Which carrier pump is responsible for transporting solutes in the thick ascending limb of the loop of Henle?
Which of the following is NOT a feature of hypospadias?
Transitional epithelium shows maximum distensibility and is the classic teaching example in which of the following structures?
Which of the following is the primary factor involved in mesangial cell contraction?
Where is the main site of sodium reabsorption in the nephron?
In glomerulus subendothelial deposits are seen in?
What happens to the concentration of inulin as fluid passes through the Proximal Convoluted Tubule (PCT)?
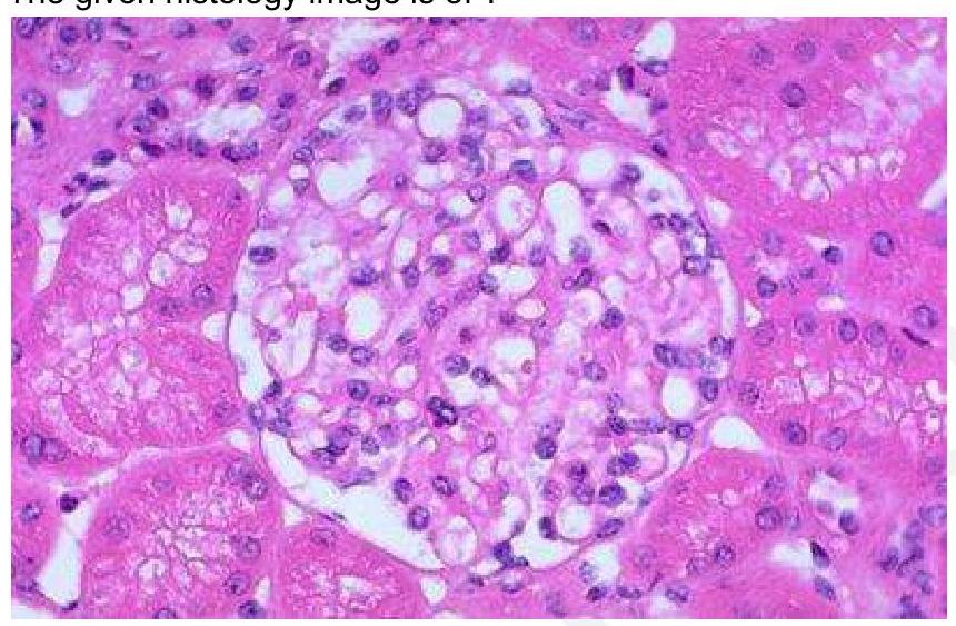
The given histology image is of which structure?

Investigation of choice for Posterior urethral valves?
The nasopharynx is primarily lined by which type of epithelium?
Explanation: * **Sodium-potassium-chloride cotransporter.** * This transporter, specifically the **Na+-K+-2Cl- cotransporter (NKCC2)**, is highly expressed in the apical membrane of the thick ascending limb. * It actively reabsorbs **sodium, potassium, and chloride ions** from the filtrate, contributing significantly to the medullary interstitial osmotic gradient. * *NaCl- cotransporter* * The **NaCl cotransporter (NCC)** is primarily found in the **distal convoluted tubule**, not the thick ascending limb. * It reabsorbs sodium and chloride in a 1:1 ratio and is the target of thiazide diuretics. * *Na+-H+ exchanger* * The **Na+-H+ exchanger (NHE3)** is predominantly located in the **proximal tubule** where it plays a crucial role in bicarbonate reabsorption and acid-base balance. * While some NHE activity exists in other nephron segments, it is not the primary carrier in the thick ascending limb. * *Na+-K+ exchanger* * The **Na+-K+ exchanger** or **Na+/K+-ATPase pump** is located on the basolateral membrane of most renal tubular cells, including the thick ascending limb. * Its main function is to maintain the electrochemical gradient by pumping **sodium out of the cell** and potassium into the cell, which indirectly drives other transporters but is not the apical cotransporter responsible for initial solute reabsorption in the thick ascending limb.
Explanation: ***Cryptorchidism*** - While **cryptorchidism** (undescended testes) can sometimes co-occur with hypospadias (in up to 10% of cases, especially severe proximal types), it is **NOT a defining feature or characteristic of hypospadias itself**. - Hypospadias is primarily a malformation of the urethra and penis, whereas cryptorchidism is a distinct abnormality of testicular descent. - They are separate congenital anomalies that may share common developmental pathways but are not causally related. *Chordee* - **Chordee** is a common associated feature of hypospadias, present in approximately 15-20% of cases. - It is characterized by ventral curvature of the penis, particularly noticeable during erection, due to fibrous tissue tethering the ventral aspect. - Often requires surgical correction along with hypospadias repair. *Hooded prepuce* - A **hooded prepuce** (dorsal hood) is a **classic and consistent feature** of hypospadias, present in the majority of cases. - The foreskin does not fully encircle the glans but instead forms a hood on the dorsal aspect, with ventral deficiency. - This occurs due to incomplete fusion of the urethral folds and arrested development of the ventral foreskin. *Ventral urethral meatus* - A **ventral urethral meatus** (urethral opening on the underside of the penis rather than at the tip) is the **defining feature** of hypospadias. - The location can vary from glandular (on the glans) to coronal, penile shaft, penoscrotal, or perineal positions. - This is the primary anatomical abnormality that characterizes the condition.
Explanation: ***Urinary bladder*** - **Transitional epithelium (urothelium)** lines the entire urinary tract, but the **bladder** is the **classic teaching example** due to its dramatic distensibility during filling [1]. - The bladder can expand from nearly empty to holding 400-600 mL, requiring epithelium that can stretch significantly while maintaining a protective barrier [2]. - The epithelium appears **thick and multi-layered when empty** (6-8 cell layers) and **thin and stretched when full** (2-3 cell layers), with characteristic umbrella cells on the surface [1]. *Ureter* - The ureter is **entirely lined with transitional epithelium**, but its primary function is **peristaltic transport** rather than storage [1]. - While it does undergo some distension during urine passage, the degree of stretching is far less dramatic than the bladder. - The ureter maintains a more constant diameter and thickness of epithelium compared to the bladder. *Urethra* - The urethra has **transitional epithelium only in its proximal portion** (prostatic urethra in males, initial part in females) [1]. - The majority of the urethra is lined with **stratified columnar** or **stratified squamous epithelium**. - Therefore, urethra is NOT a characteristic location for demonstrating transitional epithelium. *Kidney pelvis* - The renal pelvis and calyces are **entirely lined with transitional epithelium** [1]. - However, they function primarily as **collecting funnels** with minimal distensibility compared to the bladder. - The renal pelvis undergoes far less dramatic volume changes than the bladder during normal function.
Explanation: ***Angiotensin II*** - **Angiotensin II** is a potent vasoconstrictor that directly stimulates **mesangial cell contraction**. - Contraction of mesangial cells reduces the **glomerular surface area** available for filtration, thereby decreasing the **glomerular filtration rate (GFR)**. *Endothelin-1* - **Endothelin-1** is a potent vasoconstrictor produced by endothelial cells, which can also induce mesangial cell contraction. - However, its role in **mesangial cell contraction** is generally considered secondary to **angiotensin II** in physiological regulation. *ANP* - **Atrial natriuretic peptide (ANP)** is a hormone that causes **vasodilation** and relaxation of mesangial cells. - Its primary effect is to **increase GFR** and sodium excretion, opposing the effects of vasoconstrictors. *Platelet-activating factor (PAF)* - PAF is a **phospholipid mediator** involved in inflammation and allergic reactions. - While it can affect renal hemodynamics, its role in directly and primarily causing **mesangial cell contraction** is less significant compared to angiotensin II.
Explanation: ***Proximal tubule*** - The **proximal tubule** reabsorbs approximately **65-70% of filtered sodium**, making it the primary site of sodium reabsorption. - This high rate of reabsorption is crucial for maintaining overall **fluid and electrolyte balance**. *Collecting duct* - The **collecting duct** reabsorbs a smaller, regulated amount of sodium, typically **2-5%**, under hormonal control by **aldosterone**. - Its main roles include **fine-tuning** water and electrolyte balance. *Loop of Henle* - The **loop of Henle** reabsorbs approximately **25%** of filtered sodium, primarily in its **thick ascending limb**. - Its main function is to create a **medullary osmotic gradient** for concentrated urine. *Distal tubule* - The **distal tubule** reabsorbs about **5%** of filtered sodium, which is also influenced by hormones like **aldosterone**. - It plays a role in **acid-base balance** and diluting or concentrating urine.
Explanation: ***MPGN type I*** - **Subendothelial deposits** are a hallmark of MPGN type I, often associated with **immune complex deposition** [1]. - This condition can present with **hematuria**, **proteinuria**, and can be triggered by infections or autoimmune diseases [1]. *Good pasture syndrome* - Primarily involves **anti-GBM antibodies** leading to **glomerulonephritis** and pulmonary hemorrhage, not subendothelial deposits. - Typically, it presents with **crescent formation** in the glomeruli rather than deposits. *MPGN type II* - Characterized by **dense deposit disease**, it features **intramembranous** rather than subendothelial deposits [1]. - It is often associated with **C3 nephritic factor** and does not show classic subendothelial pathology. *IgA nephropathy* - Characterized by **IgA deposits** primarily in the **mesangium**, not subendothelially. - It presents with **hematuria** and recurrent episodes of **macrohematuria**, especially after infections. **References:** [1] Kumar V, Abbas AK, et al.. Robbins and Cotran Pathologic Basis of Disease. 9th ed. The Kidney, pp. 925-927.
Explanation: ***Concentration of inulin increases*** - Inulin is **freely filtered** at the glomerulus and is neither reabsorbed nor secreted along the renal tubule, making it an excellent marker for **glomerular filtration rate (GFR)**. - As water is reabsorbed from the PCT, the volume of tubular fluid decreases, causing the concentration of **unreabsorbed solutes**, like inulin, to increase. *Concentration of urea remains constant* - Urea is **reabsorbed** along the tubule, though passively; its concentration typically **increases** initially in the PCT due to water reabsorption, but then decreases as some is reabsorbed. - The statement is incorrect because urea concentration changes significantly throughout the nephron, particularly increasing as water is reabsorbed and then decreasing with some reabsorption. *Concentration of HCO3- increases* - The majority (approximately 80-90%) of **bicarbonate (HCO3-)** is reabsorbed in the PCT, primarily through its conversion to CO2 within the tubular lumen and then back to HCO3- intracellularly. - Therefore, the concentration of HCO3- in the tubular fluid actually **decreases** significantly as fluid passes through the PCT. *Concentration of Na+ decreases* - **Sodium (Na+)** is actively reabsorbed along the entire nephron, with about 65-70% reabsorbed in the PCT. - While Na+ is reabsorbed, water follows passively, so its concentration in the tubular fluid remains relatively **iso-osmotic** with plasma, meaning its concentration does not significantly decrease as fluid passes through the PCT, remaining fairly constant.
Explanation: ***Glomerulus*** - The glomerulus is characterized by a **tuft of capillaries** surrounded by Bowman's capsule, responsible for filtration in the kidney [1]. - Histological examination typically shows a **dense network of capillaries** and **mesangial cells**, which are distinct features of the glomeruli [1]. *Hassall's corpuscles* - Found in the **thymus**, they are round structures composed of epithelial cells, crucial in T-cell maturation. - Histologically, they present as concentric layers of **epithelial cells** and are not found in the kidney. *Leydig cells of testis* - Located in the **interstitial tissue** of the testes, these cells produce testosterone and are typically larger than glomerular cells. - They are characterized by their **eosinophilic cytoplasm** and round nuclei, differing markedly from the structures found in the glomerulus. *Pancreatic islet cells* - Islet cells are involved in **hormone production**, predominantly insulin and glucagon, and are located in the pancreas. - Histologically, they appear as small clusters dispersed among **exocrine pancreas**, which is different from the highly organized structure of the glomerulus. **References:** [1] Cross SS. Underwood's Pathology: A Clinical Approach. 6th ed. Common Clinical Problems From Diseases Of The Urinary And Male Genital Tracts, pp. 522-523.
Explanation: ***Micturating Cystourethrography (MCU)*** - The **Micturating Cystourethrography (MCU)** is the gold standard for diagnosing posterior urethral valves (PUV) as it directly visualizes the posterior urethra during voiding. - It classically shows a **dilated posterior urethra** with a narrow opening at the level of the valves, often accompanied by **vesicoureteral reflux** and bladder wall abnormalities. *Ultrasound* - **Antenatal ultrasound** can suggest PUV by showing bilateral **hydronephrosis**, a dilated bladder, and thick-walled bladder with a "keyhole sign" (dilated posterior urethra). - However, ultrasound alone **cannot definitively diagnose** the valves or rule out other causes of obstruction. *Retrograde urethrography* - **Retrograde urethrography (RGU)** involves injecting contrast against the flow of urine, which can mask the presence of posterior urethral valves, as they are typically obstructive to antegrade flow. - While RGU can highlight urethral strictures and other anterior urethral pathologies, it is **not ideal** for visualizing posterior urethral valves. *Intravenous Pyelography* - **Intravenous Pyelography (IVP)** assesses kidney function and the collecting system, but it provides **limited detailed visualization** of the urethra itself. - While it might show features of obstructive uropathy like **hydronephrosis** or delayed excretion, it cannot directly confirm the presence or location of posterior urethral valves.
Explanation: ***Ciliated columnar*** - The **nasopharynx** is lined by **pseudostratified ciliated columnar epithelium** with goblet cells, also known as respiratory epithelium [2]. - This specialized epithelium is crucial for **warming**, **humidifying**, and **filtering** inhaled air before it reaches the lungs [1]. *Stratified squamous nonkeratinized* - This type of epithelium is found in areas subject to **abrasion** and needing protection, such as the **oral cavity**, pharynx (oropharynx and laryngopharynx), and esophagus. - It is not primary in the nasopharynx, which requires ciliary action for particle removal. *Stratified squamous keratinized* - This robust epithelium is characteristic of areas that require significant **protection against friction** and **drying**, such as the **epidermis of the skin**. - It is not found in the nasopharynx due to its lack of flexibility and ciliary function. *Cuboidal* - **Cuboidal epithelium** is typically found in glands and kidney tubules, where its function includes **secretion** and **absorption**. - It lacks the specialized cilia and goblet cells necessary for the respiratory function of the nasopharynx [2].
Get full access to all questions, explanations, and performance tracking.
Start For Free