Most common catheter-related bloodstream infection is due to:
A 40-year-old immunocompromised patient presents with complaints of dysphagia. UGI endoscopy shows multiple ulcers in distal esophagus. Biopsy was performed and histopathology is shown below. Diagnosis is:

Which of the following is responsible for the abnormality shown below?

The following organism is called:

Which of the following life cycle is shown below?

Which of the following life cycle is shown below?

Which of the following parasite is shown below?

Which is correct of the parasite shown below?

Which of the following life cycles is shown below?

Which of the following CNS lesions is shown below?

NEET-PG 2018 - Microbiology NEET-PG Practice Questions and MCQs
Question 11: Most common catheter-related bloodstream infection is due to:
- A. Coagulase-negative Staphylococci (CoNS) (Correct Answer)
- B. Candida species
- C. Gram-negative bacilli
- D. Staphylococcus aureus (S. aureus)
Explanation: ***Coagulase-negative Staphylococci (CoNS)*** - **Coagulase-negative Staphylococci (CoNS)**, particularly *Staphylococcus epidermidis*, are the most common cause of **catheter-related bloodstream infections (CRBSIs)** due to their ability to form **biofilms** on catheter surfaces. - Their ubiquity on the skin, combined with their capacity for **adherence** and **biofilm production**, facilitates their entry and proliferation within the catheter lumen. *Candida species* - While *Candida species* (e.g., *Candida albicans*) are significant causes of CRBSIs, especially in **immunocompromised** patients or those on **broad-spectrum antibiotics**, they are less common overall than CoNS. - Risk factors for *Candida* CRBSIs include prolonged hospitalization, total parenteral nutrition, and **central venous catheters**. *Gram-negative bacilli* - **Gram-negative bacilli** (e.g., *Klebsiella pneumoniae*, *Escherichia coli*, *Pseudomonas aeruginosa*) are important pathogens in CRBSIs, often associated with **severe sepsis** and higher mortality rates. - However, their overall incidence in catheter-induced infections is lower than that of CoNS, though they are more prevalent in certain hospital units like **ICUs**. *Staphylococcus aureus (S. aureus)* - **Staphylococcus aureus** causes clinically significant CRBSIs, often leading to more severe infections, including **endocarditis** and **septic emboli**, than CoNS. - While *S. aureus* infections are serious, CoNS remain the most frequently isolated organism in all CRBSI cases, partly due to the high carriage rate of *S. epidermidis* on human skin.
Question 12: A 40-year-old immunocompromised patient presents with complaints of dysphagia. UGI endoscopy shows multiple ulcers in distal esophagus. Biopsy was performed and histopathology is shown below. Diagnosis is:
- A. Candida esophagitis
- B. Herpes esophagitis
- C. CMV esophagitis (Correct Answer)
- D. Barrett's esophagus
Explanation: ***CMV esophagitis*** - The image shows a classic "owl's eye" inclusion, which is a characteristic cytopathic effect of **Cytomegalovirus (CMV)** infection. - CMV esophagitis typically causes large, linear ulcers in the distal esophagus of **immunocompromised patients**, matching the patient's presentation. *Candida esophagitis* - This condition presents with white plaques and fuzzy exudates on endoscopy, and biopsy reveals **yeast and pseudohyphae**, which are not seen in the image. - While it occurs in immunocompromised patients, the microscopic findings are distinct from those of CMV. *Herpes esophagitis* - Herpes esophagitis is characterized by multiple, small, punched-out ulcers and microscopic findings of **Cowdry A inclusions** and **multinucleated giant cells**. - The "owl's eye" inclusion seen in the image is not typical for herpes simplex virus infection. *Barrett's esophagus* - Barrett's esophagus is a metaplastic change in the esophageal lining where **squamous epithelium** is replaced by **columnar epithelium with goblet cells**, usually due to chronic GERD. - It does not involve viral inclusions or ulcerations in the manner described in the clinical vignette or depicted in the image.
Question 13: Which of the following is responsible for the abnormality shown below?
- A. Zika virus (Correct Answer)
- B. Human parvovirus B19
- C. HHV6
- D. EBV
Explanation: ***Zika virus*** - The image depicts a newborn with **microcephaly**, characterized by a significantly smaller head circumference than expected, which is a hallmark congenital abnormality associated with **Zika virus infection** during pregnancy. - Zika virus is a **teratogen** that primarily targets neural progenitor cells, leading to severe brain malformations and microcephaly in developing fetuses. *Human parvovirus B19* - This virus is known to cause **erythema infectiosum** (fifth disease) in children and can lead to **hydrops fetalis**, severe anemia, and cardiac failure in fetuses if transmitted during pregnancy. - It does not typically cause microcephaly as its primary congenital manifestation. *HHV6* - Human Herpesvirus 6 (HHV6) is the causative agent of **roseola infantum** (exanthem subitum) in young children. - While it can cause febrile seizures and encephalitis, it is not primarily associated with congenital microcephaly or other severe birth defects when acquired prenatally. *EBV* - Epstein-Barr virus (EBV) is responsible for **infectious mononucleosis** and is linked to various malignancies. - Congenital EBV infection is rare and has been associated with a range of non-specific outcomes, but it is not a recognized cause of microcephaly.
Question 14: The following organism is called:
- A. Cestode (Correct Answer)
- B. Nematode
- C. Trematode
- D. Annelid
Explanation: ***Cestode*** - The image displays a long, **segmented, ribbon-like worm**, which is characteristic morphology of a **tapeworm (cestode)**. - Cestodes typically possess a head (scolex) for attachment and a body composed of repeating segments called **proglottids**. *Nematode* - **Nematodes** are generally **unsegmented**, cylindrical, and elongated worms, often described as roundworms. - They lack the distinct proglottids and flattened, ribbon-like appearance seen in the image. *Trematode* - **Trematodes**, also known as flukes, are typically **leaf-shaped** and **unsegmented**. - They are much broader and flatter than the organism shown, and do not have the visible segmentation. *Annelid* - **Annelids** are segmented worms like earthworms and leeches, but they have a **cylindrical body** with visible external ring-like segments. - Unlike cestodes, annelids have a complete digestive system and lack the flat, ribbon-like morphology and internal proglottid structure characteristic of tapeworms.
Question 15: Which of the following life cycle is shown below?
- A. Echinococcus granulosus
- B. Taenia solium
- C. Clonorchis sinensis
- D. Diphyllobothrium latum (Correct Answer)
Explanation: ***Diphyllobothrium latum*** - The diagram clearly illustrates a life cycle involving **freshwater fish** as a second intermediate host, where **plerocercoid larvae** are found, and humans ingesting these fish. The presence of **procercoid** and **plerocercoid larvae** in the depicted stages is characteristic of *Diphyllobothrium latum*. - The description mentions that humans are infected by ingesting fish containing **plerocercoid larvae**, which become adults in the intestine and discharge eggs from **gravid proglottides**, which is consistent with the life cycle of the **fish tapeworm**. *Echinococcus granulosus* - This parasite's life cycle involves **dogs as definitive hosts** and **sheep or humans as intermediate hosts** developing **hydatid cysts**, which is distinctly different from the fish-involved cycle shown. - Infection occurs through ingestion of **eggs passed in dog feces**, and not through contaminated fish. *Taenia solium* - *Taenia solium* (pork tapeworm) involves **pigs as intermediate hosts** and humans as definitive hosts, or humans as intermediate hosts in the case of **cysticercosis**. - Its life cycle does not involve **fish** or the **plerocercoid/procercoid larval stages** as depicted. *Clonorchis sinensis* - While *Clonorchis sinensis* (Chinese liver fluke) also involves **freshwater fish** as an intermediate host, it is a **fluke, not a tapeworm**, and its larval stages are **cercariae** and **metacercariae**, not procercoid or plerocercoid larvae. - The adult worm primarily infects the **biliary ducts (liver)**, not maturing in the intestine with proglottids as shown for the tapeworm in the diagram.
Question 16: Which of the following life cycle is shown below?
- A. Diphylobothrium latum
- B. Echinococcus granulosus
- C. Clonorchiasis (Correct Answer)
- D. Tenia solium
Explanation: ***Clonorchiasis*** - The diagram displays metacercariae (infective stage) in freshwater fish being ingested by a human host, a defining characteristic of the Clonorchis sinensis life cycle. - The life cycle involves freshwater snails (first intermediate host) and freshwater fish (second intermediate host), which aligns with the image showing cercariae encysting in fish. *Diphylobothrium latum* - The infective stage for *Diphylobothrium latum* (fish tapeworm) is the **plerocercoid larva** in raw or undercooked freshwater fish, not metacercariae. - While it also involves freshwater fish, its larval forms and overall life cycle stages are distinct from what is depicted. *Echinococcus granulosus* - This parasite causes **hydatid disease** and has a life cycle involving canids (definitive host) and herbivores (intermediate host), with humans being accidental intermediate hosts. - The life cycle does not involve freshwater fish or metacercariae for human infection. *Tenia solium* - The human is the definitive host for **Taenia solium** (pork tapeworm), acquiring infection by ingesting undercooked pork containing **cysticerci**. - The intermediate host is pigs, and the life cycle does not involve freshwater fish or metacercariae.
Question 17: Which of the following parasite is shown below?
- A. Cysticercosis cellulosae
- B. Echinococcus granulosus (Correct Answer)
- C. E. Histolytica
- D. Fasciola hepatica
Explanation: ***Echinococcus granulosus*** - The image displays a **hydatid cyst**, characterized by its thick, laminated outer wall (ectocyst) and an inner germinal layer (endocyst) from which **brood capsules** and **protoscolices** (seen as invaginations) bud off. - This morphology is pathognomonic for **Echinococcus granulosus**, the causative agent of **cystic echinococcosis** (hydatid disease). *Cysticercosis cellulosae* - Cysts of *Cysticercus cellulosae* (larval stage of *Taenia solium*) typically appear as a fluid-filled bladder with a single **invaginated scolex** lacking the complex brood capsule arrangement seen in the image. - They also generally have a thinner cyst wall compared to *Echinococcus* cysts. *E. Histolytica* - *Entamoeba histolytica* is a **protozoan parasite** that causes amoebiasis, presenting as trophozoites or cysts; it does not form macroscopic cysts with complex internal structures like the one shown. - Amoebic abscesses are typically necrotic lesions, not true cysts with parasitic structures within. *Fasciola hepatica* - *Fasciola hepatica* is a **trematode (fluke)**, and its larval stages or adult worms do not form cysts with this characteristic morphology. - Liver flukes would appear as tissue sections of the flatworm itself in infected organs, not as a large, spherical cyst with internal budding structures.
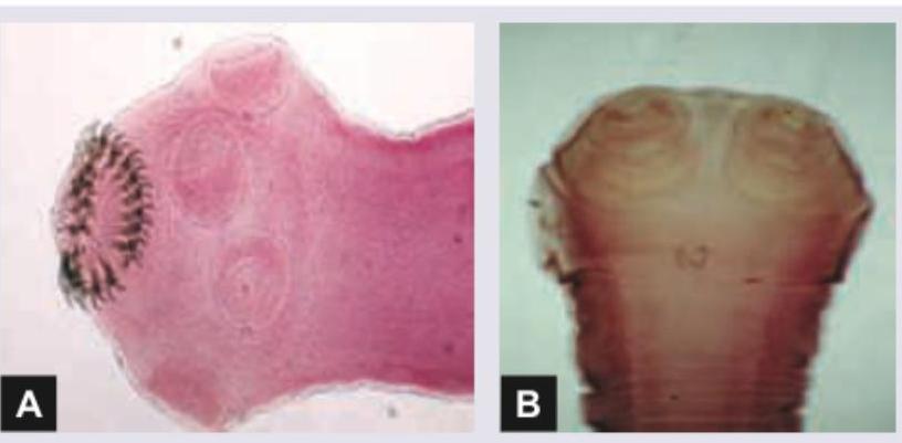
Question 18: Which is correct of the parasite shown below?
- A. A = Taenia saginata, B = Taenia solium
- B. $A=$ Hymenolepis nana, $B=$ Dipylidium caninum
- C. $A=$ Dipylidium caninum, $B=$ Hymenolepis nana (Correct Answer)
- D. A = Taenia solium, B = Taenia saginata
Explanation: ***A = Dipylidium caninum, B = Hymenolepis nana*** - Image A displays a **scolex with four prominent suckers and a rostellum armed with hooks**, which is characteristic of *Dipylidium caninum*. - Image B shows a **scolex with four suckers and a distinct retractable rostellum armed with a single circlet of hooks**, a key morphological feature of *Hymenolepis nana*. *A = Taenia solium, B = Taenia saginata* - *Taenia solium* scolex (pork tapeworm) typically has **four suckers and a rostellum with a double crown of hooks**, not the single retractile coronet seen in B. - *Taenia saginata* scolex (beef tapeworm) is **unarmed (lacks hooks)** and only possesses four suckers, which contradicts both images. *A = Taenia saginata, B = Taenia solium* - This option is incorrect because *Taenia saginata* is an **unarmed tapeworm**, meaning it lacks hooks, which are clearly visible in Image A. - *Taenia solium* has a **scolex with hooks**, but Image B's scolex with a single circlet of hooks is more consistent with *Hymenolepis nana*. *A = Hymenolepis nana, B = Dipylidium caninum* - The scolex in Image A possesses a **double-crown rostellum with hooks clustered in rows**, which is characteristic of *Dipylidium caninum*, not *Hymenolepis nana*. - The scolex in Image B with four suckers and a retractile rostellum with a single circlet of hooks is indicative of *Hymenolepis nana*, not *Dipylidium caninum*.
Question 19: Which of the following life cycles is shown below?
- A. Hymenolepis nana (Correct Answer)
- B. Echinococcus granulosus
- C. Ascaris lumbricoides
- D. Toxocara canis
Explanation: ***Hymenolepis nana*** - The image clearly depicts the life cycle of *Hymenolepis nana*, showing direct human infection from ingesting **fertile eggs**, leading to the development of an **oncosphere** and then a **cercocyst** within the human host before maturing into an adult tapeworm in the intestine. - The presence of an "alternative rodent host (rat, mouse) of minor importance" is a characteristic feature of *Hymenolepis nana*, which can infect both humans and rodents. *Echinococcus granulosus* - This parasite's life cycle involves **dogs (definitive host)** and **sheep/humans (intermediate hosts)**, where humans develop **hydatid cysts**, which is not shown here. - The depiction of an adult tapeworm developing directly in humans after ingestion of eggs, with a rodent as an alternative host, is inconsistent with *Echinococcus granulosus*. *Ascaris lumbricoides* - This is a **roundworm (nematode)**, not a tapeworm, and its life cycle involves **lung migration** of larvae before returning to the intestines to mature, which is not illustrated. - The image shows development from an oncosphere to a cercocyst and then to an adult tapeworm, which is specific to certain **cestodes**. *Toxocara canis* - This is another **roundworm** primarily affecting **dogs**, and humans become **incidental hosts** by ingesting embryonated eggs, leading to visceral larva migrans, where larvae migrate through tissues but do not develop into adult worms in the human intestine. - The illustrated life cycle details, particularly the formation of an oncosphere and cercocyst within the human leading to an adult tapeworm, are not indicative of *Toxocara canis*.
Question 20: Which of the following CNS lesions is shown below?
- A. Cerebral toxoplasmosis
- B. Neurocysticercosis (Correct Answer)
- C. Cryptococcal meningitis
- D. Hydatid cyst
Explanation: ***Neurocysticercosis*** - The top image displays multiple **cystic lesions** within the brain parenchyma, consistent with various stages of **neurocysticercosis**. - The bottom image shows an **egg of *Taenia solium***, the causative agent of cysticercosis, confirming the parasitic origin. *Cerebral toxoplasmosis* - This typically presents as **multiple ring-enhancing lesions**, often with a predilection for the **basal ganglia** in immunocompromised patients. - The pathological image shown here does not primarily depict ring-enhancing lesions but rather macroscopic cysts. *Cryptococcal meningitis* - While Cryptococcus can cause CNS lesions, they are usually **gelatinous pseudocysts** or **meningitis**, not the distinct cystic structures seen in the image. - The causative organism is a **fungus**, not a parasitic worm, so the associated egg image would be incorrect. *Hydatid cyst* - Hydatid cysts (caused by *Echinococcus granulosus*) are typically **solitary, large, well-defined cysts** with a characteristic laminated membrane. - The image shows **multiple, smaller cysts** and the egg is characteristic of *T. solium*, not *Echinococcus*.