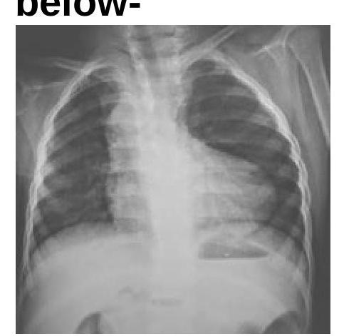
Identify the condition in the X-ray given below:

Which is the most common congenital cardiac defect?
Which of the following is NOT a ductus dependent congenital heart disease?
Which of the following statements about the limbus fossa ovalis is false?
The following cardiac defects are characterized by ductus dependent blood flow except –
Which part of the heart is derived from the sinus venosus?
What is the embryological origin of the ligamentum arteriosum?
Embryologically, from which structure is the cerebellum derived?

Female urethra develops from -
The most common site of the branchial cyst is:
Explanation: ***TOF*** - The chest X-ray shows a **boot-shaped heart (coeur en sabot)**, which is highly characteristic of **Tetralogy of Fallot** due to right ventricular hypertrophy and pulmonary artery hypoplasia. - There is also **reduced pulmonary vascular markings** (oligemia), indicating decreased blood flow to the lungs, a typical finding in TOF. *TGA* - Transposition of the Great Arteries (TGA) typically presents with a **"egg-on-a-string" appearance** on chest X-ray, characterized by a narrow mediastinum and cardiomegaly, which is not seen here. - Pulmonary vascularity can be increased or normal in TGA, unlike the decreased vascularity observed in the image. *TAPVC* - Total Anomalous Pulmonary Venous Connection (TAPVC) usually shows a **"snowman" or "figure-of-8" heart** shadow on chest X-ray, due to enlarged SVC and innominate vein. - This condition is also associated with **increased pulmonary vascular markings** and often cardiomegaly, which are absent in the provided image. *Ebstein's anomaly* - Ebstein's anomaly is characterized by a **massively enlarged heart** on chest X-ray due to right atrial enlargement and tricuspid regurgitation. - It often shows **reduced pulmonary vascular markings** due to functional pulmonary stenosis, but the characteristic "boot shape" is not typically present.
Explanation: ***Ventricular septal defect*** - **Ventricular septal defect (VSD)** is the most common form of congenital cardiac defect, occurring in approximately 2 to 6 per 1000 live births. - It involves a **hole in the septum** separating the left and right ventricles, allowing oxygenated blood to shunt from the left to the right side of the heart. *Atrial septal defect* - While common, an **atrial septal defect (ASD)** is less frequent than VSD, typically accounting for about 10% of congenital heart diseases. - It involves a **hole in the septum** between the left and right atria, leading to a left-to-right shunt. *TAPVC* - **Total anomalous pulmonary venous connection (TAPVC)** is a rare and severe congenital heart defect where all four pulmonary veins drain abnormally. - It accounts for only about 1% of all congenital cardiac defects. *Transposition of great arteries* - **Transposition of the great arteries (TGA)** is another relatively rare and critical congenital heart defect. - In TGA, the **aorta originates from the right ventricle** and the **pulmonary artery from the left ventricle**, leading to two separate circulatory systems.
Explanation: ***Truncus arteriosus*** - In **truncus arteriosus**, a single great artery arises from both ventricles, supplying both systemic and pulmonary circulation. The **pulmonary blood flow is typically unrestricted**, meaning the ductus arteriosus is not required for survival. - While a VSD is usually present, allowing mixing of blood, the pulmonary blood flow does not depend on the **ductus arteriosus** for patency. - This is the only condition among the options that is **NOT ductus-dependent**. *Tricuspid atresia* - **Tricuspid atresia** is a ductus-dependent lesion because without a patent **ductus arteriosus**, there is inadequate mixing or blood flow to reach either the pulmonary or systemic circulation depending on the anatomic variant. - The **ductus arteriosus** is crucial for survival in the neonatal period, often necessitating prostaglandin infusion to maintain ductal patency. *Tetralogy of Fallot with pulmonary atresia* - In **TOF with pulmonary atresia**, there is complete obstruction of the right ventricular outflow tract, making the **ductus arteriosus** the only source of pulmonary blood flow. - If the **ductus arteriosus closes**, the infant will suffer from severe **cyanosis** due to complete absence of pulmonary blood flow. - Note: Standard TOF without pulmonary atresia is NOT ductus-dependent as some blood reaches the lungs through the stenotic pulmonary valve. *Interrupted Aortic Arch* - **Interrupted Aortic Arch** is a ductus-dependent lesion because postnatal survival depends on a patent **ductus arteriosus** to supply blood flow to the descending aorta and lower body. - Without the **ductus arteriosus**, the lower body lacks systemic blood supply, leading to **shock** and **organ damage**.
Explanation: ***Derived from septum primum*** - The **limbus fossa ovalis** (or annulus ovalis) is a structure in the right atrium that forms the prominent rim of the **fossa ovalis**. - It is derived from the inferior border of the **septum secundum**, not the septum primum, which primarily forms the floor of the fossa ovalis. *Forms the rim around fossa ovalis* - The **limbus fossa ovalis** is indeed the thickened, crescent-shaped border of tissue that surrounds the **fossa ovalis** in the interatrial septum. - This anatomical arrangement is a remnant of the **foramen ovale** from fetal circulation [1]. *In right atrium* - The **fossa ovalis** and its surrounding limbus are located on the septal wall of the **right atrium** [1]. - This position is crucial for its role as a key landmark in interatrial septum anatomy. *Also called Annulus ovalis* - The term **annulus ovalis** is a widely accepted synonym for the **limbus fossa ovalis**. - Both terms describe the same anatomical structure, the fibrous rim surrounding the fossa ovalis.
Explanation: ***Truncus arteriosus*** - **Truncus arteriosus** is a congenital heart defect where a single arterial trunk arises from the heart, supplying the systemic, pulmonary, and coronary circulations. - Blood mixing occurs **within the heart itself** at the level of the common truncal valve and ventricular septal defect (VSD), which is always present. - The ductus arteriosus is **not required** for survival because the truncal vessel directly supplies both the systemic and pulmonary circulations. - Therefore, truncus arteriosus is **NOT a ductus-dependent lesion**. *Transposition of great arteries with intact septum* - In **TGA with intact ventricular septum**, the aorta arises from the right ventricle and the pulmonary artery from the left ventricle, creating **parallel circulations**. - The patent ductus arteriosus (PDA) is **critical for mixing** oxygenated and deoxygenated blood, allowing survival until surgical correction. - This is a classic **ductus-dependent lesion** for mixing. *Hypoplastic left heart syndrome* - **HLHS** involves severe underdevelopment of the left ventricle, mitral valve, aortic valve, and ascending aorta. - The **PDA is essential** for providing systemic blood flow, as the right ventricle must supply both pulmonary and systemic circulations via the ductus. - This is a **ductus-dependent systemic circulation** - closure of the PDA is lethal. *Interrupted aortic arch* - **IAA** involves complete discontinuity of the aortic arch, preventing blood flow to the descending aorta. - The **PDA is critical** for perfusing the lower body and abdominal organs. - This is a **ductus-dependent systemic circulation**.
Explanation: ***Smooth part of right atrium*** - The **sinus venosus** is a primordial cardiac structure that incorporates into the posterior wall of the right atrium to form the **smooth walled part** (sinus venarum). - This smooth part receives systemic and pulmonary venous return, becoming the portion where the **superior and inferior vena cava** open. *Left ventricle* - The left ventricle develops primarily from the **primitive heart tube** and contributes to the formation of both the inflow and outflow tracts. - It does not primarily originate from the sinus venosus. *Interventricular septum* - The interventricular septum develops from a combination of the **muscular interventricular septum** (from the primitive ventricle) and the **membranous interventricular septum** (from the aorticopulmonary septum and endocardial cushions). - It is not derived from the sinus venosus. *Rough part of right atrium* - The rough part of the right atrium, also known as the **pectinate muscles**, is derived from the **primitive atrium**. - The sinus venosus contributes only to the smooth-walled portion.
Explanation: ***Remnant of the ductus arteriosus*** - The **ductus arteriosus** is a fetal blood vessel connecting the **pulmonary artery** to the **aorta**, bypassing the non-functional lungs [1]. - After birth, due to increased oxygen tension and decreased prostaglandins, it typically constricts and obliterates, forming the **ligamentum arteriosum** [2]. *Remnant of the ductus venosus* - The **ductus venosus** is a fetal shunt connecting the **umbilical vein** to the **inferior vena cava**, bypassing the liver's circulatory bed [2]. - After birth, it closes and becomes the **ligamentum venosum**, not the ligamentum arteriosum [2]. *Remnant of the ductus utriculosaccularis* - This is an **inner ear structure** connecting the utricle and saccule in the membranous labyrinth. - It is **not a cardiovascular structure** and has no relation to the ligamentum arteriosum. *Remnant of the ductus reuniens* - The **ductus reuniens** (also called ductus utriculosaccularis) is an **inner ear structure**, not a fetal cardiovascular shunt. - It has **no remnant** related to the ligamentum arteriosum or cardiovascular system.
Explanation: ***Metencephalon*** - The cerebellum develops from the **metencephalon**, a secondary brain vesicle that arises from the **rhombencephalon** during embryonic development. - This structure is responsible for coordinating muscle movements and balancing, which are key functions of the **cerebellum**. *Prosencephalon* - The **prosencephalon** forms the **forebrain**, which includes structures such as the **telencephalon** and **diencephalon**, not the cerebellum. - Its derivatives primarily relate to higher cognitive functions and sensory processing rather than motor control. *Mesencephalon* - The **mesencephalon** develops into the **midbrain**, which is involved in visual and auditory processing, but does not contribute to the formation of the cerebellum. - It also plays a role in motor control via connections with other brain regions, yet lacks the direct association with the cerebellar structure. *Rhombencephalon* - The **rhombencephalon** is a primary brain vesicle that gives rise to both the **metencephalon** and **myelencephalon**, but is not the final structure of the cerebellum itself. - While it lays the groundwork for the hindbrain, the cerebellum specifically originates from the **metencephalon** within this region.
Explanation: ***Urogenital sinus*** - The **urogenital sinus** is an endodermal structure that gives rise to the bladder, urethra, and lower vagina in females [1]. - In females, the entire urethra develops from the **pelvic part of the urogenital sinus**. *Mesonephric duct* - The **mesonephric duct** (Wolffian duct) primarily contributes to the male genital tract, forming structures like the epididymis, vas deferens, and ejaculatory ducts. - In females, the mesonephric ducts largely regress but can contribute to vestigial structures like the **Gartner's duct**. *Ureteric bud* - The **ureteric bud** is an outgrowth of the mesonephric duct that develops into the ureter, renal pelvis, calyces, and collecting ducts of the kidney. - It plays no role in the direct formation of the urethra. *Metanephric blastema* - The **metanephric blastema** is a mesenchymal tissue that interacts with the ureteric bud to form the nephrons, including the renal corpuscle and renal tubules. - It is essential for kidney development but does not contribute to the formation of the urethra.
Explanation: ***Anterior border of sternocleidomastoid*** - Branchial cysts most commonly present as a mass along the **anterior border of the sternocleidomastoid muscle**, typically in the upper to middle third of the neck [3]. - This location corresponds to the embryological remnants of the **second branchial cleft**. *Posterior border of sternocleidomastoid* - Cysts or masses in this region are less likely to be branchial cysts and might indicate other conditions like **lymphadenopathy** or a **cystic hygroma** [1]. - The posterior border is not the typical embryological location for branchial cleft remnants to form cysts. *Digastric muscle* - While the digastric muscle is located in the neck, cysts directly associated with this muscle are rare and usually of **different embryological origin** (e.g., salivary gland cysts or submandibular space infections). - Branchial cysts are specifically tied to the branchial apparatus remnants. *Omohyoid muscle* - The omohyoid muscle crosses the lower neck, and masses in its vicinity are typically not branchial cysts but could involve **thyroid pathology**, **lymph nodes**, or **vascular anomalies** [2]. - This location is anatomically distinct from the typical presentation of a branchial cleft cyst.
Get full access to all questions, explanations, and performance tracking.
Start For Free