A 30-year-old male patient presents with painful genital lesion after unprotected sexual intercourse. He is non cooperative during genital manipulation done to take culture specimen. All are true about the condition shown except:

What is the diagnosis based on the image shown below?

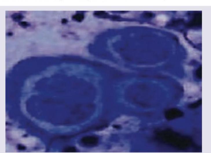
The lesion shown in the image is:

Identify which of the following tests is being done?

A 25-year-old woman presents with skin lesion on left supra-orbital margin. Eye examination is within normal limits. CXR done was normal. Diascopy shows apple jelly nodules. The image shows presence of:

A child presents with the skin lesions shown in the image. The most likely diagnosis is:

Which of the following is the most appropriate treatment for the skin condition shown in the image?

The following image shows:

A child presents with the following lesion in the neck folds. The gram stain from the lesion is shown below. Comment on the diagnosis.

A patient has the following rash in the groin. Which of the following cannot be a cause?

Explanation: ***Granulomatous lesion associated with endarteritis*** - This histopathological description is characteristic of **syphilitic chancre** (primary syphilis) or **gumma** (tertiary syphilis), NOT chancroid - Syphilis shows **granulomatous inflammation** with **obliterative endarteritis** (inflammation and narrowing of blood vessels) - **Chancroid** lesions are **non-granulomatous**, showing acute inflammatory infiltrate with lymphocytes, plasma cells, and neutrophils - This is the feature that is **NOT true** about chancroid, making it the correct answer to this "except" question *Phagedenic ulcer* - TRUE for chancroid - refers to rapidly destructive and spreading ulcers - Severe chancroid can present with extensive tissue destruction and sloughing - The aggressive nature of *Haemophilus ducreyi* infection can lead to phagedenic (rapidly spreading) ulceration *Autoinoculation* - TRUE for chancroid - the infection commonly spreads from existing lesions to other parts of the patient's body through direct contact - Results in multiple or satellite lesions around the primary ulcer - This is a well-recognized feature of *H. ducreyi* infection *Azithromycin single dose treatment* - TRUE for chancroid - **Azithromycin 1g orally as a single dose** is a **recommended first-line treatment** for chancroid - CDC and WHO guidelines support single-dose azithromycin as effective therapy - Other treatment options include ceftriaxone 250mg IM single dose, ciprofloxacin 500mg BD for 3 days, or erythromycin 500mg TDS for 7 days
Explanation: ***Donovanosis*** - The image displays genital lesions characterized by **slowly progressive, painless, nodular, ulcerative lesions** which bleed easily on contact, typical of Donovanosis. - This condition is caused by *Klebsiella granulomatis* and often presents with **beefy-red, friable granulation tissue** on the genitals or perineum. *Syphilis* - Primary syphilis typically presents as a **single, painless ulcer (chancre)** with a clean base and sharply demarcated, indurated borders. - While an ulcer is present in the image, its **granulomatous and friable appearance** does not align with a syphilitic chancre. *Chancroid* - Chancroid is characterized by **multiple, painful, soft ulcers** with ragged, undermined edges and a grayish, purulent base. - The lesion in the image appears to be a **painless, proliferative, and highly vascular** type, which is not characteristic of chancroid. *Lymphogranuloma Venereum* - LGV usually begins as a **small, transient, painless papule or vesicle** that often goes unnoticed, followed by painful inguinal lymphadenopathy (buboes). - The prominent **granulomatous ulceration** seen in the image is not the primary presentation of LGV, which is more focused on lymphatic involvement and systemic symptoms.
Explanation: ***Vernix caseosa*** - The image shows a **thick, whitish, cheese-like substance** covering the scalp, which is characteristic of **vernix caseosa** on a neonate. - **Vernix caseosa** is a natural protective waxy or cheese-like white substance found on the skin of newborn human babies. *Atopic dermatitis* - **Atopic dermatitis** typically presents with **eczematous, itchy, red, and inflamed skin lesions**, often in flexural areas, which is not consistent with the image. - It usually involves **dry skin, lichenification, and excoriations**, not the thick, cheese-like coating seen here. *Seborrheic dermatitis* - While seborrheic dermatitis can involve the scalp, it typically appears as **greasy, yellowish scales** on an erythematous base, often referred to as "cradle cap" in infants. - The texture and widespread, thick white appearance in the image are less consistent with typical seborrheic dermatitis. *Urticarial dermatitis* - **Urticarial dermatitis** is characterized by the presence of **wheals (hives)**, which are transient, itchy, raised erythematous lesions with well-defined borders. - The image does not show classic **urticarial wheals**; instead, it depicts a continuous, thick, protective layer.
Explanation: ***Diascopy*** - The image shows a glass slide or a transparent object being pressed against a skin lesion to observe changes in color and **vascular blanching**, which is characteristic of diascopy. - This diagnostic technique helps differentiate between **erythema caused by vasodilation** (which blanches) and **erythema caused by extravasated red blood cells,** such as in purpura (which does not blanch). *Pathergy Test* - The pathergy test involves **pricking the skin with a sterile needle** and observing the development of a papule or pustule at the site after 24-48 hours. - This test is primarily used to diagnose **Behçet's disease** and is not represented by the action shown in the image. *Patch test* - A patch test is used to diagnose **allergic contact dermatitis** by applying specific allergens to the skin under patches for 48 hours and then observing the reaction. - It does not involve pressing a glass slide against a lesion as depicted in the image. *Dermoscopy* - Dermoscopy is a non-invasive technique that uses a handheld device with magnification and a light source to examine skin lesions, particularly moles, for patterns indicative of **melanoma** or other skin cancers. - It involves direct visualization through a dermoscope, not simple pressure with a glass slide.
Explanation: ***Lupus vulgaris*** - The presence of **apple-jelly nodules** on diascopy is a classic and highly characteristic feature of **lupus vulgaris**, a type of cutaneous tuberculosis. - The lesion's location on the **supra-orbital margin** is a common site for this chronic, progressive skin infection. *Lupus pernio* - **Lupus pernio** is typically associated with **sarcoidosis**, presenting as violaceous plaques on the nose, cheeks, ears, and fingers. - It does not show **apple-jelly nodules** on diascopy. *Erythema marginatum* - **Erythema marginatum** is a transient, non-pruritic rash with red margins and clear centers, classically associated with **acute rheumatic fever**. - It does not manifest as nodular lesions or show translucency on diascopy. *Leprosy* - **Leprosy** can cause various skin lesions, but **apple-jelly nodules** on diascopy are not typical of its presentation; instead, thickened nerves and sensory loss are key features. - While it can affect the face, the specific description of diascopy findings points away from leprosy.
Explanation: ***Impetigo contagiosa*** - The image shows **honey-colored crusted lesions** around the mouth, which are highly characteristic of **impetigo contagiosa (non-bullous impetigo)**. - This form of impetigo is typically caused by *Staphylococcus aureus* or *Streptococcus pyogenes* and primarily affects superficial layers of the epidermis. *Bullous impetigo* - Characterized by **flaccid bullae** (blisters) that rupture to leave a thin, varnish-like crust, rather than the thick honey-colored crusts seen here. - It is exclusively caused by **Staphylococcus aureus** strains producing exfoliative toxins. *Ritter disease* - Also known as **Staphylococcal Scalded Skin Syndrome (SSSS)**, this condition involves widespread **erythema and exfoliation** resembling a burn. - It is a severe, systemic illness with widespread skin involvement, not localized crusted lesions like those pictured. *Ecthyma* - This is a more **deep-seated skin infection** that penetrates into the dermis, characterized by **"punched-out" ulcers** with thick, adherent crusts and often leaves scars. - While also caused by *Staphylococcus aureus* and/or *Streptococcus pyogenes*, its lesions are typically more severe and destructive than what is depicted.
Explanation: ***Tacrolimus*** - The image depicts a diffuse eczematous rash, which is a common presentation of **atopic dermatitis**. - **Tacrolimus** is a topical calcineurin inhibitor, indicated for treating moderate to severe atopic dermatitis by suppressing the local immune response. *Terbinafine* - **Terbinafine** is an antifungal medication primarily used to treat fungal infections of the skin (e.g., tinea corporis) and nails (onychomycosis). - The rash in the image does not show typical features of a fungal infection, such as annular lesions with central clearing or scaling consistent with dermatophytosis. *Erythromycin* - **Erythromycin** is an antibiotic used to treat bacterial infections; it is not a primary treatment for eczematous rashes. - While secondary bacterial infections can occur in eczema, erythromycin would be used in addition to managing the underlying inflammatory process, not as a standalone treatment for the rash itself. *Selenium sulphide* - **Selenium sulfide** is an antifungal agent primarily used for conditions like seborrheic dermatitis and tinea versicolor. - The diffuse eczematous rash shown in the image is not characteristic of these conditions.
Explanation: ***Acantholytic cell*** - The image displays characteristics of an **acantholytic cell**, particularly with its **rounder shape** and visible nucleus, surrounded by a distinct halo or separated from adjacent cells. - These cells result from the loss of cohesion between **keratinocytes** due to the breakdown of desmosomes, a hallmark feature in conditions like **Pemphigus vulgaris**. *Acanthocyte* - An **acanthocyte** is a red blood cell with **spiculated projections** (thorn-like processes) on its surface, often seen in liver disease or abetalipoproteinemia. - The cell in the image does not resemble a red blood cell and lacks the characteristic spiky projections. *Acanthosis* - **Acanthosis** refers to the **thickening of the stratum spinosum** (prickle cell layer) in the epidermis. - This is a **histopathological finding** visible at a tissue level, not a characteristic of an individual cell. *Anaplastic cell* - An **anaplastic cell** is typically a **highly undifferentiated malignant cell** with features like pleomorphism, prominent nucleoli, and abnormal mitotic figures. - While these cells can be irregular, the cell in the image specifically points to loss of intercellular adhesion rather than general cellular malignancy and dedifferentiation.
Explanation: **Erythrasma** - The image shows a **reddish-brown, finely wrinkled lesion** in an intertriginous area (neck folds), consistent with erythrasma. - The gram stain reveals **long, filamentous Gram-positive bacilli**, characteristic of *Corynebacterium minutissimum*, the causative agent of erythrasma. *Impetigo contagiosa* - This typically presents as **honey-colored crusted lesions** or vesicles, often caused by *Staphylococcus aureus* or *Streptococcus pyogenes*. - Gram stain would show **Gram-positive cocci** (clusters for staph, chains for strep), not filamentous bacilli. *Scrofuloderma* - This is a form of **cutaneous tuberculosis**, typically presenting as **nontender subcutaneous nodules** that eventually ulcerate and discharge caseous material. - Diagnosis is confirmed by identifying acid-fast bacilli or histology showing granulomas; the gram stain and lesion appearance are not consistent. *Scrum pox* - This is a **viral skin infection** (often herpes simplex virus) seen in wrestlers, presenting as **vesicular or ulcerative lesions**. - It would not show filamentous Gram-positive bacilli on a bacterial gram stain.
Explanation: ***Aspergillus*** - **Aspergillus** is a **mold (filamentous fungus)**, NOT a dermatophyte, and therefore **cannot cause tinea cruris** (jock itch). - Dermatophytes (Trichophyton, Microsporum, Epidermophyton) are specialized fungi that digest keratin and cause superficial skin infections with characteristic ringworm patterns. - Aspergillus typically causes invasive infections in immunocompromised patients (invasive aspergillosis), allergic bronchopulmonary aspergillosis (ABPA), or rarely deep cutaneous infections in severely immunocompromised individuals—not superficial groin rashes. - **Key distinction:** Tinea cruris = dermatophyte infection; Aspergillus = opportunistic mold *Microsporum* - **Microsporum** species are dermatophytes that CAN cause tinea cruris, though less commonly than Trichophyton and Epidermophyton. - *M. canis* is the most common species, typically causing **tinea capitis** (scalp) and **tinea corporis** (body), but can extend to the groin area. - While not the most frequent cause, it remains a possible etiology and should not be excluded. *Epidermophyton* - **Epidermophyton floccosum** is one of the **most common causes** of tinea cruris. - Presents with itchy, erythematous, scaling patches with well-defined, elevated borders in the inguinal folds. - Thrives in warm, moist environments, making the groin an ideal location. - **Classic presentation:** bilateral involvement with central clearing and advancing scaly borders. *Trichophyton* - **Trichophyton rubrum** is the **MOST common** cause of tinea cruris worldwide, followed by **T. mentagrophytes**. - Causes characteristic pruritic, erythematous, annular or serpiginous lesions with raised, scaly borders. - T. rubrum accounts for the majority of dermatophyte infections in the groin, feet, and nails.
Impetigo
Practice Questions
Folliculitis, Furuncles, and Carbuncles
Practice Questions
Ecthyma
Practice Questions
Erysipelas and Cellulitis
Practice Questions
Staphylococcal Scalded Skin Syndrome
Practice Questions
Necrotizing Fasciitis
Practice Questions
Cutaneous Tuberculosis
Practice Questions
Leprosy
Practice Questions
Lyme Disease
Practice Questions
Syphilis
Practice Questions
Antibiotic Resistance in Dermatology
Practice Questions
Prophylaxis and Management
Practice Questions
Get full access to all questions, explanations, and performance tracking.
Start For Free