Wallenberg syndrome involves which artery?
Medulla oblongata arises from which of the following?
A patient was admitted with skull base trauma. The doctor was testing the marked structure in the pharyngeal region. Which of the following nerves was being tested?

Substantia nigra is connected to which part of the basal ganglia?
Which nucleus is not seen in floor of the 4th ventricle -
Which thalamic nuclei can produce basal ganglia symptoms?
Inferior cerebellar peduncle has all of the following tracts, except which one?
Which of the following brain structures does not contribute to the Mickey Mouse sign on axial brain imaging?
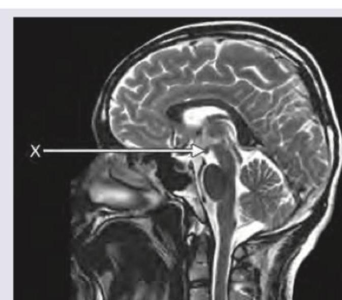
Which is the structure marked here?

Which of the following structures is not involved in the auditory pathway?
Explanation: ***Posterior inferior cerebellar artery*** - **Wallenberg syndrome**, also known as **lateral medullary syndrome**, is most commonly caused by an infarction in the territory supplied by the **posterior inferior cerebellar artery (PICA)**. - The PICA supplies the **lateral medulla**, which contains several crucial nuclei and tracts, including the nucleus ambiguus, trigeminal nucleus, vestibular nuclei, and spinothalamic tract, leading to the characteristic clinical presentation of Wallenberg syndrome. *Subclavian artery* - The **subclavian artery** is a large artery in the upper thorax that supplies blood to the upper limbs, head, and neck. - While it can be involved in conditions like **subclavian steal syndrome**, it does not directly supply the lateral medulla responsible for Wallenberg syndrome. *Posterior cerebral artery* - The **posterior cerebral artery** primarily supplies the occipital lobe, temporal lobe, and parts of the thalamus and midbrain. - Infarction in the PCA territory typically leads to symptoms like **hemianopia**, visual field defects, and memory deficits, not the constellation of symptoms seen in Wallenberg syndrome. *Anterior inferior cerebellar artery* - The **anterior inferior cerebellar artery (AICA)** supplies the anterior and lateral parts of the cerebellum and the pontomedullary junction, leading to **lateral pontine syndrome** when infarcted. - Symptoms of AICA infarction include ipsilateral facial paralysis, hearing loss, and cerebellar ataxia, which are distinct from Wallenberg syndrome.
Explanation: ***Myelencephalon*** - The **myelencephalon** is the most caudal of the three primary brain vesicles and is the developmental origin of the **medulla oblongata**. - It differentiates from the **rhombencephalon** (hindbrain) and is responsible for vital autonomic functions. *Rhombencephalon* - The **rhombencephalon** is the hindbrain and is a primary brain vesicle that further divides into the **metencephalon** and **myelencephalon**. - While it is the parent structure, it does not directly give rise to the medulla oblongata as a final differentiated structure without further division. *Mesencephalon* - The **mesencephalon** is the midbrain, a primary brain vesicle that develops into structures like the **tectum** and **tegmentum** [1]. - It is located rostral to the rhombencephalon and is not involved in the development of the medulla oblongata [1]. *None of the options* - This option is incorrect because the **myelencephalon** is the direct embryonic precursor of the medulla oblongata.
Explanation: ***Glossopharyngeal nerve*** - The image shows a probe stimulating the posterior part of the **pharynx**, which elicits the **gag reflex**. - The afferent limb of the **gag reflex** is mediated primarily by the **glossopharyngeal nerve (CN IX)**, which detects sensation from the posterior tongue and pharynx. *Trigeminal nerve* - The **trigeminal nerve (CN V)** primarily mediates sensation from the face, teeth, and anterior two-thirds of the tongue, and motor control of the **muscles of mastication**. - It does not have a primary role in the sensation or reflex of the posterior pharyngeal wall. *Facial nerve* - The **facial nerve (CN VII)** is responsible for the **muscles of facial expression**, taste from the anterior two-thirds of the tongue, and parasympathetic innervation to several glands. - While it contributes to some aspects of swallowing, it is not the main sensory nerve for the gag reflex from the posterior pharynx. *Vagus* - The **vagus nerve (CN X)** provides the efferent limb of the gag reflex, causing pharyngeal muscle contraction. - However, the sensory input from the posterior pharynx (the afferent limb being tested by the probe) is primarily carried by the **glossopharyngeal nerve**. *Hypoglossal nerve* - The **hypoglossal nerve (CN XII)** provides motor innervation to the intrinsic and extrinsic muscles of the tongue. - While it is relevant in skull base trauma, it does not mediate sensation from the pharynx or the gag reflex being tested in the image.
Explanation: ***Striatum*** - The **substantia nigra pars compacta (SNc)** provides **dopaminergic input** to the striatum via the **nigrostriatal pathway**, which is crucial for motor control [1]. - This connection establishes the direct and indirect pathways of the basal ganglia, modulating **movement initiation** and **inhibition** [1]. *Thalamus* - The thalamus acts as a **relay station** for information leaving the basal ganglia, but it is not directly connected to the substantia nigra as a primary input or output structure within the basal ganglia circuitry [1]. - The basal ganglia influence the thalamus, which then projects to the **motor cortex**, but the direct connection from substantia nigra is to the striatum. *Pallidum* - The **pallidum (globus pallidus)** receives input from the striatum and projects to the thalamus, but it is not directly connected to the substantia nigra as the **primary recipient** of nigral efferents [1]. - While it's part of the basal ganglia, the substantia nigra's main direct projection is to the **striatum**. *Subthalamic nucleus* - The **subthalamic nucleus (STN)** is an excitatory component of the basal ganglia that receives input from the cortex and projects to the globus pallidus. - While there are some indirect connections, the STN is not the primary target of the **nigrostriatal dopaminergic projections** from the substantia nigra [1].
Explanation: Facial nucleus - The facial nucleus is located in the pontine tegmentum, anterior and ventrolateral to the abducens nucleus, and its fibers loop around the abducens nucleus forming the facial colliculus within the floor of the fourth ventricle, but the nucleus itself is not directly in the floor. - The nucleus's motor neurons originate deeper within the brainstem, not superficially in the floor. Abducens nucleus - The abducens nucleus is directly located in the floor of the fourth ventricle, beneath the facial colliculus. - Its neurons are responsible for innervating the lateral rectus muscle of the eye. Dorsal vagal nucleus - The dorsal vagal nucleus is situated in the floor of the fourth ventricle in the medulla, specifically in the vagal trigone. - It is responsible for the parasympathetic innervation of organs below the neck. Hypoglossal nucleus - The hypoglossal nucleus is located in the floor of the fourth ventricle, forming the hypoglossal trigone in the medulla. - It contains motor neurons that innervate the intrinsic and extrinsic muscles of the tongue.
Explanation: ***Ventral anterior*** - The **ventral anterior (VA)** and **ventral lateral (VL)** nuclei of the thalamus receive significant input from the **basal ganglia** and project to the motor cortex [1]. - Dysfunction in these nuclei can disrupt the basal ganglia's influence on motor control, leading to symptoms like **dyskinesia** or **rigidity** [1]. *Lateral dorsal* - The **lateral dorsal nucleus** is primarily involved in **limbic system** functions and episodic memory. - It does not have direct nor significant connections with the basal ganglia motor circuits that would produce typical basal ganglia symptoms. *Pulvinar* - The **pulvinar** is the largest thalamic nucleus, primarily involved in **visual processing**, attention, and eye movements. - While it has extensive cortical connections, it is not directly involved in the motor circuits of the basal ganglia. *Intralaminar* - The **intralaminar nuclei** (e.g., centromedian and parafascicular) receive input from the basal ganglia but primarily project diffusely to the cerebral cortex and are involved in **arousal** and consciousness [2]. - While they modulate cortical activity, their dysfunction typically wouldn't produce the classic motor symptoms associated with basal ganglia disorders.
Explanation: ***Pontocerebellar*** - The **pontocerebellar tracts** originate from the **pontine nuclei** and project to the contralateral cerebellum exclusively through the **middle cerebellar peduncle** (NOT the inferior cerebellar peduncle). - These tracts are crucial for carrying information about voluntary movements initiated by the cerebral cortex to the cerebellum for motor coordination. - The middle cerebellar peduncle is the largest cerebellar peduncle and consists almost entirely of pontocerebellar fibers. *Olivocerebellar* - The **olivocerebellar tracts** originate from the **inferior olivary nucleus** and pass through the **inferior cerebellar peduncle** to reach the contralateral cerebellar cortex [1]. - These fibers are crucial for motor learning, coordination, and error correction [1]. *Spinocerebellar* - The **posterior spinocerebellar tract** is a major component of the **inferior cerebellar peduncle**, conveying **unconscious proprioception** from the lower limb and lower trunk [1]. - This information helps the cerebellum coordinate posture and movement [1]. *Vestibulocerebellar* - **Vestibulocerebellar tracts** transmit essential information from the **vestibular nuclei** and organs to the cerebellum through the **inferior cerebellar peduncle** [1]. - These fibers contribute to balance, posture, and vestibulo-ocular reflexes [1].
Explanation: ***Superior colliculus*** - The superior colliculus is located **dorsal to the cerebral peduncles** and substantia nigra, at a higher axial level, and therefore does not contribute to the "Mickey Mouse" appearance on axial imaging formed by the substantia nigra and red nucleus within the midbrain tegmentum. - The "Mickey Mouse" sign specifically refers to the configuration of structures visible on **axial T2-weighted MRI brain images** at the level of the midbrain, depicting the red nucleus and substantia nigra as the "ears" and the cerebral peduncles as the "face." *Cerebral peduncles* - The cerebral peduncles form the **"face" or main body** of the Mickey Mouse sign, evident on axial imaging due to their ventral position in the midbrain. - These are large bundles of nerve fibers descending from the cerebrum to the brainstem and spinal cord, creating a prominent structure in the anterior midbrain. *Interpeduncular cistern* - The interpeduncular cistern is the **CSF-filled space** located between the cerebral peduncles. - While it doesn't form part of Mickey's face or ears, its presence and surrounding structures help define the arrangement that creates the "Mickey Mouse" sign on imaging. *Substantia nigra* - The substantia nigra forms the **"ears" of the Mickey Mouse** sign on axial imaging, positioned dorsally to the cerebral peduncles. - Its high iron content causes it to be **hypointense on T2-weighted images**, contributing to its distinct appearance in this characteristic sign.
Explanation: **Pons** - The image provided is a **sagittal view of an MRI of the brain**, and the arrow labeled 'X' points directly to the pons, a key part of the **brainstem**. - The pons is characterized by its **bulbous shape**, located anterior to the cerebellum and superior to the medulla oblongata, clearly visible in this anatomical plane. *Corpus callosum* - The **corpus callosum** is a large, C-shaped nerve fiber bundle found beneath the cerebral cortex and connects the two cerebral hemispheres. - It is located **superior to the structure indicated** by the arrow in this sagittal view. *Mammillary body* - The **mammillary bodies** are a pair of small, rounded prominences forming part of the posterior hypothalamus. - They are located **anterior and inferior to the region indicated** by the arrow. *Pineal gland* - The **pineal gland** is a small endocrine gland that produces melatonin and is located in the epithalamus, near the center of the brain. - It is situated **posterior and superior to the structure indicated**, typically nestled between the superior colliculi.
Explanation: Lateral geniculate body - The lateral geniculate body (LGB) is a major relay nucleus in the thalamus that processes visual information from the retina before it reaches the cerebral cortex [2]. - It plays no direct role in the transmission or processing of auditory signals [1]. *Trapezoid body* - The trapezoid body is a collection of nerve fibers and nuclei located in the pons that is a crucial component of the auditory pathway. - It primarily functions in sound localization and relays auditory information from the cochlear nuclei to the superior olivary complex. *Inferior colliculus* - The inferior colliculus is a major midbrain nucleus and a key integrative center of the auditory pathway [1]. - It receives input from various lower auditory structures and projects to the medial geniculate body of the thalamus, playing a role in sound localization, frequency integration, and startle response [1]. *Superior olivary complex* - The superior olivary complex (SOC) is a group of nuclei in the pons that is critical for processing auditory information. - It receives input from the cochlear nuclei and is primarily involved in sound localization through interaural time and intensity differences.
Get full access to all questions, explanations, and performance tracking.
Start For Free