (Pott’s spine):** Lower thoracic and upper lumbar vertebrae [1]. * **Gold Standard Diagnosis:** Sputum culture (MGIT/LJ Medium), though CBNAAT (GeneXpert) is the initial investigation of choice under NTEP guidelines.
Principles of Antimicrobial Therapy
Practice Questions
Fever of Unknown Origin
Practice Questions
HIV/AIDS and Related Infections
Practice Questions
Tuberculosis and Mycobacterial Diseases
Practice Questions
Tropical and Parasitic Infections
Practice Questions
Viral Infections (Hepatitis, Herpes, etc.)
Practice Questions
Healthcare-Associated Infections
Practice Questions
Fungal Infections
Practice Questions
Sepsis and Septic Shock
Practice Questions
Infection in Immunocompromised Hosts
Practice Questions
Emerging and Re-emerging Infections
Practice Questions
Antimicrobial Resistance
Practice Questions
Vaccination Principles
Practice Questions
Get full access to all questions, explanations, and performance tracking.
Start For Free