Increased AV nodal blockade leads to termination of tachycardia in all except?
Which of the following is the most common complication of heart failure?
What is the most common cause of shock in myocardial infarction?
What is the cause of essential (Primary) Hypertension?
What is a main disadvantage of stenting?
Which of the following is the most common complication of asymptomatic atrial fibrillation?
Which condition typically requires a rapid reduction of blood pressure?
All of the following are seen in cardiac tamponade except:
Which of the following is true about malaria?
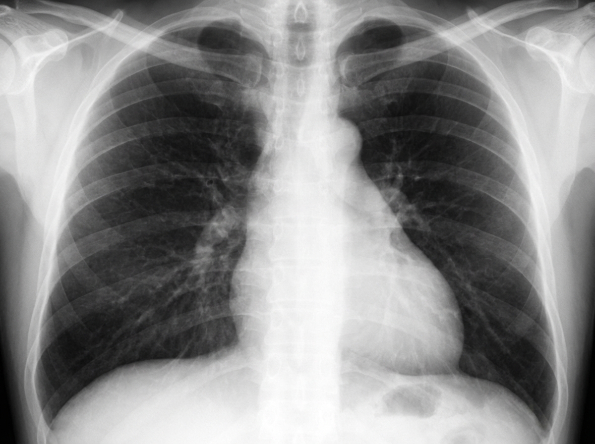
A 41-year-old male schoolteacher, a nonsmoker, presents with lightheadedness, shortness of breath, "lack of stamina," and chest pain. On physical examination, vital signs are normal. The patient is overweight with a BMI of 33. Cardiovascular examination reveals a left parasternal heave, a harsh grade 3/6 systolic flow murmur, and a loud P2 sound. Chest radiographs are shown. What is the most likely diagnosis?

Explanation: To understand this question, we must distinguish between tachycardias that **require** the AV node as part of their re-entry circuit and those where the AV node is merely a "pass-through" for the rhythm. [3] ### **Why Atrial Flutter is the Correct Answer** In **Atrial Flutter (Option B)**, the re-entry circuit is located entirely within the right atrium (typically involving the cavotricuspid isthmus). [4] The AV node is not part of the circuit; it simply conducts the rapid atrial impulses to the ventricles. Therefore, increasing AV nodal blockade (via adenosine, beta-blockers, or vagal maneuvers) will increase the degree of heart block (e.g., changing a 2:1 block to a 4:1 block), slowing the ventricular rate and unmasking flutter waves, but it **will not terminate** the underlying atrial tachycardia. [2] ### **Analysis of Incorrect Options** * **AVNRT (Option C) & Orthodromic AVRT (Option D):** These are "AV node-dependent" tachycardias. In AVNRT, the circuit is within the AV node itself. [1] In Orthodromic AVRT, the circuit travels down the AV node and up an accessory pathway. [3] Blocking the AV node breaks the circuit, leading to **immediate termination** of the arrhythmia. [2] * **Atrial Tachycardia (Option A):** While most atrial tachycardias (focal) do not terminate with AV block, a specific subset (triggered activity or micro-reentry) is sensitive to adenosine and can terminate. However, in the context of standard NEET-PG questions, Atrial Flutter is the classic "non-terminating" rhythm compared to junctional re-entry. ### **Clinical Pearls for NEET-PG** * **Adenosine's Role:** It is both therapeutic (terminates AVNRT/AVRT) and diagnostic (unmasks flutter/fibrillation by slowing the ventricular rate). [2] * **The "Circuit" Rule:** If the AV node is a **limb** of the re-entry circuit, blockade terminates the rhythm. If the AV node is just a **filter**, blockade only slows the ventricular response. * **Drug of Choice:** Adenosine is the drug of choice for terminating paroxysmal supraventricular tachycardia (PSVT). [2]
Explanation: **Explanation:** **Heart Failure and Hydrothorax** In patients with congestive heart failure (CHF), the primary hemodynamic abnormality is an increase in pulmonary capillary wedge pressure and systemic venous pressure. This elevation in hydrostatic pressure leads to the transudation of fluid from the capillaries into the interstitial space and subsequently into the pleural cavity [1]. This collection of serous fluid is termed **Hydrothorax** (a type of pleural effusion). In CHF, hydrothorax is typically **bilateral**. However, if it is unilateral, it occurs more frequently on the **right side** due to the larger surface area of the right lung and the specific lymphatic drainage patterns. **Analysis of Incorrect Options:** * **B. Pneumothorax:** This refers to air in the pleural space. While it can occur due to trauma or ruptured blebs, it is not a direct physiological consequence of heart failure. * **C. Pyothorax (Empyema):** This is the accumulation of pus in the pleural cavity, usually resulting from an underlying pneumonia or infection. Heart failure causes transudative effusions, not exudative/infectious ones. * **D. Hemothorax:** This is the presence of blood in the pleural space, typically caused by thoracic trauma, malignancy, or aortic rupture. **High-Yield Clinical Pearls for NEET-PG:** * **Light’s Criteria:** Effusions in heart failure are **transudates** (Protein ratio <0.5, LDH ratio <0.6). * **Most common cause of transudative effusion:** Congestive Heart Failure. * **Diuretic Effect:** If a patient is on chronic diuretics, a transudate may "pseudo-exudate" (showing elevated protein levels), requiring the use of the serum-effusion albumin gradient (>1.2 g/dL suggests CHF). * **Unilateral Hydrothorax:** If present in CHF, it is most commonly right-sided. If it is isolated to the left side, other etiologies (like aortic dissection or malignancy) should be ruled out.
Explanation: Shock in acute MI is due to left ventricular dysfunction in more than 70% of cases [1]. Cardiogenic shock is the most common cause of shock following a Myocardial Infarction (MI). It occurs due to extensive damage to the ventricular myocardium (typically involving >40% of the left ventricular mass), leading to severe impairment of systolic function [3]. This results in a primary decrease in cardiac output despite adequate intravascular volume, leading to tissue hypoperfusion. It remains the leading cause of in-hospital mortality in patients with acute MI. **2. Why Other Options are Incorrect:** * **Hypovolemic Shock:** This occurs due to a loss of intravascular volume (e.g., hemorrhage or dehydration). While MI patients may be relatively hypovolemic due to diuretic use or vomiting, it is not the primary mechanism of shock in the setting of acute infarction. * **Septic Shock:** This is a form of distributive shock caused by a systemic inflammatory response to infection. While post-MI patients are at risk for secondary infections (like nosocomial pneumonia), it is not the direct or most common cause of shock resulting from the MI itself. * **Neurogenic Shock:** This results from a loss of sympathetic vascular tone, usually due to high-level spinal cord injury. It is unrelated to the pathophysiology of myocardial necrosis. **Clinical Pearls for NEET-PG:** * **Hemodynamic Profile:** Cardiogenic shock is characterized by **Decreased Cardiac Output (CO)**, **Increased Pulmonary Capillary Wedge Pressure (PCWP)**, and **Increased Systemic Vascular Resistance (SVR)**. * **Killip Classification:** Class IV represents cardiogenic shock (highest mortality). * **Right Ventricular (RV) Infarct:** A specific cause of shock in inferior wall MI; presents with clear lungs, elevated JVP, and hypotension (Triad) [1]. * **Mechanical Complications:** Always rule out papillary muscle rupture or ventricular septal rupture if a new murmur appears post-MI. Free wall rupture can also lead to cardiac tamponade [2].
Explanation: ### Explanation **Correct Option: A. Excessive sympathetic nervous system activity** Essential (Primary) hypertension accounts for approximately 90-95% of all hypertensive cases [2]. By definition, it is hypertension with no single identifiable cause; however, it is considered a **polygenic and multifactorial disorder** [1]. The underlying pathophysiology involves a complex interplay between genetics and environmental factors. **Excessive sympathetic nervous system (SNS) activity** is a primary driver [2]. Increased SNS tone leads to: 1. **Increased Cardiac Output:** Via increased heart rate and myocardial contractility. 2. **Increased Peripheral Resistance:** Via vasoconstriction of arterioles. 3. **Renal Effects:** Stimulation of the Renin-Angiotensin-Aldosterone System (RAAS), leading to sodium and water retention. **Why other options are incorrect:** * **B, C, and D (Renal artery stenosis, Glomerulonephritis, Chronic renal failure):** These are all causes of **Secondary Hypertension** [1]. In these cases, the elevation in blood pressure is a direct consequence of an identifiable underlying pathology (Renovascular or Renal Parenchymal disease). Renal parenchymal disease is the most common cause of secondary hypertension. --- ### NEET-PG High-Yield Pearls * **Definition:** Essential hypertension is diagnosed when BP is ≥140/90 mmHg on two or more occasions without an underlying secondary cause. * **Genetic Link:** Liddle’s Syndrome is a rare monogenic cause of hypertension involving the ENaC channel (mimics hyperaldosteronism). * **Metabolic Syndrome:** Essential hypertension is frequently associated with hyperinsulinemia and insulin resistance, which further increases SNS activity. * **Dietary Factors:** High sodium intake (>3g/day) and low potassium intake are significant contributors to the development of primary hypertension [1].
Explanation: **Explanation:** The primary disadvantage and most dreaded complication of coronary stenting, particularly with Drug-Eluting Stents (DES), is **Late Stent Thrombosis (LST)**. [1] **1. Why Late Stent Thrombosis is the correct answer:** While stents were designed to solve the mechanical issues of balloon angioplasty, they introduced a new risk: thrombosis. [1] DES release antiproliferative drugs (like Sirolimus or Paclitaxel) to prevent neointimal hyperplasia. However, these drugs also **delay re-endothelialization** of the stent struts. This prolonged exposure of the metallic struts to blood flow creates a pro-thrombotic environment [2], leading to "Late" (>30 days) or "Very Late" (>1 year) stent thrombosis, which often presents as sudden death or major myocardial infarction. **2. Analysis of Incorrect Options:** * **A. Elastic Recoil:** This was the main disadvantage of **Plain Old Balloon Angioplasty (POBA)**. Stents act as a mechanical scaffold specifically to prevent this recoil. [3] * **C. Restenosis:** While In-Stent Restenosis (ISR) occurs, it is a gradual process of vessel narrowing due to tissue growth. It is rarely fatal compared to the sudden, catastrophic nature of stent thrombosis. DES significantly reduced restenosis rates compared to Bare Metal Stents (BMS). * **D. Less efficacy in bifurcation lesions:** While bifurcation lesions are technically challenging and have higher complication rates, this is a procedural limitation rather than a fundamental disadvantage of the stenting technology itself. **Clinical Pearls for NEET-PG:** * **Dual Antiplatelet Therapy (DAPT):** Essential to prevent LST; typically required for 6–12 months post-DES. * **BMS vs. DES:** BMS have higher rates of **Restenosis** but lower risk of **Late Thrombosis** (because they endothelialize faster). * **Definitions:** Early Thrombosis (<30 days), Late (30 days – 1 year), Very Late (>1 year).
Explanation: **Explanation:** **Atrial Fibrillation (AF)** is characterized by disorganized atrial electrical activity, leading to an ineffective atrial "kick" [1]. This results in blood stasis, particularly within the **left atrial appendage (LAA)** [2]. According to Virchow’s triad, this stasis promotes thrombus formation. If a thrombus dislodges, it enters the systemic circulation (embolization), with the most common destination being the cerebral vasculature, leading to an **Ischemic Stroke** [2]. Importantly, the risk of stroke remains high regardless of whether the AF is symptomatic or asymptomatic (silent AF). **Analysis of Incorrect Options:** * **A. Sudden Death:** While AF can lead to heart failure or exacerbate underlying CAD, it is rarely a direct cause of sudden cardiac death (unlike ventricular fibrillation). * **C. Shock:** AF with a rapid ventricular rate can cause hemodynamic instability (cardiogenic shock) [1], but this is an acute presentation rather than the most common complication of the asymptomatic form. * **D. Pulmonary Embolism (PE):** PE results from right-sided thrombi (usually from DVT). While AF can cause right atrial thrombi, systemic embolization (Stroke) is significantly more frequent and clinically characteristic of AF. **High-Yield Clinical Pearls for NEET-PG:** * **CHA₂DS₂-VASc Score:** Used to predict stroke risk and guide anticoagulation therapy [2]. * **Anticoagulation:** Warfarin or NOACs (Apixaban, Dabigatran) are used for stroke prevention [2]. * **Silent AF:** Often diagnosed incidentally or after a "cryptogenic" stroke has already occurred. * **ECG Hallmark:** Irregularly irregular rhythm with absent P-waves and presence of fibrillatory (f) waves.
Explanation: **Explanation:** The distinction between a **Hypertensive Urgency** and a **Hypertensive Emergency** is a high-yield concept for NEET-PG. A hypertensive emergency is defined by severely elevated blood pressure (usually >180/120 mmHg) associated with **acute target organ damage**. **Hypertensive Encephalopathy (Correct Answer):** This is a classic hypertensive emergency. It occurs when blood pressure exceeds the limits of cerebral autoregulation, leading to vasogenic edema. Rapid (but controlled) reduction of Mean Arterial Pressure (MAP) by approximately 20-25% within the first hour is mandatory to prevent permanent neurological damage or death [1]. **Why other options are incorrect:** * **Cerebral Infarct:** In acute ischemic stroke, high BP is often a compensatory mechanism to maintain perfusion to the "ischemic penumbra." Rapidly lowering BP can worsen the infarct. Treatment is usually withheld unless BP is >220/120 mmHg (or >185/110 mmHg if thrombolysis is planned). * **Myocardial Infarction:** While BP management is important in MI to reduce afterload, the reduction is typically more gradual compared to the immediate urgency of encephalopathy, unless there is concomitant acute heart failure or aortic dissection. * **Any patient with hypertension:** Asymptomatic hypertension (Urgency) should never be lowered rapidly. Doing so can precipitate cerebral or myocardial ischemia due to a sudden drop in perfusion pressure. **Clinical Pearls for NEET-PG:** 1. **Drug of Choice:** IV Labetalol or Nicardipine are preferred for most emergencies [1]. **Sodium Nitroprusside** is used but carries a risk of cyanide toxicity [1]. 2. **Exception to the 25% rule:** In **Aortic Dissection**, BP must be reduced rapidly to a systolic of 100-120 mmHg within 20 minutes to prevent rupture. 3. **Avoid Nifedipine:** Sublingual Nifedipine is contraindicated in hypertensive emergencies as it causes unpredictable, precipitous drops in BP.
Explanation: In cardiac tamponade, the accumulation of fluid in the pericardial space increases intrapericardial pressure, leading to the compression of cardiac chambers [1]. ### **Why Kussmaul’s Sign is the Correct Answer** **Kussmaul’s sign** is the paradoxical rise in Jugular Venous Pressure (JVP) during inspiration. It occurs when the right ventricle (RV) cannot accommodate the increased venous return during inspiration, usually due to a rigid pericardium. It is a hallmark of **Constrictive Pericarditis** [2] and Restrictive Cardiomyopathy. In **Cardiac Tamponade**, Kussmaul’s sign is characteristically **absent** because the intrapericardial fluid is "compliant" enough to allow some RV expansion, and the "y" descent in the JVP waveform is blunted or absent. ### **Analysis of Incorrect Options** * **Pulsus Paradoxus:** An exaggerated drop in systolic blood pressure (>10 mmHg) during inspiration. It is a classic finding in tamponade caused by exaggerated ventricular interdependence (the septum shifts toward the left ventricle as the RV fills). * **Diastolic Collapse of RV:** This is the most specific echocardiographic finding for tamponade. As intrapericardial pressure exceeds intracavitary pressure during early diastole, the RV free wall invaginates [1]. * **Electrical Alternans:** A pathognomonic ECG finding where the QRS amplitude varies from beat to beat. This is caused by the heart physically "swinging" back and forth within the large volume of pericardial fluid [1]. ### **High-Yield Clinical Pearls for NEET-PG** * **Beck’s Triad:** Hypotension, Muffled heart sounds, and Raised JVP. * **JVP in Tamponade:** Shows a prominent **'x' descent** but a **blunted/absent 'y' descent** (unlike Constrictive Pericarditis where 'y' is sharp). * **Low Voltage ECG:** Often the first clue to a large pericardial effusion [1]. * **Treatment:** Immediate **Pericardiocentesis** is the definitive management [1].
Explanation: ### **Explanation** **Correct Option: C. *P. vivax* causes enlargement of affected RBC** The morphology of the host erythrocyte is a key diagnostic feature in peripheral blood smears. *Plasmodium vivax* and *P. ovale* have a predilection for young red cells (reticulocytes). Because reticulocytes are larger than mature erythrocytes, and the parasite further distorts the cell membrane, the infected RBCs appear **enlarged and pale**. In contrast, *P. falciparum* and *P. malariae* do not enlarge the host cell [1]. **Analysis of Incorrect Options:** * **A. *P. falciparum* can cause relapse:** This is false. Relapse occurs due to the activation of dormant liver stages called **hypnozoites**. Only *P. vivax* and *P. ovale* form hypnozoites [1]. *P. falciparum* and *P. malariae* can cause **recrudescence** (due to surviving erythrocytic forms), but not true relapse. * **B. *P. vivax* can be detected by HRP-2 Dipstick:** False. Histidine-Rich Protein 2 (HRP-2) is highly specific to ***P. falciparum*** [1]. Rapid Diagnostic Tests (RDTs) for *P. vivax* typically target **pLDH** (parasite Lactate Dehydrogenase). * **D. LDH card test quantitates the falciparum parasitemia:** False. While LDH tests can detect the presence of parasites, they are **qualitative or semi-quantitative** at best. The gold standard for quantitating parasitemia remains the examination of a **thick blood smear**. **High-Yield NEET-PG Pearls:** * **Schüffner’s dots:** Seen in *P. vivax* and *P. ovale*. * **Maurer’s clefts:** Seen in *P. falciparum*. * **Ziemann’s stippling:** Seen in *P. malariae*. * **Drug of Choice (DOC):** For hypnozoites (radical cure), **Primaquine** is used (ensure G6PD status first). * **Most common cause of Cerebral Malaria:** *P. falciparum*.
Explanation: ***Pulmonary hypertension*** - The triad of **left parasternal heave** (indicating RV hypertrophy), **loud P2** (elevated pulmonary artery pressure), and **systolic flow murmur** strongly suggests **pulmonary arterial hypertension**. - Chest X-ray findings of **prominent pulmonary arteries**, **RV enlargement**, and **peripheral pruning** are classic for pulmonary hypertension in a nonsmoker. *Mitral stenosis* - Would present with **mid-diastolic rumbling murmur** at the apex, not a systolic flow murmur at the left sternal border. - Typically causes **left atrial enlargement** and **pulmonary edema** on chest X-ray, not RV hypertrophy signs. *Chronic bronchitis with cor pulmonale* - Usually occurs in **chronic smokers** with long-standing **COPD** and chronic hypoxemia, which doesn't fit this nonsmoker patient. - Would present with **productive cough**, **barrel chest**, and evidence of **chronic lung disease** on chest X-ray. *Deconditioning due to obesity* - Would not cause **loud P2**, **left parasternal heave**, or **systolic flow murmur** - these are specific cardiac findings. - Deconditioning typically presents with **fatigue** and **shortness of breath** on exertion without specific cardiac examination abnormalities.
Coronary Artery Disease and Angina
Practice Questions
Acute Coronary Syndromes
Practice Questions
Heart Failure
Practice Questions
Cardiac Arrhythmias
Practice Questions
Valvular Heart Diseases
Practice Questions
Cardiomyopathies
Practice Questions
Pericardial Diseases
Practice Questions
Congenital Heart Disease in Adults
Practice Questions
Hypertension and Hypertensive Emergencies
Practice Questions
Pulmonary Hypertension
Practice Questions
Non-invasive Cardiac Diagnostics
Practice Questions
Preventive Cardiology
Practice Questions
Get full access to all questions, explanations, and performance tracking.
Start For Free