On palpation at the site marked by the red arrow on the image, a bony ridge is felt. What is the vertebral level of the marked arrow?
The following procedure is being performed. Identify the markings:

Identify the marked blood vessel in the image.

The image shows $\qquad$ (marked by green arrow):

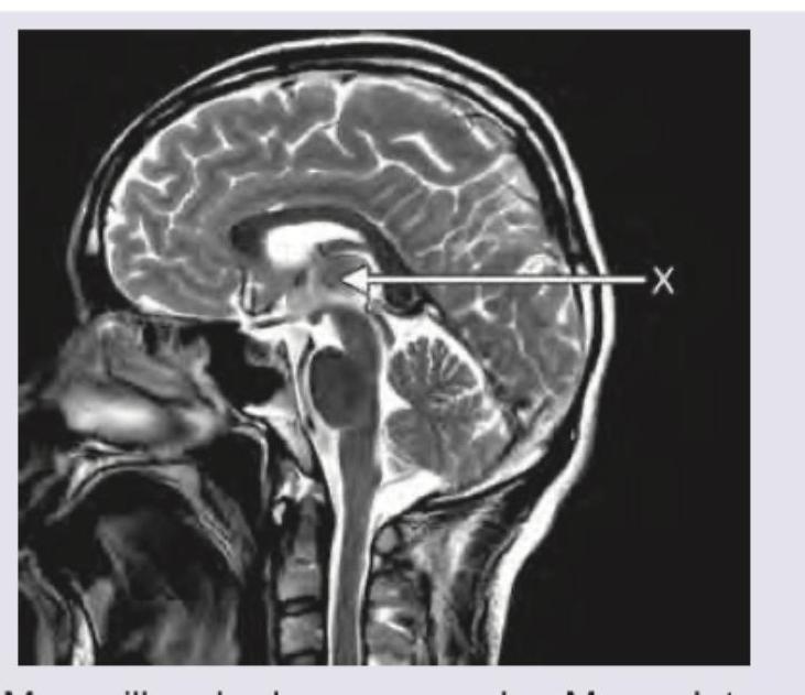
The structure marked as $X$ is:

The area marked in CT scan is:

Which of the following structures of the scapula is palpable in infraclavicular fossa?

Which of the following tests is shown in the image provided?

The image shows:

The image shows angiography of the external carotid artery. Structure labeled '5' represents:

Explanation: ***T4-T5 intervertebral disc*** - The arrow points to the **sternal angle** (Angle of Louis), which is the palpable transverse ridge at the junction of the **manubrium** and the **body of the sternum**. - This important anatomical landmark is located at the level of the **intervertebral disc** between the **T4 and T5** thoracic vertebrae and marks the site of articulation of the **second costal cartilage**. *T3-T4 intervertebral disc* - This vertebral level is superior to the sternal angle. - The **spine of the scapula** is a surface landmark that corresponds approximately to the level of the **T3** vertebra. *T2-T3 intervertebral disc* - This vertebral level is significantly superior to the location marked. - The **suprasternal notch** (jugular notch) of the manubrium corresponds to the level of the intervertebral disc between **T2 and T3**. *T5-T6 intervertebral disc* - This level is inferior to the sternal angle. - It would correspond to a point lower on the body of the sternum, rather than the manubriosternal junction.
Explanation: ***A = Sternocleidomastoid muscle, B = Thyroid cartilage, C = Cricoid cartilage*** The image depicts a procedure being performed on the anterior neck with anatomical landmarks identified: **Structure A - Sternocleidomastoid muscle:** - Large paired muscle on the lateral aspect of the neck - Extends from mastoid process and superior nuchal line to sternum and clavicle - Important landmark for neck procedures and regional anatomy **Structure B - Thyroid cartilage:** - Largest cartilage of the larynx - Forms the laryngeal prominence (Adam's apple) - Located at the level of C4-C5 vertebrae - Superior to the cricoid cartilage **Structure C - Cricoid cartilage:** - Complete ring-shaped cartilage of the larynx - Located inferior to the thyroid cartilage at C6 vertebral level - Only complete ring of cartilage in the respiratory tract - Important landmark for cricothyroidotomy *Incorrect Option: A = Sternocleidomastoid muscle, B = Cricoid cartilage, C = Thyroid cartilage* - Reverses the positions of thyroid and cricoid cartilages - Anatomically, thyroid cartilage is always superior to cricoid *Incorrect Option: A = Cricoid cartilage, B = Sternocleidomastoid muscle, C = Thyroid cartilage* - Misidentifies the lateral muscle as a midline cartilage structure *Incorrect Option: A = Thyroid cartilage, B = Cricoid cartilage, C = Sternocleidomastoid muscle* - Incorrectly identifies midline laryngeal structures as lateral muscle and vice versa
Explanation: ***Internal carotid artery*** - The image shows a **magnetic resonance angiography (MRA)** of the cerebral vasculature displaying the Circle of Willis - The marked vessel (number 6) represents the **internal carotid artery** as it enters the cranial cavity after emerging from the neck - This segment is located **before the ICA bifurcates** into the middle and anterior cerebral arteries - The anatomical position and course are characteristic of the **supraclinoid segment** of the internal carotid artery *Incorrect: Middle cerebral artery* - The middle cerebral artery is a **terminal branch** of the internal carotid artery, not the parent vessel - It courses laterally through the **lateral sulcus (Sylvian fissure)** rather than ascending vertically - Would be located more **superiorly and laterally** in this view *Incorrect: Anterior cerebral artery* - The anterior cerebral artery is also a **terminal branch** of the internal carotid artery - It courses **medially and anteriorly** above the optic nerve, not in the position shown - Typically appears as a **smaller caliber vessel** compared to the parent ICA *Incorrect: Basilar artery* - The basilar artery is part of the **posterior circulation**, formed by vertebral arteries - Located in the **midline at the base of the pons**, posterior to the Circle of Willis - Would be seen in the **posterior aspect** of the image, not in the lateral supraclinoid position marked
Explanation: ***Optic canal*** - The green arrow points to a rounded opening superior and medial to the larger, irregular opening, which is characteristic of the **optic canal**. - The optic canal transmits the **optic nerve (CN II)** and the **ophthalmic artery** from the orbit to the middle cranial fossa. *Superior orbital fissure* - The **superior orbital fissure** is typically a larger, more irregular, and elongated opening located lateral and inferior to the optic canal. - It transmits multiple structures including **cranial nerves III, IV, V1, VI**, and the **superior ophthalmic vein**. *Anterior ethmoidal foramen* - The **anterior ethmoidal foramen** is a much smaller opening, typically found on the medial wall of the orbit, between the frontal and ethmoid bones. - It transmits the **anterior ethmoidal nerve** and vessels to the ethmoid sinuses and nasal cavity. *Posterior ethmoidal foramen* - The **posterior ethmoidal foramen** is also a small opening, located posterior to the anterior ethmoidal foramen on the medial wall of the orbit. - It transmits the **posterior ethmoidal nerve** and vessels.
Explanation: ***Internal capsule*** - The arrow points to a white matter structure composed of ascending and descending tracts, located between the **thalamus** and the **basal ganglia**. - Its characteristic 'V' shape on axial imaging, with an anterior and posterior limb, confirms it as the **internal capsule**. *Genu of corpus callosum* - The **genu of the corpus callosum** is the anterior-most part of the large commissural fiber bundle connecting the cerebral hemispheres. - It would be located more anteriorly and medially, forming the anterior wall of the lateral ventricles. *Splenium of corpus callosum* - The **splenium of the corpus callosum** is the posterior-most part of the corpus callosum. - It would be seen more posteriorly, caudal to the pineal gland. *Thalamus* - The **thalamus** is a large, ovoid mass of gray matter located deep within the brain, superior to the brainstem. - It forms the lateral wall of the third ventricle and is adjacent to the internal capsule, but the arrow points specifically to the white matter tract.
Explanation: ***Mammillary body*** - The arrow points to a small, rounded structure located on the **ventral surface of the hypothalamus**, characteristic of the mammillary body - Mammillary bodies are part of the **limbic system** and play a crucial role in **memory formation** and **recollection** - These paired structures are visible on midsagittal brain imaging as small rounded projections *Massa Intermedialis* - The massa intermedia (interthalamic adhesion) is a flattened band of tissue connecting the two halves of the **thalamus** across the third ventricle - Located more **superiorly and centrally** within the diencephalon, not ventrally as shown *Pons* - The pons is a larger, bulbous structure located anterior to the **cerebellum** and superior to the medulla, forming part of the brainstem - It is much more **posterior and inferior** to the marked area *Clivus* - The clivus is a **bony structure** at the skull base, formed by the **sphenoid** and **occipital bones** - It is a radiological landmark but represents bone, not brain parenchyma as indicated by the arrow
Explanation: ***C - Coracoid Process*** - The **coracoid process** is a hook-like bony projection from the superior border of the scapula that extends anteriorly and laterally. - It is located approximately **2.5 cm below the lateral third of the clavicle** in the **infraclavicular fossa** (also called the deltopectoral triangle). - The coracoid process is the **only structure of the scapula that is palpable anteriorly** in the infraclavicular fossa, making it an important surgical landmark. - It can be felt by deep palpation in the infraclavicular region, just medial to the deltoid muscle. *A - Glenoid Cavity* - The glenoid cavity is the shallow, pear-shaped articular surface on the lateral angle of the scapula that receives the head of the humerus. - It is deeply positioned and completely covered by the humeral head and surrounding soft tissues (rotator cuff muscles, joint capsule). - It is **not palpable** from any surface location, including the infraclavicular fossa. *B - Acromion* - The acromion is the lateral continuation of the spine of the scapula, forming the highest point of the shoulder. - It articulates with the lateral end of the clavicle at the acromioclavicular joint. - The acromion is palpable at the **tip of the shoulder laterally**, not in the infraclavicular fossa which is located more medially and anteriorly. - It forms part of the superior boundary of the shoulder region, well lateral to the infraclavicular fossa. *D - Inferior Angle of Scapula* - The inferior angle is the lowest point of the scapula, located at approximately the level of the 7th rib or T7 vertebra. - It is palpable on the **posterior thoracic wall**, particularly when the arm is moved. - It is located posteriorly and inferiorly, nowhere near the anterior infraclavicular fossa.
Explanation: ***Oxidase test*** - The image displays two test tubes, one showing a positive result (purple color change indicating **cytochrome c oxidase** activity) and the other showing a negative result (no color change). - The **oxidase test** is used to identify bacteria that produce cytochrome c oxidase, an enzyme involved in the electron transport chain. *Catalase production* - The **catalase test** involves adding hydrogen peroxide to a bacterial colony; a positive result is indicated by the rapid formation of bubbles (oxygen gas). - This image does not show bubbling, nor is it typical for a catalase test to be performed in a test tube with a color indicator like this. *Nitrate reduction* - The **nitrate reduction test** determines the ability of bacteria to reduce nitrate to nitrite or nitrogen gas. - This test involves adding reagents to detect nitrite (red color) or zinc dust to detect unreduced nitrate, which is not what is depicted in the image. *Urease test* - The **urease test** detects the enzyme urease, which hydrolyzes urea into ammonia and carbon dioxide, leading to an increase in pH and a color change to pink/red with a pH indicator. - While it involves a color change (often pink), the specific colors and experimental setup in the image (purple/blue for positive, yellow/orange for negative) do not match a typical urease test.
Explanation: ***Selenite F broth*** - This image displays **Selenite F broth**, a **selective enrichment medium** typically used for the isolation of *Salmonella* and *Shigella* species. - The characteristic **pale blue-green color** is due to the oxidation of the selenite salt. *Lowenstein Jensen media* - **Lowenstein Jensen media** is a solid, egg-based medium that usually appears **green** and is used for the cultivation of **Mycobacterium tuberculosis**. - It would typically be a solid slant rather than a liquid broth, and the color is distinctly different. *Wilson-Blair medium* - **Wilson-Blair medium** (Bismuth Sulfite Agar) is a solid, opaque medium, generally appearing **black** due to the presence of bismuth sulfite, used for isolating *Salmonella typhi*. - It is a solid agar medium, not a liquid broth as shown in the image. *Loeffler serum slope* - **Loeffler serum slope** is a solid, yellowish-white medium containing inspissated serum, primarily used for the isolation and cultivation of **Corynebacterium diphtheriae**. - It would be a solid slanted surface, not a blue-green liquid broth.
Explanation: ***Ascending pharyngeal artery*** - The image displays an **angiography of the external carotid artery**, and structure labeled '5' clearly represents the **ascending pharyngeal artery** - This artery is typically a **slender branch arising from the medial aspect** of the external carotid artery, **ascending vertically** along the pharynx - It is the **smallest and most medial branch** of the external carotid artery *Lingual artery* - This is labeled as structure '2' in the angiography - Arises from the **anterior surface** of the external carotid artery at the level of the hyoid bone - Courses anteriorly to supply the tongue *Occipital artery* - This is labeled as structure '4' in the angiography - Arises from the **posterior aspect** of the external carotid artery - Courses posteriorly and superiorly to supply the posterior scalp *Posterior auricular artery* - This is labeled as structure '6' in the angiography - Arises from the **posterior aspect** of the external carotid artery above the occipital artery - Courses posteriorly to supply the auricle and scalp behind the ear
Surface Landmarks of the Head and Neck
Practice Questions
Surface Landmarks of the Thorax
Practice Questions
Surface Landmarks of the Abdomen
Practice Questions
Surface Landmarks of the Limbs
Practice Questions
Radiographic Anatomy
Practice Questions
CT Anatomy
Practice Questions
MRI Anatomy
Practice Questions
Ultrasonographic Anatomy
Practice Questions
Angiographic Anatomy
Practice Questions
Sectional and Cross-sectional Anatomy
Practice Questions
Anatomical Correlations in Common Imaging
Practice Questions
Interventional Radiological Anatomy
Practice Questions
Get full access to all questions, explanations, and performance tracking.
Start For Free