Which of the following is not a component of qSOFA score?
Which of the following is seen in all kinds of shock?
Which of the following is the class of shock where urine output is first decreased?
A 20-year-old female diagnosed with septic shock presents with a blood pressure of 58/30 mmHg. After receiving 3 liters of crystalloid fluid, her mean arterial pressure (MAP) remains 58 mmHg. What is the next best step in management?
A 56-year-old diabetic male presents with a complicated urinary tract infection and is found to be hypotensive. His blood pressure does not respond to intravenous fluids. Which of the following is the most appropriate antibiotic to manage his condition?
In a septic shock patient who remains hypotensive despite adequate fluid resuscitation, what would be the next drug of choice?
A 30-year-old patient on respiratory support has a SpO2 of 80% and bilateral crepitations in all lung fields. CXR shows presence of:

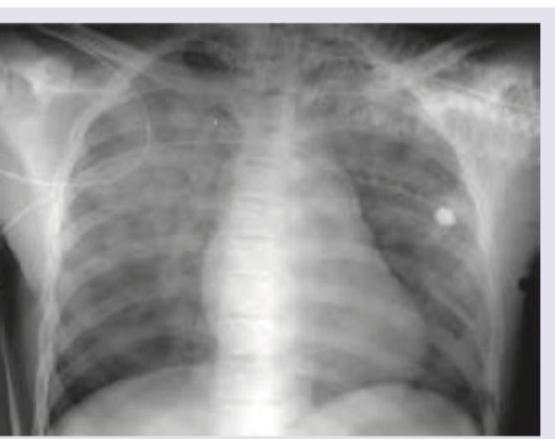
A patient in ICU was given blood transfusion. 3 hours later SpO2 is reduced to 75% with respiratory difficulty. CVP is 15 cm water and PCWP is 25 mm Hg . CXR is shown below. What is the diagnosis?

Which of the following are components of SOFA scoring system? I. PaO_2 / FiO_2 ratio II. Mean arterial pressure III. Glasgow coma scale IV. Prothrombin Time with INR Select the correct answer using the code given below :
The best measure of organ perfusion and the best monitor of adequacy of shock therapy is
Explanation: ***LDH-Lactate dehydrogenase*** - The **quick Sequential Organ Failure Assessment (qSOFA) score** is a rapid bedside tool used to identify adult patients with suspected infection who are at high risk for poor outcomes, but it does not include laboratory markers like LDH. - qSOFA only includes three simple, readily available clinical criteria (respiratory rate, mental status, and systolic BP), therefore **LDH** is not a component. *Respiratory rate >22* - A **respiratory rate of 22 breaths per minute (or higher)** is one of the three components of the qSOFA score (a score of 1 point is given if RR ≥ 22) [1]. - This parameter indicates a potential compensatory mechanism for **metabolic acidosis** or severe underlying respiratory compromise due to infection. *Altered mental status* - **Altered mental status** (Glasgow Coma Scale score < 15 or any change from baseline) is a key component of the qSOFA score (1 point) [1]. - This reflects neurological **end-organ dysfunction** secondary to systemic inflammation and hypoperfusion (sepsis-associated encephalopathy). *Systolic blood pressure < 100 mmHg* - A systolic blood pressure (SBP) **less than 100 mmHg** is the third component of the qSOFA score (1 point) [1]. - This criterion indicates **hemodynamic compromise** and potential **shock**, reflecting severe circulatory dysfunction associated with sepsis.
Explanation: ***Reduced tissue perfusion*** - **Shock** is fundamentally defined as a state of cellular and tissue hypoxia due to reduced oxygen delivery, which results from inadequate or ineffective **tissue perfusion** [1]. - In all forms (hypovolemic, cardiogenic, distributive, and obstructive), the core pathophysiological defect is the inability to meet the metabolic demands of the tissues, hence **reduced tissue perfusion** is a universal finding [1], [2]. *Increased peripheral resistance*- This finding is characteristic of **compensatory shock** (e.g., early hypovolemic or cardiogenic) as part of the sympathetic response to maintain mean arterial pressure. - It is *not* seen in **distributive shock** (like septic or anaphylactic shock), which is characterized by profound **vasodilation** and thus marked *decreased* peripheral resistance [2]. *Decreased respiratory rate*- A decreased respiratory rate is *not* characteristic of shock; rather, **metabolic acidosis** (due to anaerobic metabolism) typically stimulates the respiratory center, leading to **compensatory tachypnea** (increased rate). - A decreased respiratory rate might only be seen if shock is severe and complicated by **CNS depression** from drugs or profound decompensation. *Cold clammy skin*- **Cold, clammy skin** is the classic presentation of **hypoperfusion** combined with sympathetic-driven peripheral **vasoconstriction**, typically seen in *hypovolemic* and *cardiogenic* shock. - In contrast, **distributive shock** (especially **septic shock**) presents with **warm, flushed skin** due to widespread peripheral vasodilation and increased cardiac output (hyperdynamic state).
Explanation: Detailed assessment of shock states involves monitoring vital signs and organ perfusion metrics like urine output. In **moderate shock** (Class II hemorrhagic shock, ~15-30% blood loss), strong **sympathetic stimulation** leads to significant renal vasoconstriction to preserve perfusion to vital organs [1]. This causes a substantial reduction in glomerular filtration rate (**GFR**), resulting in the **first clinically significant decrease** in urine output (typically 20-30 mL/hr or **oliguria**) [1]. This is the earliest stage where urine output becomes measurably decreased. *Compensated/Mild* - In **compensated or mild shock** (Class I, <15% blood loss), the body's compensatory mechanisms effectively maintain adequate perfusion pressure to the kidneys. - Urine output remains **normal** (>30 mL/hr) as the minimal volume deficit does not yet necessitate severe renal vasoconstriction. - Baroreceptor reflexes and mild tachycardia are sufficient to maintain renal perfusion. *Severe* - In **severe shock** (Class III-IV, >30% blood loss), there is dramatic reduction in cardiac output and marked hypotension, leading to profound oliguria or complete **anuria**. - While urine output is lowest here, the **initial measurable decrease** occurs earlier in moderate shock (Class II), before progression to cardiovascular collapse. - By this stage, multiple organ dysfunction is evident.
Explanation: ***Start noradrenaline*** - **Noradrenaline (Norepinephrine)** is the preferred first-line vasopressor in **septic shock** to achieve a target Mean Arterial Pressure (MAP) of $\ge 65$ mmHg, especially when fluid resuscitation (3L of crystalloids given) is inadequate [1]. - It primarily acts as an $\alpha$-agonist, causing significant **vasoconstriction** which increases systemic vascular resistance (SVR) and improves blood pressure. ***Start dopamine*** - Dopamine is considered a second-line agent due to its potential to cause more **tachyarrhythmias** compared to noradrenaline. - It is often reserved for patients with a low risk of tachyarrhythmias or relative **bradycardia** in addition to hypotension. ***Repeat crystalloid fluid*** - The current fluid challenge (3L) is substantial; administering more fluid without a pressor in refractory shock can lead to detrimental effects like **pulmonary edema** and fluid overload, which has diminishing returns on MAP [1]. - The patient's persistent hypotension (MAP 58 mmHg) despite significant fluid resuscitation indicates inadequate peripheral vascular tone (**vasoplegia**), requiring immediate vasopressor support [1]. ***Start vasopressin*** - **Vasopressin** is generally added as a second-line agent to noradrenaline (**vasopressor weaning**) to potentially reduce the dose of noradrenaline needed. - It is not recommended as the initial monotherapy for hypotension in septic shock because it lacks the potent $\alpha$-agonist effect of noradrenaline.
Explanation: ***Meropenem*** - This patient has **septic shock** secondary to a complicated UTI (hypotension unresponsive to fluids), requiring prompt, broad-spectrum coverage against probable **Gram-negative bacilli** and potential extended-spectrum beta-lactamase (ESBL) producers, common in diabetic patients with complicated UTIs [1]. - **Meropenem**, a carbapenem, provides excellent empirical coverage for **multi-drug resistant (MDR) organisms** and is a first-line agent for critically ill patients with suspected septic shock of unknown or complicated origin [1]. ***Amoxicillin-Clavulanate*** - This combination (a moderate-spectrum penicillin-beta-lactamase inhibitor) lacks reliable coverage against common hospital-acquired or complicatd UTI pathogens, such as **_Pseudomonas aeruginosa_** or ESBL-producing Enterobacteriaceae [1]. - It is unsuitable for treating septic shock due to an inadequate spectrum and potential for **resistance** in this clinical setting [1]. ***Nitrofurantoin*** - This drug is concentrated in the urine and is only suitable for treating **uncomplicated cystitis** as it does not achieve adequate systemic levels for treating pyelonephritis, deep-seated infection, or **urosepsis**. - It has a narrow spectrum limited primarily to **Gram-positive cocci** and susceptible **_E. coli_** and is contraindicated in systemic infections or septic shock. ***Ceftriaxone*** - Ceftriaxone (a third-generation cephalosporin) is often used for complicated UTIs (pyelonephritis) but is generally not adequate as **monotherapy** for treating **septic shock** in a high-risk (diabetic) patient [2]. - There is a high risk of resistance, including from ESBL-producers, which necessitates broader coverage, like a **carbapenem**, in critically ill patients before susceptibility results are known.
Explanation: ***Noradrenaline*** - **Noradrenaline (Norepinephrine)** is the preferred first-line vasopressor for septic shock, recommended to target a mean arterial pressure (MAP) of at least **65 mmHg** [1]. - It is the vasoconstrictor with the most potent **alpha-1 adrenergic agonist effects**, effectively raising systemic vascular resistance (SVR) and blood pressure while having less tachycardia compared to adrenaline. ***Adrenaline*** - **Adrenaline (Epinephrine)** is typically a second-line agent, added when noradrenaline alone is insufficient, due to its mixed alpha and potent **beta-1 effects** (which can increase heart rate and the risk of arrhythmias). - Its use as a first-line agent is generally reserved for situations like **anaphylactic shock** or severe cardiogenic shock, not routine septic shock management. ***Dopamine*** - **Dopamine** is no longer recommended as the primary vasopressor in septic shock because it is associated with a higher incidence of **tachyarrhythmias** compared to noradrenaline. - It may be considered only in highly selected patients with a low risk of tachyarrhythmias and **absolute or relative bradycardia**. ***Hydrocortisone*** - **Hydrocortisone** (low-dose corticosteroids) is indicated only if the patient remains hypotensive despite adequate fluid resuscitation and **high-dose vasopressor therapy** (e.g., noradrenaline and likely a second agent like vasopressin or adrenaline). - This treatment addresses potential **critical illness-related corticosteroid insufficiency (CIRCI)**, but it is not the immediate next step after initial fluid failure.
Explanation: ***Noncardiogenic pulmonary edema*** - The chest X-ray shows **bilateral diffuse infiltrates**, common in **acute respiratory distress syndrome (ARDS)**, a severe form of noncardiogenic pulmonary edema. - The combination of **severe hypoxemia (SpO2 80%)** and bilateral crepitations in a patient needing respiratory support without clear cardiac etiology points toward **ARDS**. *Cardiogenic pulmonary edema* - This typically presents with signs of **heart failure**, such as an **enlarged cardiac silhouette**, **cephalization of pulmonary vessels**, and sometimes **pleural effusions** on CXR. - The absence of **cardiac symptoms** or **cardiomegaly** in this case makes cardiogenic cause less likely. *Neurogenic pulmonary edema* - While it is a form of noncardiogenic pulmonary edema, it occurs secondary to an acute **central nervous system injury**, such as trauma or hemorrhage. - No history of **neurological insult** is provided in this clinical presentation. *Chemical pneumonitis* - This condition results from the **inhalation of toxic substances**, leading to inflammation of the lung parenchyma. - The clinical context does not provide information about **chemical exposure** or **aspiration history**.
Explanation: ***Transfusion associated circulatory overload*** - The combination of **respiratory difficulty**, **reduced SpO2**, **elevated CVP (15 cm water)**, and **markedly elevated PCWP (25 mm Hg)** after a blood transfusion strongly indicates hydrostatic pulmonary edema due to fluid overload. - The CXR image showing **diffuse bilateral infiltrates** (pulmonary edema) further supports this diagnosis, especially with the elevated cardiac filling pressures. *Tension pneumothorax* - A tension pneumothorax would present with **unilateral lung collapse**, **tracheal deviation**, and potentially **hypotension**, none of which are explicitly described or suggested by the CXR. - While it causes respiratory distress, the hemodynamic parameters (CVP and PCWP) and bilateral CXR findings are inconsistent with a pneumothorax. *Transfusion related acute lung injury* - TRALI also causes acute respiratory distress and hypoxemia after transfusion, but it is characterized by **non-cardiogenic pulmonary edema** with a **normal or low CVP** and **normal or mildly elevated PCWP** (<18 mm Hg), differentiating it from TACO. - The elevated CVP and PCWP strongly point away from TRALI, which is immune-mediated and involves capillary leakage. *Mismatched blood transfusion* - An acute hemolytic transfusion reaction (mismatched blood transfusion) typically presents with symptoms such as **fever, chills, flank pain, hemoglobinuria**, and potentially **DIC** or **renal failure**. - While it's a serious transfusion reaction, the primary clinical presentation and elevated cardiac filling pressures are not characteristic of an acute hemolytic reaction.
Explanation: ***I, III and IV*** - The **Sequential Organ Failure Assessment (SOFA) score** evaluates organ dysfunction based on six systems: respiration, coagulation, liver, cardiovascular, central nervous system, and renal. - **PaO2/FiO2 ratio** assesses respiratory function, **Glasgow Coma Scale (GCS)** assesses central nervous system function [1], [3], and **Prothrombin Time with INR** assesses coagulation function, all of which are included in the SOFA score calculation. *I, II and IV* - This option incorrectly includes **Mean Arterial Pressure** as a primary component for calculating the cardiovascular SOFA score, though it is indirectly considered when evaluating the use of vasopressors [2]. - The SOFA cardiovascular component primarily relies on **vasopressor dosage** required to maintain blood pressure, rather than absolute mean arterial pressure alone. *II, III and IV* - This option omits the **PaO2/FiO2 ratio**, which is a crucial parameter for assessing respiratory organ dysfunction within the SOFA scoring system. - It incorrectly focuses on **Mean Arterial Pressure** as a direct component instead of the vasopressor requirement. *I, II and III* - This choice omits **Prothrombin Time (PT) with INR**, which is a vital indicator for assessing the **coagulation system** within the SOFA score. - It incorrectly includes **Mean Arterial Pressure** as a direct, standalone component rather than vasopressor support for the cardiovascular system.
Explanation: ***urine output*** - **Urine output** is a direct and sensitive indicator of **renal blood flow** and, consequently, overall organ perfusion [1]. Adequate urine production (typically >0.5 mL/kg/hr) signifies that the kidneys are being sufficiently perfused, which generally correlates with adequate perfusion of other vital organs. - In the context of shock, improved urine output following therapy indicates effective restoration of **circulating blood volume** and microcirculation, making it an excellent monitor for treatment adequacy. *restoring blood pressure/pulse vital parameters* - While restoring **blood pressure** and **pulse** is a critical goal in shock management, these parameters alone do not always reflect true tissue perfusion [1]. A patient can have normalized blood pressure due to **vasoconstriction** while still experiencing inadequate microcirculatory flow and cellular hypoxia. - These vital signs are systemic indicators, and while essential, they don't provide the same granular insight into **organ-level perfusion** as urine output. *central venous pressure* - **Central venous pressure (CVP)** primarily reflects the **right heart's filling pressure** and overall intravascular volume status [1]. While CVP helps guide fluid resuscitation, it is not a direct measure of organ perfusion. - CVP can be influenced by various factors, including **cardiac function** and **intrathoracic pressure**, and a "normal" CVP does not guarantee adequate perfusion to all organs [1]. *pulmonary wedge pressure* - **Pulmonary wedge pressure (PWP)**, also known as pulmonary artery occlusion pressure, reflects the **left atrial pressure** and serves as an indicator of left ventricular preload [1]. - While PWP is useful in assessing **cardiac function** and guiding fluid management in specific types of shock [1] (e.g., cardiogenic shock), it is not a primary measure of global organ perfusion or a universal monitor for adequacy of shock therapy.
Shock Syndromes and Management
Practice Questions
Acute Respiratory Distress Syndrome
Practice Questions
Mechanical Ventilation Principles
Practice Questions
Hemodynamic Monitoring
Practice Questions
Nutrition in Critical Illness
Practice Questions
Sedation and Analgesia in ICU
Practice Questions
Multi-organ Dysfunction Syndrome
Practice Questions
Acid-Base and Electrolyte Disturbances
Practice Questions
Toxicologic Emergencies
Practice Questions
Neurological Emergencies in ICU
Practice Questions
Renal Replacement Therapy
Practice Questions
End-of-Life Care in ICU
Practice Questions
Get full access to all questions, explanations, and performance tracking.
Start For Free