All of the following statements are true regarding neutrophil extracellular trapping (NET) except for which of the following?

Which of the following is not a component of innate immunity?
What is a distinguishing feature of reticulocytes?
B cells are located in which region of lymph nodes?
All of the following are features of Lymph node histology except:
What is the normal myeloid-erythroid (M:E) ratio in a healthy individual?
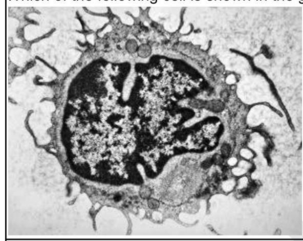
Which of the following cells is shown in the given image?

Investigation of choice for Posterior urethral valves?
Identify the artery labeled as 'X' in the provided angiography anatomy image.

Which of the following components are involved in non-IgE mediated anaphylactic reactions?
Explanation: ***Mitochondrial DNA is seen*** - NETs (Neutrophil Extracellular Traps) are made primarily of **nuclear chromatin**, not mitochondrial DNA [2]. - The main purpose of NETs is to trap and kill pathogens, focusing on **nuclear genetic material** rather than mitochondrial components. *It is detected in blood during sepsis* - NETs can indeed be found in the **circulation during sepsis**, serving as a defense mechanism against infections. - Their presence in blood indicates an **active immune response**, particularly in severe systemic infections. *It is produced in response to bacterial infection* - NET formation is a known response to **bacterial infections**, as neutrophils deploy them to capture and neutralize pathogens. - This process helps in controlling infections, showcasing the importance of NETs in **innate immunity**. *It is chromatin with antibacterial enzymes* - NETs consist primarily of **decondensed chromatin**, embedded with **antimicrobial proteins** and enzymes to combat pathogens [1][2]. - This characteristic underscores their role in targeting and eliminating invading microorganisms effectively. **References:** [1] Kumar V, Abbas AK, et al.. Robbins and Cotran Pathologic Basis of Disease. 9th ed. Inflammation and Repair, pp. 91-92. [2] Kumar V, Abbas AK, et al.. Robbins and Cotran Pathologic Basis of Disease. 9th ed. Inflammation and Repair, pp. 92-93.
Explanation: ***Helper T lymphocyte*** - Helper T lymphocytes are a crucial part of **adaptive immunity** [4], facilitating responses against pathogens. - They specifically activate B cells and cytotoxic T cells [2], unlike components of innate immunity, which respond nonspecifically. *NK cells* - Natural Killer (NK) cells are integral to **innate immunity** [1], targeting infected or tumor cells without prior sensitization. - They play a role in the initial response to viral infections and can produce **cytokines** [2]. *Epithelial barriers* - Epithelial barriers act as the first line of defense in **innate immunity** [1], preventing pathogen entry. - They include physical and chemical barriers like skin and mucous membranes [3]. *Dendritic cells* - Dendritic cells are key antigen-presenting cells involved in **innate immunity** [1] and link to adaptive immunity. - They capture and present antigens [2], activating T cells to mount an immune response. **References:** [1] Kumar V, Abbas AK, et al.. Robbins and Cotran Pathologic Basis of Disease. 9th ed. Diseases of the Immune System, pp. 194-196. [2] Kumar V, Abbas AK, et al.. Robbins and Cotran Pathologic Basis of Disease. 9th ed. Diseases of the Immune System, pp. 207-208. [3] Cross SS. Underwood's Pathology: A Clinical Approach. 6th ed. (Basic Pathology) introduces the student to key general principles of pathology, both as a medical science and as a clinical activity with a vital role in patient care. Part 2 (Disease Mechanisms) provides fundamental knowledge about the cellular and molecular processes involved in diseases, providing the rationale for their treatment. Part 3 (Systematic Pathology) deals in detail with specific diseases, with emphasis on the clinically important aspects., pp. 152-153. [4] Kumar V, Abbas AK, et al.. Robbins and Cotran Pathologic Basis of Disease. 9th ed. Diseases of the Immune System, pp. 196-198.
Explanation: ***Presence of residual RNA and ribosomes*** - This is the **defining and most distinguishing feature** of reticulocytes that differentiates them from mature red blood cells. - Reticulocytes contain residual **ribosomal RNA** and other organelles that are lost when they mature into erythrocytes. - This residual RNA forms a **reticular (network-like) pattern** when stained with supravital stains like **new methylene blue** or **brilliant cresyl blue**, which is the basis for their name and identification. - The presence of RNA allows for **reticulocyte counting**, an important marker of bone marrow erythropoietic activity. *Slightly larger in size than RBCs* - While reticulocytes may be slightly larger (polychromatophilic appearance), size variation is **not specific** and overlaps significantly with mature RBCs. - Size is not a reliable distinguishing feature and is not used for identification or counting. *Mature in bone marrow* - Reticulocytes are **released from the bone marrow** as immature red cells and complete their maturation in the **peripheral circulation** over 24-48 hours. - They do not fully mature in the bone marrow; their presence in peripheral blood is normal. *Constitute approximately 1% of the red cells* - Normal reticulocyte count is **0.5-2%** (or approximately 1%) of total red blood cells in healthy adults. - This is a **population characteristic** indicating normal erythropoietic activity, not a distinguishing cellular feature.
Explanation: ***Cortical follicles*** - **B cells** are predominantly found within the **cortical follicles** of lymph nodes, where they mature and become activated upon encountering antigens [2]. - These follicles can be primary (inactive) or secondary (active, containing **germinal centers** for B cell proliferation and differentiation). *Paracortical region* - The **paracortical region** is primarily occupied by **T cells** and is the site where T cells interact with antigen-presenting cells [1]. - While it's adjacent to B cell areas, it's not the primary location for B cells. *Medullary sinuses* - **Medullary sinuses** are channels in the medulla of the lymph node, containing macrophages and plasma cells, which are *differentiated B cells*. - They are not the primary residence for undifferentiated B cells. *Subcapsular region* - **Subcapsular region** is the space immediately beneath the capsule of the lymph node where lymph initially enters. - It contains macrophages and dendritic cells that sample antigens but is not a primary B cell zone.
Explanation: ***Red pulp and White pulp are present*** - **Red pulp** and **white pulp** are characteristic histological features of the **spleen**, not lymph nodes [1]. - The white pulp contains lymphoid follicles (PALS - periarteriolar lymphoid sheaths), while the red pulp is involved in filtering blood and destroying old red blood cells [1]. - This is the feature that does NOT belong to lymph node histology. *Both Efferent and Afferent are present* - Lymph nodes have multiple **afferent lymphatic vessels** that bring lymph into the node and usually one or two **efferent lymphatic vessels** that carry lymph away [2]. - This arrangement allows for efficient filtering of lymph and immune surveillance [2]. - This IS a feature of lymph nodes. *Subcapsular sinus present* - The **subcapsular sinus** is a space located directly beneath the capsule of the lymph node, which receives lymph from the afferent lymphatic vessels. - It contains a network of reticular fibers and macrophages, acting as the initial filtering area. - This IS a feature of lymph nodes. *Cortex and Medulla are present* - Lymph nodes are histologically divided into an outer **cortex** and an inner **medulla**. - The cortex contains lymphoid follicles (B-cell areas) and paracortical areas (T-cell areas), while the medulla consists of medullary cords and sinuses. - This IS a feature of lymph nodes.
Explanation: ***3:1*** - The normal **myeloid-erythroid (M:E) ratio** in a healthy adult bone marrow is approximately **3:1** (with a typical range of 2:1 to 4:1). - This ratio reflects that **myeloid cells** (granulocytes and their precursors) have a shorter lifespan and higher turnover rate compared to erythroid cells (red cell precursors), requiring more continuous production. - **3:1 is the standard textbook value** commonly taught and tested in Indian medical PG examinations. *1:1* - An M:E ratio of 1:1 indicates a **relative decrease in myeloid precursors** or an **increase in erythroid precursors**. - This may be seen in conditions like **erythroid hyperplasia** (hemolytic anemia, hemorrhage, high altitude) or **myeloid hypoplasia**. *2:1* - An M:E ratio of 2:1 falls at the **lower end of the normal range**. - While this can be normal, it may also suggest **mild erythroid hyperplasia** or **decreased myelopoiesis**. *4:1* - An M:E ratio of 4:1 falls at the **upper end of the normal range**. - While this can be normal, ratios consistently above 4:1 may suggest **myeloid hyperplasia** (infections, chronic myeloid leukemia) or **erythroid hypoplasia**.
Explanation: ***Hairy cell*** - The image displays prominent **cytoplasmic projections** or "hairs" on the cell surface, which are characteristic features of **hairy cells** (lymphocytes seen in hairy cell leukemia) [1]. - These cells typically have an irregularly shaped nucleus and cytoplasm rich in ribosomes, as suggested by the granular appearance [1]. *Sickle cell* - **Sickle cells** are **red blood cells** that have a characteristic crescent or sickle shape due to abnormal hemoglobin polymerization. - The cell in the image is a **white blood cell** with a large nucleus and cytoplasmic extensions, clearly not a red blood cell. *Gaucher cell* - **Gaucher cells** are **macrophages** that accumulate glucocerebroside, giving them a characteristic **"crinkled paper"** or **"chicken scratch"** cytoplasm. - While they are large cells, they lack the distinct, fine, hair-like projections seen in the provided image. *Target cell* - **Target cells** are **red blood cells** with a central bullseye appearance due to an abnormal distribution of hemoglobin, often seen in thalassemia or liver disease. - The presented image is not a red blood cell and does not demonstrate the morphology of a target cell. **References:** [1] Kumar V, Abbas AK, et al.. Robbins and Cotran Pathologic Basis of Disease. 9th ed. Diseases of White Blood Cells, Lymph Nodes, Spleen, and Thymus, p. 612.
Explanation: ***Micturating Cystourethrography (MCU)*** - The **Micturating Cystourethrography (MCU)** is the gold standard for diagnosing posterior urethral valves (PUV) as it directly visualizes the posterior urethra during voiding. - It classically shows a **dilated posterior urethra** with a narrow opening at the level of the valves, often accompanied by **vesicoureteral reflux** and bladder wall abnormalities. *Ultrasound* - **Antenatal ultrasound** can suggest PUV by showing bilateral **hydronephrosis**, a dilated bladder, and thick-walled bladder with a "keyhole sign" (dilated posterior urethra). - However, ultrasound alone **cannot definitively diagnose** the valves or rule out other causes of obstruction. *Retrograde urethrography* - **Retrograde urethrography (RGU)** involves injecting contrast against the flow of urine, which can mask the presence of posterior urethral valves, as they are typically obstructive to antegrade flow. - While RGU can highlight urethral strictures and other anterior urethral pathologies, it is **not ideal** for visualizing posterior urethral valves. *Intravenous Pyelography* - **Intravenous Pyelography (IVP)** assesses kidney function and the collecting system, but it provides **limited detailed visualization** of the urethra itself. - While it might show features of obstructive uropathy like **hydronephrosis** or delayed excretion, it cannot directly confirm the presence or location of posterior urethral valves.
Explanation: ***Superior mesenteric artery*** - The image displays a selective angiogram highlighting an artery branching off the **aorta** in the abdominal region and supplying multiple loops of bowel, characteristic of the superior mesenteric artery. - The location and extensive branching pattern supplying various abdominal structures confirm its identity as the **superior mesenteric artery**, which typically arises below the celiac trunk. *Subclavian artery* - The **subclavian artery** is located in the chest and shoulder region, supplying the upper limbs and parts of the head and neck. - Its anatomical location and distribution are distinctly different from the abdominal artery shown in the image. *Celiac trunk* - The **celiac trunk** is an earlier branch off the aorta, typically arising just below the diaphragm, and it branches into the splenic, left gastric, and common hepatic arteries. - The artery labeled 'X' arises lower than where the celiac trunk would typically originate and demonstrates a different branching pattern. *Brachiocephalic trunk* - The **brachiocephalic trunk** (also known as the innominate artery) is a major artery in the upper chest, typically the first branch off the aortic arch. - It supplies blood to the right arm and head, not abdominal organs, making it anatomically incorrect for the artery labeled 'X'.
Explanation: ***All of the options*** - **Non-IgE mediated anaphylactic reactions** can involve various immune components beyond IgE, including **IgG**, **IgM**, and the **complement system**. - For instance, **IgG antibodies** can bind to mast cells or basophils and trigger degranulation, while **complement activation** can directly release anaphylatoxins, both leading to anaphylactoid symptoms. *Ig G* - While many anaphylactic reactions are **IgE-mediated**, **IgG antibodies** can also contribute to anaphylaxis, particularly in drug reactions or reactions to biologics. - **IgG-mediated anaphylaxis** often involves immune complexes that activate mast cells or basophils through Fcγ receptors. *Ig M* - **IgM antibodies** are less commonly implicated in direct anaphylactic reactions compared to IgE or IgG. - However, **IgM** can play a role in complex formation that activates the complement system, indirectly contributing to **anaphylactoid responses**. *Complement* - The **complement system** can be directly activated by certain drugs, physical stimuli, or immune complexes without the involvement of immunoglobulins. - This activation releases **anaphylatoxins (C3a, C4a, C5a)**, which can directly degranulate mast cells and basophils, leading to symptoms mimicking true anaphylaxis.
Get full access to all questions, explanations, and performance tracking.
Start For Free