In a very tall patient with arm span > height, the thumb projects beyond palm when flexed. This sign is known as:

What is the probable diagnosis for shown below the image?

The image shows presence of:

All are true about the clinical sign elicited except:

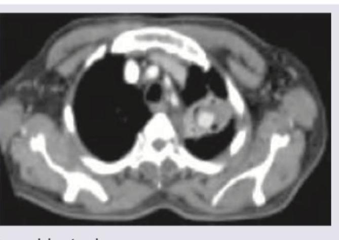
A 43-year-old diabetic male presents with cough, fever, weight loss, with loss of appetite since 2 months. CT scan shows:

Which of the following statements is correct about the test being performed on the patient? (AIIMS May 2016)

Which one of the following is implicated in the etiology of these adhesions around the liver?

A 68-year-old postoperative patient who has undergone thyroidectomy presents with muscle cramps. ECG shows?
Vibration white finger refers to :
Consider the following statements regarding Plummer-Vinson syndrome : I. Findings include cervical oesophageal web, iron deficiency anaemia and dysphagia. II. It is a rare disease, mainly affecting middle-aged women. III. There is predisposition to postcricoid, cervical oesophageal cancer. IV. Treatment is usually surgical. Which of the statements given above are correct?
Explanation: ***Thumb sign*** - The **thumb sign** (also known as the **Steinberg sign**) is present when the entire distal phalanx of the thumb projects beyond the ulnar border of the hand when the thumb is maximally adducted and the fingers are flexed over it. - This sign is indicative of **arachnodactyly**, often seen in conditions like **Marfan syndrome**, due to increased length of the thumb. *Arachnodactyly* - **Arachnodactyly** refers to abnormally long and slender fingers and toes, sometimes described as "spider fingers." - While the thumb sign is an indicator of arachnodactyly, arachnodactyly itself is a physical characteristic, not the name of this specific sign. *Steinberg sign* - The **Steinberg sign** is actually another name for the **thumb sign**, but the question asks for "This sign is known as," implying a primary recognized name. - While technically correct, "Thumb sign" is generally used interchangeably or as the more descriptive term for this specific maneuver. *Wrist sign* - The **wrist sign** (also known as the **Ghent sign** or **Walker-Murdoch sign**) involves overlapping the thumb and fifth finger around the contralateral wrist. - If the thumb and fifth finger overlap, it indicates increased wrist circumference relative to the patient's size, commonly associated with the long bone length in conditions like **Marfan syndrome**.
Explanation: **_Silver-beaten skull_** - The image displays a "beaten copper" or "silver-beaten" appearance of the skull, characterized by diffuse **lucencies and sclerotic changes** that resemble gyri and sulci impressions due to increased intracranial pressure. - This finding is often associated with conditions causing **chronic increased intracranial pressure** in children with open sutures. *Multiple myeloma* - Multiple myeloma typically presents with widespread, discrete, well-defined **lytic lesions** ("punched-out" lesions) in the skull, unlike the diffuse impression pattern seen here. - It is a plasma cell malignancy and usually affects older adults. *Histiocytosis-X* - Histiocytosis-X (now Langerhans cell histiocytosis) can cause lytic skull lesions, which are usually solitary or multiple, but often have a characteristic **beveled edge** or "hole within a hole" appearance, not the diffuse gyral impressions. - These lesions are typically more destructive and erosive. *Hydrocephalus* - While hydrocephalus causes increased intracranial pressure, leading to the "silver-beaten" appearance in children, hydrocephalus itself refers to the **accumulation of CSF**. - The "silver-beaten skull" is a radiological sign of chronic increased intracranial pressure, rather than the diagnosis of hydrocephalus itself, which is the underlying cause.
Explanation: ***Geographical tongue*** - The image exhibits multifocal, irregularly shaped areas of **erythema** (redness) on the dorsal surface of the tongue, surrounded by a distinct **white or yellowish border**. This classic presentation is characteristic of geographical tongue, also known as benign migratory glossitis. - The alternating areas of **atrophied filiform papillae** (red areas) and normal or hyperkeratotic papillae (white borders) contribute to its map-like appearance. *Leukoplakia* - Leukoplakia characteristically presents as **white patches or plaques** on the mucous membranes that cannot be scraped off. - It does not typically show the distinct red and white migratory pattern seen in the image. *Black hairy tongue* - Black hairy tongue is characterized by the **elongation and discoloration of the filiform papillae**, leading to a dark, furry appearance on the dorsal surface of the tongue. - The image clearly shows a red and white pattern, not a dark, hairy texture. *Median rhomboid glossitis* - Median rhomboid glossitis usually presents as a **red, rhomboid-shaped, depapillated area** in the midline of the dorsal surface of the tongue, anterior to the circumvallate papillae. - Unlike the image, it does not display the migratory, irregular shapes and defined white borders typical of geographical tongue.
Explanation: The image displays the puddle sign, a physical examination technique used to detect ascites. The patient is positioned on all fours, and a stethoscope is placed over the dependent part of the abdomen while the examiner lightly percusses the abdomen from a higher point. The sound heard through the stethoscope changes from a dull thud (over fluid) to a clearer resonance (over gas-filled bowel) as the fluid level is crossed. This question asks to identify the incorrect statement about the puddle sign. ***Is as sensitive as USG for detection of ascites*** - The **puddle sign** is a clinical bedside test for ascites, but its sensitivity is lower than that of **ultrasonography (USG)**. - USG can detect as little as 50-100 mL of ascitic fluid, whereas the puddle sign typically requires a larger volume. *Used for detection of as little as 120 ml of fluid* - While traditionally taught that the puddle sign can detect small amounts, studies show it is less sensitive than imagined and often requires more fluid than 120 ml for reliable detection. - For detecting 120 mL of fluid, **ultrasonography** would be a more sensitive and reliable method than the puddle sign. *Sign is false positive in massive splenomegaly* - The **puddle sign** relies on the movement of fluid. In cases of **massive splenomegaly**, the spleen can displace bowel loops and produce an area of dullness that mimics fluid accumulation, potentially leading to a false positive. - The large spleen effectively acts like a "puddle" itself, preventing the normal shift of bowel sounds. *Can be elicited by ausculto-percussion method* - The description of the puddle sign involves listening with a stethoscope while percussing, which is precisely the **ausculto-percussion** method. - This technique helps to identify the shift in dullness or resonance over fluid-filled areas.
Explanation: ***_Cavity_*** - The CT image clearly shows a complex lesion with a **thick, irregular wall** and a **gas-fluid level** within the lung parenchyma, which is characteristic of a cavity. - The patient's symptoms of **cough, fever, and weight loss over two months**, especially in a diabetic individual, are highly suggestive of a *chronic cavitating pulmonary process*, such as **pulmonary tuberculosis** or a **necrotizing pneumonia/abscess**. *Bronchiectasis* - Bronchiectasis is characterized by **irreversible dilation of the bronchi**, often seen as "tram tracks" or "signet ring" signs on CT, which are not the predominant finding here. - While patients with bronchiectasis can have cough and recurrent infections, the distinct **cavitation** seen on the image is not a primary feature of bronchiectasis itself. *Chronic bronchitis* - Chronic bronchitis is a clinical diagnosis defined by **chronic productive cough for at least three months a year** for two consecutive years, and is primarily a disease of the airways, not typically associated with focal cavitary lesions on CT scans. - The CT findings of a distinct cavitary lesion are not consistent with the imaging features of chronic bronchitis, which usually show **bronchial wall thickening** and **mucous plugging**. *Consolidation with synpneumonic effusion* - **Consolidation** refers to lung tissue filled with fluid or exudate, appearing as opacification, and **synpneumonic effusion** is pleural fluid accompanying pneumonia. - While these can cause cough and fever, the striking feature in the image is the **central lucency with a distinct wall** indicative of a cavity, rather than homogeneous consolidation or a simple pleural effusion.
Explanation: ***Root value is L2, L3, L4*** - The image depicts the elicitation of the **patellar reflex**, also known as the **knee jerk reflex**. - This reflex primarily tests the integrity of the **femoral nerve** and the spinal cord segments **L2, L3, and L4**, which are the main nerve roots involved in the patellar reflex arc. *Reflex is always brisk in case of motor neuron disease* - In **upper motor neuron (UMN) lesions**, reflexes are typically **brisk** or hyperactive due to loss of inhibitory control. - However, in **lower motor neuron (LMN) lesions** (which can occur in certain forms of motor neuron disease like progressive muscular atrophy), reflexes are **diminished** or absent. *The examiner is doing the test wrongly* - The examiner appears to be performing the patellar reflex test correctly, striking the **patellar tendon** with a reflex hammer. - The patient's leg is positioned to allow for a free swing, which is ideal for observing the reflex. *Reflex is always absent in case of peripheral nerve disease* - **Peripheral nerve disease** (neuropathy) often leads to **diminished or absent reflexes** because it affects the afferent or efferent limbs of the reflex arc. - However, the severity varies, and some neuropathies may cause only mild reduction, and early stages might not show complete absence.
Explanation: ***Chlamydial infection*** - The image shows **Fitz-Hugh-Curtis syndrome**, characterized by **violin-string adhesions** visible between the liver capsule and the parietal peritoneum. - This condition is a perihepatitis that occurs as a complication of **pelvic inflammatory disease (PID)**, most commonly caused by **Chlamydia trachomatis** or Neisseria gonorrhoeae. *Perforation of dermoid cyst* - A perforated dermoid cyst (mature cystic teratoma) typically causes a **chemical peritonitis** due to the leakage of sebaceous material, hair, and other contents. - While it can lead to adhesions, these are usually diffuse and not specifically the **violin-string type perihepatic adhesions** characteristic of Fitz-Hugh-Curtis syndrome. *Pseudomyxoma peritonei* - Pseudomyxoma peritonei is characterized by the accumulation of **gelatinous ascites** and mucin-producing tumor cells in the peritoneal cavity, often originating from a ruptured appendiceal mucinous neoplasm. - It results in widespread mucinous deposits and adhesions, which are distinct from the fibrous, violin-string adhesions around the liver seen in the image. *Liver metastases in ovarian cancer* - Liver metastases from ovarian cancer would appear as **nodular lesions within the liver parenchyma** or on its surface, not as fibrous adhesions between the liver and abdominal wall. - While ovarian cancer can cause ascites and peritoneal carcinomatosis, the presentation of **perihepatic adhesions** in the image is not typical for direct metastatic spread to the liver surface in this manner.
Explanation: ***Prolonged QT interval*** - A patient who has undergone thyroidectomy and presents with muscle cramps likely has **hypocalcemia** due to inadvertent parathyroid gland removal. - Hypocalcemia is well-known to cause a **prolonged QT interval** on EKG, increasing the risk of arrhythmias. *Short QT interval* - A short QT interval is typically associated with **hypercalcemia** or genetic disorders. - This patient's presentation of muscle cramps is inconsistent with hypercalcemia. *ST elevation* - ST elevation is a hallmark of **acute myocardial infarction** or **pericarditis**. - This finding is unrelated to hypocalcemia or the patient's immediate postoperative and symptoms. *ST depression* - ST depression often indicates **myocardial ischemia** or **digoxin effect**. - It is not a characteristic ECG change associated with hypocalcemia or muscle cramps.
Explanation: ***Raynaud's syndrome*** - **Vibration White Finger** is a form of secondary Raynaud's phenomenon, specifically caused by occupational exposure to high levels of **vibration**. [2] - It is characterized by **vasoconstriction** of the digital arteries, leading to episodic **finger blanching**, numbness, and tingling, often triggered by cold or stress. [2] *Acrocyanosis* - This condition involves persistent, painless **cyanosis** of the hands and feet, particularly in cold weather. - Unlike Raynaud's, acrocyanosis does not typically involve a triphasic color change (white, blue, red) and is generally **benign**. *Buerger's disease* - Also known as **thromboangiitis obliterans**, this is an inflammatory disease of small and medium-sized arteries and veins, mainly affecting the **limbs**. - It is strongly associated with **tobacco use** and can lead to gangrene and amputation, but its primary presentation is not vibration-induced. *Takayasu disease* - This is a form of **large-vessel vasculitis** primarily affecting the aorta and its major branches. [1] - It can lead to absent pulses, discrepancies in blood pressure between limbs, and systemic symptoms, but it is not directly related to vibration-induced digital vasoconstriction.
Explanation: **I, II and III** - **Plummer-Vinson syndrome** is characterized by the triad of **dysphagia**, **iron deficiency anemia**, and an **esophageal web**, typically in the **cervical esophagus**. - It predominantly affects **middle-aged women** and is associated with an increased risk of **postcricoid esophageal cancer**. *I, II and IV* - While statements I and II are correct, statement IV is incorrect because the primary treatment for Plummer-Vinson syndrome is usually medical management of **iron deficiency** and endoscopic dilation of the web, not surgery. - Surgical intervention is generally reserved for complications or malignancy. *II, III and IV* - While statements II and III are correct, statement IV is incorrect as surgery is not the usual first-line treatment for Plummer-Vinson syndrome. - Statement I, which describes the characteristic findings of the syndrome, is also correct and is excluded from this option. *I, III and IV* - While statements I and III are correct, statement IV regarding surgical treatment is incorrect. - The syndrome is indeed rare and mainly affects middle-aged women, making statement II correct, which is excluded from this option.
Approach to Common Symptoms (Fever, Pain, Fatigue)
Practice Questions
Constitutional Symptoms and Their Differential Diagnosis
Practice Questions
Syncope and Presyncope
Practice Questions
Dizziness and Vertigo
Practice Questions
Dyspnea and Respiratory Distress
Practice Questions
Chest Pain Evaluation
Practice Questions
Abdominal Pain Assessment
Practice Questions
Headache Classification and Management
Practice Questions
Weight Loss and Cachexia
Practice Questions
Edema and Fluid Retention
Practice Questions
Get full access to all questions, explanations, and performance tracking.
Start For Free