A diabetic patient presents with a nasal mass and blackish discharge. What is the most likely diagnosis?
Proof puncture is done through which anatomical location?
In CSF rhinorrhea, from which anatomical structure does CSF originating from the middle cranial fossa typically reach the nasal cavity?
What is a common cause of discharge from the nose?
Strawberry appearance of the nasal mucosa is a characteristic finding in which of the following conditions?
Following Caldwell-Luc operation, a patient develops hypoesthesia. Which nerve is likely damaged?
Which of the following statements about nasal glioma is FALSE?
A 32-year-old female patient underwent extraction of an upper first molar on the right side, resulting in a 0.3 mm perforation into the sinus wall. From which anatomical location does the Caldwell-Luc incision begin?
A female who underwent laparoscopic appendectomy for acute appendicitis developed difficulty in breathing and a swelling in the anterior part of the nasal septum after bumping her nose on a table on post-operative day 2. What is the next line of management?
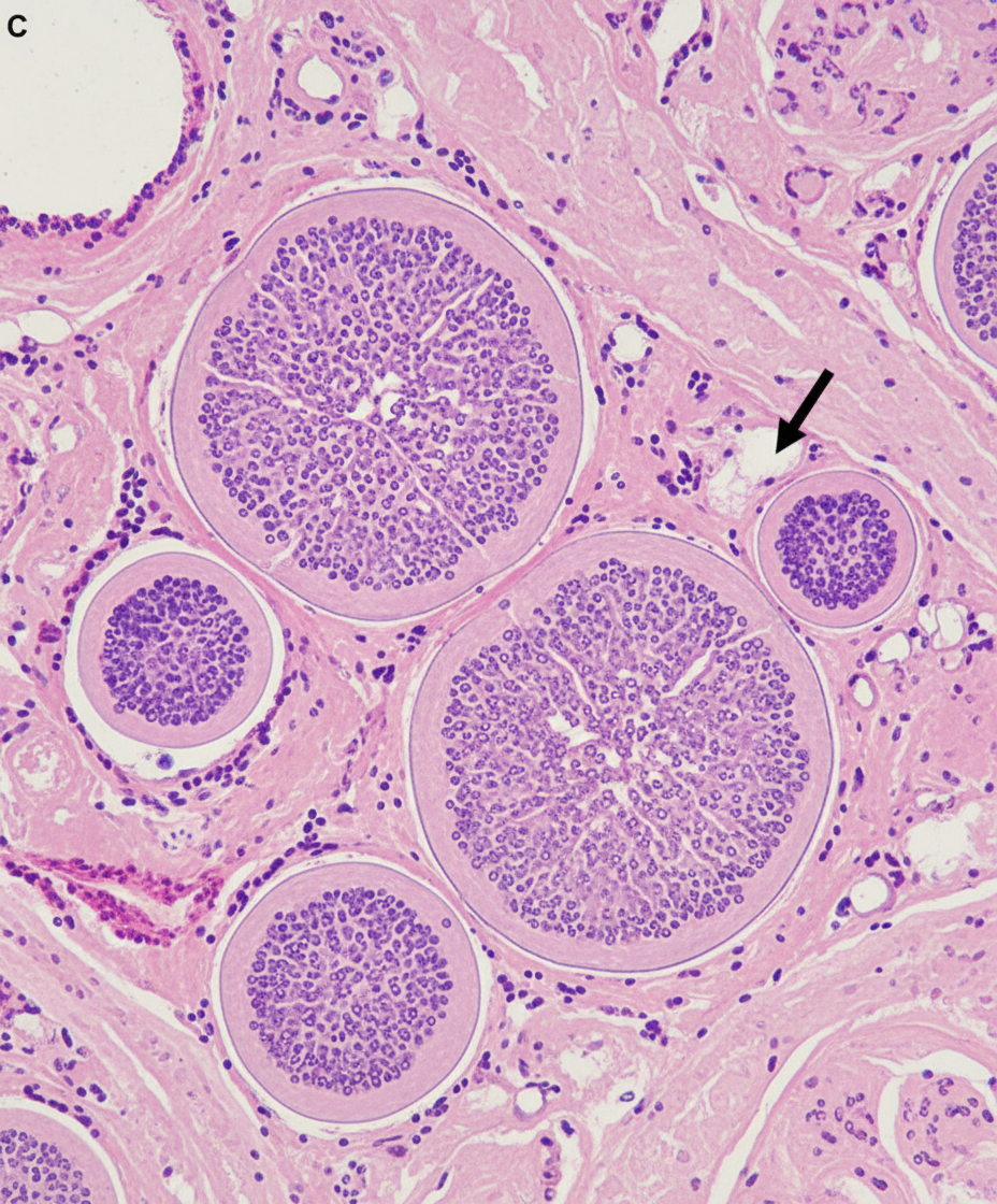
A 60-year-old male complains of right-sided nasal obstruction and nasal discharge, which is sometimes blood-tinged. Biopsy findings are shown below. What is your diagnosis?

Explanation: **Explanation:** The clinical presentation of a **diabetic patient** with a **nasal mass and blackish discharge** is a classic "spotter" for **Mucormycosis** (specifically Rhinocerebral Mucormycosis). **Why Mucormycosis is correct:** Mucormycosis is an opportunistic angioinvasive fungal infection caused by fungi of the order Mucorales. It thrives in acidic environments with high glucose levels, making **uncontrolled Diabetes Mellitus** (especially with Ketoacidosis) the most significant risk factor. The hallmark of the disease is **angioinvasion**, leading to thrombosis and tissue infarction. This results in the characteristic **black necrotic eschar** or blackish discharge seen on the turbinates or palate. **Why other options are incorrect:** * **Aspergillus:** While it can cause invasive sinusitis in immunocompromised patients, it typically presents as a "fungal ball" (non-invasive) or allergic fungal sinusitis. It lacks the specific association with diabetic ketoacidosis and the rapid necrotic progression seen here. * **Rhinosporidium:** Caused by *Rhinosporidium seeberi*, it presents as a **leafy, strawberry-like vascular polyp** that bleeds on touch, usually in patients with a history of bathing in stagnant water. * **Candida:** Primarily causes superficial mucosal infections (thrush). It rarely causes invasive sinonasal masses or necrotic black discharge. **High-Yield Clinical Pearls for NEET-PG:** * **Diagnosis:** Confirmed by KOH mount showing **broad, ribbon-like, aseptate hyphae** branching at **right angles (90°)**. * **Management:** Medical emergency requiring aggressive surgical debridement and intravenous **Liposomal Amphotericin B**. * **Imaging:** Contrast MRI is preferred to check for orbital or intracranial extension (cavernous sinus thrombosis).
Explanation: **Explanation:** **Proof Puncture (Antral Washout/Lichtwitz Puncture)** is a clinical procedure used to diagnose and treat chronic maxillary sinusitis by irrigating the maxillary sinus. **Why the Inferior Meatus is correct:** The **inferior meatus** is the preferred site for proof puncture because the lateral wall of the nose in this region is **thinnest** and most accessible. Specifically, the puncture is made through the highest point of the inferior meatus (the "genu"), approximately 1–1.5 cm behind the anterior end of the inferior turbinate. At this location, the bone is thin, and there is a lower risk of injuring the nasolacrimal duct, which opens anteriorly in the same meatus. **Why other options are incorrect:** * **Superior Meatus:** This is located high in the nasal cavity and receives drainage from the posterior ethmoidal cells. It is not anatomically related to the maxillary sinus. * **Middle Meatus:** While the natural ostium of the maxillary sinus is located here, performing a puncture through the middle meatus carries a high risk of orbital injury or damaging the ethmoidal bulla. * **Sphenoethmoidal Recess:** This area lies above and behind the superior turbinate and is the drainage site for the sphenoid sinus. **Clinical Pearls for NEET-PG:** * **Trocar Direction:** During the procedure, the trocar is directed toward the **tragus of the ear** to ensure proper entry into the sinus. * **Complications:** The most dangerous complication is **Air Embolism** (if air is injected instead of saline). Other risks include orbital injury, cheek swelling (surgical emphysema), and hemorrhage. * **Contraindications:** It should never be performed in children under 3 years (the sinus is too small) or in cases of acute maxillary sinusitis (risk of osteomyelitis).
Explanation: ### Explanation **Correct Answer: A. Sphenoid sinus** The anatomical relationship between the cranial fossae and the paranasal sinuses determines the pathway of a CSF leak. The **sphenoid sinus** is unique because its lateral wall is in direct contact with the **middle cranial fossa** (specifically the temporal lobe and cavernous sinus). A defect in the lateral wall or the roof (basisphenoid) of the sphenoid sinus allows CSF originating from the middle cranial fossa to enter the sinus and subsequently drain into the nasal cavity via the sphenoethmoidal recess. **Analysis of Incorrect Options:** * **B. Frontal sinus:** This sinus is related to the **anterior cranial fossa**. Leaks here typically follow trauma to the forehead or posterior table fractures. * **C. Cribriform plate:** This is the most common site for spontaneous and traumatic CSF rhinorrhea. However, it forms the floor of the **anterior cranial fossa** (olfactory bulb area), not the middle. * **D. Fovea ethmoidalis:** This is the roof of the ethmoid air cells. Like the cribriform plate, it separates the ethmoid sinuses from the **anterior cranial fossa**. **High-Yield Clinical Pearls for NEET-PG:** * **Most common site of CSF leak:** The **Cribriform plate** (due to its extreme thinness). * **Most common cause:** Accidental trauma (Head injury). * **Diagnostic Gold Standard:** **Beta-2 Transferrin** assay (most specific biochemical marker). * **Imaging of choice:** **High-Resolution CT (HRCT)** of the paranasal sinuses to identify the bony defect. * **Sternberg’s Canal:** A persistent lateral craniopharyngeal canal in the sphenoid bone; it is a high-yield anatomical variant that can lead to spontaneous middle fossa CSF leaks into the sphenoid sinus. * **Clinical Sign:** The "Target sign" or "Halo sign" on a pillowcase/filter paper (blood stays central, CSF forms a clear outer ring).
Explanation: **Explanation:** **Allergic Rhinitis (Option D)** is the correct answer because it is one of the most prevalent causes of chronic nasal discharge globally. It is a Type I IgE-mediated hypersensitivity reaction to inhaled allergens (like pollen or dust mites). The hallmark clinical feature is a profuse, watery, or mucoid nasal discharge accompanied by sneezing, nasal itching, and congestion. Given its high incidence in the general population, it is the most "common" cause among the choices provided. **Why other options are incorrect:** * **CSF Rhinorrhea (Option A):** This involves the leakage of cerebrospinal fluid through a dural tear. While it causes a clear watery discharge (typically unilateral and increasing on bending forward), it is a rare clinical entity usually associated with trauma or surgery. * **Lupus Erythematosus (Option B):** Systemic Lupus Erythematosus (SLE) or Discoid Lupus can involve the nasal mucosa, leading to crusting, ulceration, or septal perforation, but it is a rare cause of primary nasal discharge. * **Trauma (Option C):** While trauma can cause acute epistaxis (bloody discharge) or lead to CSF rhinorrhea, it is an episodic event rather than a common chronic cause of rhinorrhea. **Clinical Pearls for NEET-PG:** * **Physical Exam:** Look for the "Allergic Salute" (transverse nasal crease) and "Allergic Shiners" (infraorbital edema/darkening). * **Rhinoscopy:** Characterized by **pale, boggy, or bluish turbinates** (unlike the red, inflamed mucosa seen in infective rhinitis). * **Cytology:** Nasal smear typically shows an abundance of **eosinophils**. * **First-line Treatment:** Intranasal corticosteroids are the gold standard for moderate-to-severe allergic rhinitis.
Explanation: ### Explanation **Correct Option: B. Sarcoidosis** In Sarcoidosis, the nasal mucosa often exhibits a characteristic **"strawberry appearance."** This is due to the presence of multiple, small, yellowish-white submucosal nodules (non-caseating granulomas) surrounded by a network of dilated capillaries (telangiectasia). This gives the mucosa a speckled, granular, and erythematous look resembling the surface of a strawberry. **Analysis of Incorrect Options:** * **A. Wegener’s Granulomatosis (Granulomatosis with Polyangiitis):** While it involves the nose, it typically presents with **"crusty"** nasal mucosa, septal perforations (Saddle nose deformity), and "coke-crust" appearance. It is associated with c-ANCA. * **C. Kawasaki Disease:** This is a systemic vasculitis in children. While it features a **"strawberry tongue,"** it does not typically present with "strawberry nasal mucosa." * **D. Rhinosporidiosis:** This fungal-like infection (caused by *Rhinosporidium seeberi*) presents as a **leafy, polypoidal, friable mass** that is highly vascular and bleeds on touch. It often has a "strawberry-like" surface due to visible white sporangia, but in the context of standard ENT textbooks and NEET-PG patterns, "Strawberry Nasal Mucosa" is the classic descriptor for Sarcoidosis. **High-Yield Clinical Pearls for NEET-PG:** * **Strawberry Tongue:** Kawasaki Disease, Scarlet Fever. * **Strawberry Gingiva:** Wegener’s Granulomatosis (Pathognomonic). * **Strawberry Nasal Mucosa:** Sarcoidosis. * **Strawberry Vagina:** Trichomoniasis (due to punctate hemorrhages). * **Strawberry Gallbladder:** Cholesterolosis. * **Lupus Pernio:** The most characteristic skin lesion of Sarcoidosis, often involving the nose and cheeks.
Explanation: ### Explanation **1. Why the Correct Answer is Right:** The **Caldwell-Luc operation** involves creating a window in the anterior wall of the maxilla through the canine fossa to access the maxillary sinus. The **infraorbital nerve** (a branch of the maxillary division of the trigeminal nerve) exits through the infraorbital foramen, which is located just superior to the canine fossa. During the surgical incision or retraction of the soft tissues of the cheek, this nerve is highly vulnerable to traction, compression, or direct injury. Damage to this nerve leads to **hypoesthesia** (numbness) of the cheek, upper lip, and upper gingiva. **2. Why the Other Options are Wrong:** * **Supraorbital nerve:** This is a branch of the frontal nerve (Ophthalmic division, V1). It exits through the supraorbital notch/foramen above the eye and supplies the forehead and scalp; it is not involved in maxillary sinus surgery. * **Maxillary nerve (V2):** While the infraorbital nerve is a branch of V2, the main trunk of the maxillary nerve lies deeper in the pterygopalatine fossa. A standard Caldwell-Luc procedure affects the peripheral branch (infraorbital) rather than the main trunk. * **Mandibular nerve (V3):** This nerve supplies the lower jaw, teeth, and tongue. It is anatomically distant from the surgical site of the maxillary sinus. **3. Clinical Pearls for NEET-PG:** * **Indications for Caldwell-Luc:** Removal of foreign bodies (e.g., root of a tooth) from the sinus, management of Oro-antral fistula, and as an approach to the pterygopalatine fossa (Lynch’s procedure). * **Most common complication:** Cheek swelling and numbness (infraorbital nerve injury). * **Anatomical Landmark:** The incision is made in the gingivolabial sulcus above the roots of the premolar teeth, avoiding the canine tooth to prevent dental denervation.
Explanation: **Explanation:** Nasal glioma is a rare, benign congenital anomaly consisting of ectopic glial tissue that has lost its intracranial connection. Understanding its clinical features is crucial for differentiating it from other midline nasal masses like encephaloceles. **Why Option D is the Correct (False) Statement:** Unlike an **encephalocele**, which contains a patent connection to the subarachnoid space and is filled with cerebrospinal fluid (CSF), a nasal glioma is a solid mass of glial tissue and fibrous stroma. Because it lacks a fluid-filled sac, it **does not transilluminate**. Transillumination is a classic feature of encephaloceles. **Analysis of Other Options:** * **Option A (MRI):** MRI is the gold standard investigation. It is essential to rule out any intracranial extension or "stalk" before surgical intervention to prevent CSF leaks or meningitis. * **Option B (Surgical Excision):** The definitive treatment is complete surgical excision, usually via an external approach (like a lateral rhinotomy) or endoscopic approach, depending on the location. * **Option C (Non-pulsatile):** Since nasal gliomas are isolated from the intracranial space, they do not exhibit pulsations or expansion upon crying/straining (negative Furstenberg’s test), unlike encephaloceles. **High-Yield Clinical Pearls for NEET-PG:** 1. **Furstenberg’s Test:** Positive in Encephalocele (mass expands on compression of internal jugular vein); Negative in Nasal Glioma. 2. **Location:** 60% are extranasal (on the bridge of the nose), 30% are intranasal, and 10% are both. 3. **Origin:** They are essentially "sequestered" encephaloceles that failed to recede during development. 4. **Biopsy Warning:** Never biopsy a midline nasal mass in a child until an intracranial connection has been ruled out by imaging.
Explanation: ### Explanation **1. Why the Correct Answer is Right:** The **Caldwell-Luc operation** (sublabial antrostomy) is a surgical procedure used to access the maxillary sinus. The incision is made in the **gingivolabial sulcus**, typically extending from the lateral incisor to the second premolar. The primary entry point into the sinus is through the **canine fossa**, which is the thinnest part of the anterior wall of the maxilla. This location provides the most direct and widest access to the maxillary antrum for removing diseased mucosa, foreign bodies (like a displaced tooth root), or managing oro-antral communications. **2. Why the Incorrect Options are Wrong:** * **B. Tuberosity:** The maxillary tuberosity is located posterior to the third molar. Accessing the sinus from here would be technically difficult and risks injury to the posterior superior alveolar nerves and vessels. * **C. Zygomatic buttress:** This is a thick, reinforced area of bone lateral to the sinus. It is too dense for easy surgical entry and is located too far laterally to provide comprehensive access to the sinus floor. * **D. Above the communication:** While the perforation (oro-antral communication) is the clinical problem, the Caldwell-Luc incision is a standardized surgical approach. Entering directly above the communication (the extraction site) might compromise the local gingival tissue needed for later flap closure of the fistula. **3. Clinical Pearls for NEET-PG:** * **Indications:** Chronic maxillary sinusitis (not responding to FESS), removal of foreign bodies (root tips), and management of **Antrochoanal polyps**. * **Nerve at Risk:** The **Infraorbital nerve** must be protected during the superior retraction of the soft tissues. Injury leads to numbness of the cheek and upper lip. * **Oro-antral Communication (OAC):** Small perforations (<2 mm) often heal spontaneously; larger ones (>5 mm) usually require surgical closure (e.g., Berger’s flap or Caldwell-Luc). * **Modern Trend:** Caldwell-Luc has largely been replaced by **Functional Endoscopic Sinus Surgery (FESS)**, but remains high-yield for exams regarding its anatomical landmarks.
Explanation: **Explanation:** The clinical presentation of post-traumatic nasal obstruction and a swelling in the anterior nasal septum is diagnostic of a **Septal Hematoma**. This occurs when trauma causes blood to collect between the septal cartilage and its overlying mucoperichondrium. **Why Incision and Drainage is correct:** A septal hematoma is a surgical emergency. The septal cartilage depends entirely on the overlying perichondrium for its blood supply (via diffusion). The pressure from the hematoma strips the perichondrium away, leading to **ischemic necrosis** of the cartilage. If not drained immediately via **Incision and Drainage (I&D)**, it can result in a septal abscess, septal perforation, or a "Saddle Nose" deformity due to loss of structural support. **Why other options are incorrect:** * **Oral/IV Antibiotics (B & D):** While antibiotics are given post-procedure to prevent secondary infection (abscess formation), they cannot evacuate the collected blood. Without drainage, the cartilage will necrose regardless of antibiotic use. * **Observation (C):** Waiting is contraindicated. A hematoma will not resolve spontaneously fast enough to save the underlying cartilage. **High-Yield Clinical Pearls for NEET-PG:** * **Clinical Sign:** On examination, a septal hematoma appears as a smooth, soft, fluctuant, cherry-red swelling. It does not shrink with topical vasoconstrictors (unlike turbinate hypertrophy). * **Site of Incision:** A small horizontal/hemitransfixion incision is made at the most dependent part. * **Post-Op Care:** After drainage, **bilateral nasal packing** is essential to prevent re-accumulation of blood. * **Complication:** If left untreated, it can progress to a **Septal Abscess**, which carries a risk of cavernous sinus thrombosis due to retrograde venous spread.
Explanation: ***Rhinosporidiosis*** - Characterized by **large sporangia** containing **endospores** on histopathology, which is pathognomonic for this fungal infection caused by *Rhinosporidium seeberi*. - Presents with **unilateral nasal obstruction** and **blood-tinged discharge** along with characteristic **polypoidal masses** in the nasal cavity. *Rhinoscleroma* - Histopathology shows **Mikulicz cells** (large foamy macrophages) containing **Donovan bodies** (*Klebsiella pneumoniae* subsp. *rhinoscleromatis*). - Typically presents with **progressive nasal deformity** and **nodular lesions** rather than polypoidal masses. *Wegener's granulomatosis* - Biopsy reveals **necrotizing granulomatous inflammation** with **multinucleated giant cells** and **vasculitis**. - Associated with **c-ANCA positivity** and systemic involvement including lungs and kidneys, not isolated nasal symptoms. *Stewart's granuloma* - Histopathology shows **lymphomatous infiltrate** with **atypical lymphoid cells** and **plasma cells**. - Represents a **midline destructive lesion** with aggressive tissue destruction, unlike the benign polypoidal growth pattern described.
Rhinitis
Practice Questions
Acute Rhinosinusitis
Practice Questions
Chronic Rhinosinusitis
Practice Questions
Nasal Polyposis
Practice Questions
Allergic Fungal Sinusitis
Practice Questions
Deviated Nasal Septum
Practice Questions
Epistaxis
Practice Questions
Nasal Trauma
Practice Questions
Choanal Atresia
Practice Questions
CSF Rhinorrhea
Practice Questions
Tumors of the Nose and Paranasal Sinuses
Practice Questions
Complications of Sinusitis
Practice Questions
Get full access to all questions, explanations, and performance tracking.
Start For Free