Which nerve marked as X innervates the Aortic Arch?

Which nerve marked as X innervates the carotid sinus?

Identify the structure indicated by the pointer in the image.

Identify the foramen marked below?

Which of the following blood vessels is Drummond's Artery? (Recent NEET Pattern 2016-17)

Which of the following is the bare area of liver?

The structure shown below is:

Identify the structure that forms the superior border of the epiploic foramen (marked in red) in the image below.

What is the function of the muscle marked in the cut section shown below? (AIIMS May 2018)

Which nerve supplies the highlighted muscle? (Recent NEET Pattern 2019)

Explanation: ***Aortic depressor nerve*** - The nerve marked as X in the diagram directly innervates the **aortic baroreceptors** located in the aortic arch. - This nerve is also known as the **aortic depressor nerve**, a branch of the vagus nerve (CN X), which transmits sensory information about blood pressure from the aortic arch to the central nervous system. *Carotid sinus nerve* - The carotid sinus nerve (also known as Hering's nerve) innervates the **carotid sinus and carotid body**, which are located at the bifurcation of the common carotid artery. - This nerve transmits sensory information from the carotid baroreceptors and chemoreceptors, distinct from the aortic arch. *Inferior cervical cardiac nerve* - The inferior cervical cardiac nerve is a **sympathetic nerve** that originates from the inferior cervical ganglion and innervates the heart. - It does not primarily innervate the aortic arch baroreceptors; its function is related to cardiac rate and contractility. *Superior cervical cardiac nerve* - Similar to the inferior cervical cardiac nerve, the superior cervical cardiac nerve is a **sympathetic nerve** originating from the superior cervical ganglion. - It primarily contributes to the cardiac plexus and innervates the heart, not specifically the aortic arch baroreceptors.
Explanation: ***Carotid sinus nerve*** - The **carotid sinus nerve** (also known as Hering's nerve) is a branch of the **glossopharyngeal nerve (cranial nerve IX)** that specifically innervates the carotid sinus. - It transmits afferent (sensory) signals from the **baroreceptors** in the carotid sinus to the **medulla oblongata** to regulate blood pressure. *Aortic depressor nerve* - The **aortic depressor nerve** is a branch of the vagus nerve (cranial nerve X) that innervates the **aortic arch baroreceptors**. - While also involved in blood pressure regulation, its innervation site is the aorta, not the carotid sinus. *Inferior cervical cardiac nerve* - The **inferior cervical cardiac nerve** is part of the **sympathetic nervous system** originating from the inferior cervical ganglion. - It primarily transmits sympathetic efferent signals to the heart, influencing heart rate and contractility, not innervating baroreceptors. *Thoracic cardiac nerve* - **Thoracic cardiac nerves** are generally part of the **sympathetic trunk** and course to the heart. - Like the inferior cervical cardiac nerve, they are involved in cardiac regulation but do not specifically innervate the carotid sinus baroreceptors.
Explanation: ***Conjoint tendon*** - The image clearly labels the structure indicated by the pointer as the **conjoint tendon**. - This tendon is formed by the fusion of the aponeuroses of the **internal oblique** and **transversus abdominis** muscles, providing strength to the posterior wall of the inguinal canal. *Muscle fibers* - While muscle fibers are present in the region (e.g., transversus abdominis muscle), the specific structure indicated by the pointer is clearly labeled as the **conjoint tendon**, not just generic muscle fibers. - Muscle fibers are the fundamental contractile units, whereas the conjoint tendon is a specific anatomical structure made of fibrous connective tissue. *Lumbar fascia* - The **lumbar fascia** is located in the posterior abdominal wall, covering the muscles of the back. - This structure is distinctly located in the anterior abdominal wall, part of the inguinal region, and is not the lumbar fascia. *Inguinal ligament* - The **inguinal ligament** is shown in the image but is located inferior to the indicated structure, forming the base of the inguinal canal. - The pointer specifically points to the fibrous structure superior to the superficial inguinal ring, which is the conjoint tendon, not the inguinal ligament.
Explanation: ***Foramen ovale*** - The image clearly points to the **oval-shaped opening** located in the middle cranial fossa, posterolateral to the foramen rotundum. - This foramen transmits the **mandibular nerve (V3)**, accessory meningeal artery, lesser petrosal nerve, and emissary veins. *Foramen rotundum* - The foramen rotundum is typically **more anterior and superior** to the foramen ovale and is round in shape. - It transmits the **maxillary nerve (V2)**, which is one of the three divisions of the trigeminal nerve. *Foramen spinosum* - The foramen spinosum is a **smaller, more posterior foramen** located just posterior and lateral to the foramen ovale. - It transmits the **middle meningeal artery** and the meningeal branch of the mandibular nerve. *Foramen lacerum* - The foramen lacerum is a **jagged, irregular opening** located inferior to the foramen ovale, filled with cartilage in living subjects. - It primarily transmits the **internal carotid artery** and some small emissary veins and nerves, but its superior surface in the neurocranium is largely covered.
Explanation: ***C*** - Label C points to the **marginal artery of Drummond**, which is a continuous arterial anastomosis running along the mesenteric border of the large intestine. - This artery provides a crucial **collateral blood supply** to the colon, connecting branches of the superior and inferior mesenteric arteries. *A* - Label A points to branches of the **superior mesenteric artery** supplying the transverse colon, specifically the **middle colic artery** and possibly the **right colic artery**. - These are major contributors to the colon's blood supply but are not individually referred to as Drummond's artery; rather, they anastomose with it. *B* - Label B points to the **superior mesenteric artery** itself, which is the main artery supplying the small intestine, and parts of the large intestine (up to the distal transverse colon). - The superior mesenteric artery is a primary source of blood flow, but Drummond's artery is a separate anastomotic channel. *D* - Label D points to branches of the **inferior mesenteric artery** supplying the descending colon, specifically the **left colic artery**. - This artery contributes to the distal portion of Drummond's artery, but D itself indicates one of the feeding vessels rather than the marginal artery itself.
Explanation: ***Correct: Option A*** - This area represents the **bare area of the liver**, which is the posterior surface of the right lobe that is directly in contact with the diaphragm - This region is **NOT covered by peritoneum** (visceral or parietal) - It is bounded by the **superior and inferior layers of the coronary ligament** - Laterally bounded by the **right and left triangular ligaments** - Clinical significance: This direct contact with the diaphragm allows for potential spread of infection between the liver and thoracic cavity *Incorrect: Options B, C, D* - These represent other surfaces or areas of the liver that are covered by visceral peritoneum - All other liver surfaces (anterior, superior, inferior, and most of posterior) are covered by peritoneum except the bare area
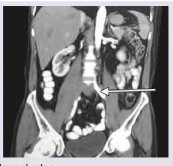
Explanation: ***Left ureter*** - The arrow points to a tubular structure originating from the left kidney and descending towards the pelvis, which is consistent with the anatomical course of the **left ureter**. - Its relatively thin, unbranched appearance distinguishes it from major blood vessels in this region. *Left renal artery* - The **left renal artery** would originate directly from the aorta, usually superior to the structure indicated, and would be a wider, more prominent vascular structure heading towards the kidney. - Renal arteries carry oxygenated blood and appear as high-density structures on contrast-enhanced CT, but the pointed structure is too inferior and thin. *Left common iliac artery* - The **left common iliac artery** is a large artery forming from the bifurcation of the aorta, typically lower in the abdomen, near the sacrum, and would be much wider and brighter on a contrast-enhanced CT. - The indicated structure is much thinner and more superior than where the common iliac artery typically begins. *Left inferior mesenteric vein* - The **left inferior mesenteric vein** usually drains into the splenic vein or directly into the superior mesenteric vein or portal vein, located more superiorly and medially than the structure indicated. - While tubular, its anatomical course and typical size do not match the structure pinpointed by the arrow, which appears to connect to the kidney.
Explanation: ***Caudate lobe*** - The **caudate process of the caudate lobe** of the liver forms the **superior boundary** of the epiploic foramen (foramen of Winslow). - This is a consistent anatomical landmark that defines the **upper margin** of this important communication between the greater and lesser sacs of the peritoneal cavity. - The caudate lobe lies superior to the foramen and posterior to the lesser omentum. *Lesser omentum* - The **hepatoduodenal ligament**, which is the free edge of the lesser omentum containing the **portal triad** (portal vein, hepatic artery, and common bile duct), forms the **anterior boundary** of the epiploic foramen, not the superior border. - The lesser omentum extends from the lesser curvature of the stomach to the liver, and its free right edge creates the anterior margin of the foramen. *Duodenum* - The **first part of the duodenum** (superior/horizontal part) forms the **inferior boundary** of the epiploic foramen. - It lies below the foramen and helps define the **lower margin** of this anatomical opening. *IVC* - The **inferior vena cava (IVC)** forms the **posterior boundary** of the epiploic foramen as it ascends toward the diaphragm covered by peritoneum. - The IVC runs behind the foramen and does not contribute to the superior border of the structure.
Explanation: ***Depression*** - The image shows the **lateral pterygoid muscle** in a transverse section of the head. The **inferior head** of this muscle assists in **mandibular depression** (mouth opening) when both sides contract together. - While the **primary functions** of the lateral pterygoid are **protrusion** and **lateral excursion** of the mandible, among the given options, **depression is the only function this muscle actually performs**. - The lateral pterygoid does **NOT perform elevation or retraction**, making depression the **only anatomically correct answer** from the choices provided. *Elevation* - The lateral pterygoid muscle does **NOT elevate** the mandible - this is anatomically incorrect. - **Primary elevators** of the mandible are the **masseter**, **temporalis**, and **medial pterygoid muscles** (all supplied by the mandibular division of the trigeminal nerve). *Retraction* - The lateral pterygoid muscle does **NOT retract** the mandible - it actually **protrudes** it, which is the **opposite of retraction**. - **Mandibular retraction** is primarily performed by the **posterior fibers of the temporalis muscle** and the **deep fibers of the masseter**. *All of the above* - This option is incorrect because the lateral pterygoid does **NOT perform elevation or retraction**. - The muscle's **primary functions** are **protrusion** (forward movement) and **lateral excursion** (side-to-side movement), with **assistive role in depression** (mouth opening) when both inferior heads contract simultaneously.
Explanation: ***Anterior interosseous nerve*** - The highlighted muscle is the **flexor pollicis longus**, which is innervated by the **anterior interosseous nerve**, a branch of the **median nerve**. - This muscle is responsible for **flexion of the interphalangeal joint of the thumb**. *Median Nerve* - While the anterior interosseous nerve is a branch of the median nerve, the median nerve itself innervates most of the **forearm flexors** and thenar muscles, but not directly the flexor pollicis longus by its main trunk. - Damage to the median nerve would affect the flexor pollicis longus, but the direct innervation is via its specific branch. *Ulnar nerve* - The ulnar nerve supplies most of the **intrinsic hand muscles** (except for the thenar muscles and first two lumbricals) and the **flexor carpi ulnaris** and medial half of the **flexor digitorum profundus**. - It does not innervate the flexor pollicis longus. *Radial Nerve* - The radial nerve primarily innervates the **extensor muscles** of the arm and forearm. - It has no role in the innervation of the flexor pollicis longus or other anterior compartment forearm muscles.
Skeletal System
Practice Questions
Articular System
Practice Questions
Muscular System
Practice Questions
Cardiovascular System
Practice Questions
Lymphatic System
Practice Questions
Nervous System
Practice Questions
Respiratory System
Practice Questions
Digestive System
Practice Questions
Urinary System
Practice Questions
Reproductive System
Practice Questions
Endocrine System
Practice Questions
Integumentary System
Practice Questions
Get full access to all questions, explanations, and performance tracking.
Start For Free