The inferior angle of the scapula is typically located at which vertebral level?
Which of the following structures does NOT pass from the thorax to the abdomen behind the diaphragm?
What is true about the internal thoracic artery?
At which level of the cervical vertebra is the apex of the lung located?
Which of the following is related to the posterior mediastinal part of the right lung?
Which of the following statements about the subclavian artery is FALSE?
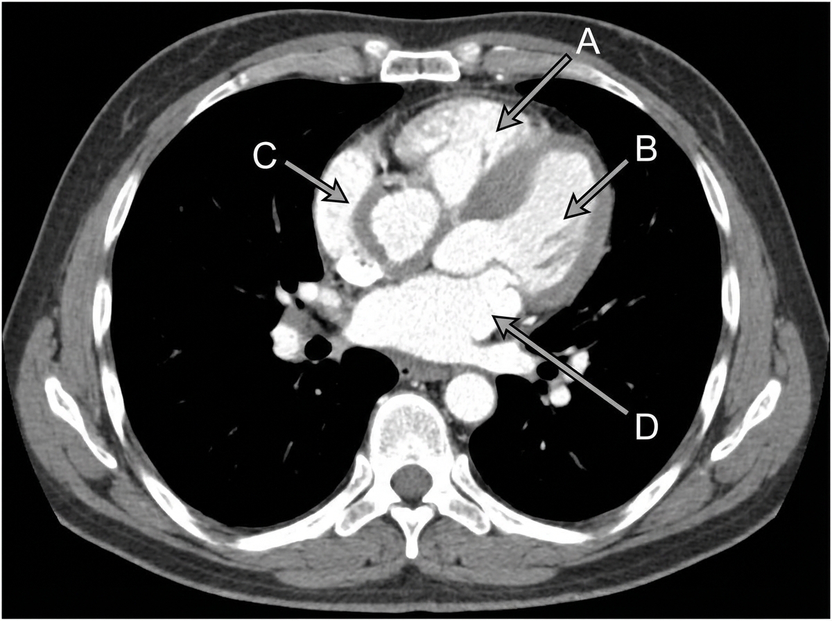
In a CT scan of the thorax, which labeled site or structure becomes hypertrophied as a result of pulmonary stenosis?

Which of the following statements regarding coronary circulation is false?
Which part of the heart is considered the bluntly rounded portion?
True regarding coronary circulation is:
Explanation: **Explanation:** The scapula is a key surface anatomy landmark used to identify vertebral levels during clinical examinations. The **inferior angle of the scapula** typically lies at the level of the **T7 spinous process** (or the T8 vertebral body) when the patient is in the anatomical position with arms at the side. **Why T7 is correct:** In a standard clinical setting, the inferior angle serves as a reliable guide for counting ribs and vertebrae. It aligns with the 7th intercostal space and the T7 spinous process. This is a high-yield landmark for performing procedures like thoracocentesis or auscultating the lower lobes of the lungs. **Analysis of Incorrect Options:** * **T2 (Option D):** This corresponds to the **superior angle** of the scapula and the medial end of the supraspinous fossa. * **T4 (Option C):** This corresponds to the **root of the spine of the scapula**. It is also the level of the Sternal Angle (Angle of Louis) anteriorly. * **T10 (Option B):** This is much lower than the scapula. It typically corresponds to the level of the **xiphisternal joint** and where the esophagus pierces the diaphragm. **High-Yield Clinical Pearls for NEET-PG:** * **T2:** Superior angle of scapula. * **T3:** Spine of scapula (medial end). * **T7:** Inferior angle of scapula. * **Safe Zone for Thoracocentesis:** Usually performed in the 7th–9th intercostal spaces, using the inferior angle (T7/7th ICS) as a starting reference point to avoid lung injury. * **Scapular Winging:** Caused by injury to the **Long Thoracic Nerve** (supplying Serratus Anterior), which results in the medial border and inferior angle protruding posteriorly. **Note on References:** While standard anatomical texts confirm these landmarks, the provided surgical references discuss related regional anatomy (e.g., nerve courses, spinal cord termination, and mediastinal boundaries) without explicitly stating the vertebral level of the scapular angles.
Explanation: The diaphragm acts as a musculotendinous partition between the thorax and abdomen, featuring three major openings and several smaller apertures for the passage of vital structures. **Explanation of the Correct Answer:** The **Greater splanchnic nerve** (along with the lesser and least splanchnic nerves) does not pass *behind* the diaphragm. Instead, it **pierces the crus of the diaphragm** (specifically the medial aspect of the crus) to enter the abdomen and synapse in the celiac ganglion. Therefore, it is an intra-diaphragmatic passage rather than a retro-diaphragmatic one. **Analysis of Incorrect Options:** The structures passing **behind the diaphragm** (specifically through or behind the Aortic Hiatus at the level of T12) include: * **Abdominal Aorta (B):** Enters the abdomen behind the median arcuate ligament. * **Thoracic Duct (C):** Ascends from the cisterna chyli into the thorax, passing behind the aorta. * **Azygos Vein (A):** Typically passes through the aortic hiatus or behind the right crus to enter the thorax. * *Mnemonic for Aortic Hiatus (T12):* **"T-A-N"** (Thoracic duct, Azygos vein, Narrow Aorta). **High-Yield NEET-PG Pearls:** 1. **Vena Caval Opening (T8):** Passes the Inferior Vena Cava and branches of the Right Phrenic Nerve. 2. **Esophageal Opening (T10):** Passes the Esophagus, Vagus nerves (Anterior/Posterior trunks), and esophageal branches of left gastric vessels. 3. **Sympathetic Chain:** Passes behind the **medial arcuate ligament**. 4. **Subcostal vessels/nerve:** Pass behind the **lateral arcuate ligament**. 5. **Left Phrenic Nerve:** Pierces the muscular part of the left dome of the diaphragm.
Explanation: ### Explanation The **internal thoracic artery (ITA)**, also known as the internal mammary artery, is a vital vessel in thoracic anatomy and clinical practice. **1. Why Option A is correct:** The ITA arises from the **inferior aspect of the first part of the subclavian artery**, approximately 2 cm above the sternal end of the clavicle. It descends vertically behind the costal cartilages, approximately 1.25 cm lateral to the sternal margin. **2. Why the other options are incorrect:** * **Option B:** The **pericardiophrenic artery** is a *collateral branch* that arises in the upper thorax and accompanies the phrenic nerve. It is not a terminal branch. * **Option C:** The ITA terminates by dividing into the **superior epigastric** and **musculophrenic arteries** at the level of the **6th intercostal space** (not the 4th) [1]. * **Option D:** The artery descends at the **anterior end** of the intercostal spaces, passing anterior to the transversus thoracis muscle and posterior to the upper six costal cartilages. **3. High-Yield Clinical Pearls for NEET-PG:** * **CABG Gold Standard:** The ITA (especially the Left ITA) is the preferred conduit for Coronary Artery Bypass Grafting due to its superior long-term patency rates compared to venous grafts. * **Coarctation of Aorta:** In post-ductal coarctation, the ITA provides a major collateral pathway. It supplies the anterior intercostal arteries, which anastomose with the posterior intercostal arteries to bypass the obstruction. * **Branches:** It gives off the mediastinal, thymic, pericardiacophrenic, anterior intercostal (upper 6 spaces), and perforating branches before its terminal bifurcation [1].
Explanation: **Explanation:** The apex of the lung is the rounded superior extremity of the lung that extends into the root of the neck. Anatomically, the apex rises approximately **2.5 to 4 cm above the level of the first costal cartilage** and about **1 cm above the medial third of the clavicle**. **Why C7 is the correct answer:** Posteriorly, the apex of the lung reaches the level of the **spine of the seventh cervical vertebra (C7)**. It is covered by the cervical pleura (cupula) and the suprapleural membrane (Sibson’s fascia), which attaches to the transverse process of C7. This posterior landmark is a high-yield anatomical fact frequently tested in medical entrance exams. **Analysis of Incorrect Options:** * **C4 & C5:** These levels are too superior. They correspond to the upper part of the larynx and the thyroid cartilage. The lung does not extend this high into the neck. * **C6:** While the cricoid cartilage and the beginning of the trachea/esophagus are at the C6 level, the highest point of the lung apex posteriorly is consistently mapped to the C7 spinous process. **Clinical Pearls for NEET-PG:** 1. **Sibson’s Fascia:** This is the thickened endothoracic fascia that protects the apex of the lung and prevents it from puffing into the neck during respiration. 2. **Pancoast Tumor:** A tumor at the lung apex can compress the sympathetic chain (leading to **Horner’s Syndrome**) or the lower roots of the brachial plexus (C8-T1). Any tumor penetrating the pleura in this region is defined as invading the mediastinum [1]. 3. **Stab Wounds:** Because the apex rises above the clavicle, penetrating injuries to the root of the neck can result in a **pneumothorax**.
Explanation: The mediastinal surface of the right lung is characterized by several distinct impressions formed by adjacent thoracic structures. Understanding these relationships is crucial for NEET-PG anatomy questions. ### **Why Option B is Correct** The **Superior Vena Cava (SVC)** is a major structure located in the superior and anterior part of the right mediastinum [1]. On the mediastinal surface of the right lung, the SVC leaves a prominent vertical groove anterior to the hilum and superior to the impression of the right atrium. Other key structures related to the right lung include the azygos vein (arching over the hilum), the esophagus, and the trachea. ### **Why Other Options are Incorrect** * **A. Arch of Aorta:** This is a left-sided structure. It arches over the hilum of the **left lung**, leaving a deep groove superior to the left pulmonary artery. * **C. Pulmonary Trunk:** The pulmonary trunk lies centrally but inclines to the left as it bifurcates. Its impression is primarily associated with the **left lung** (anterior to the hilum). * **D. Left Ventricle:** The left ventricle forms the largest impression on the mediastinal surface of the **left lung** (the cardiac impression), which is much deeper than the right-sided cardiac impression formed by the right atrium. ### **High-Yield Clinical Pearls for NEET-PG** * **Right Lung Impressions:** Right atrium, SVC, IVC, Azygos vein, Esophagus, and Trachea. * **Left Lung Impressions:** Left ventricle, Arch of aorta, Descending thoracic aorta, Left subclavian artery, and Esophagus (lower part). * **The Azygos Vein:** It is the "right-sided equivalent" of the aortic arch in terms of its relationship to the lung hilum. * **Phrenic vs. Vagus:** On both sides, the **Phrenic nerve** passes **anterior** to the hilum, while the **Vagus nerve** passes **posterior** to it [1].
Explanation: ### Explanation The subclavian artery is a major vessel of the thorax and neck, and its anatomy is a high-yield topic for NEET-PG. **1. Why Option C is the Correct (False) Statement:** The **vertebral artery** arises from the **first part** of the subclavian artery, not the second. The subclavian artery is divided into three parts relative to the **scalenus anterior muscle**. * **First part (medial to the muscle):** Gives off the Vertebral artery, Internal thoracic artery, and Thyrocervical trunk (**VIT**). * **Second part (posterior to the muscle):** Gives off the Costocervical trunk (on the right side; on the left, it usually arises from the first part). * **Third part (lateral to the muscle):** Gives off the Dorsal scapular artery (variable). **2. Analysis of Other Options:** * **Option A & B:** These are anatomically correct. The **right** subclavian arises from the brachiocephalic trunk (behind the right sternoclavicular joint), while the **left** subclavian arises directly from the arch of the aorta in the superior mediastinum. * **Option D:** This is correct. The **scalenus anterior** muscle is the key anatomical landmark used to divide the artery into three distinct parts. **3. Clinical Pearls for NEET-PG:** * **Subclavian Steal Syndrome:** Occurs due to stenosis of the subclavian artery proximal to the origin of the vertebral artery, leading to retrograde flow from the vertebral artery to the arm. * **Cervical Rib:** Can compress the third part of the subclavian artery, leading to thoracic outlet syndrome. * **Surface Marking:** The artery reaches its highest point about 1.5 cm above the clavicle.
Explanation: ***Site C (Right Ventricle)*** - **Pulmonary stenosis** causes increased **right ventricular outflow resistance**, forcing the right ventricle to work harder and leading to **right ventricular hypertrophy**. - On CT scan, this appears as **thickened right ventricular wall** and increased muscle mass to compensate for the stenotic pulmonary valve. *Site A* - Likely represents the **left ventricle**, which is not directly affected by pulmonary stenosis as it pumps blood to the **systemic circulation**. - **Left ventricular hypertrophy** would occur in conditions like **aortic stenosis** or **systemic hypertension**, not pulmonary stenosis. *Site B* - Probably indicates the **right atrium** or **left atrium**, which may show mild dilation but not hypertrophy in pulmonary stenosis. - Atrial chambers primarily serve as **blood reservoirs** and do not develop significant muscular hypertrophy like ventricles. *Site D* - Most likely represents the **left atrium** or **aorta**, structures unrelated to the pulmonary circulation pathway. - These structures remain **anatomically normal** in isolated pulmonary stenosis as they handle systemic rather than pulmonary blood flow.
Explanation: ### Explanation The correct answer is **C**, as the statement "The right bundle branch is supplied by the right coronary artery" is **false**. #### 1. Why Option C is the Correct Answer (The False Statement) In the cardiac conduction system, the **Right Bundle Branch (RBB)** is primarily supplied by the **Left Anterior Descending (LAD) artery**, which is a branch of the Left Coronary Artery (LCA). Specifically, the septal branches of the LAD provide the bulk of the blood supply to the RBB [1]. Therefore, an occlusion of the LAD often results in a Right Bundle Branch Block (RBBB). #### 2. Analysis of Other Options * **Options A & B:** The interventricular septum (IVS) has a dual supply. The **anterior 2/3rd** is supplied by the **LAD (branch of LCA)**, while the **posterior 1/3rd** is supplied by the **Posterior Interventricular Artery (PIVA)** [1]. In 70-85% of individuals (Right Dominance), the PIVA arises from the Right Coronary Artery (RCA) [2]. * **Option D:** The **Left Bundle Branch (LBB)** has a dual blood supply from both the LAD and the PIVA (usually RCA). Since the LCA (via the LAD) contributes significantly to its supply, the statement is considered functionally true in a general anatomical context. #### 3. High-Yield Clinical Pearls for NEET-PG * **SA Node Supply:** Supplied by the RCA in 60% of cases and the LCA in 40%. * **AV Node Supply:** Supplied by the RCA in 90% of cases (via the AV nodal artery arising at the crux). * **Cardiac Dominance:** Determined by which artery gives rise to the **Posterior Interventricular Artery**. * **Widow Maker:** A term used for the occlusion of the Left Main or LAD artery due to its massive territory of supply (anterior wall and septum).
Explanation: The heart is a hollow muscular organ shaped roughly like a four-sided pyramid. The **Apex** of the heart is defined as its **bluntly rounded portion**, directed downwards, forwards, and to the left. It is formed entirely by the **left ventricle**. In a living adult, the apex is located in the left 5th intercostal space, approximately 9 cm (or 3.5 inches) lateral to the midsternal line, just medial to the midclavicular line. **Analysis of Options:** * **Apex (Correct):** As described, it is the inferolateral, blunt extremity of the heart where the sounds of mitral valve closure are maximal. * **Base:** Unlike the apex, the base is the posterior aspect (not the bottom) of the heart. It is formed mainly by the **left atrium** and a small part of the right atrium. It faces posteriorly toward the bodies of vertebrae T5–T8. * **Aorta:** This is the large artery that carries oxygenated blood from the left ventricle to the systemic circulation; it is a vessel, not a "part" or "portion" of the heart's external geometry. * **Pericardium:** This is the fibroserous sac that encloses the heart and the roots of the great vessels, acting as a protective covering rather than a structural portion of the heart muscle itself. **NEET-PG High-Yield Pearls:** * **Apex Beat:** The clinical manifestation of the apex is the "apex beat," the lowest and most lateral point of maximal cardiac pulsation. * **Clinical Correlation:** In cases of **left ventricular hypertrophy**, the apex is displaced further downwards and laterally. * **Surface Anatomy:** The apex lies deep to the left 5th intercostal space in adults, but in children (under 4 years), it is often found in the 4th intercostal space due to a more horizontal heart position.
Explanation: Explanation: 1. Why Option C is Correct: Coronary dominance is defined by which artery gives rise to the Posterior Interventricular Artery (PIVA) [1]. In Right Dominance (found in ~70-85% of individuals), the PIVA arises from the Right Coronary Artery (RCA) [1]. However, despite the RCA being "dominant" by definition, the Left Coronary Artery (LCA) typically supplies a greater volume of the total ventricular myocardium (including most of the left ventricle and the interventricular septum). Therefore, even in right-dominant hearts, the LCA remains the physiologically superior supplier of cardiac tissue. 2. Analysis of Incorrect Options: * Option A: Dominance primarily affects the diaphragmatic (inferior) surface of the heart, as the PIVA runs in the posterior interventricular groove. The anterior surface is consistently supplied by the Left Anterior Descending (LAD) artery [1]. * Option B: Most individuals (~70-85%) are Right Dominant. Left dominance occurs in only about 8-10% of the population, while the remainder are co-dominant. * Option D: Dominance is dependent on the origin of the Posterior Interventricular Artery (PIVA) and the Sinoatrial (SA) nodal artery is not the deciding factor. While the RCA usually supplies the SA and AV nodes, this is independent of the formal definition of dominance. High-Yield Clinical Pearls for NEET-PG: * AV Nodal Artery: Usually arises from the "dominant" artery (at the crux of the heart). * SA Nodal Artery: Arises from the RCA in 60% of cases and the LCA (Circumflex) in 40%. * The Crux: The junction of the coronary sulcus and posterior interventricular groove; this is where the dominant artery gives off the PIVA. * LAD Importance: Known as the "Widow Maker," it is the most common site of coronary occlusion [1].
Thoracic Wall and Diaphragm
Practice Questions
Pleura and Lungs
Practice Questions
Mediastinum
Practice Questions
Heart and Pericardium
Practice Questions
Great Vessels and Azygos System
Practice Questions
Thoracic Duct and Lymphatics
Practice Questions
Autonomic Innervation
Practice Questions
Applied Anatomy and Clinical Correlations
Practice Questions
Thoracic Imaging and Cross-sectional Anatomy
Practice Questions
Embryological Development of Thoracic Structures
Practice Questions
Get full access to all questions, explanations, and performance tracking.
Start For Free