Which of the following is NOT found in the posterior mediastinum?
All of the following are true about the thymus, EXCEPT:
What is true about the sinus venosus?
All of the following are levels of constriction of the esophagus, EXCEPT?
Which of the following structures does NOT cause constriction of the esophagus?
In a patient with a tumor in the superior mediastinum compressing the superior vena cava, all of the following veins would serve as alternate pathways for blood return to the right atrium, except?
The breast is classified as which of the following?
Ectopia cordis is associated with which of the following organs?
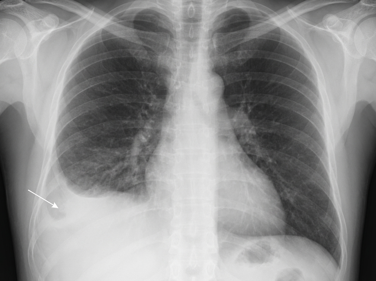
A patient with a known history of pulmonary tuberculosis presents to the emergency room with dyspnea. A chest X-ray reveals specific findings. Which of the following structures is NOT pierced during a diagnostic tap performed from the indicated structure?

Which of the following statements is true about the right atrium?
Explanation: The mediastinum is divided into superior and inferior parts by a plane passing through the sternal angle (T4-T5). The inferior mediastinum is further subdivided into anterior, middle, and posterior compartments [2]. **Why Thymus is the correct answer:** The **Thymus** is primarily located in the **Superior Mediastinum** (in children) and extends into the **Anterior Mediastinum** [1]. It is situated behind the manubrium sterni and in front of the great vessels and pericardium. In adults, it undergoes atrophy and is replaced by fatty tissue, but its anatomical location remains anterior to the heart. **Analysis of Incorrect Options:** * **Esophagus (A):** It is a major occupant of the posterior mediastinum, descending behind the trachea and the heart before piercing the diaphragm at T10. * **Azygos Vein (B):** This vein ascends in the posterior mediastinum to the right of the thoracic duct and arches over the root of the right lung to join the SVC. * **Sympathetic Trunk (D):** The thoracic part of the sympathetic chain lies against the heads of the ribs in the posterior mediastinum. **High-Yield Facts for NEET-PG:** * **Contents of Posterior Mediastinum (Mnemonic: DATES):** **D**escending aorta, **A**zygos/Hemiazygos veins, **T**horacic duct, **E**sophagus, **S**ympathetic trunk/Splanchnic nerves. * **Thoracic Duct:** It is the largest lymphatic vessel; it starts as Cisterna Chyli (L1-L2) and enters the thorax through the aortic opening. * **Vagus Nerve:** The left and right vagi enter the posterior mediastinum as the esophageal plexus [1]. * **Clinical Pearl:** Mediastinal masses are localized by compartment; a mass in the posterior mediastinum is most likely neurogenic (e.g., Schwannoma), whereas an anterior mass is often one of the "4 Ts": Thymoma, Teratoma, Thyroid (retrosternal), or "Terrible" Lymphoma.
Explanation: ### Explanation **Correct Option: D (The medulla of the thymus contains 85% of the lymphoid cells)** This statement is **incorrect**, making it the right answer for an "EXCEPT" question. In the thymus, the **cortex** is densely packed with immature T-lymphocytes (thymocytes), containing approximately **85-90%** of the total lymphoid population. The **medulla** contains only about 10-15% of the lymphoid cells, which are more mature and less densely packed, along with characteristic Hassall’s corpuscles. **Analysis of Other Options:** * **Option A:** The thymus has a dual origin. The epithelium develops from the **ventral wing of the 3rd pharyngeal pouch**, with a minor contribution from the **4th pouch**. * **Option B:** In children, the thymus is a prominent structure located in the **superior and anterior mediastinum**. It lies behind the manubrium and body of the sternum. * **Option C:** The thymus is a lymphoepithelial organ. It consists of an **epithelial framework** (derived from endoderm) and a **stroma** (connective tissue capsule and septa) that supports the developing lymphocytes (derived from mesoderm/bone marrow) [1], [2]. **High-Yield Clinical Pearls for NEET-PG:** * **Hassall’s Corpuscles:** These are concentric whorls of epithelial cells found exclusively in the **medulla**. * **Blood-Thymus Barrier:** Located only in the **cortex**; it prevents circulating antigens from reaching developing T-cells. * **Involution:** The thymus reaches its maximum weight at puberty (30–40g) and then undergoes **fatty atrophy** (involution). * **DiGeorge Syndrome:** Failure of the 3rd and 4th pharyngeal pouches to develop, leading to thymic aplasia and T-cell deficiency. * **Myasthenia Gravis:** Strongly associated with thymic hyperplasia or thymoma.
Explanation: The **Sinus Venosus** is a crucial embryological structure in the development of the heart. It initially consists of a body and two horns (right and left). ### 1. Why the Correct Answer is Right The **right horn** of the sinus venosus undergoes significant expansion and eventually incorporates into the posterior wall of the right atrium. This incorporated part becomes the **Sinus Venarum**, which is the **smooth-walled posterior part** of the definitive right atrium. It is where the superior and inferior venae cavae open [1]. ### 2. Why the Incorrect Options are Wrong * **Option A:** The **rough wall** (pectinate part) of the right atrium is derived from the **primitive atrium**, not the sinus venosus. The boundary between the smooth and rough parts is marked internally by the *crista terminalis* and externally by the *sulcus terminalis* [1]. * **Option C:** The right horn forms the smooth wall of the atrium, while the **left horn** regresses to form the **Coronary Sinus** and the Oblique vein of the left atrium (Vein of Marshall). * **Option D:** The coronary sinus is a single venous channel; it does not have "leaflets" formed by the sinus venosus. The sinus venosus valves (right and left) actually form the valve of the IVC (Eustachian valve) and the valve of the coronary sinus (Thebesian valve) [1]. ### 3. High-Yield Clinical Pearls for NEET-PG * **Crista Terminalis:** Represents the site of fusion between the sinus venosus and the primitive atrium [1]. * **SA Node:** Originally develops in the wall of the sinus venosus; hence, its final position is at the upper end of the crista terminalis. * **Left Horn Derivatives:** Coronary sinus and Oblique vein of Marshall. * **Right Horn Derivatives:** Sinus venarum (smooth part of RA).
Explanation: The esophagus is a muscular tube approximately 25 cm long. It does not have a uniform caliber; instead, it features four physiological constrictions where external structures compress its lumen. These sites are clinically significant as they are common locations for the lodgment of foreign bodies and the development of strictures following corrosive ingestion. **Explanation of the Correct Answer:** **C. Left atrium:** While the esophagus lies immediately posterior to the left atrium (separated only by the pericardium), the left atrium does not normally cause a constriction. An enlarged left atrium (mitral stenosis) may displace or compress the esophagus, but this is a pathological finding, not a normal physiological constriction. **Explanation of Incorrect Options:** * **A. Arch of aorta:** The second constriction occurs at the level of T4, where the arch of aorta crosses the esophagus on its left side. * **B. Left main bronchus:** The third constriction occurs just below the aortic arch, where the left main bronchus crosses anterior to the esophagus. * **D. Diaphragm:** The fourth and final constriction occurs at the esophageal hiatus of the diaphragm (T10 level) as it enters the abdomen. **High-Yield NEET-PG Pearls:** 1. **The Four Constrictions (Distance from Incisor Teeth):** * **Cricopharyngeal junction:** 15 cm (Narrowest part). * **Aortic Arch:** 22.5 cm. * **Left Main Bronchus:** 27.5 cm. * **Diaphragmatic Hiatus:** 40 cm. 2. **Clinical Significance:** These distances are vital for endoscopists to locate lesions or calculate the depth for tube insertion. 3. **Barium Swallow:** In cases of mitral stenosis, the enlarged left atrium causes a characteristic "indentation" or posterior displacement of the esophagus on a lateral view.
Explanation: The esophagus has four anatomical constrictions where the lumen is naturally narrowed. These are high-yield for NEET-PG as they are common sites for the lodgment of foreign bodies and corrosive injuries. **Explanation of the Correct Answer:** **C. Left atrium:** While the esophagus lies posterior to the heart, specifically the left atrium, a healthy left atrium does **not** cause a physiological constriction. However, in clinical pathology (like mitral stenosis), an **enlarged** left atrium can compress the esophagus (causing dysphagia megalatriensis), but it is not considered one of the four standard anatomical constrictions. **Explanation of Incorrect Options:** 1. **Arch of aorta (Option A):** The second constriction occurs where the arch of aorta crosses the esophagus (approx. 22 cm from the incisors). 2. **Left main bronchus (Option B):** The third constriction occurs where the left main bronchus crosses the esophagus (approx. 26 cm from the incisors). *Note: Some texts group the aorta and bronchus together as the "broncho-aortic" constriction.* 3. **Diaphragm (Option D):** The fourth and final constriction occurs at the esophageal hiatus of the diaphragm (T10 level), approximately 40 cm from the incisors. **High-Yield NEET-PG Pearls:** * **First Constriction:** At the pharyngoesophageal junction (Cricopharyngeus muscle), 15 cm from incisors. This is the **narrowest** part. * **Rule of Distances:** Remember the distances from the upper incisor teeth: **6, 9, 11, and 15 inches** (or 15, 22, 26, and 40 cm). * **Clinical Significance:** These sites are prone to strictures following the ingestion of caustic substances and are the most common sites for esophageal carcinoma.
Explanation: In **Superior Vena Cava (SVC) Syndrome**, blood must bypass the obstruction to reach the right atrium. This occurs via four primary collateral pathways: the **Azygos**, **Internal Thoracic**, **Lateral Thoracic**, and **Vertebral venous systems**. [1] ### **Why Option D is the Correct Answer** While the **Vertebral Venous Plexus (of Batson)** does communicate with the systemic circulation and can act as a bypass, it primarily drains into the **intercostal veins**, which then feed into the **Azygos system**. In the context of standard NEET-PG anatomy, the vertebral plexus is considered a "deep" pathway that eventually converges into the other systems mentioned. However, the question asks for the *least* direct or effective pathway compared to the major superficial/deep venous trunks. More importantly, in clinical anatomy, the vertebral plexus is most famous for the **retrograde spread of metastases** (e.g., prostate cancer to the spine) rather than being a primary compensatory channel for SVC obstruction. ### **Analysis of Incorrect Options** * **A. Lateral Thoracic Vein:** Part of the **Thoracoepigastric pathway**. It connects the axillary vein to the superficial epigastric vein (tributary of the IVC), allowing blood to bypass the SVC. * **B. Internal Thoracic Vein:** Connects the brachiocephalic veins to the inferior epigastric veins, forming a direct link between the SVC and IVC systems. * **C. Hemiazygos Vein:** Part of the **Azygos pathway**. If the SVC is blocked *above* the azygos opening, blood flows via the intercostal veins into the azygos/hemiazygos system to enter the SVC remnant or IVC. ### **High-Yield Clinical Pearls** * **Azygos Vein:** The most important collateral pathway in SVC obstruction. * **Physical Sign:** Look for "distended veins over the chest wall" where blood flows **downward** toward the IVC. * **Batson’s Plexus:** Valveless veins; explains why coughing or straining (increasing intra-abdominal pressure) can push cancer cells or emboli from the pelvis to the brain or spine.
Explanation: ### Explanation **Correct Answer: B. A modified sweat gland** The mammary gland (breast) is embryologically and histologically classified as a **modified apocrine sweat gland** [1]. It develops from the **milk line** (mammary ridge), which is a thickening of the ectoderm. Like apocrine sweat glands, the mammary glands secrete their product (milk) via a process where a portion of the secretory cell's cytoplasm is released along with the secretion [1]. **Analysis of Incorrect Options:** * **A. An endocrine gland:** Endocrine glands (e.g., thyroid, pituitary) are ductless and secrete hormones directly into the bloodstream. The breast is an **exocrine gland** because it uses a system of lactiferous ducts to transport milk to the nipple [1]. * **C. A modified sebaceous gland:** Sebaceous glands secrete sebum into hair follicles. While the **Tubercles of Montgomery** (located on the areola) are modified sebaceous glands, the breast as a whole is not [1]. * **D. A holocrine gland:** In holocrine secretion (e.g., sebaceous glands), the entire cell disintegrates to release its content. The breast primarily uses **merocrine** (for protein components) and **apocrine** (for lipid components) secretion. **High-Yield Clinical Pearls for NEET-PG:** * **Location:** The breast lies in the superficial fascia of the pectoral region, extending from the **2nd to the 6th rib** vertically and from the lateral border of the sternum to the mid-axillary line horizontally. * **Axillary Tail of Spence:** This is the only part of the breast that pierces the deep fascia (clavipectoral fascia) to lie in the axilla. * **Suspensory Ligaments of Cooper:** These fibrous bands connect the skin to the deep fascia [2]. Their contraction by a scirrhous carcinoma causes **skin dimpling** [2]. * **Lymphatic Drainage:** Approximately **75%** of lymph drains into the **axillary nodes** (primarily the Pectoral/Anterior group).
Explanation: Ectopia cordis is a rare congenital malformation where the heart is located partially or totally outside the thoracic cavity. It occurs due to a failure of the lateral body wall folds to fuse in the midline during the fourth week of development, resulting in a defect in the chest wall (sternum) and pericardium. * **Why Option C is Correct:** The term is derived from Greek (*ektos* = outside; *kardia* = heart). In this condition, the heart is exposed through a sternal cleft and may be found in the neck, thorax, or abdomen. * **Why Options A, B, and D are Incorrect:** * **Lens:** Displacement of the lens is termed *Ectopia lentis* (commonly seen in Marfan syndrome). * **Lungs:** While the lungs are in the thorax, their displacement is not termed ectopia cordis. Pulmonary hypoplasia may occur secondary to thoracic defects, but it is not the primary definition. * **Liver:** Displacement of abdominal viscera through the umbilicus is termed *Omphalocele*. **NEET-PG High-Yield Pearls:** 1. **Pentalogy of Cantrell:** A classic syndrome associated with Ectopia cordis. It includes five defects: (1) Ectopia cordis, (2) Supraumbilical abdominal wall defect (Omphalocele), (3) Diaphragmatic hernia, (4) Pericardial defect, and (5) Sternal cleft. 2. **Embryology:** It results from the failure of **ventral body wall closure**. 3. **Diagnosis:** It is easily detectable on prenatal ultrasound during the first trimester.
Explanation: ***Visceral pleura*** - During **thoracocentesis**, the needle stops in the **pleural space** between the parietal and visceral pleura to aspirate fluid, never penetrating the visceral pleura. - The visceral pleura is closely adhered to the **lung surface** and piercing it would cause **pneumothorax** and lung injury. *Serratus anterior* - This muscle is pierced during thoracocentesis as the needle passes through the **chest wall** in the **mid-axillary line**. - It lies superficially in the **lateral chest wall** and is routinely traversed during the procedure. *External intercostal muscle* - The needle must pierce the **external intercostal muscle** as part of the intercostal space anatomy during thoracocentesis. - It runs **obliquely downward and forward** between adjacent ribs and is always encountered during pleural tap. *Endothoracic fascia* - This **deep fascial layer** lines the inner surface of the chest wall and is pierced before reaching the **parietal pleura**. - It separates the **intercostal muscles** from the parietal pleura and must be traversed during thoracocentesis.
Explanation: ### Explanation The right atrium is a high-yield topic in NEET-PG anatomy, focusing on its internal features and relations. **Why Option C is Correct:** The **coronary sinus** (the primary venous drainage of the heart) opens into the right atrium between the opening of the **inferior vena cava (IVC)** and the **tricuspid orifice**. Specifically, it lies in the posterior-inferior part of the interatrial septum, situated between the **fossa ovalis** and the IVC opening. This area is clinically significant as it forms part of the **Triangle of Koch**, which contains the AV node. **Analysis of Incorrect Options:** * **Option A:** The right auricle is a small, conical muscular pouch that projects from the atrium to cover the root of the ascending aorta. It lies **anteromedially** (not superolaterally) in relation to the root of the aorta. * **Option B:** The right atrium rests on the central tendon of the diaphragm, but the level of the IVC opening (where the atrium meets the diaphragm) is at the **T8 level**, not T10. * **Option C:** The **Superior Vena Cava (SVC) has no valve**. In contrast, the IVC is guarded by the *Eustachian valve* and the coronary sinus is guarded by the *Thebesian valve* (both are rudimentary in adults). **High-Yield NEET-PG Pearls:** 1. **Triangle of Koch Boundaries:** Guarded by the Tendon of Todaro, the septal leaflet of the tricuspid valve, and the opening of the coronary sinus [1]. **Apex:** Contains the AV node. 2. **Crista Terminalis:** A vertical ridge separating the smooth posterior part (*sinus venarum*) from the rough anterior part (*pectinate muscles*). The SA node is located at its upper end. 3. **Musculi Pectinati:** These originate from the crista terminalis and run anteriorly toward the auricle [1].
Thoracic Wall and Diaphragm
Practice Questions
Pleura and Lungs
Practice Questions
Mediastinum
Practice Questions
Heart and Pericardium
Practice Questions
Great Vessels and Azygos System
Practice Questions
Thoracic Duct and Lymphatics
Practice Questions
Autonomic Innervation
Practice Questions
Applied Anatomy and Clinical Correlations
Practice Questions
Thoracic Imaging and Cross-sectional Anatomy
Practice Questions
Embryological Development of Thoracic Structures
Practice Questions
Get full access to all questions, explanations, and performance tracking.
Start For Free