Which of the following is not a potential etiology of peripheral cyanosis?
Which granulomatous condition is associated with hypercalcemia?
Haemoptysis is caused by which of the following?
A 55-year-old male presents with a history of hand swelling and shortness of breath. On examination, facial plethora and distended neck veins were noted. Which is the most probable structure involved to cause these symptoms?
The best investigation for the diagnosis of amyloidosis is:
Paroxysmal hypotension is seen in which of the following conditions?
Flapping tremor is seen in all except:
All are true about syncope except:
Digital clubbing is seen in all conditions except:
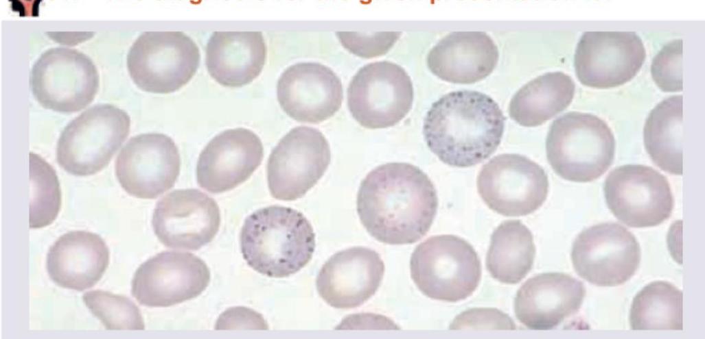
What is the diagnosis in this patient with abdominal pain?

Explanation: **Explanation:** The core concept in differentiating cyanosis is understanding the mechanism of oxygen delivery. **Peripheral cyanosis** occurs due to increased oxygen extraction by tissues when local blood flow is sluggish, despite normal arterial oxygen saturation ($SaO_2$). **Central cyanosis**, however, results from a decrease in arterial oxygen saturation or the presence of abnormal hemoglobin derivatives. **Why Methemoglobinemia is the correct answer:** Methemoglobinemia is a cause of **central cyanosis**. It occurs when the iron in hemoglobin is oxidized from the ferrous ($Fe^{2+}$) to the ferric ($Fe^{3+}$) state, which cannot bind oxygen [1]. This results in a "chocolate-colored" blood appearance and cyanosis that affects both the skin and mucous membranes (like the tongue) [1]. Because it is a systemic hematologic issue rather than a local circulatory one, it is classified as central. **Analysis of incorrect options:** * **Cold exposure:** Causes intense vasoconstriction and slowing of peripheral blood flow, leading to increased oxygen extraction and localized peripheral cyanosis [2]. * **Deep venous thrombosis (DVT):** Venous obstruction leads to blood stasis (Phlegmasia cerulea dolens). The resulting stagnation causes localized peripheral cyanosis in the affected limb. * **Peripheral vascular disease (PVD):** Arterial insufficiency reduces distal perfusion, leading to sluggish flow and peripheral cyanosis in the extremities. **High-Yield Clinical Pearls for NEET-PG:** * **The Tongue Test:** The most reliable clinical sign to differentiate the two is the tongue. Central cyanosis affects the tongue and mucous membranes; peripheral cyanosis spares them. * **Warmth:** Peripheral cyanosis is often associated with cold extremities, while central cyanosis may present with warm extremities. * **Methemoglobinemia Clue:** Suspect this in a patient with cyanosis and a "normal" $PaO_2$ on ABG but low $SaO_2$ on pulse oximetry (the "saturation gap"). Treatment is **Methylene Blue**.
Explanation: The correct answer is **Systemic Lupus Erythematosus (SLE)**. While granulomatous diseases are the classic causes of hypercalcemia, this question tests the ability to identify which of the listed conditions is **not** typically associated with granuloma formation, despite the potential for hypercalcemia. **Underlying Medical Concept:** In granulomatous diseases, activated macrophages within the granulomas express the enzyme **1-alpha-hydroxylase**. This enzyme converts 25-hydroxyvitamin D into **1,25-dihydroxyvitamin D (Calcitriol)**, the active form [2]. This extra-renal production occurs independently of PTH regulation, leading to increased intestinal calcium absorption and hypercalcemia [2]. **Analysis of Options:** * **Sarcoidosis (B):** The classic prototype of granulomatous hypercalcemia [1]. Up to 10% of patients develop hypercalcemia due to macrophage-driven calcitriol production [1][2]. * **Tuberculosis (A) & Berylliosis (C):** Both are chronic granulomatous infections/conditions. Like sarcoidosis, the epithelioid macrophages in these granulomas produce 1-alpha-hydroxylase, leading to hypercalcemia [2]. * **Systemic Lupus Erythematosus (D):** SLE is a systemic autoimmune disease characterized by immune-complex deposition (Type III hypersensitivity), **not granuloma formation**. While SLE can rarely cause hypercalcemia (usually via inflammatory cytokines or associated malignancy), it is **not** a granulomatous condition. **NEET-PG High-Yield Pearls:** * **Granulomatous causes of Hypercalcemia:** Sarcoidosis (most common), TB, Leprosy, Histoplasmosis, Coccidioidomycosis, and Berylliosis [2]. * **Lab Findings:** High Calcium, High Vitamin D3 (Calcitriol), and **Suppressed PTH** [2]. * **Treatment:** Glucocorticoids are the first-line treatment as they inhibit the 1-alpha-hydroxylase enzyme in macrophages. * **Differential:** Always rule out Primary Hyperparathyroidism (High PTH) and Malignancy (High PTHrP) in any case of hypercalcemia [2].
Explanation: **Explanation:** Haemoptysis (expectoration of blood from the lower respiratory tract) occurs when there is a disruption of the pulmonary or bronchial vasculature. While local pulmonary pathologies (like TB or Bronchiectasis) are common [1], **systemic coagulation defects** are significant systemic causes. **1. Why "All of the Above" is correct:** The underlying medical concept here is **Alveolar Hemorrhage** or mucosal bleeding secondary to systemic coagulopathy or thrombocytopenia. * **Leukaemia (Option A):** Acute leukaemias (especially AML) lead to severe **thrombocytopenia** due to bone marrow infiltration. Low platelet counts result in mucosal bleeding, including the bronchial mucosa, leading to haemoptysis. Additionally, leukaemic infiltration of the lungs or opportunistic infections in immunocompromised states can cause bleeding. * **Haemophilia (Option B):** Though rare as an isolated symptom, patients with Haemophilia (deficiency of Factor VIII or IX) have a profound secondary hemostatic defect. Any minor trauma or underlying lung infection in these patients can lead to significant, uncontrolled intrapulmonary hemorrhage. * **Anticoagulant Therapy (Option C):** Drugs like Warfarin, Heparin, or DOACs increase the bleeding diathesis. Over-anticoagulation (high INR) is a well-documented cause of diffuse alveolar hemorrhage, even in the absence of structural lung disease. **Clinical Pearls for NEET-PG:** * **Most common cause of haemoptysis in India:** Tuberculosis. * **Most common cause of massive haemoptysis:** Bronchiectasis (due to eroded hypertrophied bronchial arteries) [1]. * **Massive Haemoptysis Definition:** Expectoration of >300–600 ml of blood within 24 hours. * **Initial Investigation of choice:** Chest X-ray [2]; however, **HRCT** is more sensitive for localized lesions, and **Bronchoscopy** is vital for identifying the site of active bleeding.
Explanation: ### Explanation The clinical presentation of **facial plethora** (redness/flushing), **distended neck veins**, and **hand/arm swelling** in a 55-year-old male is a classic triad for **Superior Vena Cava (SVC) Syndrome**. [1] **1. Why the Correct Answer is Right:** SVC obstruction occurs when blood flow through the superior vena cava is compromised, usually due to external compression (e.g., bronchogenic carcinoma, lymphoma) or internal thrombosis. [1] This leads to increased venous pressure in the upper body. * **Facial Plethora & Neck Vein Distension:** Result from venous congestion and backflow into the jugular veins. * **Hand/Arm Swelling:** Occurs due to impaired drainage from the subclavian and brachiocephalic veins. * **Shortness of Breath:** Often caused by laryngeal edema or associated underlying lung pathology. **2. Why the Other Options are Incorrect:** * **Pulmonary Embolism:** Presents with sudden onset pleuritic chest pain, tachycardia, and tachypnea. [2] While it causes neck vein distension (right heart strain), it does not cause facial plethora or upper limb swelling. * **Congestive Heart Failure (CHF):** While CHF causes distended neck veins (elevated JVP) and dyspnea, the edema is typically **dependent** (bilateral pedal edema) rather than localized to the face and hands. [3] * **Pneumonia:** Presents with fever, productive cough, and localized lung signs (crepitations). [2] It does not cause venous obstructive symptoms like plethora or arm swelling. **3. NEET-PG High-Yield Pearls:** * **Most Common Cause:** Malignancy (Bronchogenic carcinoma, specifically Small Cell Lung Cancer) is the leading cause (>70%). * **Pemberton’s Sign:** Asking the patient to lift both arms above the head leads to facial flushing and inspiratory stridor; this is a diagnostic maneuver for SVC obstruction (often due to retrosternal goiter). [1] * **Management:** Emergency treatment includes stenting, radiation, or steroids (if lymphoma/thymoma) to prevent airway compromise or cerebral edema.
Explanation: The diagnosis of **amyloidosis** requires histological demonstration of amyloid fibrils in tissue samples. Amyloid is an extracellular proteinaceous deposit that shows characteristic **apple-green birefringence** under polarized light when stained with **Congo red** [1]. **Why Rectal Biopsy is the Correct Answer:** Rectal biopsy is historically considered a "gold standard" screening procedure for systemic amyloidosis because the submucosal venous plexus of the rectum is a frequent site for amyloid deposition. It has a high diagnostic yield (approximately **75-80%**) and is relatively safe. While **Abdominal Fat Pad Aspiration** is now often the preferred initial step due to its non-invasive nature, among the provided options, rectal biopsy remains the most definitive and established diagnostic investigation. **Analysis of Incorrect Options:** * **A & C (Colonoscopy & Upper GI Endoscopy):** While amyloid can involve any part of the GI tract, these procedures are primarily used to visualize mucosal lesions. Biopsies taken during these procedures can diagnose amyloid, but they are not the "best" or first-line screening investigations compared to the simpler rectal biopsy. * **D (CT Scan):** Imaging modalities like CT scans are non-specific. They may show organomegaly (e.g., hepatosplenomegaly) or bowel wall thickening but cannot confirm the presence of amyloid fibrils. **High-Yield Clinical Pearls for NEET-PG:** * **Most sensitive initial screening:** Fine Needle Aspiration (FNA) of Abdominal Fat Pad (yield ~80%). * **Most definitive diagnosis:** Biopsy of the involved organ (e.g., Kidney or Heart), though this carries a higher risk of bleeding. * **Stain of choice:** Congo Red. * **Pathognomonic finding:** Apple-green birefringence under polarized light. * **Cardiac Amyloidosis:** Best non-invasive test is Cardiac MRI (Late Gadolinium Enhancement) or Technetium (99mTc-PYP) scan.
Explanation: **Explanation:** **Carcinoid syndrome** is the correct answer because it is characterized by the systemic release of vasoactive substances, primarily **serotonin, bradykinins, and histamine**, from neuroendocrine tumors (usually after metastasizing to the liver) [1]. While serotonin typically causes vasoconstriction, the release of **bradykinins and prostaglandins** leads to profound peripheral vasodilation. This results in the classic clinical triad of cutaneous flushing, diarrhea, and **paroxysmal hypotension** [1]. In some cases, severe episodes can lead to a "carcinoid crisis," a life-threatening state of profound hypotension. **Why the other options are incorrect:** * **Lymphoma & Leukemia:** These hematological malignancies typically present with constitutional symptoms (B-symptoms) like fever, night sweats, and weight loss. While they can cause hypotension in the context of sepsis or superior vena cava syndrome, they do not cause paroxysmal episodes mediated by vasoactive amines. * **Infectious Mononucleosis:** Caused by the Epstein-Barr virus (EBV), this presents with the triad of fever, pharyngitis, and lymphadenopathy. Hypotension is not a characteristic feature unless complicated by splenic rupture or rare secondary infections. **High-Yield Clinical Pearls for NEET-PG:** * **Diagnosis:** The best initial screening test is **24-hour urinary 5-HIAA** (a metabolite of serotonin). * **Localization:** Somatostatin receptor scintigraphy (**OctreoScan**) is the gold standard for locating the primary tumor. * **Management:** **Octreotide** (a somatostatin analog) is the drug of choice to manage symptoms and prevent carcinoid crisis during surgery. * **Cardiac Involvement:** Look for **Hedinger syndrome** (fibrosis of the right-sided heart valves, specifically tricuspid regurgitation and pulmonary stenosis).
Explanation: Explanation: Flapping tremor, also known as **Asterixis**, is a form of negative myoclonus characterized by the sudden loss of muscle tone in the wrist extensors, leading to a "flapping" motion when the arms are extended and wrists are dorsiflexed. It is a hallmark of **metabolic encephalopathies**. **Why Thyrotoxicosis is the correct answer:** Thyrotoxicosis (Hyperthyroidism) is associated with a **fine, rapid, rhythmic intention tremor** (high frequency, low amplitude). This is a positive tremor caused by heightened sympathetic activity and beta-adrenergic stimulation. It is *not* a negative myoclonus like asterixis. **Analysis of other options:** * **Wilson Disease:** Asterixis is a common neurological manifestation of Wilson disease due to copper deposition in the basal ganglia and associated hepatic failure (Hepatolenticular degeneration). * **Uraemia:** Accumulation of nitrogenous waste products in renal failure leads to uremic encephalopathy, a classic cause of flapping tremors. * **CO2 Narcosis:** Hypercapnia (seen in Type 2 Respiratory Failure) causes cerebral vasodilation and metabolic derangement, leading to asterixis. **High-Yield Clinical Pearls for NEET-PG:** * **Common Causes of Asterixis:** Hepatic encephalopathy (most common), Uremia, CO2 narcosis, and certain drug toxicities (e.g., Phenytoin). * **Unilateral Asterixis:** Usually suggests a focal structural brain lesion, most commonly in the **thalamus**. * **Mechanism:** It is caused by an intermittent lapse in the posture-maintaining signals from the brain to the muscles, specifically involving the abnormal function of the **vestibulospinal and reticulospinal tracts**.
Explanation: ### Explanation Syncope is defined as a transient, self-limited loss of consciousness (TLOC) due to acute global cerebral hypoperfusion. [2] It is characterized by a rapid onset, short duration, and **spontaneous, complete recovery.** [1] **Why Option D is the Correct Answer (The False Statement):** The hallmark of syncope is its **rapid recovery**. Once the patient is horizontal and cerebral blood flow is restored, consciousness returns almost immediately (usually within seconds to a few minutes). [3] If the return of consciousness is slow, takes hours, or is followed by a prolonged post-ictal state (confusion/drowsiness), the diagnosis is more likely to be a **seizure** or a metabolic derangement rather than syncope. [1], [3] **Analysis of Other Options:** * **Option A (Consciousness is lost):** By definition, syncope involves a loss of consciousness and postural tone. [2] * **Option B (More common in standing):** Most types of syncope (vasovagal, orthostatic) occur while standing or sitting because gravity causes blood to pool in the lower extremities, reducing venous return. [3] Syncope occurring while **lying down** is a "red flag" for cardiac arrhythmias. * **Option C (Vasovagal type is common):** Vasovagal syncope (the common faint) is the most frequent cause of syncope across all age groups. **NEET-PG High-Yield Pearls:** * **Prodrome:** Vasovagal syncope is often preceded by autonomic symptoms (nausea, pallor, sweating). [1] * **Convulsive Syncope:** Brief myoclonic jerks can occur during syncope due to cerebral hypoxia; these are often mistaken for epilepsy but lack a post-ictal phase. * **Red Flags:** Syncope during exercise, while supine, or associated with palpitations/chest pain suggests a **cardiac etiology** (high mortality risk). * **Gold Standard Investigation:** For unexplained recurrent syncope, an **Internal Loop Recorder (ILR)** is often the most high-yield diagnostic tool.
Explanation: Digital clubbing is a clinical sign characterized by the bulbous enlargement of the distal phalanges and loss of the Schamroth window. It is primarily associated with chronic hypoxia, intrathoracic malignancies, and chronic inflammatory conditions. [1] **Why the Answer is Pulmonary Arteriovenous (AV) Fistula:** There appears to be a discrepancy in the provided key. In standard medical literature, **Pulmonary AV Fistulas** (seen in Osler-Weber-Rendu syndrome) cause significant right-to-left shunting and chronic hypoxemia, making them a **classic cause** of digital clubbing. Conversely, **Aortic Dissection** is an acute vascular emergency involving a tear in the aortic wall; it does not cause the chronic physiological changes (like increased PGE2 or PDGF bypass of the lungs) required to produce clubbing. Therefore, **Option D (Aortic Dissection)** is the condition where clubbing is NOT seen. **Analysis of Other Options:** * **Endocarditis (Option A):** Subacute bacterial endocarditis is a well-known cardiovascular cause of clubbing due to chronic inflammation and micro-emboli. [1] * **Tricuspid Atresia (Option C):** This is a cyanotic congenital heart disease. Any condition causing a right-to-left shunt allows megakaryocytes to bypass the pulmonary capillary bed and enter systemic circulation, releasing growth factors (PDGF) in the fingertips, leading to clubbing. [1] **NEET-PG High-Yield Pearls:** * **Unilateral Clubbing:** Seen in axillary artery aneurysms or brachial plexus tumors. * **Differential Clubbing (Feet > Hands):** Pathognomonic for PDA with reversal of shunt (Eisenmenger syndrome). * **Most Common Cause:** Lung cancer (specifically Non-Small Cell Lung Cancer) is the most common cause of acquired clubbing. [1] * **Note on COPD:** Simple COPD **does not** cause clubbing. If clubbing is present in a COPD patient, look for underlying bronchogenic carcinoma or bronchiectasis.
Explanation: ***Lead poisoning*** - Presents with **lead colic** (severe abdominal pain) along with **basophilic stippling** on blood smear and **Burton's lines** (blue-black gum line). - Associated with **wrist drop** or **foot drop** due to peripheral neuropathy and **microcytic anemia** from inhibited heme synthesis. *Amyloidosis* - Typically presents with **systemic organ involvement** including heart, kidneys, and liver, not isolated abdominal pain. - Diagnosed by **Congo red staining** showing apple-green birefringence and **elevated serum amyloid A** levels. *Familial Mediterranean fever* - Characterized by **recurrent episodic fever** with **serositis** (peritonitis, pleuritis) in patients of **Mediterranean ancestry**. - Episodes are **self-limiting** (lasting 1-3 days) and associated with **elevated acute phase reactants** during attacks. *Leukemia* - Abdominal pain in leukemia is usually due to **hepatosplenomegaly** or **tumor lysis syndrome**, not primary presentation. - Key features include **pancytopenia**, **blast cells** on blood smear, and **lymphadenopathy** with systemic symptoms.
Approach to Common Symptoms (Fever, Pain, Fatigue)
Practice Questions
Constitutional Symptoms and Their Differential Diagnosis
Practice Questions
Syncope and Presyncope
Practice Questions
Dizziness and Vertigo
Practice Questions
Dyspnea and Respiratory Distress
Practice Questions
Chest Pain Evaluation
Practice Questions
Abdominal Pain Assessment
Practice Questions
Headache Classification and Management
Practice Questions
Weight Loss and Cachexia
Practice Questions
Edema and Fluid Retention
Practice Questions
Get full access to all questions, explanations, and performance tracking.
Start For Free